Gravidez

Gravidez
SinónimosGestação
Mulher grávida
EspecialidadeObstetrícia
SintomasAusência de menstruação, mamas sensíveis, náuseas e vómitos, fome, micção frequente[1]
ComplicaçõesAborto espontâneo, doenças hipertensivas da gravidez, diabetes gestacional, anemia por deficiência de ferro, náuseas e vómitos graves[2][3]
Duração~40 semanas, contadas a partir do último período menstrual[4][5]
CausasRelação sexual, reprodução medicamente assistida[6]
Método de diagnósticoTeste de gravidez[7]
PrevençãoContracepção, aborto[8]
TratamentoCuidados pré-natais[9]
MedicaçãoÁcido fólico[9]
Frequência213 milhões (2012)[10]
Mortes293 000 (2013)[11]
Classificação e recursos externos
CID-11QA41
CID-10Z33
CID-9650
DiseasesDB10545
MedlinePlus002398
eMedicinearticle/259724
MeSHD011247
A Wikipédia não é um consultório médico. Leia o aviso médico 

Gravidez é o período de cerca de nove meses de gestação nas mulheres, contado a partir da fecundação e nidação de um zigoto no útero até ao nascimento. Durante a gravidez, o organismo materno passa por diversas alterações fisiológicas que sustentam o bebé em crescimento e preparam o parto. A fecundação pode dar-se através de relações sexuais ou ser medicamente assistida. Após a fecundação, o zigoto desloca-se ao longo de uma das tubas uterinas e nida-se no endométrio, onde forma o embrião e a placenta que o alimentará. O desenvolvimento do embrião tem início com a divisão do óvulo em múltiplas células e é nesta fase que se começam a formar a maior parte dos órgãos, muitos deles funcionais. A partir das oito semanas de idade gestacional, o embrião passa a ser designado feto e apresenta já a forma humana que se desenvolverá continuamente até ao nascimento. O parto ocorre em média cerca de 38 semanas após a fecundação, o que corresponde a aproximadamente 40 semanas após o início do último período menstrual. Uma gravidez múltipla é a gravidez em que existe mais do que um embrião ou feto, como é o caso dos gémeos.

Os primeiros sinais que indicam uma possível gravidez são a ausência de menstruação, sensibilidade nas mamas, náuseas, vómitos e aumento da frequência urinária. Uma gravidez pode ser confirmada com um teste de gravidez disponível em farmácias. A gravidez é convencionalmente dividida em três trimestres, de forma a simplificar a referência às diferentes fases do desenvolvimento pré-natal. O primeiro trimestre tem início com a fecundação e termina às doze semanas de idade gestacional, durante o qual existe risco acrescido de aborto espontâneo (morte natural do embrião ou do feto). Durante o segundo trimestre, o risco de aborto espontâneo diminui acentuadamente, a mãe começa a sentir o bebé, são visíveis os primeiros sinais exteriores da gravidez e o seu desenvolvimento é mais facilmente monitorizado. O terceiro trimestre é marcado pelo desenvolvimento completo do feto até ao nascimento.

Os cuidados de saúde e os exames pré-natais apresentam uma série de benefícios para a saúde da grávida e do bebé. Entre os cuidados de saúde essenciais estão a suplementação com ácido fólico, a restrição do consumo de tabaco, álcool e drogas, a prática de exercício físico adequado à gravidez, a comparência às consultas de acompanhamento e a realização dos exames médicos e ecografias recomendados. Entre as complicações mais comuns estão a hipertensão, diabetes gestacional, anemia por deficiência de ferro e náuseas e vómitos graves. O termo da gravidez ocorre entre as 37 e as 41 semanas. Os bebés que nascem antes das 37 semanas são considerados pré-termo e depois das 41 semanas pós-termo. Os bebés prematuros apresentam risco acrescido de problemas de saúde. A indução de parto e cesariana não são recomendadas antes das 39 semanas, exceto por motivos médicos.

Em 2012 ocorreram 213 milhões de gravidezes, das quais 190 milhões em países em vias de desenvolvimento e 23 milhões em países desenvolvidos. Isto corresponde a 133 gravidezes por cada 1 000 mulheres entre os 15 e 44 anos de idade. Cerca de 10 a 15% das gravidezes diagnosticadas terminam em aborto. Em 2013, as complicações da gravidez causaram a morte a 230 000 pessoas, uma diminuição em relação às 377 000 em 1990. Entre as causas mais comuns estão as hemorragias maternas, complicações de um aborto, hipertensão arterial, infeções, e complicações do parto. Cerca de 40% das gravidezes em todo o mundo não são planeadas, das quais metade resultam em aborto.

Terminologia

"Gestação" ou "gravidez" designa a condição de uma mulher ("gestante") que já concebeu e que na qual evolui o produto da concepção.[12] "Gestação a termo" é a gestação com duração entre 37 semanas completas e 42 semanas. "Gestação pré-termo" é a gestação com duração inferior a 37 semanas, enquanto que "gestação pós-termo" corresponde à gestação de período igual ou superior a 42 semanas. A gestante pode ser classificada segundo o número de gestações: "primigesta" é a mulher que se encontra grávida pela primeira vez, "secundigesta" é a mulher grávida pela segunda vez, "tercigesta" pela terceira vez, "quadrigesta" pela quarta vez e assim sucessivamente. A gestante pode ainda ser classificada segundo o número de partos: "nulípara" é a mulher que nunca deu à luz; "primípara" é a mulher que deu uma única vez à luz um feto, com 20 ou mais semanas, vivo ou morto; "multípara" é a mulher que deu à luz duas ou mais vezes.[13]

A "idade gestacional" é a duração da gestação a partir do primeiro dia do último período menstrual normal, sendo medida em dias ou semanas completas. A "fecundação" é a fase da reprodução em que o espermatozoide se funde com o óvulo. Durante as primeiras oito semanas, o produto da fecundação é denominado "embrião"; a partir da oitava semana e até ao parto passa a ser denominado "feto".[13]

O parto pode ser classificado segundo a idade gestacional a que ocorre. Aborto designa a perda da gravidez antes da 20ª semana de gestação, podendo ser espontâneo ou induzido. O "parto pré-termo" é o parto ocorrido entre as 20ª e 37ª semanas de gravidez; o "parto a termo" é o parto ocorrido entre as 37 semanas completas e as 42 semanas incompletas; e o "parto pós-termo" é o parto que ocorre após as 42 semanas completas. O parto pode também ser classificado conforme a sua evolução e resolução. O "parto espontâneo" ou "parto natural" é o parto que ocorre espontaneamente sem qualquer intervenção. O "parto induzido" é o parto provocado por medicamentos ou outras técnicas. O "parto dirigido" é o parto assistido por ação médica. O "parto eutócito", "normal", "espontâneo" ou "fisiológico" denomina a expulsão espontânea do feto por vias normais, enquanto o "parto distócito" é o parto que decorre de forma anormal.[13][14] Uma cesariana é uma intervenção cirúrgica destinada a retirar o feto por via abdominal através de uma incisão no útero, quando não é possível ou desaconselhado o "parto vaginal". Numa "cesariana segmentária" a abertura no útero é feita no segmento inferior, enquanto na "cesariana corporal" a incisão é feita até ao fundo uterino. "Puérpera" é a mulher que se encontra no "puerpério", o período de 6 a 8 semanas desde o fim do parto até ao momento em que os órgãos voltam ao estado normal anterior à gestação. O "período neonatal" é o período entre o nascimento do bebé e os primeiros 28 dias de vida.[13]

Diagnóstico

Os primeiros sinais e sintomas de uma gravidez são a ausência do período menstrual, náuseas, vómitos e dor ou sensibilidade nas mamas. Os testes de gravidez biológicos têm uma precisão de 95% e detectam a presença na urina ou no sangue de gonadotrofina coriónica humana, uma hormona produzida pela placenta durante a gravidez. A partir das 16-20 semanas é possível ouvir com um estetoscópio o batimento cardíaco fetal e confirmar em definitivo a gravidez. Ao longo da gestação, as ecografias permitem observar o feto em crescimento e por volta das 18-20 semanas é possível começar a sentir os movimentos fetais.[1]

Sinais e sintomas

Linea nigra numa mulher grávida às 22 semanas de gestação

A maior parte das mulheres grávidas apresenta uma série de sinais e sintomas que podem ser indicadores de uma gravidez.[15] O sinal inicial de gravidez mais confiável e perceptível é ausência de um período menstrual, ou um período muito ligeiro com pouca quantidade de sangue. Entre os sintomas iniciais mais comuns estão o cansaço e fadiga em excesso; náuseas, com ou sem vómitos (durante todo o dia mas principalmente de manhã); sensibilidade ou dor nas mamas (principalmente em mulheres jovens) e aumento da frequência urinária (principalmente durante a noite). No início da gravidez são também comuns outros sintomas, embora nem sempre se manifestem, como a obstipação, aumento do corrimento vaginal ou ligeira hemorragia 10 a 14 dias após a fecundação, alteração do palato (sabor metálico na boca, desejo por determinados alimentos que não consome regularmente e rejeição de outros), aumento da sensibilidade olfativa (capaz de provocar náuseas), cólicas uterinas ligeiras, tonturas e alterações de humor. No entanto, todos estes sintomas não são exclusivos da gravidez, ao mesmo tempo que é possível estar grávida sem que nenhum destes sintomas se manifeste.[1][16][17][18]

Existem também uma série de sinais associados à gravidez e que se manifestam logo a partir das primeiras semanas após a conceção.[19][20] No entanto, estes sinais não são universais; isto é, em muitos casos as grávidas não apresentam alguns dos sinais e os sinais que apresentam podem ser diferentes de grávida para grávida. Nos casos em que estes sinais se manifestem isoladamente não é possível determinar um diagnóstico definitivo, mas caso se manifestem vários sinais em conjunto é possível assumir um diagnóstico de gravidez. Estes sinais incluem a presença de gonadotrofina coriónica humana (hCG) no sangue e na urina, hemorragia devido à nidação do embrião no útero na terceira ou quarta semana após o último período menstrual, aumento da temperatura corporal basal de forma sustentada duas semanas após a ovulação, sinal de Chadwick (escurecimento do colo do útero, vagina e vulva), sinal de Goodell (amolecimento da parte vaginal do útero), sinal de Hegar (amolecimento do istmo do útero) e presença da linea nigra (escurecimento da pele ao longo de uma linha no abdómen, provocado pela hiperpigmentação resultante das alterações hormonais, que geralmente se manifesta a meio da gravidez).[19][20]

Existem, no entanto, uma série de condições médicas cujos sinais e sintomas se podem confundir com os de uma gravidez. A ausência do período menstrual pode ser causada por doença crónica, por distúrbios emocionais ou alimentares ou pela menopausa. As náuseas e os vómitos podem ter apenas origem gastrointestinal, enquanto a sensibilidade nas mamas se pode dever a distúrbios hormonais. As condições que causam congestão pélvica, como o cancro do colo do útero, podem provocar sintomas semelhantes a uma gravidez, e alguns tumores raros produzem falsos positivos nos testes de gravidez.[1] Em alguns casos, mulheres com o forte desejo de engravidar acreditam vincadamente que estão grávidas, apesar de não o estarem, manifestando inclusive algumas das alterações físicas da gravidez, uma condição denominada pseudociese.[21] Por outro lado, e apesar de terem presentes vários sinais, algumas mulheres só se apercebem da gravidez quando esta já está numa fase avançada. Em alguns casos extremos, a mulher só se apercebe da gravidez durante o trabalho de parto. Isto pode ser causado por diversos factores, entre os quais períodos irregulares, alguns medicamentos e mulheres obesas que não dão importância ao aumento de peso. Cerca de 1 em 475 mulheres às vinte semanas e 1 em 2 500 mulheres na data do parto recusam reconhecer que estão grávidas.[22]

Testes de gravidez

Os testes de gravidez disponíveis nas farmácias têm, em média, uma precisão de 95% para uma utilização correta. Detectam a presença na urina da hormona gonadotrofina coriónica humana e devem ser usados após o 12º dia posterior à nidação.

Os testes de gravidez permitem detectar com bastante precisão uma gravidez a partir do 12º dia posterior à nidação.[23][24] A maior parte dos testes de gravidez acusa a presença na urina ou no sangue da subunidade beta da gonadotrofina coriónica humana (hCG), uma hormona produzida pela placenta recém-formada. A hCG pode ser detectada após a nidação, que ocorre seis a doze dias após a fecundação.[25] A presença de gonadotrofina coriónica no sangue significa apenas que a mulher alberga tecido placentário vivo, não permitindo determinar a condição do feto.[1] Os testes ao sangue quantitativos têm maior sensibilidade do que os à urina, devido ao menor número de falsos negativos, sendo capazes de detectar quantidades de hCG a partir de 1 mIU/mL, enquanto que as tiras reagentes de urina só detectam a partir de 10 mIU/mL a 100 mIU/mL.[26][27]

Os testes disponíveis nas farmácias para utilização em casa são testes à urina. Nestes testes, aplica-se uma pequena quantidade de urina numa tira química que, em caso de resultado positivo, muda de cor ou aparece um símbolo, conforme o fabricante.[28] Têm, em média, uma precisão de 95% para uma utilização correta; valor muito idêntico aos testes profissionais em laboratório (97,4%). A maior parte dos falsos negativos e falsos positivos, que pode atingir os 20% numa utilização típica, tem origem na utilização incorreta do dispositivo, devido aos utilizadores não seguirem corretamente as instruções da embalagem ou fazerem o exame demasiado cedo. A possibilidade de falsos negativos e de falsos positivos, ainda que ínfima numa utilização correta, faz com que o resultado apenas indique uma elevada probabilidade de estar ou não grávida, e não uma garantia absoluta.[1][29] Os falsos positivos podem dever-se a uma série de razões, entre as quais a utilização incorreta do teste, o uso de fármacos com hCG, como a clorpromazina, fenotiazina ou metadona, e a ocorrência de doenças hepáticas, cancro ou condições médicas que produzem quantidades elevadas de hCG. As mulheres que foram submetidas a uma injeção de hCG no contexto de um tratamento de fertilidade também apresentam sempre resultados positivos, independentemente de estarem ou não grávidas.[30] Um resultado positivo num teste de farmácia pode ser confirmado com um teste de laboratório ou com um exame pélvico realizado por um médico. Por serem qualitativos, os exames de laboratório têm uma precisão ligeiramente superior.[28]

Idade gestacional e data prevista de parto

O tempo médio de uma gravidez é de 268 dias (38 semanas e dois dias) contados a partir da ovulação, com um desvio padrão de 10 dias ou coeficiente de variação de 3,7%.[31] A idade gestacional é calculada a partir do primeiro dia do último ciclo menstrual normal da mulher. Escolhe-se este momento porque não existe forma de determinar com precisão a data em que ocorreu a fecundação. A fecundação geralmente ocorre cerca de duas semanas antes do próximo ciclo menstrual, pelo que é comum acrescentar 14 dias à idade embrionária para obter a idade gestacional e vice-versa. Assim, na 1ª e 2ª semanas de idade gestacional, a mulher ainda não está grávida.[32][33] No entanto, o método mais preciso para determinar a idade gestacional é através de ecografia durante o primeiro trimestre de gravidez, o qual tem um intervalo de precisão de sete dias.[34] Ao contrário do cálculo da idade gestacional, em que o evento inicial é o primeiro dia do último período menstrual, no cálculo da "idade fetal", "idade embrionária" ou "idade de fecundação" o evento inicial é a fecundação.[35]

Os obstetras estimam a data prevista de parto (DPP) acrescentando sete dias ao primeiro dia do último período menstrual e mais nove meses de calendário. Por exemplo, se o último período menstrual teve início em 10 de janeiro, a data prevista de parto será 17 de outubro.[1] No entanto, apenas 5% dos nascimentos é que ocorrem na data prevista de parto e em que se completam as 40 semanas de idade gestacional. 50% dos nascimentos ocorrem entre uma semana antes ou uma semana depois da data prevista. 80% ocorrem entre duas semanas antes ou depois.[36] Na estimativa da data prevista de parto, as aplicações móveis oferecem estimativas consistentes entre si e corrigem os anos bissextos, enquanto os discos gestacionais de papel podem apresentar variações até sete dias e geralmente não contabilizam anos bissextos.[37] Uma vez estimada a data do parto, raramente é alterada, já que que a estimativa é mais precisa no início da gravidez.[38]

Fisiologia

Ao longo da gravidez, a mulher passa por diversas alterações fisiológicas perfeitamente normais, incluindo alterações cardiovasculares, hematológicas, metabólicas, renais e respiratórias, que asseguram a viabilidade do feto e têm um papel fundamental no caso de complicações. A gravidez é geralmente dividida em três trimestres, cada um com a duração aproximada de três meses. Os obstetras definem cada trimestre com a duração de 14 semanas, num total de 42. Embora não haja limites precisos entre eles, esta distinção é útil para descrever as diferentes alterações fisiológicas e anatómicas que ocorrem em cada um deles.[39]

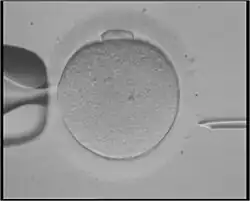
Fecundação

A gravidez tem início com a fecundação de um óvulo por um espermatozoide, durante a qual existe troca de material genético entre os progenitores.

Uma gravidez tem início com a fecundação de um óvulo (gâmeta feminino) por um espermatozoide (gâmeta masculino). Ao longo do ciclo menstrual que antecede a gravidez o corpo da mulher sofre alterações no sentido de se preparar para uma possível fecundação. Com a ovulação, o óvulo maduro liberta-se do seu folículo e deposita-se numa das trompas de falópio. Através da ejaculação de sémen durante uma relação sexual são depositados na vagina milhões de espermatozoides, que percorrem todo o útero e trompas de falópio até cercarem o óvulo. Ao entrar na trompa, o óvulo perde a camada exterior de células devido à ação de substâncias nos espermatozoides e no revestimento da parede das trompas. Ao perder a camada exterior, o óvulo permite que alguns espermatozoides penetrem na sua superfície; no entanto, geralmente só um dos espermatozoides é que realiza a fecundação. Depois de penetrar no óvulo, a cabeça do espermatozoide separa-se da cauda. Embora a cauda desapareça gradualmente, a cabeça e o respetivo núcleo sobrevivem. À medida que vai avançando em direção ao núcleo do óvulo, nesta fase designado pronúcleo feminino, a cabeça do espermatozoide aumenta de tamanho e torna-se o pronúcleo masculino. Os pronúcleos unem-se no centro do óvulo, onde a cromatina de ambos se organiza em cromossomas.[1]

O núcleo feminino tem inicialmente 44 cromossomas não sexuais (autossomas) e dois cromossomas sexuais (X, X), num total de 46. Antes da fecundação, uma forma particular de divisão celular denominada meiose reduz para metade (23) o total de cromossomas no pronúcelo feminino, entre os quais apenas um cromossoma sexual X. O gâmeta masculino tem também 44 autossomas e dois cromossomas sexuais (X, Y). Após a meiose, este número é igualmente reduzido para metade, entre os quais apenas um cromossoma sexual que pode ser X ou Y. Com a união dos pronúcleos feminino e masculino, os cromossomas de ambos unem-se através de um processo denominado mitose. Após a mitose, o óvulo fecundado, agora denominado zigoto, divide-se em duas células-filhas de igual tamanho. O sexo das células-filhas é determinado pelo cromossoma sexual masculino que resultou da meiose, conforme seja X ou Y.[1]

A formação de gémeos depende de eventos ocorridos na fecundação. Os gémeos verdadeiros ocorrem quando, após ser fecundado por um espermatozoide, um óvulo se divide em dois. Os gémeos verdadeiros partilham a mesma informação genética, são do mesmo sexo e têm personalidades semelhantes. Só 2/3 dos gémeos verdadeiros é que partilham a mesma placenta no útero, embora tenham sacos amnióticos diferentes. Os gémeos falsos ocorrem quando a mulher produz dois óvulos distintos que são fecundados por dois espermatozoides diferentes. Os gémeos falsos são tão parecidos entre si como qualquer irmão, podendo ser de sexos diferentes, uma vez que só metade da sua informação genética é igual. Cada gémeo falso tem a sua própria placenta e saco amniótico. A probabilidade de ter gémeos aumenta no caso da mulher estar a ser submetida a tratamentos de fertilidade ou houver antecedentes familiares, especialmente da parte da mãe.[40]

Desenvolvimento embrionário

Fecundação e implantação nos seres humanos

Nos seres humanos, a embriogénese, ou período embrionário, tem início com a fecundação e prolonga-se até ao início do período fetal. Após a fecundação, o zigoto desloca-se lentamente ao longo da trompa de Falópio em direção ao útero. Ao longo desta viagem de mais de uma semana, o zigoto divide-se em células idênticas. Esta divisão celular tem início aproximadamente entre 24 a 36 horas após a fecundação. Ao fim do 4º dia de divisão celular, o zigoto dá origem a uma esfera sólida de 16 ou 32 células denominada mórula. Ao chegar ao útero, cinco dias após a fecundação, esta esfera apresenta-se oca e tem entre 50 e 100 células. Nesta fase passa a ser denominada blastócito, demorando cerca de seis dias até nidificar na parede uterina. O revestimento de proteínas do blastócito dissolve-se, o que permite às suas células trofoblásticas entrar em contacto e aderir às células endometriais da parede uterina. O embrião une-se com o endométrio através de um processo denominado nidação, que ocorre oito a dez dias após a ovulação. Após alguns dias, forma-se o celoma extra-embrionário que se tornará na cavidade coriónica, a qual irá conter o embrião, o líquido amniótico e o cordão umbilical. Desenvolve-se também a cavidade amniótica entre o citotrofoblasto e a massa de células interna. Desenvolve-se também a placa pré-cordal, que indica o futuro local da boca e da região cranial. Nesta fase, o embrião cresce rapidamente e começam a tomar forma as principais características externas. Este processo, denominado diferenciação celular, produz os diferentes tipos de células do organismo.[41][42][43]

Durante a quarta semana de idade gestacional (segunda semana de idade embrionária), as células trofoblásticas que envolvem as células embrionárias penetram profundamente no revestimento uterino, formando a placenta e as membranas embrionárias. Começa-se também a formar a vesícula vitelina, as células embrionárias formam um disco embrionário com duas células de espessura, desenvolve-se a linha primitiva e aparecem as vilosidades coriónicas. Na quinta semana de idade gestacional (terceira semana de idade embrionária) tem início a gastrulação, forma-se a corda dorsal no centro do disco embrionário, começa-se a formar o que virá a ser a medula espinal, com uma saliência que corresponderá ao cérebro, e aparecem os primeiros neurómeros. Já no final da semana, começam também a formar-se os vasos do coração primitivo e a desenvolver-se vascularização no disco embrionário.[44]

Embora entre a 5ª e 6ª semana de gestação seja possível detectar atividade elétrica no cérebro, isto é apenas considerado atividade neural primitiva, e não ainda o início do pensamento consciente, algo que só se desenvolverá muito mais tarde. As sinapses só se começam a formar por volta das 17 semanas e, no início da 28ª semana, começam-se a multiplicar a um ritmo acentuado que se prolonga até 3 a 4 meses após o nascimento.[45]

Embrião às sete semanas de idade gestacional, ou cinco semanas de idade embrionária, com 10 mm de comprimento. São visíveis várias características anatómicas, entre as quais a cauda, os brotos dos membros, o coração, cavidades dos olhos, córneas e segmentação da coluna.

