Síndrome de Goodpasture
| Síndrome de Goodpasture | |
|---|---|
![]() | |
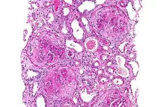
| Histologia de uma glomerunefrite crescente, tingida com PAS | |
| Especialidade | nefrologia, pneumologia, imunologia |
| Classificação e recursos externos | |
| CID-11 | MF85 |
| CID-10 | M31.0 (ILDS M31.010) |
| CID-9 | 446.21 |
| OMIM | 233450 |
| DiseasesDB | 5363 |
| MedlinePlus | 000142 |
| eMedicine | med/923 ped/888 |
| MeSH | D019867 |
Síndrome de Goodpasture, Doença de Goodpasture ou doença dos anticorpos anti-membrana basal glomerular (anti-MBG) é uma rara doença autoimune caracterizada por rápida destruição dos rins e hemorragia dos pulmões. É desencadeada quando o próprio sistema imune ataca uma subunidade do colágeno tipo IV, conhecida como antígeno Goodpasture (uma reação de hipersensibilidade do tipo II), que é encontrado no rim e no pulmão.
Afeta um em um milhão de habitantes por ano, sendo mais comum entre descendentes de europeus e asiáticos, entre os 20 e 30 anos ou entre os 60 e 70 anos e entre homens.[1]
A doença recebe o nome em homenagem ao patologista norte-americano Dr. Ernest Goodpasture, que em 1919 descreveu pela primeira vez a doença.
Causas
Assim como outras condições autoimunes, os anticorpos anti-MBG resultam de um gatilho ambiental em pessoa com susceptibilidade genética. O antígeno leucocitário humano (HLA) serotipo HLA-DR15 foi fortemente associado com a doença de Goodpasture. Começa com um irritante da vasculatura pulmonar que produz a exposição dos capilares alveolares aos anticorpos anti-GBM. Os fatores ambientais que podem desencadear esse anticorpo incluem [2]:
- Exposição a solventes orgânicos ou hidrocarbonetos
- Cigarros
- Infecção pulmonar (por exemplo, influenza A2)
- Inalação de cocaína
- Exposição a poeiras metálicas
- Terapia de depleção de linfócitos, como o alemtuzumab
- Litotripsia extracorpórea
Sinais e sintomas
Os primeiros sinais da síndrome de Goodpasture podem incluir[3]:
- Fadiga e fraqueza;
- Náusea e vomito;
- Pele pálida;
- Tosse que piora progressivamente.
Conforme as membranas pulmonares são destruídas aparece[2]:
- Falta de ar;
- Tosse com sangue;
- Dor no peito;
- Desequilíbrio eletrolítico (hipercarbia, por exemplo).
Conforme as membranas renais são destruídas aparece[4]:
- Sangue na urina;
- Proteína na urina;
- Inchaço das pernas e braços;
- Altas quantidades de ureia no sangue;
- Pressão arterial elevada;
- Desequilíbrio eletrolítico (hipercalemia, por exemplo).
Diagnóstico
Após uma entrevista que gere suspeita de insuficiência renal e respiratória deve-se pedir exames da função renal e radiografia do tórax. O diagnóstico é garantido quando um sedimento de biópsia de rim e um de pulmão são analisados sob microscópio e os anticorpos anti membrana basal glomerular são comprovados. [2]
Tratamento
O tratamento geralmente começa com ventilação com máscara de oxigênio, regulando a pressão arterial e medindo a função renal. A produção dos anticorpos anti-MBG pode ser bloqueada através de medicamentos imunossupressores como ciclofosfamida com altas doses de prednisona). O tratamento com corticoesteroides orais pode durar de 6 a 12 meses.[2]
Através de plasmaferese os anticorpos são removidos do corpo e com da adsorção imune eles podem ser filtrados. O plasma sanguíneo filtrado é novamente reinfundido, maneira pela qual uma grande quantidade de sangue pode ser limpa, melhorando o bem estar geral do paciente. É importante citar, que dessa maneira diversas imunidades adquiridas são perdida e re-vacinação será necessária. A plasmaférese é feita diariamente durante várias semanas. As recidivas são raras.[2]
A mortalidade pode ser diminuída de 90% para menos de 20% com essa terapia. No entanto, ela pode causar em pacientes uma produção de anticorpos aumentada, o que é conhecido como efeito rebote. Uma insuficiência renal grave pode exigir diálise por largo prazo e transplante de rim. Sem transplante e com sangrado pulmonar a sobrevivência média era de 5,9 anos após o aparecimento dos sintomas.
Ver também
- ↑ http://emedicine.medscape.com/article/240556-overview#a6
- ↑ a b c d e Kathuria, P; Sanghera, P; Stevenson, FT; Sharma, S; Lederer, E; Lohr, JW; Talavera, F; Verrelli, M (21 de Maio de 2013). Batuman, C, ed. "Goodpasture Syndrome". Medscape Reference. WebMD. [1]
- ↑ Phelps RG, Turner AN. Anti-glomerular basement membrane disease and Goodpasture disease. In: Johnson RJ, Feehally J, Floege J, eds. Comprehensive Clinical Nephrology. 5th ed. Philadelphia, PA: Elsevier Saunders; 2015:chap 24.
- ↑ Kathuria, P; Sanghera, P; Stevenson, FT; Sharma, S; Lederer, E; Lohr, JW; Talavera, F; Verrelli, M (7 de novembro de 2016). Batuman, C, ed. "Goodpasture Syndrome Clinical Presentation". Medscape Reference. WebMD.
