Glomerulonefrite

Glomerulonefrite
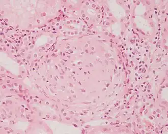
Fotomicrografia de uma biópsia de rim de um paciente com glomerulonefrite crescêntica mostrando uma formação crescêntica fibrocelular proeminente e uma proliferação mesangial moderada em um glomérulo. Coloração de hematoxilina e eosina.
Especialidadenefrologia
Classificação e recursos externos
CID-10N00, N01, N03, N18
CID-9580-582
DiseasesDB5245
MedlinePlus000484
MeSHD005921
A Wikipédia não é um consultório médico. Leia o aviso médico 

Glomerulonefrite ou glomerulopatia é uma afecção que acomete o glomérulo, estruturas microscópicas do rim formadas por um emaranhado de capilares, a principal estrutura renal responsável pela filtração do sangue.

Classificação

Histologicamente, são classificadas em várias entidades, uma vez que a glomerulonefrite pode ter diversas apresentações clínicas. Raramente essas patologias evoluem para insuficiência renal terminal em questão de semanas, geralmente sua evolução é mais lenta e pode demorar meses ou até anos. Quando ocorre piora da função renal em poucas semanas, elas são classificadas como glomerulonefrites rapidamente progressivas, independentemente do tipo histológico.

Glomerulopatias primárias
Glomerulopatias secundárias (causadas por outras doenças)

Causas

Os glomérulos renais são responsáveis por filtrar água e o excesso de sais minerais do sangue para a urina

Dentre as possíveis doenças que podem causar ou aumentar o risco de glomerulonefrite estão:[1][2]

Fatores de risco[1]

Histologia

Biópsia renal de uma glomerulonefrite crescente característica de progressão rápida

Considerando todos os glomérulos presentes no tecido renal temos os seguintes termos:

  • Lesão difusa: 50% ou mais dos os glomérulos do rim estão acometidos.
  • Lesão focal: Menos de 50 % dos glomérulos estão acometidos.

Considerando apenas um glomérulo temos:

  • Lesão segmentar: ocorre quando parte ou segmento do glomérulo está acometido.
  • Lesão global: todo o tufo capilar de um glomérulo está lesado.

Sintomatologia

As conseqüências da agressão glomerular são:[3]

  • Proteinúria, uma urina com espuma (perda de proteínas na urina),
  • Hematúria, uma urina rosada ou marrom escuro (perda de sangue na urina),
  • Edema nos pés, pernas, abdômen e rosto, esse inchaço é causado por desequilíbrio hidroeletrolítico,
  • Hipertensão arterial (pressão sanguínea alta),
  • Fadiga (cansaço).

Complicações

Dependendo da intensidade e do tipo da agressão, pode haver predomínio de um sinal sobre outro, dando origem a diferentes apresentações clínicas:

  • Síndrome nefrítica é definida como o aparecimento de edema, hipertensão arterial e hematúria (geralmente macroscópica).
  • Síndrome nefrótica é caracterizada por proteinúria de 24 horas maior que 3,5 gramas em adultos ou 50 mg/kg em crianças, edema, hipoalbuminemia e hipercolesterolemia.
  • Não-nefrítica e não-nefrótica são aqueles casos que não se encaixam nas classificações descritas anteriormente.

Epidemiologia

Em estudo brasileiro com biópsia renal de pacientes com glomerulopatias 41% apresentavam síndrome nefrótica e 35% apresentavam glomerulonefrite rapidamente progressiva. Entre as glomerulopatias primárias, as mais comuns foram glomeruloesclerose segmentar e focal (26,9%) e nefropatia por IgA (25%). Entre as secundárias a nefrite lúpica (50%) e a glomerulonefrite proliferativa exsudativa difusa (34,2%). Dois terços necessitaram imunossupressores e quase um terço necessitou de diálise durante a internação. Desse grupo, 10,6% dos pacientes faleceram.[4]

Terapia

O tipo de tratamento depende da causa, da intensidade, da cronicidade e das complicações:[5]

Referências

  1. a b c d «Glomerulonephritis: MedlinePlus Medical Encyclopedia». medlineplus.gov (em inglês). Consultado em 10 de abril de 2022 
  2. a b c «Glomerulonephritis - Symptoms and causes». Mayo Clinic (em inglês). Consultado em 10 de abril de 2022 
  3. «Glomerulonephritis - Symptoms and causes». Mayo Clinic (em inglês). Consultado em 10 de abril de 2022 
  4. FERRAZ, Fabio Humberto Ribeiro Paes et al. Perfil das doenças glomerulares em um hospital público do Distrito Federal. J. Bras. Nefrol. [online]. 2010, vol.32, n.3 [cited 2014-08-09], pp. 249-256 . Available from: <http://www.scielo.br/scielo.php?script=sci_arttext&pid=S0101-28002010000300005&lng=en&nrm=iso>. ISSN 0101-2800. http://dx.doi.org/10.1590/S0101-28002010000300005.
  5. «Glomerulonephritis - Diagnosis and treatment - Mayo Clinic». www.mayoclinic.org (em inglês). Consultado em 10 de abril de 2022 
  6. «A controlled trial of fish oil in IgA nephropathy. Mayo Nephrology Collaborative Group.». Epistemonikos. Consultado em 10 de abril de 2022 
  7. «Glomerulonephritis - Diagnosis and treatment - Mayo Clinic». www.mayoclinic.org (em inglês). Consultado em 10 de abril de 2022