À sexta semana de idade gestacional (quarta semana de idade embrionária), o embrião mede cerca de 4 mm de comprimento e começa-se a curvar em forma de C. O coração desenvolve-se e começa a bater a um ritmo regular, aparece o septo primário e formam-se as cavidades que irão dar origem às estruturas da face e do pescoço, sendo já visível o início da formação dos braços e de uma cauda. O tubo neural encerra, aparecem os primeiros traços do pulmão e do fígado, aparecem ainda as estruturas que formarão o pâncreas e o baço e rompe-se a membrana bucofaríngea que formará boca. Na medula espinal, começa-se a diferenciar o corno anterior e posterior. Durante a sétima semana de idade gestacional (quinta semana de idade embrionária) o embrião mede cerca de 9 mm de comprimento. Nesta semana, começam-se a desenvolver as estruturas que formarão os olhos e o nariz e os brotos das pernas e das mãos. O cérebro divide-se em cinco vesículas, incluindo o telencéfalo primitivo e inicia-se a diferenciação do estômago. Existe já uma circulação sanguínea primitiva entre os vasos que ligam a vesícula vitelina e as vilosidades coriónicas. Inicia-se ainda o desenvolvimento do metanefro, precursor dos rins.[44]

Durante a oitava semana de idade gestacional (sexta semana de idade embrionária) o embrião mede aproximadamente 13 mm de comprimento. Começam-se a formar os pulmões, o sistema linfático e os órgãos genitais externos, sendo também visível a crista gonadal. Os braços e as pernas aumentam de comprimento, sendo agora visíveis as áreas dos pés e das mãos, as quais já têm dedos mas que ainda estão unidos.[44] Durante a nona semana de idade gestacional (sétima semana de idade embrionária) o embrião mede cerca de 18 mm de comprimento, estando já em processo de formação todos os órgãos essenciais. É possível ouvir o som do batimento cardíaco através de doppler e pode ser possível observar movimentos espontâneos dos membros através de ecografia. Começam-se a formar os folículos pilosos e os mamilos, são visíveis os cotovelos e os dedos dos pés e o ducto vitelino é geralmente encerrado. Ao fim da nona semana, decorreram 49 dias desde a fecundação e 63 dias desde o primeiro dia do último período menstrual.[44] Ao longo da décima semana de gestação (oitava semana de idade embrionária), as pálpebras estão mais desenvolvidas e começam-se a fechar e as orelhas e as características faciais tornam-se mais distintas.[32]

Desenvolvimento fetal

Ao fim da décima semana de idade gestacional, o embrião passa a ser denominado feto. Termina assim o período embrionário e inicia-se o período fetal.[32] No início da fase fetal, o risco de aborto diminui acentuadamente.[46] O feto tem agora cerca de 30 mm de comprimento e através de ecografia é possível observar o batimento cardíaco e a realização de vários movimentos involuntários.[47] Entre as 11 e 14 semanas de idade gestacional, as pálpebras do feto estão cerradas e só se voltarão a abrir por volta da 28ª semana. A face está bastante desenvolvida, os membros apresentam-se longos e esguios e o fígado já produz glóbulos vermelhos. Neste intervalo aparecem as unhas nos pés e nas mãos, os órgãos genitais e os brotos para os futuros dentes. A cabeça é proporcionalmente muito grande, cerca de metade do tamanho do feto. Entre as 15 e 18 semanas de gestação o bebé começa-se a mexer e a esticar. A pele é praticamente transparente e surge um tipo de cabelo muito fino denominado lanugo. Desenvolvem-se os tecidos musculares, os ossos tornam-se mais fortes e o fígado e o pâncreas já produzem secreções.[32]

Ecografia às 16 semanas de gestação. O círculo branco entre o centro e o lado direito é a cabeça do feto, estando a face voltada para a esquerda. Imaginando os ponteiros de um relógio, às 10 horas é visível a testa, às 7 horas a orelha esquerda e às 9 horas a mão direita a tapar os olhos.

Entre as 19 e as 21 semanas de gestação o bebé já consegue ouvir e é muito mais ativo em relação às semanas anteriores, sendo capaz de engolir. A mãe começa a ter uma sensação semelhante ao bater de asas de borboleta no baixo ventre, que corresponde aos primeiros movimentos do bebé. À 22ª semana, o bebé está mais ativo e algumas mães já conseguem sentir claramente o bebé a mover-se. O lanugo cobre a totalidade do corpo, aparecem as sobrancelhas e as pestanas, as unhas crescem até às extremidades dos dedos, o aparelho digestivo começa a produzir mecónio e é possível ouvir o batimento cardíaco apenas com um estetoscópio. Entre as 23 e 25 semanas, a medula óssea começa a produzir células sanguíneas, desenvolvem-se as vias respiratórias e o feto começa a armazenar gordura. À 26ª semana, as sobrancelhas e pestanas já se encontram formadas, os olhos estão plenamente desenvolvidos e as impressões digitais estão em formação. O feto sobressalta-se em resposta a ruídos altos e formam-se nos pulmões alvéolos, embora o feto não seja ainda capaz de respirar no exterior.[32]

Entre as 27 e as 30 semanas de gestação o cérebro do feto cresce aceleradamente e o sistema nervoso encontra-se suficientemente desenvolvido para controlar algumas funções corporais. As pálpebras são capazes de abrir e fechar e o aparelho respiratório, embora imaturo, produz tensioativos que permitem encher os pulmões com ar. Entre as 31 e 34 semanas o feto cresce muito rapidamente e armazena uma quantidade assinalável de gordura, ferro, cálcio e fósforo. Os ossos encontram-se desenvolvidos, embora sejam ainda moles. O feto começa a respirar de forma ritmada, embora os pulmões não estejam completamente desenvolvidos. Entre as 35 e 37 semanas o feto pesa já cerca de 2,5 kg e continuará a ganhar mais peso, embora provavelmente o comprimento já não deva aumentar significativamente. Devido à gordura acumulada, a pele já não é tão rugosa. O feto tem padrões de sono definidos, o coração e os vasos sanguíneos estão completos e os músculos e ossos totalmente desenvolvidos. Entre as 38 e 40 semanas de gestação, o lanugo desaparece, exceto nos ombros, o cabelo é mais denso e espesso, as unhas crescem para além das extremidades dos dedos e estão presentes mamilos em ambos os sexos. À 40ª semana de idade gestacional decorreram 38 semanas desde a fecundação e o trabalho de parto pode começar a qualquer momento.[32]

Alterações fisiológicas maternas

Durante a gravidez, o organismo materno passa por diversas adaptações e alterações fisiológicas fundamentais para sustentar o feto em crescimento e preparar o parto. Embora as alterações mais evidentes sejam as decorrentes do aumento do volume uterino, ocorre também um grande número de alterações hormonais, metabólicas, bioquímicas e anatómicas.[48]

Ovários, trompas de Falópio e vagina

O corpo lúteo, que normalmente se desintegra no fim do ciclo menstrual e dá origem à menstruação, é, em caso de gravidez, preservado por hormonas segregadas pela recém-formada placenta. Isto acontece porque o corpo lúteo produz duas hormonas essenciais à gravidez, a progesterona e o estrogéneo, e só após algumas semanas é que a placenta é capaz de produzir estas hormonas de forma autónoma e sem colocar em risco a gravidez. Durante os primeiros meses, o ovário onde se situa o corpo lúteo em funcionamento é consideravelmente maior, normalmente regredindo no fim da gravidez. O papel das trompas de Falópio na gravidez restringe-se à alimentação do zigoto enquanto se desloca entre o ovário e o útero. Ao longo da gravidez, a cor geralmente rosada da vagina altera-se para um tom azulado devido à dilatação dos vasos sanguíneos e, mais tarde, para vermelho devido à maior afluência de sangue. O número e o tamanho das células da mucosa vaginal aumentam, produzindo maior quantidade secreções. A superfície torna-se mais macia, flexível e relaxada com o objetivo de preparar a passagem do feto durante o parto.[1]

Útero e placenta

Ao longo dos meses do segundo e terceiro trimestres, o útero em expansão ocupa uma porção cada vez maior do abdómen da mulher (esquerda). Durante a fase final da gestação, entre as 36 e 40 semanas, o feto e o útero descem para uma posição inferior, o que popularmente se denomina "descida da barriga" (direita).

O útero é um órgão de forma semelhante a uma pêra, que compreende uma extremidade inferior, denominada colo do útero (ou cérvix), adjacente a uma parte bolbosa maior, denominada corpo do útero. Numa mulher não grávida com cerca de vinte anos, o útero mede aproximadamente sete centímetros de comprimento e pesa cerca de 30 gramas. No termo de uma gravidez, o útero mede cerca de 30 cm de comprimento, pesa cerca de 1 200 g e tem uma capacidade líquida entre 4 e 5 litros. Este aumento significativo de tamanho durante a gravidez deve-se ao aumento da quantidade de fibras musculares, vasos sanguíneos, nervos e vasos linfáticos na parede uterina. A própria fibra muscular aumenta entre cinco a dez vezes de tamanho e o diâmetro dos vasos sanguíneos e capilares aumenta consideravelmente. Durante as primeiras semanas de gestação, a forma do útero mantém-se inalterada. Por volta da 14ª semana, o corpo do útero apresenta a forma de uma esfera achatada, enquanto o colo se apresenta muito mais macio e adquire um rolhão mucoso que o protege. À medida que o feto em crescimento vai exigindo mais espaço, o corpo do útero alonga-se e a parede torna-se mais fina. A determinado ponto, sobe para além da pélvis e preenche a cavidade abdominal, exercendo pressão no diafragma e nos outros órgãos. Com a aproximação da data de termo, a cabeça do feto começa a descer em direção à pélvis, fazendo com que todo o útero acompanhe o movimento, dando origem ao que popularmente se denomina "descida da barriga". No entanto, este processo pode só ocorrer durante o parto ou não ocorrer caso o feto esteja numa posição fora do esperado. No termo da gravidez, o colo do útero vai-se tornando gradualmente mais fino e macio e, durante o parto, dilata para a passagem do bebé.[1]

A placenta é uma estrutura em forma de disco que envolve e protege o feto e o líquido amniótico. No termo da gravidez, pesa entre 500 e 1 000 gramas, mede 16 a 20 cm de diâmetro e 3 a 4 cm de espessura. Este órgão encontra-se unido às vilosidades coriónicas que revestem todo o útero, tem aparência lisa e brilhante e é constituída por diversos vasos sanguíneos que se unem no ponto onde começa o cordão umbilical. O sangue materno flui entre os vasos uterinos e o espaço interviloso, onde se acumula. Em cada vilosidade existe uma rede de vasos sanguíneos que fazem parte do sistema circulatório fetal e cuja circulação é impulsionada pelo coração do feto. Esta divisão entre a circulação materna e fetal denomina-se barreira placentária. À medida que a gravidez avança, a barreira torna-se mais fina. Esta barreira impede a passagem de células sanguíneas e de bactérias, embora permita a passagem de nutrientes, sal, vírus, hormonas e diversas substâncias, entre as quais drogas nocivas ao feto.[1]

Região pélvica

Na região pélvica, os vasos sanguíneos e linfáticos aumentam de tamanho e desenvolvem novas ramificações de modo a suportar o aumento de fluxo de sangue ao útero e restante órgãos. À medida que a gravidez avança, os músculos, ligamentos e outros tecidos da região tornam-se gradualmente mais pronunciados, elásticos e fortes de modo a permitir que o útero cresça para além da pélvis e que o bebé possa atravessar o canal de parto com maior facilidade. Os ossos pélvicos sofrem poucas alterações durante a gravidez. No entanto, a hormona relaxina relaxa a união entre os ossos frontais da bacia e entre a bacia e o sacro.[1]

Mamas

Durante o início da gravidez, uma das alterações mais percetíveis nas mamas é o agravamento da sensação de desconforto e saturação características do período pré-menstrual, que é de tal forma específica que pode ser um sinal da gravidez. À medida que a gravidez avança, os seios aumentam de tamanho, a pigmentação da aréola torna-se cada vez mais escura, e as artérias por baixo da pele e as glândulas de Montgomery tornam-se mais proeminentes. Estas alterações são causadas pelo aumento da quantidade de estrogéneo e progesterona no sangue, as quais também preparam o tecido mamário para a ação da hormona prolactina, responsável pela produção de leite após o parto. No final da gestação os ductos lactíferos começam a segregar colostro, um líquido leitoso que servirá para alimentar o bebé nos primeiros dias de vida. A produção de prolactina e a lactação continuam enquanto a mãe continuar a amamentar.[1]

Pele

Durante a gravidez aumenta a pigmentação da pele, sendo bastante comum o aparecimento de manchas irregulares na face.

Um dos sinais mais visíveis da gravidez é o aparecimento de estrias nas mamas e nos abdómen, devido ao rompimento das fibras elásticas da pele e à deposição de gordura subcutânea. Após o parto, estas marcas podem-se tornar permanentes, embora não se manifestem em muitas mulheres. Outro sinal universal é o aumento da pigmentação da pele, sobretudo das aréolas e da vulva. Também comuns são a descoloração das palmas das mãos e o aparecimento de vasos sanguíneos avermelhados na pele dos braços e da cara. Durante a gravidez, aumenta também a produção de sebo e suor pela pele, o que pode acentuar o odor. Em alguns casos, o cabelo e as unhas tornam-se mais finos. No entanto, a maior parte destas alterações desaparece após o parto.[1][49]

Sistema cardiovascular e linfático

Durante a gravidez, a necessidade cada vez maior de sangue, oxigénio e nutrientes por parte do feto e dos tecidos coloca um esforço acrescido no coração da mãe. Entre as 9 e as 14 semanas de gestação, o débito cardíaco começa a aumentar significativamente, só voltando a diminuir perto da data do parto. Entre as 28 e 30 semanas, o esforço do coração é 25 a 30% superior ao período anterior à gravidez, embora o órgão não aumente de volume. No entanto, empurrado pelo diafragma e pelo útero em crescimento, o coração da grávida fica mais perto da parede torácica, o que pode distorcer os sons ouvidos ao estetoscópio. Uma gravidez normal não provoca o aumento da pressão arterial, verificando-se, pelo contrário, uma ligeira diminuição. Aliás, o aumento da pressão arterial é um sinal de alarme, geralmente indicando a possibilidade de pré-eclampsia. Por outro lado, a pulsação arterial é ligeiramente superior durante a gravidez, causada pelo aumento do débito cardíaco, necessário para deslocar o maior volume de sangue. O aumento da circulação de sangue na pele (circulação periférica) causa, em algumas mulheres, o aumento da temperatura da pele, tendência para suar e vermelhidão das palmas das mãos.[1]

A alteração mais perceptível no sistema circulatório é o abrandamento da circulação sanguínea nos membros inferiores, o que leva ao aumento da pressão nas veias e estagnação do sangue nas pernas. Estas alterações são provocadas pela compressão da veia cava inferior pelo útero e pelo aumento da produção de hormonas. Embora sejam cada vez mais proeminentes ao longo da gravidez, podendo causar varizes e inchaço das pernas, estas alterações geralmente desaparecem após o parto. A pressão do útero em crescimento nos vasos linfáticos da pélvis provoca a diminuição da drenagem linfática das pernas, o que causa inchaço e dilatação das pernas e pés. O inchaço generalizado noutras partes do corpo é geralmente um sinal de alarme. O volume plasmático aumenta progressivamente a partir da sexta semana e o volume de hemácias aumenta depois da oitava semana. Ambos os volumes tornam-se estáveis nas últimas semanas, mas, como o aumento do volume plasmático é mais precoce e tende a ser mais acentuado do que o aumento do volume de hemácias, ocorre um efeito de diluição responsável pela chamada anemia fisiológica da gravidez. A alteração dos fatores de coagulação prepara o organismo da mulher para o momento do parto, permitindo controlar rapidamente eventuais hemorragias, embora durante a gestação e puerpério aumente o risco de trombose.[1][48]

No termo da gravidez, a quantidade de sangue de uma mulher grávida é aproximadamente 25% superior em relação ao estado de não gravidez, de modo a preencher os vasos do útero, a transportar uma maior quantidade de oxigénio e nutrientes para o feto e servir de reserva em caso de hemorragias. Este aumento é consequência do aumento do número de glóbulos vermelhos (20%) produzidos na medula óssea e pelo aumento do volume do plasma (30%), causado pela retenção de líquidos. Esta diferença de valores faz diminuir a viscosidade do sangue e causa uma anemia aparente.[1]

Sistema respiratório

Por volta do fim do segundo trimestre, o útero já se encontra saliente. Embora os seios se tenham vindo a desenvolver internamente desde o início da gravidez, as alterações visíveis só aparecem após esta fase.

