Asma

Asma
Um ataque de asma provoca o estreitamento das vias respiratórias e a produção de muco em excesso, o que torna a respiração difícil
EspecialidadePneumologia
SintomasEpisódios recorrentes de respiração sibilante, tosse, aperto no peito e falta de ar[1]
DuraçãoCrónica[2]
CausasFatores genéticos e ambientais[3]
Fatores de riscoPoluição do ar, alergénios[2]
Método de diagnósticoBaseado nos sintomas, resposta à terapia, espirometria[4]
TratamentoEvitar os fatores desencadeantes, corticosteroides por inalação, salbutamol[5][6]
Frequência358 milhões (2015)[7]
Mortes397 100 (2015)[8]
Classificação e recursos externos
CID-11CA23
CID-10J45
CID-9493
OMIM600807
DiseasesDB1006
MedlinePlus000141
eMedicinemed/177 emerg/43
MeSHD001249
A Wikipédia não é um consultório médico. Leia o aviso médico 

Asma é uma doença inflamatória crónica das vias aéreas. Quando as vias aéreas inflamadas são expostas a vários estímulos ou fatores desencadeantes tornam-se hiper-reativas e obstruídas, limitando o fluxo de ar através de broncoconstrição, produção de muco e aumento da inflamação. Entre os sintomas mais comuns estão a pieira recorrente, tosse com agravamento noturno, sensação de aperto no peito e dificuldade respiratória recorrente. Pensa-se que a asma tenha origem numa conjugação de fatores genéticos e ambientais. Entre os fatores desencadeantes mais comuns estão os alergénios, como ácaros domésticos, baratas, pólen, pêlo de animais e fungos, e diversos fatores ambientais, como o fumo de tabaco ativo e passivo, a poluição do ar, irritantes químicos, exercício físico e determinados fármacos como a aspirina.

A asma pode ser difícil de diagnosticar. Alguns dos sintomas de asma, como a dispneia aguda, o aperto torácico e a pieira, podem ser provocados por outras doenças. O diagnóstico é geralmente realizado com base no padrão dos sintomas, na comprovação da reversibilidade dos sintomas com broncodilatadores e nos resultados de exames de espirometria. A classificação clínica é feita de acordo com a frequência dos sintomas, do volume expiratório máximo no primeiro segundo e do débito expiratório máximo. A asma pode ser classificada como ligeira, moderada ou grave. As exacerbações ou crises agudas têm carácter episódico, embora a inflamação das vias aéreas seja crónica. As crises podem colocar a vida em risco, embora seja possível preveni-las. A gravidade da doença varia entre as pessoas e pode variar ao longo do tempo na mesma pessoa.

Embora não exista cura para a asma, é possível controlar a frequência e intensidade dos sintomas. A primeira medida é evitar a exposição aos factores desencadeantes. Se não for suficiente, geralmente recomenda-se o uso de medicação, preferencialmente por via inalatória. Existem dois tipos de medicação para o controlo de asma: os medicamentos para alívio rápido dos sintomas e das crises de asma, como os broncodilatadores de curta duração, e os medicamentos de ação preventiva a longo prazo que previnem o aparecimento de sintomas ou de crises, particularmente os anti-inflamatórios. Encontram-se disponíveis vários dispositivos de inalação, como inaladores pressurizados, inaladores de pó seco e nebulizadores. As câmaras expansoras reduzem os efeitos secundários locais dos corticosteroides inalados e facilitam o uso dos inaladores pressurizados, sobretudo por parte de crianças. Em casos graves podem ser necessários corticosteroides intravenosos, sulfato de magnésio ou hospitalização. A doença requer tratamento a longo prazo e para muitas pessoas implica a utilização de medicamentos preventivos para o resto da vida. A ocorrência de asma tem aumentado significativamente desde a década de 1970. Em 2011, foram diagnosticadas com asma entre 235 e 300 milhões de pessoas e a doença foi responsável pela morte de 250 000 pessoas.

