Gravidez cervical
| Gravidez cervical | |
|---|---|
![]() | |
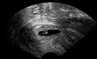
| Ultrassonografia vaginal de uma gravidez cervical com idade gestacional de cinco semanas.[1] | |
| Especialidade | Obstetrícia |
| Tratamento | Aborto espontâneo, excisão, curetagem, sutura, eletrocautério, tamponamento,[2] metotrexato,[3] embolização da artéria uterina,[4] podendo requerer histerectomia em casos avançados.[5] |
| Classificação e recursos externos | |
| CID-10 | O00.8 |
| CID-9 | 633.80 |

A gravidez cervical é uma gravidez ectópica que se implantou no endocérvice uterino.[6] Esse tipo de gravidez geralmente aborta dentro do primeiro trimestre; no entanto, se estiver implantada mais próxima da cavidade uterina – a chamada gravidez cérvico-istmo – pode prosseguir por mais tempo.[2] A remoção da placenta em uma gravidez cervical pode resultar em hemorragia grave.
Diagnóstico
O diagnóstico é feito em gestantes assintomáticas, seja pela inspeção que mostra um colo uterino azulado, seja, mais comumente, por ultrassonografia obstétrica. Um sintoma inespecífico típico é o sangramento vaginal durante a gravidez. O ultrassom mostrará a localização do saco gestacional no colo, enquanto a cavidade uterina permanece “vazia”. A gravidez cervical pode ser confundida com um aborto espontâneo quando o tecido da gravidez passa pelo colo.
Histologicamente, o diagnóstico foi estabelecido pelos critérios de Rubin no material cirúrgico: glândulas cervicais estão opostas ao tecido trofoblástico, a fixação trofoblástica está abaixo da entrada dos vasos uterinos no útero ou da reflexão peritoneal anterior, e elementos fetais estão ausentes no corpo uterino.[7] Como hoje muitas gestações são diagnosticadas precocemente e nenhuma histerectomia é realizada, os critérios de Rubin muitas vezes não podem ser aplicados.
Manejo
Gravidezes cervicais verdadeiras tendem a abortar; no entanto, se a gravidez estiver localizada mais acima no canal e a placenta encontrar suporte na cavidade uterina, pode ultrapassar o primeiro trimestre. Como a placenta está implantada de forma anormal, pode-se esperar sangramento vaginal intenso no momento do parto e da remoção placentária. Enquanto gravidezes cervicais precoces podem abortar espontaneamente ou ser manejadas com excisão, curetagem, sutura, eletrocautério e tamponamento,[2][8] com medicação como metotrexato,[3] e/ou por embolização da artéria uterina,[9] uma gravidez mais avançada pode exigir uma histerectomia para controlar o sangramento.[10] Quanto mais avançada a gravidez, maior o risco de hemorragia grave que exige histerectomia.[5]
Em ocasiões muito raras, uma gravidez cervical resulta no nascimento de um bebê vivo;[11] tipicamente, a gravidez está na parte superior do canal cervical e consegue se estender até a parte inferior da cavidade uterina.
Uma gravidez cervical pode se desenvolver junto com uma gravidez intrauterina normal; tal gravidez heterotópica exigirá manejo especializado para não colocar em risco a gestação intrauterina.[12]
Epidemiologia
A incidência relatada varia entre 1:1.000 e 1:16.000 gestações.[10][5][13]
Gravidezes envolvendo o istmo – o segmento do útero entre o colo e o fundo – são mais comuns que as gravidezes cervicais verdadeiras.[2] Embora em muitas situações a causa da implantação anormal permaneça incerta, há evidências que ligam o desenvolvimento da gravidez cervical a instrumentações uterinas, especificamente curetagens repetidas (dilatação e curetagem).[10][5] Gravidezes cervicais devem ser diferenciadas daquelas que se iniciam a partir de uma implantação em cicatriz de uma cesariana anterior, as chamadas gravidezes em cicatriz.[6]
Referências
- ↑ Agrell, Jesper (2014). «Ultrasonography of a cervical pregnancy». WikiJournal of Medicine. 1 (2). doi:10.15347/wjm/2014.011
- ↑ a b c d Avery DM, Wells MA, Harper DM (2009). «Cervico-isthmic corporeal pregnancy with delivery at term: a review of the literature with a case report». Obstet. Gynecol. Surv. 64 (5): 335–44. PMID 19386140. doi:10.1097/OGX.0b013e31819f95ff
- ↑ a b Corticelli A, Grimaldi M, Caporale E (2008). «Conservative management of cervical ectopic pregnancy: case report and review of literature». Clin Exp Obstet Gynecol. 35 (4): 297–8. PMID 19205450
- ↑ Nakao Y, Yokoyama M, Iwasaka T. Uterine artery embolization followed by dilation and curettage for cervical pregnancy. Obstet Gynecol. 2008;111(2 Pt 2):505–7. doi:10.1097/01.AOG.0000286771.10377.4e
- ↑ a b c d Vela G, Tulandi T (2007). «Cervical pregnancy: the importance of early diagnosis and treatment». Minim Invasive Gynecol. 14 (4): 481–4. PMID 17630167. doi:10.1016/j.jmig.2006.11.012
- ↑ a b Lin EP, Bhatt S, Dogra VS (2008). «Diagnostic clues to ectopic pregnancy.». Radiographics. 28 (6): 1661–71. PMID 18936028. doi:10.1148/rg.286085506
- ↑ Dixit N, Venkatesan S (2008). «Cervical Pregnancy : An Uncommon Ectopic Pregnancy». Medical Journal Armed Forces India. 64 (2): 183–184. PMC 4921565
. PMID 27408132. doi:10.1016/s0377-1237(08)80077-9
- ↑ Kraemer B, Abele H, Hahn M, Wallwiener D, Rajab TK, Hornung R (2008). «Cervical ectopic pregnancy on the portio: conservative case management and clinical review». Fertil. Steril. 90 (5): 2011.e1–4. PMID 18710714. doi:10.1016/j.fertnstert.2008.06.018
- ↑ Nakao Y, Yokoyama M, Iwasaka T (2008). «Uterine artery embolization followed by dilation and curettage for cervical pregnancy». Obstet. Gynecol. 111 (2 Pt 2): 505–7. PMID 18239001. doi:10.1097/01.AOG.0000286771.10377.4e
- ↑ a b c Parente JT, Ou CS, Levy J, Legatt E (1983). «Cervical pregnancy analysis: a review and report of five cases». Obstet. Gynecol. 62 (1): 79–82. PMID 6856229
- ↑ Kotzbach R, Szymański M, Korenkiewcz J, Wasilewski Z, Szymański W (2005). «Ectopic cervical pregnancy terminating in the birth of a live 1800 g infant». Ginekol Pol. (em polaco). 76 (4): 304–7. PMID 16013184
- ↑ Shah AA, Grotegut CA, Likes CE 3rd, Miller MJ, Walmer DK (2009). «Heterotopic cervical pregnancy treated with transvaginal ultrasound-guided aspiration resulting in cervical site varices within the myometrium». Fertil. Steril. 91 (3): 934.e19–22. PMID 19022428. doi:10.1016/j.fertnstert.2008.10.008
- ↑ Bustamante Sarabia J, Caballero Rodríguez B, del Río Serrano LM (1986). «Ectopic pregnancy in the presence of an intrauterine device. Communication of a case and review of the literature». Ginecol Obstet Mex. (em espanhol). 54: 131–3. PMID 3732842
