Glomerulonefrite rapidamente progressiva
| Glomerulonefrite rapidamente progressiva | |
|---|---|
![]() | |
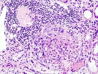
| Histopatologia de glomerulonefrite com formação Crescente causada por anticorpos antineutrófilos citoplasmáticos (ANCA). | |
| Especialidade | nefrologia |
| Classificação e recursos externos | |
| CID-10 | N00-N08 com sufixo .7 |
| DiseasesDB | 3165 |
| MedlinePlus | 000469 |
| eMedicine | med/881 med/890 |
Glomerulonefrite rapidamente progressiva (GNRP) ou glomerulonefrite crescêntica é uma doença renal caracterizada pelo declínio de mais de 50% da filtração glomerular em menos de 3 meses. Gera uma insuficiência renal aguda irreversível e potencialmente fatal. Afeta quatro em cada um milhão de habitantes, sendo mais comum entre mulheres e idosos.[1]
Classificação
Podem ser classificada em três tipos dependendo da causa[2]:
- Tipo I: Caracterizada pela presença de Anticorpo antimembrana basal glomerular (anti-GBM+), representa 20% dos casos.
- Tipo II: Causada pela deposição de complexos imunes (complexo anticorpo-antígeno) representa 25% dos casos. Pode ser associado a Lúpus eritematoso sistémico (LES), glomerulonefrite pós-estreptocócica, púrpura de Henoch-Schönlein e nefropatia por IgA.
- Tipo III ou pauci-imune: Causada pela ativação de neutrófilos em resposta ao Anticorpo anticitoplasma de neutrófilo (ANCA+), representa 55% dos casos.
Causas
Em 50% dos casos, a glomerulonefrite rapidamente progressiva está associada com uma doença subjacente como a síndrome de Goodpasture, lúpus eritematoso sistêmico ou granulomatose de Wegener; os casos restantes são de origem desconhecida (idiopáticos).
Sinais e sintomas
Gera síndrome nefrítica (sangue na urina, hipertensão arterial e pouca produção de urina) e síndrome nefrótica(perda de proteínas na urina gerando muito inchaço). Frequentemente também está associado com anemia (~90%), leucocitose (60%), compromisso das vias respiratórias (60%), das articulações (40%), dos músculos (30%), da pele (20%) e do sistema nervoso (15%).[1]
Diagnóstico
Após identificar o rápido compromisso da função renal com um exame de creatinina, ureia, albumina e hemácias no sangue e na urina é recomendado uma ultrassonografia dos rins para ver se os rins estão aumentados, biópsia renal para ver se há padrão de "lua crescente" nos glomérulos (visível em até 75% dos casos) e um exame de autoanticorpos (ANA, ANCA e Anti-GBM).[3]
Tratamento
A terapia para glomerulonefrite rapidamente progressiva é feita com imunossupressores, por exemplo, prednisolona combinada com ciclofosfamida. A substituição da azatioprina pela ciclofosfamida após um período inicial de 90 dias é uma alternativa. O prognóstico depende do valor da creatinina sérica e urina e da idade do paciente. A maioria necessita diálise em algum momento. Plasmaferese pode ser feita em pacientes que apresentam insuficiência renal aguda grave. Nas fases avançadas transplante renal pode ser necessário.[4]
Referências
- ↑ a b Hedger, Neil; Stevens, Judith; Drey, Nick; Walker, Sarah; Roderick, Paul (2000-10-01). "Incidence and outcome of pauci‐immune rapidly progressive glomerulonephritis in Wessex, UK: a 10‐year retrospective study". Nephrology Dialysis Transplantation. 15 (10): 1593–1599. https://academic.oup.com/ndt/article/15/10/1593/1805184/Incidence-and-outcome-of-pauci-immune-rapidly
- ↑ Cotran, Ramzi S.; Kumar, Vinay; Fausto, Nelson; Nelso Fausto; Robbins, Stanley L.; Abbas, Abul K. (2005). Robbins and Cotran pathologic basis of disease. St. Louis, MO: Elsevier Saunders. pp. 976–8. ISBN 0-7216-0187-1.
- ↑ Bhowmik, Dipankar (January 2011). "Clinical Approach to Rapidly Progressive Renal Failure" (PDF). Journal of the Association of Physicians of India. Retrieved 31 October 2015.
- ↑ Emedicine. Rapidly Progressive Glomerulonephritis Treatment & Management: Medical Care, Consultations. http://emedicine.medscape.com/article/240457-treatment
.jpg)