Durante a gravidez, o diâmetro da caixa torácica aumenta, fazendo com que também aumente o volume ocupado pelos pulmões. No primeiro trimestre, a quantidade de ar que é inspirada e expirada por minuto aumenta 40%. Isto deve-se à atuação da progesterona nos centros respiratórios do bulbo raquidiano, o que contribui para o aumento das trocas gasosas na placenta. Imediatamente antes do parto, o número de ciclos respiratórios por minuto é aproximadamente o dobro em relação ao período posterior ao parto.[1][48][50]

Sistema digestivo

A intolerância a alimentos gordos, indigestão, desconforto e azia na parte superior do abdómen que se manifestam na maior parte das grávidas são causados por distúrbios na função gástrica. Durante a gravidez, o estômago produz quantidades cada vez menores de ácido clorídrico e pepsina, os quais são necessários para uma digestão adequada e para a regulação da acidez no estômago. Devido ao efeito relaxante da progesterona sobre as fibras musculares lisas presentes em todo o sistema gastrointestinal, os músculos da parede do estômago perdem tensão, o que diminui a sua capacidade de contração e faz com que demore mais tempo a esvaziar o seu conteúdo. A diminuição da tensão muscular também no intestino provoca a diminuição dos movimentos peristálticos. Isto faz com que aumente quantidade de tempo que a comida demora a percorrer o trato intestinal, o que causa obstipação e, consequentemente, hemorroidas, embora o aparecimento destas também se deva à pressão do útero no soalho pélvico. A alteração do paladar e do olfato é relativamente comum durante os primeiros meses de gestação, podendo a grávida passar a achar desagradáveis odores ou alimentos que anteriormente considerava agradáveis e vice-versa. Muitas grávidas queixam-se de inflamações nas gengivas e na boca; no entanto, as causas são geralmente anemia, insuficiência de vitaminas e higiene oral inadequada, e não a própria gravidez.[1][48]

Sistema urinário

As várias alterações na bexiga e na uretra são causadas pelo relaxamento dos músculos, por alterações na posição do órgão e pela pressão exercida pelo útero. Durante os primeiros meses, a pressão do útero provoca vontade de urinar frequente que diminui a partir do meio da gravidez, embora possa voltar a ocorrer perto do termo, quando o feto desce. Como consequência das alterações anatómicas, a parede da bexiga torna-se mais espessa com a dilatação dos vasos sanguíneos, retendo líquido, o que provoca inchaço ligeiro e inflamação mecânica da parede. No fim da gravidez, isto pode levar ao aparecimento de inflamações urinárias que se manifestam através de dor ao urinar e que, se não forem tratadas, podem dar origem a problemas urinários mais graves. Como consequência do relaxamento dos músculos que controlam a micção, é comum que a grávida perca alguma urina de forma involuntária ao tossir, espirrar ou rir. À medida que a gravidez avança, os uréteres e a pelve renal dilatam, perdendo capacidade de contração, o que faz com que a urina se acumule e escoe mais lentamente.[1]

A função dos rins é filtrar água, sódio, potássio, cloretos, proteínas e outras substâncias do sangue, mantendo o equilíbrio eletrolítico e químico do corpo, e recolher excedentes do sangue, expelindo-os através de urina. Durante a gravidez, o esforço que é solicitado aos rins aumenta consideravelmente devido à maior quantidade de água e sangue em circulação. Durante o início da gravidez, a secreção de grande quantidade de urina com pouca acidez, a par da pressão do útero na bexiga, provoca vontade de urinar constante. À medida que a gravidez avança, a acumulação de nitrogénio faz diminuir a excreção de ureia. A presença de proteínas na urina durante a gravidez é, geralmente, um sinal de alarme para a pré-eclampsia ou doenças renais. Durante a gravidez, a capacidade do rim de reabsorver glicose é menor e a sua presença na urina pode ser indicador de diabetes.[1]

Sistema endócrino

A progesterona tem diversas funções fundamentais na gravidez: prepara o endométrio para a implantação e crescimento do feto (imagem), diminui a resposta imunitária materna para que o corpo não rejeite o feto, relaxa e dá elasticidade aos músculos e inibe a produção de leite até ao parto, ao mesmo tempo que prepara as mamas para a amamentação.

Durante a gravidez, a maior parte das glândulas endócrinas aumentam de tamanho e algumas sofrem modificações funcionais. No início da gravidez, o lobo anterior da hipófise aumenta de tamanho, segregando as hormonas que vão estimular as restantes glândulas endócrinas e, no fim da gravidez, a hormona prolactina que vai estimular a produção de leite. Embora a tiroide aumente de tamanho, não há alterações significativas na sua função. Ao longo da gravidez, aumenta também a produção da hormona aldosterona, responsável pela retenção de sal e água pelo corpo. As ilhotas de Langerhans no pâncreas, responsáveis pela produção de insulina, aumentam de tamanho, de modo a dar resposta à maior necessidade do corpo de produtos resultantes do metabolismo dos hidratos de carbono.[1] A progesterona, em conjunto com a prolactina, induz a maturação das mamas durante a gravidez, o que vai permitir a produção de leite e amamentação após o parto, ao mesmo tempo que inibe a produção até ao momento do parto.[51]

Alterações metabólicas

O fígado é responsável por muitos dos processos metabólicos vitais, incluindo a eliminação das substâncias nocivas produzidas pelos processos metabólicos do feto. Durante a gravidez, aumenta de tamanho e peso e os seus vasos sanguíneos dilatam, ajustando-se à maior quantidade de hormonas e glóbulos vermelhos em circulação no sangue. A taxa metabólica basal começa a aumentar a partir do terceiro mês, de modo a responder às necessidades conjuntas da mãe e do feto. O corpo da grávida necessita de maior quantidade de nitrogénio, obtido a partir do metabolismo das proteínas ingeridas e fundamental para o crescimento do feto e dos tecidos. Ao longo da gravidez, a quantidade de lípidos no sangue aumenta de 600–700 mg/dL para 900–1 000 mg/dL. Embora os rins processem maior quantidade de sangue, são incapazes de reabsorver a maior quantidade de glicose, pelo que a grávida tolera uma menor quantidade de açúcar no sangue.[1]

A quantidade de água no corpo também aumenta, sendo acrescentados mais 3 500-4 000 mL de líquido ao já existente nos tecidos. Este acréscimo é retido principalmente pelo útero, pelo líquido amniótico, pelo feto e também pelos músculos, tecidos moles da pélvis e mamas. Entre um a dois meses antes da data de termo, acumula-se nas extremidades inferiores da grávida uma quantidade significativa de líquido, o que causa inchaço das pernas. Esta retenção de líquidos é acompanhada pela retenção de eletrólitos, sobretudo sódio. Quando a retenção de água e sódio é excessiva, verifica-se inchaço generalizado do corpo.[1]

Parto

O parto é o processo pelo qual nasce o bebé. Considera-se que a mulher está em trabalho de parto quando começa a sentir contrações uterinas em intervalos regulares e progressivas que gradualmente fazem descer o feto pelo colo do útero e pela vagina (canal de parto) até à sua expulsão para o exterior. Estas contrações são acompanhadas por alterações no colo do útero, o qual dilata e se torna cada vez mais fino até desaparecer. Embora a maior parte dos nascimentos ocorra por parto vaginal, podem surgir determinadas complicações que obriguem à realização de uma cesariana.[52]

Termo da gravidez

A maioria dos partos tem início num intervalo de duas semanas antes ou depois da data prevista de parto.[52] Na situação mais desejável, o trabalho de parto ocorre de forma espontânea e quando a mulher se encontra na data de termo.[53] A gravidez é considerada a termo quando a gestação durou entre 37 e 42 semanas.[54] Os eventos ocorridos antes das 37 semanas completas são considerados pré-termo e os eventos ocorridos após as 42 semanas são considerados pós-termo.[54] Os bebés nascidos entre as 39 e as 41 semanas de gestação são os que apresentam o melhor prognóstico de saúde possível, em comparação com aqueles que nascem antes ou depois deste intervalo. A não ser que exista uma recomendação médica em contrário, o parto planeado não deve acontecer antes das 39 semanas completas, a apenas com indicação médica e no caso do colo do útero ser favorável.[53][54]

O parto pré-termo, ou prematuro, está associado a uma série de riscos e problemas, pelo que é evitado sempre que possível até a gravidez se encontrar a termo.[55][56] No entanto, existem situações em que o parto prematuro é inevitável, como no caso de contrações uterinas ou rotura prematura das membranas antes das 39 semanas.[54] Quando uma gravidez excede as 42 semanas, o risco de complicações para a mulher e para o feto aumenta significativamente.[57][58] Neste casos, e quando não existam outras complicações, os obstetras geralmente optam por induzir o parto entre as 41 e 42 semanas.[59]

Trabalho de parto

O trabalho de parto tem início com a expulsão do rolhão mucoso, a rotura da bolsa de águas e contrações uterinas em intervalos regulares. Durante a fase de dilatação o colo do útero dilata até 10 cm e extingue-se, permitindo a passagem do bebé pela vagina na fase expulsiva. Após o nascimento, é cortado o cordão umbilical (imagem) e são realizados vários exames ao recém-nascido.

Os primeiros sinais que indicam o início de trabalho de parto são a expulsão do rolhão mucoso, a rotura da bolsa de águas e contrações uterinas em intervalos regulares. A expulsão do rolhão mucoso consiste na expulsão pela vagina de um muco gelatinoso, o qual pode ser rosado ou acastanhado. Esta expulsão pode ocorrer horas ou até mesmo dias antes do parto, significando que o nascimento poderá ocorrer em breve. A rotura da bolsa de águas é a saída do líquido amniótico pela vagina, causada pela rotura das membranas que envolvem o bebé. O líquido amniótico é normalmente claro e transparente e a sua saída pode ocorrer de forma lenta e gradual ou bruscamente e em grande quantidade. No início do trabalho de parto as contrações são irregulares e pouco frequentes e, gradualmente, vão-se tornando mais regulares, intensas e próximas. As contrações do trabalho de parto, regulares e dolorosas, não devem ser confundidas com as contrações de Braxton Hicks, que são contrações irregulares e indolores comuns nas últimas semanas de gestação.[52][60]

Na grande maioria das gravidezes (80-90%), o trabalho de parto começa nas 24 horas a seguir à rotura da bolsa de águas. Geralmente recomenda-se a deslocação para a instituição de saúde onde irá ocorrer o parto quando rompem as águas ou quando as contrações são regulares, dolorosas e com intervalos de dez minutos entre cada uma delas. Na primeira gravidez, o trabalho de parto geralmente não demora mais do que 12-14 horas. Em gravidezes posteriores é mais curto, demorando em média 6-8 horas. Pensa-se que o parto seja provocado pela ação da ocitocina, uma hormona que causa a contração do útero. O trabalho de parto vaginal divide-se em 3 etapas: dilatação, expulsão e dequitadura. Geralmente, as 4 horas posteriores à expulsão da placenta são também denominadas quarta etapa do trabalho de parto.[52][60]

Primeira etapa: dilatação

O período de dilatação é o intervalo de tempo desde o início do trabalho de parto até à dilatação completa do colo do útero (cerca de 10 cm). Esta etapa é a mais longa do trabalho de parto, podendo ultrapassar as 12 horas no primeiro filho. A etapa de dilatação pode ser dividida em duas fases: a fase latente e a fase ativa. Na fase latente, que dura em média 8,5 horas na primeira gravidez, as contrações do útero tornam-se gradualmente mais intensas e ritmadas, o colo do útero contrai-se e dilata até cerca de 4 cm e a sensação de desconforto ainda é mínima. Na fase ativa, o colo do útero dilata entre 4 e 10 cm e a parte com que o bebé se apresenta (geralmente a cabeça) começa a descer pelo canal de parto, pelo que a mãe começa a sentir a necessidade de fazer força. A fase ativa dura em média 5 horas na primeira gravidez e 2 nas gravidezes seguintes.[52][60]

Se, ao fim de 24 horas após a rotura das membranas, o trabalho de parto ainda não tiver começado, geralmente é necessária a indução do parto para reduzir o risco de infeção causado pela entrada das bactérias da vagina no útero. O parto é geralmente induzido com a administração de ocitocina. Ao dar entrada no hospital, geralmente com contrações fortes de 5 em 5 minutos e uma dilatação superior a 4 cm, são feitos vários exames e análises de sangue e urina, controla-se o ritmo cardíaco da mãe e do feto e é avaliada a apresentação do feto. Se, durante a rotura das membranas, o líquido amniótico se apresentar com uma coloração esverdeada, significa que o feto defecou mecónio para o líquido e pode ser um indicador de sofrimento fetal.[52]

Segunda etapa: expulsão

A fase expulsiva é o intervalo de tempo desde a dilatação completa do colo uterino até à expulsão completa do bebé pela vagina. Esta etapa pode durar até 60 minutos na primeira gravidez e cerca de 15-30 minutos nas gravidezes seguintes. A posição e apresentação do feto determinam como vai passar pela vagina. Nas semanas anteriores ao parto, normalmente o bebé dá a volta para que a cabeça se apresente de frente para a vagina (apresentação cefálica). Esta é a apresentação mais segura e frequente. A apresentação de nádegas (podálica) e de ombros (transversal) fazem com que o parto seja mais complicado, ao tornarem mais difícil a passagem do feto no canal vaginal. É durante esta etapa que é pedido à mãe que faça força em cada contração, de modo a deslocar o feto pela vagina, descontraindo entre as contrações. Em algumas situações é necessário realizar um pequeno corte cirúrgico do períneo (episiotomia) para evitar rompimentos dos tecidos.[52][60]

Terceira etapa: dequitadura

O contacto entre a pele da mãe e do bebé nas duas horas a seguir ao parto diminui o choro, melhora a interação mãe-filho e ajuda a mãe a conseguir amamentar.

A dequitadura é o intervalo de tempo entre a expulsão do bebé e a expulsão da placenta e normalmente dura poucos minutos.[52] A expulsão da placenta tem início com o desprendimento fisiológico da placenta da parede do útero.[61] Mais de metade das mortes maternas acontece nas 24 horas posteriores ao parto e são causadas principalmente por hemorragias pós-parto. A Organização Mundial de Saúde recomenda que seja feita a gestão ativa da terceira etapa do parto, de modo a diminuir o risco de hemorragias pós-parto. A gestão ativa consiste na administração de uterotónicos durante ou após a expulsão do feto, na remoção controlada do cordão umbilical e da placenta e em massagem uterina.[62][63]

Parto por cesariana

O parto por cesariana é uma opção apenas quando existem razões médicas que o justificam, uma vez que também tem riscos associados.

Uma cesariana é um procedimento cirúrgico em que é feita uma ou mais incisões no abdómen e útero da grávida para fazer nascer o bebé. Este procedimento é geralmente realizado quando um parto vaginal coloca em risco a saúde da mãe ou do bebé. Antes da incisão são administrados antibióticos. É feita uma incisão no útero, a qual é alargada ao longo do eixo céfalo-caudal, sendo depois extraído o bebé e, por fim, a placenta.[64] É usada anestesia local em 95% das cesarianas, sendo as mais comuns a anestesia espinhal e a combinação de anestesia espinhal com anestesia epidural. Em ambas a grávida permanece acordada.[65]

Entre as razões médicas mais comuns que justificam a realização de uma cesariana estão a placenta prévia, infeção por VIH, pélvis contraída, apresentação do feto difícil ou uma cesariana anterior. Entre os potenciais benefícios são citados a maior segurança para o bebé, menor trauma no soalho pélvico para a mulher, conveniência e ausência das dores do trabalho de parto. No entanto, as cesarianas também estão associadas ao aumento do risco de morbilidade ou mortalidade para a mãe, sequelas psicológicas adversas, infeções pós parto e problemas nas gravidezes futuras, incluindo rotura do útero e um risco acrescido de morbilidade neonatal. Pensa-se também que as diferenças fisiológicas da cesariana para o parto vaginal possam ter implicações no bebé, uma vez que a cesariana pode aumentar o risco de problemas de saúde a curto e a longo prazo.[66][67]

No entanto, e apesar dos riscos, algumas cesarianas são realizadas a pedido da mãe e sem uma razão médica que a justifique.[68] A Organização Mundial de Saúde e as recomendações internacionais alertam para que não sejam realizadas cesarianas antes das 39 semanas e que não sejam realizadas cesarianas sem que exista uma justificação médica. Em muitos países, recorre-se a cesarianas com maior frequência daquilo que é necessário (idealmente entre 10 e 15%), pelo que muitos governos e instituições promovem programas para diminuir a prevalência de cesarianas em relação ao parto vaginal.[69]

Puerpério

O puerpério, ou período pós-natal, tem início imediatamente a seguir ao nascimento e prolonga-se por seis semanas. Durante este período, o corpo da mãe regressa ao estado anterior à gravidez, incluindo a alteração na quantidade de hormonas e no tamanho do útero. No período imediatamente a seguir ao nascimento, a libertação de hormonas faz com que a mãe e o bebé criem uma ligação única. A mãe liberta ocitocina, a qual também é libertada durante a amamentação. O contacto entre a pele da mãe e do recém-nascido imediatamente a seguir ao parto apresenta benefícios para ambos: diminui o choro, melhora a interação mãe-filho e ajuda a mãe a conseguir amamentar. A Organização Mundial de Saúde recomenda que se promova o contacto entre a pele da mãe e do recém-nascido nas duas horas imediatamente a seguir ao parto, uma vez que é neste intervalo de tempo que estão mais alertas, em comparação com as horas seguintes.[70][71]

Acompanhamento médico pré-natal

Ao longo da gravidez, são realizados de forma periódica vários exames e consultas. Os exames de rastreio destinam-se a avaliar o grau de risco da gravidez e incluem análises ao sangue, análises à urina e ecografias Alguns são exames de rotina realizados em todas as grávidas, enquanto que outros são realizados apenas em determinado grupo de risco. Quando um exame de rastreio indica risco acrescido para determinada doença, geralmente é seguido por um exame de diagnóstico que confirma a presença dessa doença.[72]

Consultas médicas

A primeira consulta médica durante a gravidez é geralmente realizada entre as seis e oito semanas de gestação, ou entre duas e quatro semanas de atraso do período menstrual. Nesta primeira consulta exaustiva são calculadas a idade gestacional e a data prevista de parto e realizados diversos exames e análises para determinar o estado de saúde da grávida e potenciais riscos à gravidez. Determina-se o peso, altura e a pressão arterial e são examinados o pescoço, tiroide, mamas, abdómen, membros, coração, pulmões e os olhos. São também pedidas análises sanguíneas para a contagem de células, determinação do grupo sanguíneo, antiRH e deteção de doenças sexualmente transmissíveis como a sífilis, hepatite, gonorreia, VIH, rubéola e clamídia. É também realizado um exame ginecológico que determina o tamanho e posição do útero e eventuais anomalias. Pode ser realizado um teste de Papanicolau para a presença de cancro do colo do útero e exames genéticos em mulheres em grupos de risco para o desenvolvimento de fetos com malformações genéticas. Em mulheres negras e de origem mediterrânica podem ser feitos testes à drepanocitose.[73]

As consultas de acompanhamento são geralmente agendadas de quatro em quatro semanas até às 32 semanas de gestação, sendo a partir daí de 2 em 2 semanas até às 36 semanas, e uma vez por semana até ao parto. Nestas consultas são anotados o peso, tensão arterial e tamanho e forma do útero. Em cada consulta é recolhida e analisada uma amostra de urina para detectar a presença de açúcar, que pode ser um sinal de diabetes, e de proteínas, que podem ser um sinal de pré-eclampsia.[73]

Análises ao sangue

Na primeira consulta são geralmente realizadas análises ao sangue de rotina a todas as grávidas. Se a grávida fizer parte de um grupo de risco, podem ser adicionalmente realizadas análises a biomarcadores específicos. Nas situações em que a grávida apresenta um risco acrescido de síndroma de Down, por volta das dez semanas são realizadas análises para determinar o nível das hormonas fetais, da proteína plasmática associada à gravidez (PAPP-A) e da gonadotrofina coriónica humana (HCG). Por volta das dezasseis semanas, algumas instituições de saúde realizam análises adicionais. Dependendo da instituição e do risco da gravidez, podem ser requisitadas análises para medição da alfafetoproteína (AFP), uma análise tripla (AFP, HCG e estriol) ou uma análise quádrupla (que também analisa a inibina-A).[72] Quando o fator Rh do sangue da mãe é negativo e existe a possibilidade de doença de Rhesus, geralmente confirma-se a presença de anticorpos antiRh no sangue.[73]

Um valor elevado de alfafetoproteína no sangue da grávida indica uma maior probabilidade de doenças do tubo neural como espinha bífida, anencefalia e outras anomalias no feto. Por outro lado, um valor baixo de alfafetoproteína no sangue em conjunto com um valor elevado de gonadotrofina coriónica humana e um valor baixo de estriol indicam uma maior probabilidade de síndrome de Down. No entanto, existem outras causas que explicam valores elevados: erro no cálculo da idade gestacional, a existência de mais do que um feto, ameaça de aborto ou morte do feto. Em caso de valores elevados, geralmente é recomendada a realização de uma ecografia. No entanto, em 2% dos casos a ecografia não revela a causa do aumento dos valores, situação em que se recomenda a realização de uma amniocentese para medir os valores de alfaproteína no líquido amniótico.[74]

Ecografia

A ecografia é um exame seguro que não implica nenhum risco para a grávida ou para o feto e que permite detectar algumas doenças congénitas durante a fase inicial da gravidez, estimar com maior precisão a idade gestacional e a data prevista de parto e detetar uma gravidez múltipla.[74] A partir das cinco semanas e meia de gestação já é possível observar o embrião. Quando este atinge 5mm é possível observar o batimento cardíaco por ecografia pélvica, embora em alguns casos só seja visível quando atinge os 7mm, o que acontece por volta da 7ª semana.[75] As recomendações internacionais de saúde pública recomendam que seja realizada pelo menos uma ecografia de rotina a todas as grávidas entre as 18 e as 22 semanas de gestação (ecografia do segundo trimestre) e, em países com recursos, que seja também realizada uma ecografia de rotina entre as 11 semanas e as 13 semanas e seis dias de idade gestacional (ecografia do primeiro trimestre). Em alguns países realiza-se ainda uma ecografia de rotina entre as 30 e as 32 semanas (ecografia do terceiro trimestre). Em todas as ecografias de rotina de uma gravidez de baixo risco são avaliados o número de fetos e placentas, a atividade cardíaca, os movimentos fetais, a localização da placenta, a quantidade de líquido amniótico e os valores biométricos. Para além destes parâmetros gerais, em cada trimestre são também avaliados parâmetros específicos.[76][77][78][79]

Na ecografia do primeiro trimestre são geralmente avaliados o comprimento crânio-caudal, a frequência cardíaca do feto, a medida da translucência da nuca, se gémeos partilham ou não a placenta (corionicidade) e a anatomia do feto (pólo cefálico, coluna vertebral, estômago, parede abdominal e membros).[79] O comprimento crânio-caudal permite determinar a idade gestacional com uma precisão ligeiramente superior aos cálculos com base no último período menstrual. Uma vez determinada a idade gestacional por ecografia, não será alterada até ao fim da gravidez.[80] Durante a ecografia do primeiro trimestre é também calculado o risco de trissomia 21. Este risco é calculado através da ponderação conjunta do valor de translucência da nuca medido por ecografia, da idade da mãe e, sempre que possível, do rastreio por análises clínicas da fração livre da gonadotrofina coriónica humana e da proteína plasmática associada à gravidez. Este rastreio combinado identifica 90% dos casos de trissomia 21 e outras principais doenças congénitas.[81]

A ecografia do segundo semestre, ou ecografia morfológica, para além de confirmar alguns dados do primeiro trimestre, destina-se principalmente a identificar malformações do feto. São avaliados o contorno craniano e cérebro, face e pescoço, coração, pulmões, abdómen, coluna vertebral, membros, cordão umbilical e genitais externos. É possível distinguir o sexo do feto por ecografia a partir das 11 semanas de gestação. No entanto, só a partir das 13 semanas é que é possível fazê-lo com uma precisão entre 99% e 100%.[82] Na ecografia do terceiro trimestre são avaliados a apresentação fetal, o perímetro cefálico, perímetro abdominal, comprimento do fémur e vários parâmetros biofísicos.[79]

Exames de diagnóstico

Os exames de diagnóstico são geralmente propostos a grávidas que apresentem um risco acrescido de doenças cromossómicas. Os fatores de risco mais comuns são a idade superior a 35 anos, antecedentes familiares de doenças cromossómicas, como a síndrome de Down, ou de doenças genéticas, como a fibrose cística, um problema detectado na ecografia ou um risco elevado detectado nos exames de rastreio ou em função de um valor de translucência nucal elevado.[72]

Amniocentese

Os exames de diagnóstico invasivos, como a amniocentese ou a biópsia das vilosidades coriónicas (na imagem), permitem confirmar a presença de determinadas doenças no feto. No entanto, por implicarem um risco de aborto espontâneo, ainda que muito pequeno, só são realizados quando os exames de rastreio indicam uma probabilidade elevada de doença ou malformação grave.