Classificação

Classificação clínica (≥ 12 anos de idade)[9]
Gravidade Frequência dos sintomas Sintomas noturnos %FEV1 do valor previsto Variação de FEV1 Uso de SABA
Intermitente ≤2/semana ≤2/mês ≥80% <20% ≤2 dias/semana
Persistente leve >2/semana 3–4/mês ≥80% 20–30% >2 dias/semana
Persistente moderada Diários >1/semana 60–80% >30% diário
Persistente grave Contínuos Frequente (7×/semana) <60% >30% ≥duas vezes por dia

A asma é uma doença inflamatória crónica das vias respiratórias caracterizada por sintomas diversos e recorrentes, obstrução reversível das vias respiratórias e broncoespasmo.[10] A doença é classificada em termos clínicos de acordo com a frequência dos sintomas, do volume expiratório máximo no primeiro segundo (FEV1) e do débito expiratório máximo instantâneo (DEMI ou PEF).[9] A asma pode também ser classificada como atópica (extrínseca) ou não atópica (intrínseca), com base no facto dos sintomas serem precipitados por alergénios (atópicos) ou não (não-atópicos).[11] Embora a asma seja classificada com base na sua gravidade, atualmente não existe um método claro para classificar os diferentes subgrupos de asma para além deste sistema. Um dos principais objetivos da investigação atual é encontrar métodos para identificar subgrupos que respondam de forma eficaz a diferentes tipos de tratamento.[12]

Embora a asma seja uma condição obstrutiva crónica, não é considerada uma doença pulmonar obstrutiva crónica, já que este termo se refere especificamente a formas de doença que são irreversíveis, como a bronquiectasia, bronquite crónica ou o enfisema.[13] Ao contrário destas doenças, a obstrução das vias respiratórias na asma é geralmente reversível. No entanto, se não for tratada, a inflamação crónica da asma pode levar a que os pulmões fiquem obstruídos de forma irreversível devido às alterações físicas nas vias respiratórias.[14] Ao contrário do enfisema, a asma afeta os brônquios, e não os alvéolos pulmonares.[15]

Exacerbação da asma

Gravidade da exacerbação aguda[16]
Quase fatal PaCO2 elevado e/ou necessidade de ventilação mecânica
Risco de vida
Sinais clínicos Medições
Alterações de consciência Débito expiratório < 33%
Exaustão Saturação de oxigénio < 92%
Arritmia PaCO2 < 8 kPa
Pressão arterial baixa PaCO2 normal
Cianose
Peito silencioso
Perda de capacidade respiratória
Aguda grave
Débito expiratório 33–50%
Ritmo respiratório ≥ 25 inspirações por minuto
Ritmo cardíaco ≥ 110 batimentos por minuto
Incapaz de completar frases num único fôlego
Moderada Agravamento dos sintomas
Débito expiratório 50–80%
Sem sintomas de asma aguda grave

Uma exacerbação aguda de asma é vulgarmente denominada ataque ou crise de asma. Os sintomas clássicos são a falta de ar, pieira e sensação de aperto no peito.[17] Embora estes sejam os principais sintomas de asma,[18] nalgumas pessoas observa-se tosse e, em casos graves, a circulação de ar pode ser de tal forma afetada que deixa de se ouvir qualquer sibilo.[16]

Entre os sinais que ocorrem durante um ataque de asma estão o uso de músculos de respiração acessórios (o músculo esternocleidomastoideo e os músculos escalenos do pescoço), pulso paradoxal e sobre-inflamação do peito.[19] A falta de oxigénio pode posteriormente levar a que as unhas e a pele se apresentem azuladas.[20]

Durante um ataque leve, o débito expiratório máximo instantâneo é superior a 200 L/min ou a 50% da melhor previsão.[21] Durante um ataque moderado, o débito expiratório situa-se entre 80 e 200 L/min e 50% da melhor previsão. Um ataque grave corresponde a um débito expiratório inferior a 80 L/min e uma percentagem inferior a 25% da melhor previsão.[21]

O brancoespasmo grave, anteriormente denominado estado asmático, é uma exacerbação aguda de asma que não reage aos tratamentos comuns com broncodilatadores e corticosteroides.[22] Metade dos casos devem-se à conjugação com outras infeções provocadas por alergénios, poluição atmosférica ou mau uso de medicação.[22]

