Corioamnionite
| Corioamnionite | |
|---|---|
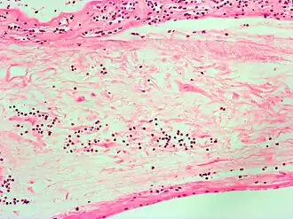
![]() | |
| Micrografia mostrando corioamnionite. Coloração H&E. | |
| Especialidade | ginecologia e obstetrícia |
| Classificação e recursos externos | |
| CID-10 | O41.1, P02.7 |
| CID-9 | 658.4, 762.7 |
| DiseasesDB | 31882 |
| eMedicine | ped/89 |
| MeSH | D002821 |
Corioamnionite é uma inflamação das membranas fetais (âmnio e córion), do liquido amniótico, placenta e/ou decíduas devido a uma infecção bacteriana. Tem mostrado-se de prevalência variável nos estudos, podendo acometer até 10% das gestações e até 40% dos casos de síndromes febris no trabalho de parto.[1] Geralmente resulta devido a bactérias que migraram ao útero através da vagina e está frequentemente associado a um trabalho de parto prolongado.
Referências
- ↑ Correa, Andressa (2009). «Corioamnionite: relato de caso e revisão» (PDF). Rev Med Minas Gerais. Consultado em 11 de julho de 2018