A amniocentese é um exame de diagnóstico utilizado para confirmar a presença de defeitos na espinal medula, de diversas anomalias cromossómicas, como a síndrome de Down, e de doenças autossómicas recessivas como a fibrose cística e a doença de Tay-Sachs. Este exame também permite determinar com 100% de certeza o sexo do bebé. No entanto, nem todas as malformações podem ser detectadas através de amniocentese.[1] O exame consiste na inserção de uma agulha no abdómen para recolha de uma amostra de líquido amniótico. Como este exame apresenta um risco de aborto espontâneo, embora muito baixo (0,06% ou 1:1600), não é um procedimento de rotina e é apenas apresentado como opção a mulheres com idade superior a 35 anos, a mulheres com resultados fora do normal nas análises triplas do primeiro trimestre e a mulheres com historial familiar de determinadas doenças ou malformações. A amniocentese é geralmente realizada a partir das 16 semanas de gestação e os resultados demoram, no mínimo, duas semanas a ser obtidos.[83][84]

Biópsia das vilosidades coriónicas

A biópsia das vilosidades coriónicas é um exame de diagnóstico que consiste na recolha de uma amostra das vilosidades coriónicas do útero, as membranas embriónicas exteriores. Embora semelhante à amniocentese, este exame pode ser realizado bastante mais cedo, geralmente entre as oito e doze semanas de gestação, o que em caso de resultados desfavoráveis permite optar pela interrupção da gravidez numa fase precoce. Por ser realizado mais cedo, apresenta um risco de aborto espontâneo significativamente superior ao da amniocentese (1-2%).[1][72]

Cuidados de saúde pré-natal

Existem diversas medidas que a grávida pode tomar para promover a saúde e o bem-estar dela e do bebé em crescimento. Por outro lado, é também importante que conheça os comportamentos de risco que colocam em risco a saúde do feto.[85] Entre os cuidados de saúde essenciais estão a suplementação com ácido fólico, a abstenção do consumo de tabaco, álcool e drogas, a prática de exercício físico adequado à gravidez, a comparência às consultas de acompanhamento e exames médicos e ecografias recomendados.[9]

Alimentação

Os peixes gordos, como o salmão (imagem), a cavala, a sardinha, a truta ou o atum são ricos em ómega-3 DHA e proteínas.

Durante a gravidez, é de especial importância seguir uma dieta equilibrada, aumentando a qualidade nutricional dos alimentos de modo a responder às exigências do bebé em crescimento. As necessidades diárias de uma grávida incluem 2-3 doses de proteínas, 2-3 doses de lacticínios e 5 doses de fruta e legumes. Do total de calorias ingeridas por dia, pelo menos um terço devem ser hidratos de carbono complexos; no máximo um terço devem ser lípidos (gorduras); enquanto que o consumo de hidratos de carbono simples (açúcares) deve ser mínimo. No último trimestre, a grávida necessita de aumentar a ingestão diária de calorias de 2 000 para 2 200.[85]

As proteínas podem ser obtidas de alimentos como o peixe, carne, lacticínios, feijão, leguminosas, lentilhas, nozes e derivados de soja, e o seu consumo durante a gravidez deve aumentar 13%. É importante separar o excesso de gordura da carne e a pele das aves. Devem ser incluídos na dieta uma variedade de lacticínios, especialmente durante o fim da gravidez. Os hidratos de carbono complexos, como o pão, os cereais ou as batatas, que são a base de qualquer dieta, assumem particular importância durante a gravidez, já que devem constituir a principal fonte de energia, em vez das gorduras. Há maiores benefícios no pão escuro ou integral, arroz e massas integrais, batatas, cuscuz e cereais como a aveia, cevada e centeio. As frutas e legumes fornecem vitaminas, sais minerais e fibras. Os citrinos, pêssegos, mangas e quivis fornecem vitamina C que ajuda à absorção de ferro. Entre os alimentos ricos em ácido fólico estão os espinafres (frescos, congelados ou enlatados), legumes verdes (alface, bróculos, espargos), citrinos, melão, grão-de-bico, e ovos.[85][86]

O ómega-3 DHA é um ácido gordo essencial para o desenvolvimento do cérebro, nervos e retina, estando naturalmente presente no leite materno. É importante que a mulher consuma uma quantidade adequada de ómega-3 durante a gravidez e amamentação, uma vez que os bebés ainda em desenvolvimento não o conseguem produzir de forma eficaz e necessitam de receber este nutriente vital através da mãe.[87] Pode ser obtido a partir dos peixes gordos, como a cavala, arenque, sardinha, salmão, truta, atum fresco, avelãs e nos óleos de colza e de linhaça.[85] Deve-se evitar as gorduras da comida processada e substituir as gorduras saturadas (como a manteiga, natas ou banha de porco) por gorduras monoinsaturadas (como o azeite) e poliinsaturadas (como o óleo de girassol). Devem-se evitar os açúcares.[85]

Suplementos

A ingestão adequada de suplementos de ácido fólico (também denominado Vitamina B9) no período periconcecional diminui o risco de malformações fetais graves, principalmente defeitos do tubo neural como a espinha bífida, uma doença congénita grave. O tubo neural desenvolve-se durante os primeiros 28 dias da gravidez, pelo que é importante que a toma de ácido fólico seja iniciada ainda antes da concepção.[88][89] Alguns micronutrientes são importantes para a saúde do feto em desenvolvimento, principalmente em regiões onde a subnutrição é prevalente.[90] Em países desenvolvidos, como na Europa ocidental e na América do Norte, pode ser necessária a suplementação com determinados nutrientes como a vitamina D e o cálcio, necessários para o desenvolvimento ósseo.[91][92][93]

Segurança alimentar

Durante a gravidez o sistema imunitário encontra-se diminuído. Lavar criteriosamente os vegetais crus pode remover alguns patógenos perigosos como a Listeria e a Toxoplasma gondii. Há vários alimentos que não devem ser consumidos crus ou não pasteurizados, como a carne, peixe, marisco, ovos e leite, devido ao risco de toxoplasmose, listeriose e outras doenças.

Durante a gravidez, o sistema imunitário da mulher encontra-se diminuído para que o corpo não rejeite o ADN do bebé em crescimento. No entanto, isto faz com que o corpo esteja também mais susceptível a intoxicações alimentares, pelo que a grávida deve ter cuidados acrescidos com a higiene dos alimentos e evitar o consumo de determinados alimentos. Os alimentos podem ser contaminados por algumas bactérias ou parasitas perigosos para a gravidez, como a Listeria e a Toxoplasma gondii. A lavagem criteriosa da fruta e dos vegetais crus pode remover alguns destes patógenos. A carne crua, a carne processada e todas as sobras de comida devem ser sempre cozinhadas e sempre bem passadas. As mulheres grávidas estão também mais suscetíveis a infeções por salmonelas a partir de ovos ou carne de aves, os quais devem também ser plenamente cozinhados e nunca ingeridos crus.[85][94]

É seguro comer queijos curados e alguns moles, desde que pasteurizados. No entanto, devido ao risco de listeriose e salmonelose devem ser evitados todos os queijos moles que são amadurecidos na forma, como o brie e o camembert, e todos os queijos que não forem pasteurizados. Só deve ser consumido leite ultrapasteurizado. Devem ser evitados gelados e sorvetes caseiros ou de quiosques. Não se deve consumir qualquer alimento que contenha ovos crus ou mal passados, como a maionese caseira, mousses, ovos cozidos moles, omeletas, ovos mexidos ou escalfados e pratos com ovos pouco cozinhados como o tiramisu, leite-creme e merengues. Devido ao risco de toxoplasmose e listeriose, devem ser evitados todos os legumes e fruta não lavados. Podem ser consumidos desde que sejam cozinhados ou crus, desde que bem lavados em água corrente ou descascados.[85][94]

Devido ao risco de toxoplasmose e E. coli, não deve ser comida carne crua, mal passada ou pré-cozinhada; carnes fumadas e curadas não cozinhadas, como toucinho, fiambre, presunto e enchidos como o chouriço, salame ou mortadela. Também não deve ser consumido fígado e produtos derivados, devido à elevada quantidade de retinol, nocivo para o bebé em gestação. No entanto, é seguro consumir carne bem cozinhada e carnes curadas, desde que cozinhadas. Pode ser consumido frango cozinhado pré-embalado, desde que aquecido por completo. Devido ao risco de toxoplasmose, não deve ser comido peixe cru, mal passado ou fumado não cozinhado, como sushi ou sashimi. O peixe deve ser bem cozinhado, sendo também seguro consumir peixe enlatado. O tubarão, peixe-espada e o espadarte contêm níveis excessivos de mercúrio. Devido ao risco de salmonelose e campilobactéria deve ser evitado o consumo de marisco cru, como as ostras, e qualquer marisco à venda sem data de validade, embora possa ser consumido marisco bem cozinhado quente. Devem também ser evitados alimentos pré-cozinhados frios, como quiches, devendo ser aquecidos na totalidade para poderem ser consumidos.[85][94]

Peso

A quantidade de peso adquirida durante a gravidez varia de mulher para mulher.[95] Em pessoas com peso normal (IMC de 18,5–24,9), o valor de referência para o ganho total de peso numa gravidez com um único feto é entre 11,3 e e 15,9 kg.[96] Em mulheres com baixo peso (IMC < 18,5), o aumento de peso deve ser entre 12,7 e 18 kg; as mulheres com pré-obesidade (IMC 25–29,9) são aconselhadas a ganhar entre 6,8 e 11,3 kg; e mulheres obesas (IMC ≥30) devem aumentar apenas entre 5 e 9 kg.[97] Um aumento excessivo de peso durante a gravidez potencia o risco de complicações para a mãe e para o bebé, incluindo a necessidade de uma cesariana, hipertensão gestacional, pré-eclampsia, macrossomia fetal e distócia de ombro, enquanto que o aumento insuficiente de peso coloca em risco o fornecimento adequado de nutrientes.[95][98] A dieta é a forma mais eficaz de diminuir o aumento excessivo de peso durante a gravidez e os riscos associados.[98] No entanto, ainda não é clara qual é a melhor intervenção para ganhar peso em mulheres que não adquirem peso suficiente.[99]

A maior parte do peso é adquirida numa fase avançada da gravidez, e só uma parte desse peso é que se deve ao bebé.[99] Numa gravidez média, o feto, a placenta e os líquidos no útero pesam cerca de 4,5 kg; o aumento de tamanho do útero e das mamas corresponde a cerca de 2,25 kg; e o aumento de líquidos e gordura no corpo a 2,25 kg. Durante o parto, a mulher perde 7 kg e os restantes 2,25 kg de líquidos são eliminados à medida que o útero encolhe. No entanto, caso a mulher não limite a ingestão de calorias após o parto, pode não perder o restante peso.[1]

Substâncias nocivas

Muitos medicamentos comuns, como a aspirina, a codeína ou o ibuprofeno são nocivos durante a gravidez.

Muitos medicamentos de venda livre para tratar doenças comuns, como tosse, constipações ou gripe, são nocivos durante a gravidez. O uso recreativo de drogas e o consumo de tabaco e álcool durante a gravidez podem causar diversas complicações graves na saúde do feto.[100]

Medicamentos

O uso de determinados fármacos durante a gravidez pode causar efeitos temporários ou permanentes no feto. Muitos médicos optam por não prescrever medicamentos a mulheres grávidas, devido sobretudo ao risco de teratogenicidade desses fármacos. Do ponto de vista da segurança de uso na gravidez, as categorias farmacológicas na gravidez classificam os medicamentos nas categorias A, B, C, D e X. Isto baseia-se no sistema de classificação da Food and Drug Administration norte-americana, o qual tem por base os potenciais benefícios e riscos para o feto. Os medicamentos, incluindo suplementos vitamínicos, que não tenham demonstrado riscos para o feto em estudos controlados em seres humanos são classificados na categoria A. Por outro lado, medicamentos como a talidomida, com riscos que superam todos os benefícios, são classificados na categoria X.[101]

Entre os medicamentos mais comuns, a aspirina deve ser evitada, já que pode afetar a circulação sanguínea. A codeína está associada a algumas deficiências congénitas. O ibuprofeno está associado a problemas no crescimento do coração e do feto. O paracetamol é seguro em pequenas doses, embora a sobredosagem possa causar problemas nos rins e no fígado do bebé. A maior parte dos medicamentos para a tosse, constipação e gripe contêm codeína, aspirina, ibuprofeno ou paracetamol. Os medicamentos para enxaquecas geralmente têm codeína. Os medicamentos para a diarreia não são seguros porque atrasam o funcionamento do estômago e do intestino, já de si lento devido à gravidez. Os laxantes que contêm sene, cáscara ou bisacodil não são seguros, uma vez que estes fármacos podem atravessar a placenta e impedir os intestino de funcionar corretamente, impedindo o bebé de receber nutrientes. Alguns antibióticos são seguros. Os cremes vaporizantes também são seguros.[100] A isotretinoína, usada em alguns medicamentos para o tratamento de acne, é teratogénica, havendo o risco elevado de causar malformações no feto se tomada durante a gravidez.[102]

Álcool, tabaco e drogas recreativas

O tabaco, o álcool e as drogas recreativas são substâncias nocivas que podem causar diversas malformações e doenças no feto, pelo que o seu consumo deve ser suspenso durante a gravidez.

O consumo de etanol pode provocar síndrome alcoólica fetal. Vários estudos demonstraram que, embora o consumo ocasional de bebidas alcoólicas possa não apresentar riscos imediatos para o feto, não é possível garantir a total segurança do consumo de álcool, mesmo que seja ingerido em quantidades pequenas.[103] Beber sete ou mais bebidas por semana pode ser prejudicial e pode causar restrições de crescimento no feto. O consumo excessivo pode causar dificuldades de aprendizagem, problemas de comportamento e deficiências físicas na criança. As políticas de saúde pública geralmente reconhecem que é pouco provável que o consumo ocasional possa causar problemas, mas que só a abstinência total é que elimina todos os possíveis riscos.[104]

O consumo de tabaco durante a gravidez pode provocar uma série de dificuldades neurológicas, físicas e comportamentais.[105] Fumar durante a gravidez duplica o risco de ruptura prematura de membranas, descolamento prematuro da placenta e placenta prévia.[106] Aumenta também em 30% o risco do bebé nascer de forma prematura.[107] Recomenda-se que durante a gravidez e amamentação seja interrompido o consumo de cannabis, uma vez que esta substância pode estar associada a restrições no crescimento do feto, aborto espontâneo e défices cognitivos na linguagem e atenção, e comportamentos delinquentes mais tarde na vida.[108][109] O consumo de metanfetaminas pode provocar partos prematuros, doenças congénitas,[110] e, a curto prazo após o parto, pequenos défices na função neurocomportamental e restrição do crescimento da criança, em comparação com a generalidade da população.[111] Acredita-se ainda que o uso pré-natal de metanfetaminas possa ter efeitos a longo prazo no desenvolvimento cerebral.[110]

Outras substâncias

A exposição intrauterina a toxinas ambientais tem o potencial de causar efeitos adversos no desenvolvimento pré-natal do embrião ou do feto e ainda de causar complicações da gravidez. Entre os potenciais efeitos das substâncias tóxicas e da poluição estão as malformações congénitas e incapacidade mental da criança mais tarde na vida. Entre as condições especialmente gravosas durante a gravidez estão a intoxicação por mercúrio e a intoxicação por chumbo. Algumas recomendações incluem verificar se a habitação foi pintada com tinta de chumbo, sobretudo em casas antigas, lavar todos os alimentos, tentar consumir alimentos biológicos e evitar o contacto com produtos com o rótulo "tóxico" ou qualquer produto com um rótulo de aviso.[112] As fezes dos gatos apresentam um risco particularmente elevado de transmitir a toxoplasmose.[94]

Exercício físico

As mulheres que não apresentem riscos ou complicações na gravidez estão aptas a praticar exercício de intensidade moderada, como jogging, desde que por períodos curtos de tempo e desde que tenham o cuidado de nunca sobreaquecer o corpo.

A prática regular de exercício aeróbico durante a gravidez aparenta melhorar ou manter a aptidão física da grávida e inclusive diminuir o risco de cesariana.[113] No entanto, a qualidade das evidências é pouca e os dados são insuficientes para determinar riscos ou benefícios relevantes para a mãe e para o bebé.[114] No passado, pensava-se que eventuais benefícios à mãe não compensavam os potenciais riscos para o feto. No entanto, as informações mais recentes sugerem que em gravidezes sem complicações é muito improvável que surjam lesões no feto, desde que o exercício seja adequado à gravidez. No entanto, há várias circunstâncias em que a grávida deve consultar um médico antes de continuar um programa de exercício: hemorragias vaginais, dispneia antes do esforço, tonturas, dores de cabeça, dores no peito, fraqueza muscular, risco de parto pré-termo, diminuição dos movimentos fetais, fuga de líquido amniótico e dores ou inflamação dos gémeos.[115]

Embora não se tenha ainda determinado um limite seguro de intensidade, as mulheres que praticavam exercício físico regular antes da gravidez, e que não apresentam complicações na gravidez, estão aptas a praticar programas de exercício de alguma intensidade, como jogging ou aeróbica, desde que por períodos não superiores a 45 minutos, desde que estejam conscientes que pode ser necessário aumentar o consumo de energia e desde que tenham o cuidado de nunca sobreaquecer o corpo. Na ausência de outras complicações médicas ou obstétricas, recomenda-se que o tempo de exercício diário não exceda os 30 minutos. A participação em diversas atividades recreativas e desportos aparenta ser segura, desde que se evite aquelas nas quais existe um risco de queda, como esqui ou hipismo, ou atividades onde existe risco de trauma abdominal, como futebol ou hóquei.[115]

Bem-estar emocional

Especialmente durante as primeiras semanas, o cansaço pode ser avassalador, pelo que é importante que a grávida descanse o suficiente e esteja relaxada. As técnicas de relaxamento ajudam a diminuir a pressão arterial e a aumentar o fornecimento de oxigénio ao bebé.[116]

Sono

Durante as primeiras semanas de gravidez, o ritmo metabólico aumenta 20% e a pressão no útero provoca vontade de urinar frequente, o que diminui o tempo e qualidade do sono. No último trimestre, o volume da barriga torna difícil encontrar uma posição para dormir. Geralmente, recomenda-se que a grávida se deite sobre o lado esquerdo com uma almofada a apoiar a barriga e entre as pernas, que evite bebidas estimulantes como o chá ou café, que permaneça fresca e que realize exercícios ligeiros durante o dia.[116] Tem sido sugerido que, pelo menos durante o último trimestre, se deve evitar o trabalho por turnos e a exposição a luz intensa durante noite, de modo a diminuir o risco de problemas psicológicos e comportamentais no recém-nascido.[117] Tem sido proposto como mecanismo explicativo que o ritmo circadiano da mãe programa o ritmo em desenvolvimento do feto.[117]

Atividade sexual

Desde que não existam contra-indicações médicas e que não se exerça pressão sobre o abdómen, o sexo durante a gravidez é uma atividade saudável e benéfica para a grávida.

