Nefropatia por IgA

Nefropatia por IgA
Imunoglobulina A
Especialidadenefrologia, reumatologia
Classificação e recursos externos
CID-10N02.8
CID-9583.9
OMIM161950
DiseasesDB1353
MedlinePlus000466
eMedicinemed/886
MeSHD005922
A Wikipédia não é um consultório médico. Leia o aviso médico 

Nefropatia por IgA (NIgA), glomerulonefrite sinfaríngica ou doença de Berger é uma doença renal comum causada por depósitos de anticorpos (imunoglobulina A) causando inflamação e lesão progressiva dos glómerulos renais ao longo dos anos. Não possui cura, mas possui tratamento para prevenir a insuficiência renal.[1]

Para algumas pessoas, a nefropatia por IgA ocorre em famílias. Os cientistas descobriram recentemente vários marcadores genéticos que podem desempenhar um papel no desenvolvimento da doença. A nefropatia por IgA também pode estar relacionada a infecções respiratórias ou intestinais em resposta do sistema imunológico a estas infecções.

Sintomatologia

Nas fases iniciais é pouco sintomática, caracterizada por episódios de sangue na urina (hematúria) visivelmente escura (macroscópica) ou pouco perceptível (microscópica), associada a infecções inespecíficas das vias aéreas superiores (se sinusite e faringite pode ser chamada de sinfaríngica). Pode passar décadas sem causar sintomas e só ser descoberta incidentalmente em um exame de urina por outra causa. Após anos de evolução os primeiros sintomas de dano renal são:[2]

Perda de proteínas na urina geralmente situa-se em torno de 1 a 2 gramas por dia, raramente causando síndrome nefrótica (mais de 3g). Na maioria dos casos a função renal se mantém normal por décadas, mas uma percentagem dos pacientes (cerca de 20 a 30%) evolui para insuficiência renal crônica terminal após 20 anos de evolução.[2]

Diagnóstico

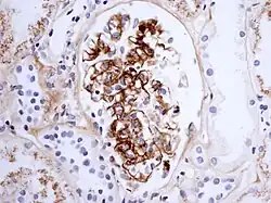
Glomérulo renal com depósitos de IgA (tingidos de marrom)

Os portadores de NIgA apresentam aumento do nível sérico de imunoglobulina A por déficit de excreção hepática ou aumento de sua síntese na medula óssea. A lesão renal é secundária à deposição dessa imunoglobulina nas estruturas glomerulares. Deve-se suspeitar de glomerulonefrite quando a ureia em urina é 30 vezes maior que a creatinina em urina. Quando se detecta sangue e proteínas na urina pode-se pedir uma biópsia renal para identificar a causa. O achado anátomo-patológico da biópsia renal mais característico é a deposição de IgA no mesângio.[3]

Epidemiologia

Ocorre em qualquer faixa etária, sendo mais comum em pacientes entre 10 e 40 anos. É duas vezes mais comum em homens. É mais comum em brancos e asiáticos, sendo rara em negros.[4]

Terapia

O tratamento é feito de forma sintomática:[5]

  • Diuréticos e IECA para controlar a pressão arterial de uma pessoa e remover o líquido extra do sangue;
  • Corticoides (como prednisona) para inibir o sistema imunológico e retardar a progressão da doença renal;
  • Estatinas para reduzir os níveis de colesterol no sangue;
  • Dieta evitando sal e LDL.

Referências