A maior parte das grávidas pode manter uma vida sexual ativa ao longo da gravidez. O sexo durante a gravidez é uma atividade de baixo risco, saudável e perfeitamente segura, que relaxa a mulher e ajuda a exercitar o soalho pélvico e os músculos do útero. O bebé está protegido dentro da placenta e o rolhão mucoso impede que o esperma passe para além da vagina. No entanto, há casos em que o profissional de saúde pode recomendar a abstinência sexual por motivos médicos, geralmente quando a grávida tem antecedentes de aborto espontâneo, parto prematuro, hemorragias durante a gravidez ou placenta prévia. É importante que o companheiro sexual nunca exerça pressão sobre o abdómen da grávida, pelo que se recomenda experimentar posições diferentes e descobrir aquelas que sejam mais confortáveis.[118][119] A maior parte da investigação sugere que durante a gravidez se verifica uma diminuição do desejo sexual e da fequência das relações sexuais.[120][121] No contexto desta diminuição geral do desejo sexual, alguns estudos indicam porém um aumento do desejo no segundo trimestre e novamente uma diminuição no terceiro trimestre.[122][123]

Incómodos e desconfortos

Durante uma gravidez normal e sem complicações, são comuns vários incómodos ou desconfortos. Trata-se de manifestações e condições normais que resultam da gravidez, mas que não interferem com as atividades quotidianas nem são uma preocupação para a saúde da mãe e do bebé, ao contrário das complicações da gravidez. No entanto, a separação entre ambas nem sempre é clara e um incómodo com maior gravidade pode ser considerado uma complicação.[124]

Pele

Praticamente todas as grávidas manifestam prurido na barriga, provocado pela pele esticada e consequente desidratação, que pode ser aliviado com um creme hidratante. No entanto, comichão frequente nas mãos e nos pés pode indicar colestase. É normal que as sardas e os sinais se tornem mais escuros devido à pigmentação da pele; no entanto, quaisquer alterações no tamanho, forma e cor dos sinais deve ser comunicada ao médico. Em 70% das grávidas aparece uma pigmentação no rosto denominada cloasma e, na parte inferior do abdómen, a linea nigra. São também comuns as erupções cutâneas devido ao calor e o aumento da sudação e do odor corporal. A pele seca é comum e resulta do aumento da quantidade de estrogénio, podendo ser minimizada com a ingestão de bastante água, evitando locais com ar condicionado e radiadores de calor e com a aplicação de creme hidratante. O acne durante a gravidez é perfeitamente normal. No entanto, existem alguns medicamentos para o tratamento de acne que podem provocar malformações graves no feto. Cerca de metade das mulheres desenvolvem estrias que, embora não tenham tratamento, podem ser minimizadas com um creme hidratante gordo.[124]

Dores

Ao contrário das complicações, os incómodos e desconfortos são comuns numa gravidez normal e não são uma preocupação para a saúde da mãe ou do bebé. Muitos podem ser aliviados ou tratados com procedimentos simples.

As dores nas costas são comuns durante a gravidez, podendo ser bastante debilitantes. Manifestam-se entre 35 e 61% das grávidas e metade dos casos ocorre a partir do quinto mês. São causadas pela alteração na postura e podem-se agravar à noite. Entre as várias medidas de alívio comprovadas estão os exercícios na água, massagens e apoio de almofadas ao dormir.[125][126] As cintas de maternidade não demonstram diminuir as dores nas costas na gravidez, e podem ter alguns efeitos adversos, incluindo dores e irritação na pele da mãe e potenciais efeitos no feto.[127] As cãibras nas pernas ocorrem em metade das gravidezes e podem ser bastante dolorosas.[128] Geralmente manifestam-se durante a noite e podem durar de segundos a minutos. Embora por vezes sejam usados alguns métodos de alívio, como meias de compressão e cálcio ou magnésio, não há evidências de que sejam eficazes a reduzir as cãibras ou que sejam seguros para o feto.[129]

A síndrome do túnel cárpico é uma neuropatia compressiva muito comum durante a gravidez. Manifesta-se em até 62% das grávidas e geralmente ocorre no terceiro trimestre, embora também possa ocorrer no primeiro. Os sintomas são dormência e formigueiro nos dedos polegar, indicador, médio e parte do anelar. Também pode ocorrer dor no pulso e diminuição da força e destreza. Os sintomas são mais pronunciados à noite e podem ser agravados com a atividade física. O tratamento consiste em reduzir a atividade do pulso e a utilização de uma tala que o imobiliza numa posição neutra.[130]

Desconfortos digestivos

As náuseas e vómitos ocorrem principalmente de manhã, mas geralmente melhoram após o primeiro trimestre.[131] O refluxo gástrico e a azia na gravidez são causados pelo relaxamento do esfíncter esofágico inferior e podem ser aliviadas fazendo múltiplas refeições ligeiras ao longo do dia, evitando comer nas três horas anteriores a dormir e mantendo uma postura direita durante a ingestão. Quando a dieta e as alterações ao estilo de vida não são suficientes, podem ser necessários antiácidos, alginatos ou ainda inibidores da bomba de protões.[132]

A obstipação é um desconforto bastante comum, ocorrendo em 39% das gravidezes às 14 semanas de gestação. Pensa-se que seja causada pela diminuição da motilidade intestinal. Esta diminuição é normal durante a gravidez e deve-se ao aumento da quantidade de progesterona, que relaxa o intestino para que a mãe possa receber mais nutrientes e absorver mais água. Como efeito adverso, as fezes podem-se tornar extremamente desidratadas e de motilidade difícil. A obstipação pode também ser agravada pela suplementação de ferro.[126] As hemorroidas resultam do esforço associado à obstipação ou da pressão intra-abdominal do fim da gravidez. Podem causar hemorragias, prurido, sujidade ou dor e os sintomas podem desaparecer espontaneamente depois da gravidez.[133] O tratamento conservador inclui modificações na dieta, tratamentos locais e estimulantes ou depressores da motilidade intestinal.[134]

Complicações

Ao contrário dos incómodos e desconfortos, que são normais e não apresentam um risco para a saúde da mãe e do bebé, as complicações da gravidez são problemas de saúde causados pela gravidez. No entanto, a maioria destas complicações pode ser tratada e, mesmo após um aborto, uma mulher pode voltar a ter uma gravidez perfeitamente normal.[135] Os fatores de risco mais comuns numa gravidez são uma idade superior a 35 anos, o consumo frequente de álcool, tabaco e drogas; historial familiar de malformações, síndroma de Down, atraso mental ou doenças congénitas; hipertensão arterial, diabetes, epilepsia, artrite reumatoide, problemas do coração, dos rins ou da tiroide; infecções como a rubéola ou a toxoplasmose, incluindo infeções de transmissão sexual como sífilis ou sida; e desnutrição ou excesso de peso.[136] A grávida apresenta um risco acrescido de contrair determinadas infeções como, por exemplo, gripe, hepatite E, herpes e malária. Isto deve-se ao aumento da tolerância imunológica na gravidez, que impede a reação imunitária contra o feto, e a algumas das alterações fisiológicas maternas, entre as quais a diminuição do volume respiratório e a retenção urinária.[137] A mastite, ou inflamação das mamas, ocorre em 20% das lactantes.[138]

Complicações maternas

Anemia

A anemia por deficiência de ferro é uma complicação da gravidez bastante comum. No entanto, pode ser facilmente tratada ou prevenida através de suplementação com comprimidos de ferro.

Anemias são doenças em que a quantidade de glóbulos vermelhos ou de hemoglobina é inferior aos valores normais. Durante a gravidez, o tipo de anemia mais comum é a anemia ferropriva, causada pela insuficiência de ferro. A maioria das gestantes são aconselhadas a tomar suplementos de ferro e ácido fólico para tratar ou prevenir eventuais anemias.[139] Cerca de metade das gravidezes à escala mundial são acompanhadas de anemia. A prevalência varia entre 18% nos países desenvolvidos e 75% no sul da Ásia.[140]

Hiperémese gravídica

A hiperémese gravídica é a presença de vómitos severos e persistentes, ao ponto de causarem desidratação e perda de peso, o que pode provocar alterações perigosas nos valores de eletrólitos no sangue, lesões no fígado e hemorragias na retina. São mais graves do que os comuns enjoos matinais e estima-se que afetem entre 0,5 e 2% das grávidas. A causa é desconhecida, mas podem-se agravar ou desencadear por fatores psicológicos. O tratamento requer hospitalização.[141][142][143]

Doenças hipertensivas da gravidez

Cerca de 10% das gravidezes são complicadas por doenças hipertensivas, nas quais se inclui pré-eclampsia, eclampsia, hipertensão gestacional e hipertensão crónica.[144] A pré-eclampsia é uma doença caracterizada por tensão arterial elevada (>140/90 mmHg ou subida considerável da tensão) acompanhada por valores anormalmente elevados de proteínas na urina (>300 mg) e retenção de líquidos na cara e nas mãos. Afeta entre 5 e 8% das gravidezes e geralmente ocorre entre a 20.ª semana de gestação e uma semana após o parto. O risco mais significativo é o desprendimento prematuro da placenta. Geralmente recomenda-se a ingestão de líquidos e o repouso na cama virada sobre o lado esquerdo mas, se a condição não melhorar com rapidez, exige hospitalização. A eclampsia é uma forma mais grave da doença que surge em 0,5% das mulheres com pré-eclampsia, podendo provocar convulsões, coma e morte se não for tratada com rapidez. Um quarto dos casos de eclampsia ocorre após o parto. Ao contrário da hipertensão normal, ambas as doenças não respondem aos diuréticos nem à dieta sem sal. Uma das complicações da pré-eclampsia e eclampsia graves (>160/110 mmHg) é a síndrome HELLP, que é a combinação anemia hemolítica (destruição de glóbulos vermelhos), aumento das enzimas hepáticas (que indica lesões no fígado) e diminuição na contagem de plaquetas (que indica deficiência na coagulação do sangue). Este síndrome ocorre entre 0,5 e 0,9% de todas as gravidezes.[145][146][147]

Doença de Rhesus

A doença de Rhesus ocorre quando existe incompatibilidade do grupo Rh entre o sangue da mãe e do feto; ou seja, quando o sangue da mãe é Rh-negativo e o sangue do feto é Rh-positivo, herdado de um pai Rh-positivo. Se o sangue do feto entrar em contacto com o sangue da mãe através da placenta, o que acontece sobretudo durante o parto, o organismo da mãe pode considerar os glóbulos vermelhos do feto elementos estranhos e produzir anticorpos que os vão destruir (anticorpos antiRh). Se estes anticorpos atravessarem a placenta, podem destruir parte dos glóbulos vermelhos do feto (eritroblastose fetal) ou do recém-nascido (eriotroblastose neonatal). A destruição dos glóbulos vermelhos pode provocar anemia e aumentar a quantidade de bilirrubina indireta no sangue. A bilirrubina indireta demasiadamente elevada pode cruzar afetar a barreira hematocefálica imatura do feto e afetar o cérebro, o que desencadeia o querníctero, uma complicação grave e potencialmente fatal.[148] Nos países ocidentais, ocorre em 13% dos casais em que o homem é Rh-positivo e a mulher Rh-negativa. Um em cada 27 recém-nascidos destes casais desenvolve doença de Rhesus. Na primeira consulta fazem-se análises ao sangue da mãe; se for Rh-negativo confirma-se o sangue do pai e, se este for positivo, mede-se a quantidade de anticorpos antiRh na mãe. Ao longo da gravidez são monitorizados os valores de anticorpos. Se subirem demasiado, faz-se uma amniocentese para medir os valores de bilirrubina. Se ambos os valores forem altos, geralmente são feitas transfusões de sangue intra-uterinas, sendo o parto provocado entre a 32ª e 34ª semana de gravidez.[149]

Erupções cutâneas

As dermatoses da gravidez são condições cutâneas que ocorrem apenas durante a gravidez. Entre as mais comuns estão as pápulas e placas urticariformes e pruriginosas da gravidez (PPUPG ou PUPPP) e o prurigo da gravidez. As PPUPG ocorrem numa em cada 160 gravidezes e geralmente manifestam-se no terceiro trimestre ou, mais raramente, após o parto. São caracterizadas por manchas de pápulas e placas eritematosas intensamente pruriginosas, que geralmente aparecem no abdómen superior e se estendem em poucos dias para os braços, coxas e mamas. São tratadas com corticosteroides tópicos e anti-histamínicos orais. O prurigo da gravidez afeta uma em cada 300 grávidas e ocorre com maior frequência entre as 20 e as 34 semanas de gestação. É uma erupção cutânea intensamente pruriginosa com pápulas por vezes foliculares ou lesões nodulares, com ou sem crosta, e que medem entre 0,5 e 1 cm. Geralmente aparece nas pernas e nos membros superiores.[139][150][151]

Complicações fetais

Gravidez ectópica

Ao contrário da nidação normal no útero (N), numa gravidez ectópica o feto desenvolve-se fora deste órgão, geralmente numa das trompas de Falópio (b, c, d).

Uma gravidez ectópica é uma gravidez em que o feto se desenvolve fora do útero. Geralmente, desenvolve-se numa das trompas de Falópio, embora em casos raros se possa desenvolver no canal cervical, na cavidade pélvica ou na cavidade abdominal. Durante o desenvolvimento fetal, ao deslocar-se em direção ao útero o óvulo fecundado pode ficar preso na trompa de Falópio e aí se implantar e desenvolver. Esta complicação afeta entre 0,5 e 1% de todas as gravidezes, tendo como fatores de risco uma gravidez ectópica anterior, uma laqueação de trompas mal sucedida ou exposição fetal ao dietilestilbestrol. O risco é elevado no caso da mulher ficar grávida com um dispositivo intra-uterino colocado. Uma gravidez ectópica coloca em risco a vida da mulher e deve ser removida cirurgicamente o mais cedo possível. Os sintomas de uma gravidez ectópica são pequenas perdas de sangue pela vagina e cãibras abdominais, juntamente com o atraso da menstruação. Quando o feto morre numa fase inicial, o organismo tenta expulsá-lo da mesma forma que o produto da menstruação e não se verificam lesões. Mas no caso de continuar a crescer é possível romper as paredes da trompa, causando uma hemorragia interna que provoca dores e sensação de pressão na parte inferior do abdómen. Entre as 6 e as 8 semanas é possível que ocorra uma dor aguda e intensa no baixo abdómen seguida por desmaio.[152]

Placenta

O desprendimento prematuro da placenta ocorre quando o revestimento da placenta se separa do útero entre as 20 semanas de gestação e o parto. Verifica-se entre 0,5 e 1 em cada 200 nascimentos, sendo uma urgência hospitalar e uma das complicações que mais contribui para a mortalidade materna no mundo.[153] A placenta prévia é a inserção parcial ou total da placenta no colo do útero. É uma das principais causas de hemorragias pré-natais e afeta 1 em cada 200 partos. O sintoma inicial é uma hemorragia vaginal súbita e indolor no fim da gravidez, com sangue de cor vermelho vivo e necessita de cuidados hospitalares.[154]

Aborto e feto morto

Aborto espontâneo é a perda de um feto por causas naturais e involuntárias antes das vinte semanas de gestação; a partir das vinte semanas passa a ser denominado feto morto. Aproximadamente 85% dos abortos espontâneos ocorrem durante as doze primeiras semanas de gestação e os restantes entre a 13.ª e 20.ª semanas. Durante as primeiras vinte semanas, 20 a 30% das grávidas manifestam hemorragias ou contrações, das quais metade resulta em abortos espontâneos. Geralmente, os abortos espontâneos devem-se a anomalias no feto. O primeiro sintoma é a perda de sangue pouco abundante o uma hemorragia juntamente com a secreção vaginal. Se o processo de aborto continuar, aumentam as dores, a hemorragia e a secreção, podendo no fim ser expulsa a totalidade ou parte do conteúdo do útero. Quando é expulso na totalidade, geralmente não há necessidade de tratamento; em caso de expulsão parcial geralmente realiza-se uma dilatação e sucção para remover o restante do conteúdo. No entanto, quando apenas se verifica uma ameaça de aborto, geralmente aconselha-se repouso absoluto, uma vez que os sintomas costumam melhorar. A ameaça de aborto pode ser causada pela dilatação prematura do colo do útero devido à debilidade do tecido fibroso.[155]

Complicações do parto e puerpério

Parto distócico

Os partos complicados podem ocorrer quando o bebé não consegue passar pela pélvis (imagem) .

Denomina-se parto distócico o parto que decorre de forma difícil, demorada ou dolorosa. Esta situação acontece quando, apesar do útero estar a contrair normalmente, o bebé não consegue sair da pélvis devido a um bloqueio físico.[156] Entre as complicações para o bebé estão o risco de asfixia, o que pode provocar a morte. Aumenta também o risco da mãe contrair uma infeção, de ter uma ruptura do útero ou de hemorragias pós-parto.[157] Entre as complicações a longo prazo para a mãe estão a fístula obstétrica. Diz-se que o parto é prolongado quando esta fase dura mais do que doze horas.[158]

Entre as principais causas de um parto distócico estão um bebé de grande dimensão, posicionamento do bebé fora do normal, uma pélvis pequena ou problemas com o canal de parto. O posicionamento fora do normal inclui a distócia de ombro, em que o ombro anterior não consegue passar com facilidade pelo osso púbico.[158] Entre os fatores de risco de uma pélvis pequena estão a desnutrição, a falta de exposição à luz do sol, que provoca deficiência de vitamina D,[156] e uma gravidez na adolescência, já que o osso pélvico pode ainda não estar completamente desenvolvido.[157] Entre os problemas com o canal de parto estão uma vagina e períneo estreitos, os quais se podem dever a mutilação genital feminina ou a tumores.[158] Os partos distócicos podem ser resolvidos com uma cesariana ou extração por ventosa.[159]

Trauma perineal

A laceração perineal é a laceração não intencional da pele ou dos tecidos moles que se separam a vagina do ânus que geralmente ocorre durante o parto. São classificadas em primeiro grau (afetam a pele e mucosa), segundo grau (músculos perineais) ou terceiro grau (afetam o músculo esfíncter). Se for uma intervenção cirúrgica provocada por necessidade médica denomina-se episiotomia.[160] Num período de seis meses após qualquer tipo de parto, ocorre incontinência urinária em 3-7% das mulheres e incontinência fecal em 1-3%.[161]

Depressão pós-parto

A depressão pós-parto é um episódio depressivo que pode ter início em qualquer momento da gravidez até quatro semanas após o parto. Ocorre em 4-20% das gravidezes, dependendo da definição.[161] Em 28% dos casos de depressão pós-parto, a mulher ainda se encontra deprimida passado três anos.[162] Em 0,2 % das gravidezes, a depressão pós parto leva a psicose pós-parto.[163] Nos mesmo período de seis meses, 13,6 % das mulheres sofre de stresse pós-traumático.[164]

Doenças intercorrentes

Doenças intercorrentes são doenças que não são causadas diretamente pela gravidez, mas que se podem agravar durante a gravidez e constituir um potencial risco. Doenças como a diabetes e infeções do trato urinário podem aumentar o risco de aborto espontâneo e partos prematuros (imagem).

As doenças intercorrentes na gravidez são doenças ou condições que não são causadas diretamente pela gravidez, mas que durante a gravidez se podem agravar ou constituir um potencial risco para a gravidez. As infeções do trato urinário são mais frequentes durante a gravidez. As infeções agudas da bexiga e dos rins aumentam o risco de parto prematuro. As mulheres que já tiveram pielonefrite numa gravidez anterior têm maior risco de desenvolver infeções agudas noutra gravidez e de desenvolver infeções renais graves, como glomerulonefrite, que aumentam o risco de aborto espontâneo e parto prematuro. Se a mulher tiver tuberculose assintomática nos rins, a gravidez reativa a doença. As doenças gastrointestinais têm pouco ou nenhum efeito sobre a gravidez. No entanto, a gravidez tende a agravar estas doenças. As mulheres com colite ulcerosa são geralmente aconselhadas a evitar engravidar até à doença estar estável por dois anos.[1] Durante a gravidez, o risco de trombose venosa profunda é cinco vezes superior[165] devido a um maior estado de hipercoagulação so sangue, o que é provavelmente uma adaptação do organismo materno contra as hemorragias pós-parto.[166] As mulheres com fatores de risco genéticos também apresentam um risco três a trinta vezes superior.[167]

A gravidez geralmente agrava a diabetes e a doença pode-se tornar evidente durante a gravidez. Se não for tratada, a diabetes na gravidez está associada a uma maior incidência de malformações no feto, aborto espontâneo, natimortos, trabalho de parto prematuro e obesidade fetal. Mesmo com tratamento, mais de metade dos bebés de mães diabéticas têm sobrepeso ao nascer, o que também aumenta o risco de partos complicados. O risco de aborto espontâneo é maior caso a mãe seja diabética desde a infância, tenha diabetes há vários anos ou se tem doenças vasculares ou renais. As grávidas diabéticas apresentam maior risco de pré-eclampsia, eclampsia, infeções e poli-hidrâmnio. Uma tiroide demasiado ativa ou inativa, caso não seja tratada, pode estar associada a um maior risco de aborto espontâneo.[1]

As doenças pulmonares podem constituir um risco para a gravidez no caso de diminuírem a quantidade de oxigénio fornecida ao feto, de causarem uma infeção sanguínea que é transmitida para a placenta e no caso de debilitarem a mãe de forma grave. As doenças do trato respiratório superior geralmente não interferem com a gravidez, a não ser que ocorram muito perto da data de parto, caso em que há a possibilidade de as transmitir para o bebé através dos órgãos genitais ou de contraírem uma infeção no sangue na sala hospitalar. A gripe durante a gravidez aumenta o risco de pneumonia, a qual apresenta um risco elevado de morte materna e fetal se a infeção for resistente a antibióticos. A gravidez tanto pode agravar como diminuir a gravidade da asma, enquanto algumas bronquites podem diminuir a quantidade de oxigénio inalada e fornecida ao feto.[1]

As doenças neurológicas geralmente não têm efeitos sobre a gravidez e vice-versa. No entanto, algumas doenças neurológicas que se desenvolvam durante a gravidez podem ter efeito negativo. A gravidez pode agravar a epilepsia e as mulheres grávidas estão mais suscetíveis a poliomielite, embora não afete o curso da gravidez. A neuropatia periférica, resultante da insuficiência de vitamina B, pode complicar a gravidez, embora não afete a gestação. Perto do termo é comum a ocorrência de neuralgia que afeta principalmente o nervo ciático. Alguns distúrbios psiquiátricos em pessoas instáveis podem ser agravados pela gravidez. No entanto, raramente se manifestam problemas psiquiátricos sérios pela primeira vez durante a gravidez e as doenças psiquiátricas raramente têm influência na gestação.[1]

Epidemiologia

Em 2012, ocorreram cerca de 213 milhões de gravidezes em todo o mundo, das quais 190 milhões em países em vias de desenvolvimento e 23 milhões nos países desenvolvidos. Isto corresponde a cerca de 133 gravidezes por cada 1 000 mulheres entre os 15 e 44 anos de idade.[10] Entre 10 e 15% do total de gravidezes terminam em aborto (espontâneo ou voluntário).[2] Cerca de 40% das gravidezes não foram planeadas. Cerca de metade das gravidezes não planeadas terminam em aborto.[10] Em cada ano, estima-se que morram em todo o mundo cerca de 270 000 pessoas devido a complicações da gravidez.[168]

A taxa de gravidez, assim como a idade a que ocorre, varia de país para país e de região para região e é influenciada por diversos fatores culturais, sociais e religiosos, pelo acesso à contraceção e pelo acesso à educação. Do total de gravidezes em 2012, 120 milhões ocorreram na Ásia, 54 milhões em África, 19 milhões na Europa, 18 milhões na América do Sul e Central, 7 milhões na América do Norte e 1 milhão na Oceania.[10] No conjunto dos países em vias de desenvolvimento a taxa de gravidez é de 140 por cada 1000 mulheres em idade fértil, enquanto nos países desenvolvidos é de 94 por cada 1000.[10] Em 2013, estimava-se que a maior taxa de fecundidade total pertencia ao Níger (7,03 crianças/mulher) e a menor a Singapura (0,79 crianças/mulher).[169]

Em cada ano, cerca de 20 milhões de mulheres em todo o mundo são afetadas por complicações de uma gravidez.[170] Em 2013, este tipo de complicações provocou a morte a 293 000 pessoas, uma diminuição em relação às 377 000 mortes em 1990. As causas de morte mais comuns são hemorragias obstétricas (44 mil), complicações de abortos (44 mil), pressão arterial elevada (29 mil), sépsis neonatal (24 mil) e distócia (19 mil).[11]

Sociedade e cultura

Apesar de a reprodução ser um fenómeno essencialmente biológico, existem muitos fatores socioculturais influenciam o sucesso reprodutivo e o prognóstico da gravidez. Entre os fatores mais importantes estão a estrutura familiar e a situação conjugal. No entanto, esta estrutura familiar varia imenso consoante a época e a região. Em muitos países industrializados, a estrutura familiar tem-se alterado significativamente nas últimas décadas. Existe uma tendência para maior informalidade e instabilidade nas relações e para o aumento da idade do primeiro filho. O número de gravidezes de mães não casadas tem aumentado significativamente e é cada vez maior o número de crianças nascidas fora do casamento.[171] Muitas religiões e cultos tradicionais associam à gravidez um significado espiritual profundo enquanto realização do mais elementar propósito do matrimónio. Neste processo de santificação, a gravidez é muitas vezes descrita como uma "bênção de Deus", "milagrosa" ou "divina". A maior parte dos casais religiosos considera o casamento e a gravidez imbuídos de características sagradas.[172]

Laços afetivos

Os laços afetivos entre a mãe e o filho começam-se a desenvolver na gravidez. O pai tem um papel significativo na gravidez e no parto, contribuindo para o apoio e bem-estar da grávida.

Durante a gravidez começam-se a desenvolver os laços afetivos entre a mãe e o filho, principalmente após a observação da primeira ecografia e a sensação dos primeiros movimentos do bebé entre as 18 e as 25 semanas. Acredita-se que o feto em desenvolvimento é capaz de ouvir a voz e batimento cardíaco da mãe, podendo responder com pontapés ou movimentos voluntários. Ao sétimo mês de gravidez, dois terços das mães indicam possuir já uma forte ligação com o bebé.[173] Nem todas as novas mães sentem um amor intenso e imediato pelo filho. Nestes casos, os laços afetivos vão-se fortalecendo ao longo do tempo. Os laços afetivos maternos são uma experiência que se vai desenvolvendo gradualmente e que pode demorar dias, semanas ou meses para se desenvolver.[174]

O apoio do pai e a relação estreita com a mãe desempenham um papel significativo no bem-estar da gravidez, na saúde do feto, na paternidade, no ajustamento do casal e no desenvolvimento da criança. Apesar disso, o pai é frequentemente marginalizado da saúde reprodutiva e só muito recentemente é que o seu papel tem sido valorizado durante a gravidez e parto. O envolvimento paterno pode ter uma influência positiva durante a gravidez, podendo ser uma fonte de apoio. Em termos biológicos, os pais atravessam diversas alterações relacionadas com a gravidez ao nível da prolactina, cortisol e testosterona, que contribuem para o sentimento de fazer parte da gravidez. A presença, envolvimento e responsabilidade do pai tem impacto no desenvolvimento da cognição e linguagem da criança. Hoje em dia, em alguns países, os futuros pais são encorajados a acompanhar a mãe nas consultas pré-natais e a estarem presentes no parto e são propostas medidas que eliminem barreiras ao envolvimento paterno durante a gravidez e nascimento.[175]

Infertilidade

As técnicas de reprodução medicamente assistida, como a inseminação artificial e a fertilização in vitro (imagem) ajudam os casais com problemas de fertilidade a engravidar.

Na mulher, infertilidade é a incapacidade de engravidar ou de prosseguir uma gravidez até ao termo. No homem, é a incapacidade de fecundar o óvulo. Existem várias causas para infertilidade, incluindo algumas que podem ser tratadas através de reprodução medicamente assistida.[176] Embora o intervalo de tempo para que se possa diagnosticar infertilidade possa variar entre países, a Organização Mundial de Saúde define infertilidade como a incapacidade de conceber uma gravidez clínica após doze ou mais meses de relações sexuais desprotegidas, sem que haja outros problemas de saúde.[177] A infertilidade pode ter várias causas: infecções sexualmente transmissíveis que afetam o aparelho reprodutor como a clamídia, gonorreia, sífilis ou Mycoplasma genitalium;[178][179] causas genéticas;[180] e ambientais, como os danos ao ADN provocados pelo stress oxidativo ou pelo tabagismo.[181]

Estima-se que um em cada sete casais tenha problemas de fertilidade.[182] A infertilidade pode ter consequências psicológicas e sociais, como o aumento da ansiedade e dificuldades matrimoniais entre o casal, depressão, estigma social e disfunções sexuais. No entanto, os progressos na reprodução medicamente assistida oferecem uma esperança para muitos casais, embora existam barreiras em termos económicos e de disponibilidade em muitos países.[183] O tratamento depende da causa de infertilidade, mas pode incluir aconselhamento profissional, medicação de fertilidade, cirurgia ou tratamentos de fertilidade, como a fertilização in vitro e inseminação artificial, ou métodos naturais, como o Método de Ovulação Billings. Os casais são geralmente aconselhados a procurar ajuda profissional ao fim de dois anos a tentar engravidar ou ao fim de um ano caso a mulher tenha mais de 30 anos de idade.[182]

Gravidez na adolescência

Embora as adolescentes grávidas enfrentem os mesmos desafios do que as demais mulheres, existem riscos médicos acrescidos para as grávidas com idade inferior a 15 anos[184] e riscos associados a fatores socioeconómicos para as mães entre os 15 e 19 anos de idade.[185] Em países desenvolvidos, a gravidez na adolescência está muitas vezes associada a problemas sociais, incluindo menor nível de educação e maior pobreza, e ocorre geralmente fora do casamento, o que pode constituir um estigma social em muitas comunidades e culturas.[186] A gravidez na adolescência é prevenida com educação sexual abrangente e acesso a métodos contracetivos. A educação sexual baseada apenas na abstinência sexual não aparenta ser eficaz.[187][188]

Aborto

A Organização Mundial de Saúde recomenda que todas as mulheres tenham acesso a abortos legais e seguros. No entanto, em vários países é uma prática ilegal ou permitida apenas no caso de risco para a saúde da mãe ou violação.

Aborto é a interrupção da gravidez resultante da expulsão do feto ou do embrião do útero antes do momento de viabilidade fetal, ou do momento em que é capaz de sobreviver fora do útero. O aborto pode ocorrer de forma involuntária e espontânea, sendo denominado aborto espontâneo (ou interrupção involuntária da gravidez), ou pode ser induzido, sendo nesse caso denominado aborto induzido (ou interrupção voluntária da gravidez). O uso do termo "aborto" geralmente refere-se a este último caso.[189] Os métodos modernos recorrem a medicamentos abortivos ou cirurgia para induzir o aborto. Durante o primeiro trimestre, é comum a utilização de mifepristona e prostaglandina.[190] Embora durante o segundo semestre os medicamentos sejam igualmente eficazes,[191] a cirurgia apresenta menor risco de efeitos adversos.[192] Uma vez realizado um aborto, os métodos contracetivos podem ser retomados de imediato.[192] Quando permitido pela legislação, o aborto em países desenvolvidos é uma das intervenções médicas mais seguras que existem.[193][194] Um aborto sem complicações não causa qualquer problema mental ou físico a longo prazo.[195]

A Organização Mundial de Saúde recomenda que todas as mulheres tenham acesso a abortos legais e seguros.[196] Todos os anos, os abortos feitos de forma insegura causam a morte a mais de 47 000 grávidas e são responsáveis por 5 milhões de entradas no hospital.[195][197] No entanto, as perspetivas legais, culturais ou religiosas sobre o aborto são diferentes em todo o mundo. Enquanto em alguns países o aborto é legal, em outros é legal apenas em casos especiais como violação, malformações do feto, pobreza, risco para a saúde da mãe ou incesto.[198] Existe um debate contínuo sobre os problemas morais, éticos e legais do aborto. As pessoas que se opõem ao aborto alegam que um embrião ou um feto é um ser humano com direito à vida.[199] Por outro lado, os apoiantes mencionam os direitos humanos e o direito à mulher tomar as decisões sobre o seu próprio corpo.[196][200]

Gravidez indesejada

A gravidez indesejada pode ter várias causas, incluindo a não utilização, utilização incorreta ou falha nos métodos contracetivos.[201] Por sua vez, a não utilização ou utilização incorreta de contracetivos podem ser motivadas por falta de conhecimento sobre saúde reprodutiva, incluindo crenças erradas, a falta de disponibilidade, a crença equivocada de que a mulher é infértil. A gravidez indesejada pode também ser o resultado de coerção e violência contra a mulher, incluindo violação e gravidez forçada, que muitas vezes ocorre no contexto de violência doméstica.[202]

Direitos

Diversos tratados internacionais, como a Carta dos Direitos Fundamentais da União Europeia, consideram que a licença parental e a proteção do posto de trabalho é um direito humano.

A discriminação laboral na gravidez e na maternidade é uma situação frequente em vários locais no mundo. Entre algumas formas de discriminação estão a decisão de não contratar uma grávida apesar de ser a pessoa mais qualificada para determinado posto de trabalho, a decisão de não renovar um contrato por razões relacionadas com a gravidez ou perder o direito a bónus do emprego devido a complicações da gravidez ou à licença de maternidade. Também é comum algumas seguradoras terem um período de carência relativamente grande em situações de gravidez. Nos últimos vinte anos tem vindo a ser aprovada, principalmente na União Europeia, legislação e iniciativas de combate à discriminação da gravidez.[203]

A licença parental é um direito no emprego existente em praticamente todos os países. A Convenção sobre a Eliminação de Todas as Formas de Discriminação contra as Mulheres determina que, após o parto, todas as mulheres têm direito a uma licença remunerada sem o risco de perder o posto de trabalho, a antiguidade no emprego ou prestações sociais.[204] A Convenção da Proteção da Maternidade, adotada em 2000 pela Organização Internacional do Trabalho, determina uma duração mínima de 14 semanas para a licença de maternidade.[205][206] A Carta dos Direitos Fundamentais da União Europeia afirma que a licença parental remunerada e a proteção do posto de trabalho a seguir à maternidade são direitos humanos.[203]

Ver também

Referências

  1. a b c d e f g h i j k l m n o p q r s t u v w x y z aa ab ac ad ae af Encyclopædia Britannica. Pregnancy. Consultado em 6 de julho de 2015 
  2. a b The Johns Hopkins Manual of Gynecology and Obstetrics 4 ed. [S.l.]: Lippincott Williams & Wilkins. 2012. p. 438. ISBN 9781451148015 
  3. «What are some common complications of pregnancy?». Eunice Kennedy Shriver National Institute of Child Health and Human Development. 12 de julho de 2013. Consultado em 14 de março de 2015. Cópia arquivada em 26 de fevereiro de 2015 
  4. «Pregnancy: Condition Information». Eunice Kennedy Shriver National Institute of Child Health and Human Development. 19 de dezembro de 2013. Consultado em 14 de março de 2015. Cópia arquivada em 19 de março de 2015 
  5. Abman, Steven H. (2011). Fetal and neonatal physiology 4ª ed. Philadelphia: Elsevier/Saunders. pp. 46–47. ISBN 9781416034797 
  6. Shehan, Constance L. (2016). The Wiley Blackwell Encyclopedia of Family Studies, 4 Volume Set. [S.l.]: John Wiley & Sons. p. 406. ISBN 9780470658451. Cópia arquivada em 10 de setembro de 2017 
  7. «How do I know if I'm pregnant?». Eunice Kennedy Shriver National Institute of Child Health and Human Development. 30 de novembro de 2012. Consultado em 14 de março de 2015. Cópia arquivada em 2 de abril de 2015 
  8. Taylor, D; James, EA (2011). «An evidence-based guideline for unintended pregnancy prevention.». Journal of Obstetric, Gynecologic, & Neonatal Nursing. 40 (6): 782–93. PMID 22092349 
  9. a b c National Institute of Child Health and Humen Development (12 de julho de 2013). «What is prenatal care and why is it important?». Consultado em 16 de agosto de 2015 
  10. a b c d e Sedgh, G; Singh, S; Hussain, R; (Setembro de 2014). «Intended and unintended pregnancies worldwide in 2012 and recent trends.». Studies in family planning. 45 (3): 301–14. PMID 25207494. doi:10.1111/j.1728-4465.2014.00393.x 
  11. a b GBD 2013 Mortality and Causes of Death (Dezembro de 2014). «Global, regional, and national age-sex specific all-cause and cause-specific mortality for 240 causes of death, 1990-2013: a systematic analysis for the Global Burden of Disease Study 2013.». Lancet. 385: 117–171. PMC 4340604Acessível livremente. PMID 25530442. doi:10.1016/S0140-6736(14)61682-2 
  12. «Gravidez reduz massa cinzenta e altera cérebro das mulheres, diz estudo». Portal Terra + BBC Brasil. 20 de dezembro de 2016. Consultado em 25 de dezembro de 2016. Cópia arquivada em 21 de dezembro de 2016 
  13. a b c d Freitas, Sandra L. Felix; Gerk, Maria; Arantes, Sandra ; Nunes, Cristina; Luizari, Marisa (2010). Nomenclatura obstétrica. [S.l.]: Centro de Ciências Biológicas e da Saúde, Departamento de Enfermagem Enfermagem Ginecológica e Obstétrica. pp. 1–5. Consultado em 22 de junho de 2015. Arquivado do original em 22 de junho de 2015 
  14. Dicionário de Termos Médicos da Porto Editora. «Parto». Consultado em 14 de junho de 2015 
  15. «Pregnancy Symptoms». National Health Service. 11 de março de 2010. Consultado em 11 de março de 2010 
  16. David C. Dugdale, Susan Storck (19 de dezembro de 2012). «Breast pain». MedlinePlus - US National Library of Medicine. Consultado em 25 de junho de 2015 
  17. Serviço Nacional de Saúde do Reino Unido (20 de março de 2014). «Signs and symptoms of pregnancy». Consultado em 6 de julho de 2015 
  18. Mayo Clinic. «Symptoms of Pregnancy». Consultado em 6 de julho de 2015 
  19. a b «Early symptoms of pregnancy: What happens right away». Clínica Mayo. 22 de fevereiro de 2007. Consultado em 22 de agosto de 2007 
  20. a b «Pregnancy Symptoms – Early Signs of Pregnancy : American Pregnancy Association». Consultado em 16 de janeiro de 2008 
  21. Gabbe, Steven. Obstetrics : normal and problem pregnancies 6ª ed. Filadélfia: Elsevier/Saunders. p. 1184. ISBN 9781437719352 
  22. Jenkins A, Millar S, Robins J (Julho de 2011). «Denial of pregnancy: a literature review and discussion of ethical and legal issues». Journal of the Royal Society of Medicine. 104 (7): 286–91. PMID 21725094. doi:10.1258/jrsm.2011.100376 
  23. Qasim SM, Callan C, Choe JK (1996). «The predictive value of an initial serum beta human chorionic gonadotropin level for pregnancy outcome following in vitro fertilization». Journal of Assisted Reproduction and Genetics. 13 (9): 705–8. PMID 8947817. doi:10.1007/BF02066422 
  24. «NHS Pregnancy Planner». National Health Service. 19 de março de 2010. Consultado em 19 de março de 2010 
  25. Wilcox AJ, Baird DD, Weinberg CR (1999). «Time of implantation of the conceptus and loss of pregnancy». New England Journal of Medicine. 340 (23): 1796–1799. PMID 10362823. doi:10.1056/NEJM199906103402304 
  26. «Serum or Urine beta-hCG?». Best Evidence Topics. Consultado em 6 de julho de 2015 
  27. Waddell, Rebecca Smith (2006). «FertilityPlus.org». Home Pregnancy Test hCG Levels and FAQ. Consultado em 7 de julho de 2015. Arquivado do original em 15 de junho de 2006 
  28. a b Enciclopédia Britannica. Pregnancy test. Consultado em 8 de julho de 2015 
  29. Bastian LA, Nanda K, Hasselblad V, Simel DL (1998). «Diagnostic efficiency of home pregnancy test kits. A meta-analysis». Arch Fam Med. 7 (5): 465–9. PMID 9755740. doi:10.1001/archfami.7.5.465. Consultado em 12 de maio de 2008. Arquivado do original em 16 de julho de 2011 
  30. Wallach, Jacques (2007). Interpretation of diagnostic tests 8ª ed. Filadélfia: Wolters Kluwer Health/Lippincott Wiliams & Wilkins. p. 866. ISBN 9780781730556 
  31. Jukic AM, Baird DD, Weinberg CR, McConnaughey DR, Wilcox AJ (2013). «Length of human pregnancy and contributors to its natural variation». Hum. Reprod. 28 (10): 2848–55. PMC 3777570Acessível livremente. PMID 23922246. doi:10.1093/humrep/det297 
  32. a b c d e f Medline Plus; U. S. National Library of Medicine. «Fetal development». Consultado em 11 de julho de 2015 
  33. Tunón K, Eik-Nes SH, Grøttum P, Von Düring V, Kahn JA (2000). «Gestational age in pregnancies conceived after in vitro fertilization: a comparison between age assessed from oocyte retrieval, crown-rump length and biparietal diameter». Ultrasound Obstet Gynecol. 15 (1): 41–6. PMID 10776011. doi:10.1046/j.1469-0705.2000.00004.x 
  34. «Committee opinion no 611: method for estimating due date.». Obstet Gynecol. 124 (4): 863–6. Outubro de 2014. PMID 25244460. doi:10.1097/01.AOG.0000454932.15177.be. Consultado em 22 de junho de 2015. Arquivado do original em 1 de outubro de 2014 
  35. Wagner F, Erdösová B, Kylarová D (Dezembro de 2004). «Degradation phase of apoptosis during the early stages of human metanephros development». Biomed Pap Med Fac Univ Palacky Olomouc Czech Repub. 148 (2): 255–6. PMID 15744391. doi:15744391 Verifique |doi= (ajuda) 
  36. Dr H. Kieler, O. Axelsson, S. Nilsson, U. Waldenströ (1995). «The length of human pregnancy as calculated by ultrasonographic measurement of the fetal biparietal diameter». Ultrasound in Obstetrics & Gynecology. 6 (5): 353–357. PMID 8590208. doi:10.1046/j.1469-0705.1995.06050353.x 
  37. Chambliss LR, Clark SL (2014). «Paper gestational age wheels are generally inaccurate». Am. J. Obstet. Gynecol. 210 (2): 145.e1–4. PMID 24036402. doi:10.1016/j.ajog.2013.09.013 
  38. «Committee Opinion Number 611: Method for Estimating Due Date». Obstet Gynecol. 124 (4): 863-6. Outubro de 2014. PMID 25244460. doi:10.1097/01.AOG.0000454932.15177.be 
  39. Cunningham; et al. (2010). «8». Williams Textbook of Obstetrics. [S.l.: s.n.] ISBN 0071798935 
  40. Lee, Mara, ed. (2014). Manual da Gravidez. Porto: Porto Editora. pp. 24–25. ISBN 9780062505 
  41. Lee, Mara, ed. (2014). Manual da Gravidez. Porto: Porto Editora. pp. 20–21. ISBN 9780062505 
  42. Boklage, Charles E. (2009). How New Humans Are Made: Cells and Embryos, Twins and Chimeras, Left and Right, Mind/Self/Soul, Sex, and Schizophrenia. [S.l.]: World Scientific. 217 páginas. ISBN 978-981-283-513-0 
  43. Wilcox AJ, Baird DD, Weinberg CR (1999). «Time of implantation of the conceptus and loss of pregnancy». N. Engl. J. Med. 340 (23): 1796–9. PMID 10362823. doi:10.1056/NEJM199906103402304 
  44. a b c d William J. Larsen (2001). Human embryology. Edimburgo: Churchill Livingstone. pp. 14–20. ISBN 0-443-06583-7 
  45. Illes, Judy, ed. (2008). Neuroethics : defining the issues in theory, practice, and policy Reimpressão ed. Oxford: Oxford University Press. 142 páginas. ISBN 9780198567219 
  46. *Lennart Nilsson (1990). A Child Is Born. [S.l.: s.n.] p. 91 
  47. Kalverboer, Alex Fedde; Gramsbergen, Albertus Arend. Handbook of Brain and Behaviour in Human Development. [S.l.]: Springer. pp. 1–. ISBN 978-0-7923-6943-1 
  48. a b c d Carrara, Helio Humberto; Duarte, Geraldo (janeiro–março de 1996). «Semiologia Obstétrica» (PDF). Revista da Faculdade de Medicina de Ribeirão Preto (29): 88-103 
  49. Tunzi, M; Gray, GR (Janeiro de 2007). «Common skin conditions during pregnancy». Am Fam Physician. 75 (2): 211–8. PMID 17263216 
  50. Campbell LA, Klocke RA (Abril de 2001). «Implications for the pregnant patient». American Journal of Respiratory and Critical Care Medicine. 163 (5): 1051–54. PMID 11316633. doi:10.1164/ajrccm.163.5.16353 
  51. Macias H, Hinck L (2012). «Mammary gland development». Wiley Interdiscip Rev Dev Biol. 1 (4): 533–57. PMC 3404495Acessível livremente. PMID 22844349. doi:10.1002/wdev.35 
  52. a b c d e f g h Manual Merck - Biblioteca Médica Online. «Parto». Consultado em 12 de agosto de 2015 
  53. a b ACOG Committee on Practice Bulletins (Agosto de 2009). «ACOG Practice Bulletin No. 107: Induction of labor.». Obstetrics and gynecology. 114 (2 Pt 1): 386–97. PMID 19623003. doi:10.1097/AOG.0b013e3181b48ef5 
  54. a b c d American Congress of Obstetricians and Gynecologists (22 de outubro de 2013). «Ob-Gyns Redefine Meaning of 'Term Pregnancy'». acog.org. Consultado em 19 de setembro de 2014. Arquivado do original em 15 de setembro de 2014 
  55. Saigal, Saroj; Doyle, Lex W (2008). «An overview of mortality and sequelae of preterm birth from infancy to adulthood». The Lancet. 371 (9608): 261–269. ISSN 0140-6736. PMID 18207020. doi:10.1016/S0140-6736(08)60136-1 
  56. Main, Elliott; Oshiro, Bryan; Chagolla, Brenda; Bingham, Debra; Dang-Kilduff, Leona; Kowalewski, Leslie. «Elimination of Non-medically Indicated (Elective) Deliveries Before 39 Weeks Gestational Age» (PDF). March of Dimes; California Maternal Quality Care Collaborative; Maternal, Child and Adolescent Health Division; Center for Family Health; California Department of Public Health página=. Consultado em 22 de junho de 2015. Arquivado do original (PDF) em 10 de novembro de 2012 
  57. Norwitz, MD, PhD, Errol R. «Postterm Pregnancy (Beyond the Basics)». UpToDate, Inc. Consultado em 24 de agosto de 2012 
  58. The American College of Obstetricians and Gynecologists (Abril de 2006). «What To Expect After Your Due Date». Medem, Inc. Consultado em 16 de janeiro de 2008. Arquivado do original em 29 de abril de 2003 
  59. «Induction of labour – Evidence-based Clinical Guideline Number 9» (PDF). Royal College of Obstetricians and Gynaecologists. 2001. Consultado em 18 de janeiro de 2008. Arquivado do original (PDF) em 30 de dezembro de 2006 
  60. a b c d Portal da Saúde. «Parto». Ministério da Saúde. Consultado em 12 de agosto de 2015 
  61. Jangsten, E.; Mattsson, L., Lyckestam, I., Hellström, A., Berg, M. (2011). «A comparison of active management and expectant management of the third stage of labour: A Swedish randomised controlled trial». BJOG: an International Journal of Obstetrics & Gynaecology. 118 (3): 362–9. PMID 21134105. doi:10.1111/j.1471-0528.2010.02800.x 
  62. Organização Mundial de Saúde. «Gestão Ativa da Terceira Fase do Parto» (PDF). Consultado em 12 de agosto de 2015 
  63. Organização Mundial de Saúde (2 de março de 2009). «Choice of uterotonic agents in the active management of the third stage of labour». Consultado em 14 de agosto de 2015 
  64. Dahlke, Joshua D.; Mendez-Figueroa, Hector; Rouse, Dwight J.; Berghella, Vincenzo; Baxter, Jason K.; Chauhan, Suneet P. (2013). «Evidence-based surgery for cesarean delivery: an updated systematic review». American Journal of Obstetrics and Gynecology. 209 (4): 294–306. ISSN 0002-9378. doi:10.1016/j.ajog.2013.02.043 
  65. Bucklin, BA; Hawkins JL, Anderson JR, Ullrich FA (2005). «Obstetric anesthesia workforce survey: twenty-year update». Anesthesiology. 103 (3): 645–53. PMID 16129992. doi:10.1097/00000542-200509000-00030 
  66. Lavender, T; Hofmeyr GJ, Neilson JP, Kingdon C, Gyte GML (2012). «Caesarean section for non-medical reasons at term.». Cochrane Database of Systematic Reviews (3.). doi:10.1002/14651858.CD004660.pub3. Verifique |doi= (ajuda) 
  67. Smaill, FM; Gyte, GM (2010). «Antibiotic prophylaxis versus no prophylaxis for preventing infection after cesarean section.». The Cochrane database of systematic reviews (1): CD007482. PMC 4007637Acessível livremente. PMID 20091635. doi:10.1002/14651858.CD007482.pub2 
  68. Finger, C (2003). «Caesarean section rates skyrocket in Brazil. Many women are opting for Caesareans in the belief that it is a practical solution». Lancet. 362 (9384). 628 páginas. PMID 12947949. doi:10.1016/S0140-6736(03)14204-3 
  69. Organização Mundial de Saúde (2015). «WHO Statement on Caesarean Section Rates» (PDF). Consultado em 14 de agosto de 2015 
  70. Moore, ER; Anderson GC, Bergman N, Dowswell T. (2012). «Early skin-to-skin contact for mothers and their healthy newborn infants». Cochrane Database of Systematic Reviews (5. Art. No.: CD003519). doi:10.1002/14651858.CD003519.pub3. Verifique |doi= (ajuda) 
  71. Organização Mundial de Saúde (2013). «Early skin-to-skin contact for mothers and their healthy newborn infants». Consultado em 14 de agosto de 2015 
  72. a b c d Lee, Mara, ed. (2014). Manual da Gravidez. Porto: Porto Editora. pp. 122–131. ISBN 9780062505 
  73. a b c Manual Merck. «Cuidados Pré-Natais». Consultado em 5 de agosto de 2014 
  74. a b Manual Merck. «Provas para o diagnóstico e detecção pré-natal». Consultado em 7 de agosto de 2015 
  75. Cunningham, F; Leveno, KJ; Bloom, SL; Spong, CY; Dashe, JS; Hoffman, BL; Casey BM; Sheffield, JS (2013). «Fetal Imaging». Williams Obstetrics, Twenty-Fourth Edition. [S.l.]: McGraw-Hill 
  76. Whitworth M, Bricker L, Neilson JP, Dowswell T (14 de abril de 2010). Whitworth, Melissa, ed. «Ultrasound for fetal assessment in early pregnancy». Cochrane database of systematic reviews (Online) (4): CD007058. PMID 20393955. doi:10.1002/14651858.CD007058.pub2 
  77. Salomon, LJ; Alfirevic, Z; Berghella, V; Bilardo, C; Hernandez-Andrade, E; Johnsen, SL; Kalache, K; Leung, K.-Y.; Malinger, G; Munoz, H; Prefumo, F; Toi, A; Lee, W (2010). «Practice guidelines for performance of the routine mid-trimester fetal ultrasound scan» (PDF). Ultrasound Obstet Gynecol. doi:10.1002/uog.8831. Consultado em 9 de julho de 2015. Arquivado do original (PDF) em 11 de junho de 2014 
  78. Salomon, LJ; Alfirevic, Z; Berghella, V; Bilardo, C; Hernandez-Andrade, E; Johnsen, SL; Kalache, K; Leung, K.-Y.; Malinger, G; Munoz, H; Prefumo, F; Toi, A; Lee, W (2013). «ISUOG Practice Guidelines: performance of first-trimester fetal ultrasound scan» (PDF). Ultrasound Obstet Gynecol. 41: 102-113. doi:10.1002/uog.12342. Consultado em 9 de julho de 2015. Arquivado do original (PDF) em 6 de setembro de 2015 
  79. a b c vvaa (29 de setembro de 2011). Exames Ecográficos na Gravidez de baixo risco. [S.l.]: Direção-Geral da Saúde 
  80. Nguyen TH, Larsen T, Engholm G, Møller H (1999). «Evaluation of ultrasound-estimated date of delivery in 17 450 spontaneous singleton births: do we need to modify Naegele's rule?». Ultrasound in Obstetrics and Gynecology. 14 (1): 23–28. PMID 10461334. doi:10.1046/j.1469-0705.1999.14010023.x. Consultado em 25 de junho de 2015 
  81. Nicolaides, KH (janeiro de 2011). «Screening for fetal aneuploidies at 11 to 13 weeks». Prenat Diagn. 31 (1): 7-15. doi:10.1002/pd.2637 
  82. Odeh, Marwan; Grinin, Vitali; Kais, Mohamad; Ophir, Ella; Bornstein, Jacob (2009). «Sonographic Fetal Sex Determination». Obstetrical & Gynecological Survey. 64: 50. doi:10.1097/OGX.0b013e318193299b 
  83. Harvard Health Publications. «Amniocentesis». Universidade de Harvard. Consultado em 7 de agosto de 2015. Arquivado do original em 5 de setembro de 2015 
  84. «Mid-Trimester Amniocentesis Fetal Loss Rate» (PDF). J Obstet Gynaecol Can. 29 (7): 586–590. 2007. Consultado em 8 de agosto de 2015. Arquivado do original (PDF) em 4 de março de 2016 
  85. a b c d e f g h Lee, Mara, ed. (2014). Manual da Gravidez. Porto: Porto Editora. pp. 33–49. ISBN 9780062505 
  86. Centers for Disease Control and Prevention (CDC) (2008). «Use of supplements containing folic acid among women of childbearing age—United States, 2007». MMWR Morb. Mortal. Wkly. Rep. 57 (1): 5–8. PMID 18185493 
  87. Salem N, Litman B, Kim HY, Gawrisch K (Setembro de 2001). «Mechanisms of action of docosahexaenoic acid in the nervous system». Lipids. 36 (9): 945–59. PMID 11724467. doi:10.1007/s11745-001-0805-6 
  88. Klusmann A, Heinrich B, Stöpler H, Gärtner J, Mayatepek E, Von Kries R (2005). «A decreasing rate of neural tube defects following the recommendations for periconceptional folic acid supplementation». Acta Paediatr. 94 (11): 1538–42. PMID 16303691. doi:10.1080/08035250500340396 
  89. Stevenson RE, Allen WP, Pai GS, Best R, Seaver LH, Dean J, Thompson S (2000). «Decline in prevalence of neural tube defects in a high-risk region of the United States». Pediatrics. 106 (4): 677–83. PMID 11015508. doi:10.1542/peds.106.4.677 
  90. Haider BA, Bhutta ZA (2006). Bhutta, Zulfiqar A, ed. «Multiple-micronutrient supplementation for women during pregnancy». Cochrane Database Syst Rev (4): CD004905. PMID 17054223. doi:10.1002/14651858.CD004905.pub2 
  91. Theobald HE (2007). «Eating for pregnancy and breast-feeding». J Fam Health Care. 17 (2): 45–9. PMID 17476978 
  92. Basile LA, Taylor SN, Wagner CL, Quinones L, Hollis BW (2007). «Neonatal vitamin D status at birth at latitude 32 degrees 72': evidence of deficiency». J Perinatol. 27 (9): 568–71. PMID 17625571. doi:10.1038/sj.jp.7211796 
  93. Kuoppala T, Tuimala R, Parviainen M, Koskinen T, Ala-Houhala M (1986). «Serum levels of vitamin D metabolites, calcium, phosphorus, magnesium and alkaline phosphatase in Finnish women throughout pregnancy and in cord serum at delivery». Hum Nutr Clin Nutr. 40 (4): 287–93. PMID 3488981 
  94. a b c d Tarlow, MJ (Agosto de 1994). «Epidemiology of neonatal infections». The Journal of antimicrobial chemotherapy. 34 Suppl A: 43–52. PMID 7844073. doi:10.1093/jac/34.suppl_a.43 
  95. a b Viswanathan M; Siega-Riz, AM; Moos, M-K; et al (Maio de 2008). «Outcomes of Maternal Weight Gain». Evidence Reports/Technology Assessments, No. 168; Agency for Healthcare Research and Quality. Consultado em 23 de junho de 2013 
  96. Committee to Reexamine IOM Pregnancy Weight Guidelines (Maio de 2009). Rasmussen, Kathleen M; Yaktine, Ann L, ed. Weight Gain During Pregnancy. Reexaminning the guidelines. [S.l.]: Institute of Medicine e National Reserach Council of the National Academies. Consultado em 26 de junho de 2015. Arquivado do original em 10 de agosto de 2010 
  97. American College of Obstetricians and Gynecologists (janeiro de 2013). «Weight Gain During Pregnancy». Obstet Gynecol. 121 (1): 210–12. PMID 23262962. doi:10.1097/01.AOG.0000425668.87506.4c 
  98. a b Thangaratinam S, Rogozińska E, Jolly K, Glinkowski S, Duda W, Borowiack E, Roseboom T, Tomlinson J, Walczak J, Kunz R, Mol BW, Coomarasamy A, Khan KS (julho de 2012). «Interventions to Reduce or Prevent Obesity in Pregnant Women: A Systematic Review». Health Technol Assess. 31 (16): iii-iv, 1-191. doi:10.3310/hta16310. Verifique |doi= (ajuda) 
  99. a b Institute for Quality and Efficiency in Health Care. «Weight gain in pregnancy». Institute for Quality and Efficiency in Health Care. Consultado em 23 de junho de 2013 
  100. a b Lee, Mara, ed. (2014). Manual da Gravidez. Porto: Porto Editora. pp. 70–71. ISBN 9780062505 
  101. Infarmed. «Fármacos e graviez». Consultado em 26 de junho de 2015. Arquivado do original em 7 de abril de 2005 
  102. Bérard A, Azoulay L, Koren G, Blais L, Perreault S, Oraichi D (fevereiro de 2007). «Isotretinoin, pregnancies, abortions and birth defects: A population-based perspective». British Journal of Clinical Pharmacology. 63 (2): 196–205. PMC 1859978Acessível livremente. PMID 17214828. doi:10.1111/j.1365-2125.2006.02837.x 
  103. Ornoy A, Ergaz Z (Fevereiro de 2010). «Alcohol abuse in pregnant women: effects on the fetus and newborn, mode of action and maternal treatment». International journal of environmental research and public health. 7 (2): 364–79. PMC 2872283Acessível livremente. PMID 20616979. doi:10.3390/ijerph7020364 
  104. Stade, Brenda C; Bailey, Carol; Dzendoletas, Darlene; Sgro, Michael; Dowswell, Therese; Bennett, Daniel (15 de abril de 2009). «Psychological and/or educational interventions for reducing alcohol consumption in pregnant women and women planning pregnancy». Cochrane Pregnancy and Childbirth Group. doi:10.1002/14651858.CD004228.pub2 
  105. Hackshaw A, Rodeck C, Boniface S (Set–Out 2011). «Maternal smoking in pregnancy and birth defects: a systematic review based on 173 687 malformed cases and 11.7 million controls». Human reproduction update. 17 (5): 589–604. PMC 3156888Acessível livremente. PMID 21747128. doi:10.1093/humupd/dmr022 
  106. Centers for Disease Control and Prevention (2007). «Preventing Smoking and Exposure to Secondhand Smoke Before, During, and After Pregnancy» (PDF). Consultado em 26 de junho de 2015. Arquivado do original (PDF) em 12 de maio de 2016 
  107. Centers for Disease Control and Prevention. «Tobacco Use and Pregnancy». Consultado em 26 de junho de 2015 
  108. Committee on Obstetric Practice (Julho de 2015). «Committee Opinion No. 637: Marijuana Use During Pregnancy and Lactation». Obstetrics & Gynecology. 126 (1): 234-238. doi:10.1097/01.AOG.0000467192.89321.a6 
  109. Irner TB (2012). «Substance exposure in utero and developmental consequences in adolescence: a systematic review». Child Neuropsychol (Review). 18 (6): 521–49. PMID 22114955. doi:10.1080/09297049.2011.628309 
  110. a b North Dakota Department of Health. «New Mother Fact Sheet: Methamphetamine Use During Pregnancy». Consultado em 7 de outubro de 2011. Arquivado do original em 10 de setembro de 2011 
  111. Della Grotta S, LaGasse LL, Arria AM, Derauf C, Grant P, Smith LM, Shah R, Huestis M, Liu J, Lester BM (30 de junho de 2009). «Patterns of Methamphetamine Use During Pregnancy: Results from the IDEAL Study». Matern Child Health J. 14 (4): 519–527. PMC 2895902Acessível livremente. PMID 19565330. doi:10.1007/s10995-009-0491-0 
  112. «Environmental Hazards During Pregnancy» (PDF). Journal of Midwifery & Women’s Health. 51 (1): 57-58. Janeiro–Fevereiro de 2006. doi:doi:10.1016/j.jmwh.2005.09.008 Verifique |doi= (ajuda) 
  113. Domenjoz, I; Kayser, B; Boulvain, M (Outubro de 2014). «Effect of physical activity during pregnancy on mode of delivery.». American journal of obstetrics and gynecology. 211 (4): 401.e1-11. PMID 24631706. doi:10.1016/j.ajog.2014.03.030 
  114. Kramer MS, McDonald SW (19 de julho de 2006). Kramer, Michael S, ed. «Aerobic exercise for women during pregnancy». Cochrane database of systematic reviews (Online). 3 (3): CD000180. PMID 16855953. doi:10.1002/14651858.CD000180.pub2 
  115. a b Artal R, O'Toole M (Fevereiro de 2003). «Guidelines of the American College of Obstetricians and Gynecologists for exercise during pregnancy and the postpartum period». British journal of sports medicine. 37 (1): 6–12; discussão p. 12. PMC 1724598Acessível livremente. PMID 12547738. doi:10.1136/bjsm.37.1.6 
  116. a b Lee, Mara, ed. (2014). Manual da Gravidez. Porto: Porto Editora. pp. 52–57. ISBN 9780062505 
  117. a b Reiter RJ, Tan DX, Korkmaz A, Rosales-Corral SA (2014). «Melatonin and stable circadian rhythms optimize maternal, placental and fetal physiology». Hum. Reprod. Update. 20 (2): 293–307. PMID 24132226. doi:10.1093/humupd/dmt054 
  118. Lee, Mara, ed. (2014). Manual da Gravidez. Porto: Porto Editora. pp. 64–65. ISBN 9780062505 
  119. Mayo Clinic. «Sex during pregnancy: What's OK, what's not». Consultado em 26 de junho de 2015 
  120. Bermudez MP, Sanchez AI, Buela-Casal G (2001). «Influence of the Gestation Period on Sexual Desire». Psychology in Spain. 5 (1): 14–16 
  121. Fok WY, Chan LY, Yuen PM (Outubro de 2005). «Sexual behavior and activity in Chinese pregnant women». Acta Obstetricia et Gynecologica Scandinavica. 84 (10): 934–938. PMID 16167907. doi:10.1111/j.0001-6349.2005.00743.x 
  122. Reamy K, White SE, Daniell WC, Le Vine ES (Junho de 1982). «Sexuality and pregnancy. A prospective study». J Reprod Med. 27 (6): 321–7. PMID 7120209 
  123. Malarewicz A, Szymkiewicz J, Rogala J (Setembro de 2006). «Sexuality of pregnant women». Ginekol. Pol. 77 (9): 733–9. PMID 17219804 
  124. a b Lee, Mara, ed. (2014). Manual da Gravidez. Porto: Porto Editora. pp. 84–105. ISBN 978062505 Verifique |isbn= (ajuda) 
  125. Pennick, VE; Young, G (Abril de 2007). «Interventions for preventing and treating pelvic and back pain in pregnancy». Cochrane database of systematic reviews (Online) (2): CD001139. PMID 17443503. doi:10.1002/14651858.CD001139.pub2 
  126. a b National Collaborating Centre for Women's and Children's Health (Março de 2008). «Antenatal care: routine care for the healthy pregnant woman». RCOG Press. NICE Clinical Guidelines (62). ISBN 978-1-904752-46-2 
  127. Ho, SS; Yu, WW; Lao, TT; Chow, DH; Chung, JW; Li, Y (Junho de 2009). «Effectiveness of maternity support belts in reducing low back pain during pregnancy: a review». Journal of clinical nursing. 18 (11). 152332 páginas. PMID 19490291. doi:10.1111/j.1365-2702.2008.02749.x 
  128. Enkin, Murray; Keirse, MJNC; Renfrew, M; Neilson, JP (1995). A guide to effective care in pregnancy and childbirth 2ª ed. Oxford: Oxford University Press. ISBN 0-19-262326-5 
  129. Young, G (Março de 2009). «Leg cramps». Clinical evidence. PMC 2907778Acessível livremente. PMID 19445755 
  130. Ablove, Robert H.; Ablove, Tova S. (2009). «Prevalence of Carpal Tunnel Syndrome in Pregnant Women» (PDF). Wisconsin Medical Journal. 108 (4) 
  131. «Early pregnancy symptoms: Morning sickness, fatigue and other common symptoms». Consultado em 14 de agosto de 2013 
  132. Serviço Nacional de Saúde (Reino Unido) (Novembro de 2014). «Indigestion and heartburn in pregnancy». Consultado em 18 de agosto de 2015 
  133. Vazquez, JC (Agosto de 2010). «Constipation, haemorrhoids, and heartburn in pregnancy». Clinical evidence. 2010. PMC 3217736Acessível livremente. PMID 21418682 
  134. Quijano, CE; Abalos, E (2012). «Conservative management of symptomatic and/or complicated haemorrhoids in pregnancy and the puerperium». Cochrane Database of Systematic Reviews (3): CD004077. PMID 16034920. doi:10.1002/14651858.CD004077.pub2 
  135. Manual Merck - Biblioteca Médica Online. «Complicações da Gravidez». Consultado em 12 de agosto de 2015 
  136. Portal da Saúde. «Viver a gravidez em saúde». Ministério da Saúde. Consultado em 12 de agosto de 2015 
  137. Kourtis, Athena P.; Read, Jennifer; Jamieson, Denise J. (2014). «Pregnancy and Infection». New England Journal of Medicine. 370 (23): 2211–2218. ISSN 0028-4793. doi:10.1056/NEJMra1213566 
  138. Kaufmann, R.; Foxman, B (1991). «Mastitis among lactating women: occurrence and risk factors». Social science & medicine. 33 (6): 701-705 
  139. a b Manual Merck - Biblioteca Médica Online. «Complicações da gravidez: Anemias». Consultado em 12 de agosto de 2015 
  140. Wang S; An L, Cochran SD (2002). «Women». In: Detels R, McEwen J, Beaglehole R, Tanaka H. Oxford textbook of public health 4.ª ed. [S.l.]: Oxford University Press. pp. 1587–601 
  141. Manual Merck - Biblioteca Médica Online. «Complicações da Gravidez: Vómitos excessivos». Consultado em 12 de agosto de 2015 
  142. Summers, A (Julho de 2012). «Emergency management of hyperemesis gravidarum.». Emergency nurse. 20 (4): 24–28. PMID 22876404. doi:10.7748/en2012.07.20.4.24.c9206 
  143. Goodwin, TM (Setembro de 2008). «Hyperemesis gravidarum.». Obstetrics and gynecology clinics of North America. 35 (3): 401–17, viii. PMID 18760227. doi:10.1016/j.ogc.2008.04.002 
  144. WHO recommendations for prevention and treatment of pre-eclampsia and eclampsia. (PDF). [S.l.: s.n.] 2011. ISBN 978-92-4-154833-5 
  145. Manual Merck - Biblioteca Médica Online. «Complicações da gravidez: Pré-eclampsia e eclampsia». Consultado em 12 de agosto de 2015 
  146. Villar, J; Say L, Gulmezoglu AM, Meraldi M, Lindheimer MD, Betran AP, Piaggio G; (2003). «Eclampsia and pre-eclampsia: a health problem for 2000 years». Pre-eclampsia. Londres: RCOG Press. pp. 189–207 
  147. Haram, K; Svendsen E, Abildgaard U (2009). «The HELLP syndrome: clinical issues and management. A review» (PDF). BMC Pregnancy Childbirth. 9. 8 páginas. PMC 2654858Acessível livremente. PMID 19245695. doi:10.1186/1471-2393-9-8 
  148. Kumar, Vinay; Abbas, Abul K.; Aster, Jon C., eds. (2015). Robbins and Cotran pathologic basis of disease Ninth edition ed. Philadelphia, PA: Elsevier/Saunders. p. 463. ISBN 978-0-323-26616-1 
  149. Manual Merck - Biblioteca Online de Saúde. «Complicações da gravidez». Consultado em 12 de agosto de 2015 
  150. Tavares, Ermelindo; Fernandes, Elicha; Martins, César (2011). «Dermatoses específicas da gravidez» (PDF). Acta Obstet Ginecol Port. 5 (3): 122-131 
  151. Tunzi, M; Gray GR (janeiro de 2007). «Common skin conditions during pregnancy». Am Fam Physician. 75 (2): 211–8. PMID 17263216 
  152. Manual Merck - Biblioteca Médica Online. «Complicações da gravidez: Gravidez ectópica». Consultado em 12 de agosto de 2015 
  153. Sheffield, F. Gary; Cunningham, Kenneth J. Leveno, Steven L. Bloom, Catherine Y. Spong, Jodi S. Dashe, Barbara L. Hoffman, Brian M. Casey, Jeanne S. (2014). Williams obstetrics 24.ª ed. [S.l.: s.n.] ISBN 978-0071798938 
  154. Manual Merck - Biblioteca de Saúde Online. «Complicações da gravidez: Placenta prévia». Consultado em 12 de agosto de 2015 
  155. Manual Merck - Biblioteca de Saúde Online. «Complicações da Gravidez: Aborto e feto morto». Consultado em 12 de agosto de 2015 
  156. a b Education material for teachers of midwifery: midwifery education modules (PDF) 2ª ed. Genebra: Organização Mundial de Saúde. 2008. pp. 38–44. ISBN 9789241546669 
  157. a b Neilson, JP; Lavender, T; Quenby, S; Wray, S (2003). «Obstructed labour.». British medical bulletin. 67: 191–204. PMID 14711764 
  158. a b c Education material for teachers of midwifery : midwifery education modules (PDF) 2ª ed. Genebra: Organização Mundial de Saúde. 2008. pp. 17–36. ISBN 9789241546669 
  159. Education material for teachers of midwifery : midwifery education modules (PDF) 2ª ed. Genebra: Organização Mundial de Saúde. 2008. pp. 89–104. ISBN 9789241546669 
  160. ScarabottoI, Leila Barreto; Riesco, Maria Luiza Gonzalez (2006). «Fatores relacionados ao trauma perineal no parto normal em nulíparas». Revista da Escola de Enfermagem da USP. 40 (3). doi:10.1590/S0080-62342006000300011 
  161. a b Borders, N. (2006). «After the afterbirth: a critical review of postpartum health relative to method of delivery.». Journal of Midwifery & Women’s health. 51 (4): 242-248 
  162. Vliegen, N; Casalin, S., & Luyten, P. (2014). «The course of postpartum depression: a review of longitudinal studies.». Harvard review of psychiatry. 22 (1): 1-22 
  163. Sit, D.; Rothschild, A. J., & Wisner, K. L. (2006). «A review of postpartum psychosis». Journal of women's health. 15 (4): 352-368 
  164. Montmasson, H.; Bertrand, P., Perrotin, F., & El-Hage, W. (2012). «Predictors of postpartum post-traumatic stress disorder in primiparous mothers». Journal de gynecologie, obstetrique et biologie de la reproduction. 41 (6): 553-560 
  165. Marik, PE; Plante LA (2008). «Venous thromboembolic disease and pregnancy». N Engl J Med. 359 (19): 2025–33. PMID 18987370. doi:10.1056/NEJMra0707993 
  166. Jackson, E; Curtis KM, Gaffield ME (2011). «Risk of venous thromboembolism during the postpartum period: A systematic review». Obstet Gynecol. 117 (3): 691–703. PMID 21343773. doi:10.1097/AOG.0b013e31820ce2db 
  167. Bates, SM; Greer IA, Middeldorp S, et al. (2012). «VTE, thrombophilia, antithrombotic therapy, and pregnancy: Antithrombotic therapy and prevention of thrombosis, 9th ed: American College of Chest Physicians evidence-based clinical practice guidelines». Chest. 141 (suppl 2): e691S–e736S. PMC 3278054Acessível livremente. PMID 22315276. doi:10.1378/chest.11-2300 
  168. Debas, H. T.; Donkor, P.; Gawande, A; Jamison, DT; Kruk, ME; Mock, CN, ed. (2015). Essential Surgery. Disease Control Priorities. 1 3ª ed. Washington, DC: World Bank. doi:10.1596/978-1-4648-0346-8 
  169. «The World Factbook». cia.gov 
  170. «Reproductive Health and Research Publications: Making Pregnancy Safer». World Health Organization Regional Office for South-East Asia. 2009. Consultado em 7 de dezembro de 2009. Arquivado do original em 15 de dezembro de 2009 
  171. Kirchengast, Sylvia; Mayer, Michael; Voigt, Manfred (2007). «Pregnancy outcome is associated with maternal marital status in Austria — even at the beginning of the 21 st century». Anthropologischer Anzeiger. 65 (4): 415-426 
  172. Piedmont, Ralph L.; Village, Andrew, ed. (Maio de 2009). Research in the Social Scientific Study of Religion. 20. [S.l.]: Brill. p. 10. ISBN 9789004175624 
  173. Winkler, J (2000). «Development of the maternal bond during pregnancy». Cas. Lek. Cesk. 139 (1): 5–8. PMID 10750284 
  174. Winkler, Jiří (2000). «Development of the maternal bond during pregnancy». Časopis lékařů českých. 139 (1): 5–8. PMID 10750284 
  175. Bond, Jermane (Setembro de 2012). «Changing expectations: factors influencing paternal involvement in pregnancy and childbirth» (PDF). Trends in Urology & Men's Health. 3 (5): 23-26. doi:10.1002/tre.285 
  176. Makar, RS; Toth TL (2002). «The evaluation of infertility». Am J Clin Pathol. 117 (Suppl): S95–103. PMID 14569805 
  177. Organização Mundial de Saúde (19 de março de 2013). «Infertility definitions and terminology». Consultado em 14 de agosto de 2015 
  178. Lis, R.; Rowhani-Rahbar, A.; Manhart, L. E. (2015). «Mycoplasma genitalium Infection and Female Reproductive Tract Disease: A Meta-Analysis». Clinical Infectious Diseases. ISSN 1058-4838. doi:10.1093/cid/civ312 
  179. Ljubin-Sternak, Suncanica; Mestrovic, Tomislav (2014). «Review: Clamydia trachonmatis and Genital Mycoplasmias: Pathogens with an Impact on Human Reproductive Health». Journal of Pathogens. 2014 (183167). doi:10.1155/204/183167 
  180. Matzuk, Martin M; Lamb, Dolores J (2008). «The biology of infertility: research advances and clinical challenges». Nature Medicine. 14 (11): 1197–1213. doi:10.1038/nm.f.1895 
  181. Zenzes, MT (2000). «Smoking and reproduction: gene damage to human gametes and embryos». Hum. Reprod. Update. 6 (2): 122–31. PMID 10782570. doi:10.1093/humupd/6.2.122 
  182. a b Portal da Saúde - Ministério da Saúde. «Problemas de fertilidade». Consultado em 14 de agosto de 2015 
  183. Cousineau, TM; Domar, AD (2007). «Psychological impact of infertility». Best Pract Res Clin Obstet Gynaecol. 21 (2): 293–308. PMID 17241818. doi:10.1016/j.bpobgyn.2006.12.003 
  184. Mayor, S (2004). «Pregnancy and childbirth are leading causes of death in teenage girls in developing countries». BMJ. 328 (7449). 1152 páginas. PMC 411126Acessível livremente. PMID 15142897. doi:10.1136/bmj.328.7449.1152-a 
  185. Makinson, C (1985). «The health consequences of teenage fertility». Family Planning Perspectives. 17 (3): 132–139. PMID 2431924. doi:10.2307/2135024 
  186. Klein, Jonathan D.; Committee on Adolescence (Julho de 2005). Pediatrics. 116 (1): 281-286. doi:10.1542/peds.2005-0999 
  187. Oringanje, C; Meremikwu MM, Eko H, Esu E, Meremikwu A, Ehiri JE (2009). «Interventions for preventing unintended pregnancies among adolescents». Cochrane Database of Systematic Reviews. 4 (4): CD005215. PMID 19821341. doi:10.1002/14651858.CD005215.pub2 
  188. Ott, MA; Santelli, JS (2007). «Abstinence and abstinence-only education». Current opinion in obstetrics & gynecology. 19 (5): 446–52. PMID 17885460. doi:10.1097/GCO.0b013e3282efdc0b 
  189. Grimes, DA; Stuart, G (2010). «Abortion jabberwocky: the need for better terminology». Contraception. 81 (2): 93–6. PMID 20103443. doi:10.1016/j.contraception.2009.09.005 
  190. Kulier, R; Kapp, N; Gülmezoglu, AM; Hofmeyr, GJ; Cheng, L; Campana, A (Novembro de 2011). «Medical methods for first trimester abortion.». The Cochrane database of systematic reviews (11): CD002855. PMID 22071804. doi:10.1002/14651858.CD002855.pub4 
  191. Wildschut, H; Both, MI; Medema, S; Thomee, E; Wildhagen, MF; Kapp, N (Janeiro de 2011). «Medical methods for mid-trimester termination of pregnancy.». The Cochrane database of systematic reviews (1): CD005216. PMID 21249669. doi:10.1002/14651858.CD005216.pub2 
  192. a b Kapp, N; Whyte, P; Tang, J; Jackson, E; Brahmi, D (Setembro de 2013). «A review of evidence for safe abortion care.». Contraception. 88 (3): 350–63. PMID 23261233. doi:10.1016/j.contraception.2012.10.027 
  193. Grimes, D. A.; Benson, J.; Singh, S.; Romero, M.; Ganatra, B.; Okonofua, F. E.; Shah, I. H. (2006). «Unsafe abortion: The preventable pandemic» (PDF). The Lancet. 368 (9550): 1908–1919. PMID 17126724. doi:10.1016/S0140-6736(06)69481-6 
  194. Raymond, EG; Grossman, D; Weaver, MA; Toti, S; Winikoff, B (Novembro de 2014). «Mortality of induced abortion, other outpatient surgical procedures and common activities in the United States.». Contraception. 90 (5): 476–479. PMID 25152259. doi:10.1016/j.contraception.2014.07.012 
  195. a b Lohr, P. A.; Fjerstad, M; Desilva, U; Lyus, R (2014). «Abortion». BMJ. 348: f7553. doi:10.1136/bmj.f7553 
  196. a b Organização Mundial de Saúde (2012). Safe abortion: technical and policy guidance for health systems (PDF) 2ª ed. Genebra: Organização Mundial de Saúde. p. 8. ISBN 9789241548434 
  197. Shah, I; Ahman; E (Dezembro de 2009). «Unsafe abortion: global and regional incidence, trends, consequences, and challenges» (PDF). Journal of Obstetrics and Gynaecology Canada. 31 (12): 1149–58. PMID 20085681. Consultado em 15 de agosto de 2015. Arquivado do original (PDF) em 16 de julho de 2011 
  198. Boland, R.; Katzive, L. (2008). «Developments in Laws on Induced Abortion: 1998–2007». International Family Planning Perspectives. 34 (3): 110–120. PMID 18957353. doi:10.1363/ifpp.34.110.08 
  199. Hansen, Dale (18 de março de 2014). «Abortion: Murder, or Medical Procedure?». Huffington Post. Consultado em 2 de julho de 2014 
  200. Sifris, Ronli Noa (2013). Reproductive Freedom, Torture and International Human Rights Challenging the Masculinisation of Torture. Hoboken: Taylor and Francis. p. 3. ISBN 9781135115227 
  201. Hatcher, Robert D. (2011). Contraceptive Technology 2ª ed. [S.l.]: Ardent Media, Inc. 514 páginas. ISBN 978-1-59708-004-0 
  202. Hathaway, J.E.; Mucci L.A., Silverman J.G. et al. (2000). «Health status and health care use of Massachusetts women reporting partner abuse». Am J Prev Med. 19 (4): 302–307. doi:10.1016/s0749-3797(00)00236-1 
  203. a b Masselot, Annick; Di Torella, Eugenia Caracciolo: Burri, Susanne et al (2012). Fighting Discrimination on the Grounds of Pregnancy, Maternity and Parenthood (PDF). [S.l.]: Diretoria-Geral de Justiça da União Europeia. ISBN 978-92-79-27748-1. doi:10.2838/37932 
  204. United Nations Entity for Gender Equality and the Empowerment of Women. «Convention on the Elimination of All Forms of Discrimination against Women, Artigo 11.º». Consultado em 15 de agosto de 2015 
  205. Maternity Protection Convention C 183, Article 4
  206. Addati, L.; Cassirer, N., & Gilchrist, K. (Maio de 2014). Maternity and paternity at work: Law and practice across the world. [S.l.]: Organização Internacional do Trabalho. ISBN 978-92-2-128630-1 

Ligações externas