Asma induzida por exercício

O exercício físico pode desencadear broncoconstrição em pessoas com ou sem asma.[23] Ocorre na maior parte das pessoas com asma e em cerca de 20% das pessoas sem asma.[23] Entre os atletas, são os de alta competição que apresentam maior ocorrência, com percentagens entre os 3% no bobsleigh e os 50% no ciclismo ou os 60% no esqui de fundo.[23] Embora possa ocorrer em qualquer condição atmosférica, é mais comum em tempo frio e seco.[24] Os inaladores de agonistas adrenérgicos beta-2 não aparentam melhorar o desempenho atlético entre atletas sem asma,[25] embora as doses de administração oral possam melhorar a resistência e a força.[26][27]

Asma ocupacional

A asma enquanto resultado de, ou agravada por, exposição no local de trabalho é uma queixa comum entre as doenças ocupacionais.[28] No entanto, muitos dos casos não são reportados ou reconhecidos como tal.[29][30] Estima-se que entre a 5 e 25% dos casos de asma em adultos estejam relacionados com o trabalho, estando identificadas algumas centenas de factores desencadeantes. Entre os mais comuns estão os isocianatos, poeira de cereais ou de madeira, colofónia, fundente de soldadura, látex, animais e aldeídos. Entre os empregos associados a um risco acrescido de eventuais problemas estão os pintores que manuseiem tinta de spray, padeiros e manuseadores de alimentos, enfermeiros, trabalhadores da indústria química, manuseadores de animais, soldadores, cabeleireiros e carpinteiros.[28]

Sinais e sintomas

A asma é caracterizada por episódios recorrentes de pieira, falta de ar, sensação de aperto no peito e tosse.[31][1] A tosse pode fazer com que o pulmão produza escarro.[32] Durante o recobro de um ataque de asma o escarro pode-se apresentar semelhante a pus devido à elevada quantidade de glóbulos brancos denominados eosinófilos.[33] Os sintomas geralmente agravam-se durante a noite e início da manhã, ou em resposta ao exercício físico ou ao ar frio.[34] Algumas pessoas com asma raramente sentem sintomas e estes ocorrem apenas em resposta a factores que a desencadeiam, enquanto outras podem apresentar sintomas persistentes e pronunciados.[35]

Condições associadas

Existem diversas condições clínicas que ocorrem com maior frequência em asmáticos, entre elas a doença de refluxo gastroesofágico, sinusite e apneia do sono obstrutiva.[36] Os transtornos psicológicos são também mais comuns,[37] entre os quais os transtornos de ansiedade, que ocorrem entre 16 e 52% dos asmáticos, e os transtornos do humor, que ocorrem entre 14 e 41% dos asmáticos.[38] No entanto, desconhece-se se é a asma que leva aos problemas psicológicos ou se são os problemas psicológicos que levam à asma.[39]

Causas

A asma é provocada por uma combinação de interações genéticas e ambientais complexas que ainda não são compreendidas na totalidade.[40][41] Estes fatores influenciam não só a gravidade da doença como também a recetividade ao tratamento.[42] Acredita-se que o aumento recente da proporção de asmáticos seja devido a alterações epigenéticas (factores de herdabilidade em vez dos relacionados com a sequência de ADN) e às alterações no ambiente quotidiano.[43]

Ambientais

Os ácaros do pó estão entre os alergénios mais comuns associados ao desenvolvimento e exacerbação de asma, a par de outros alergénios, como pólen, fungos ou pêlos de animais, e de outros factores ambientais como o fumo do tabaco, poluição do ar e produtos químicos.

Há diversos fatores ambientais associados ao desenvolvimento e exacerbação da asma, entre os quais os alergénios, poluição do ar e outros químicos no meio ambiente.[44] Fumar durante a gravidez e no período pós-natal está associado a um maior risco de sintomas de asma.[45] A fraca qualidade do ar, resultante de fatores como a poluição ou elevado nível de ozono,[46] tem sido associada não só ao desenvolvimento de asma como também a uma cada vez maior gravidade da doença.[47] A exposição em ambientes fechados a compostos orgânicos voláteis, como o formaldeído, pode também constituir um dos factores que desencadeiam asma.[48] Os ftalatos do PVC estão também associados à asma em crianças e adultos.[49][50] Existe também uma associação entre o uso de paracetamol e a asma, embora não seja claro se tem algum papel no desenvolvimento da doença.[51]

A asma está associada à exposição aos alergénios de interior.[52] Entre os alergénios de interior mais comuns estão os ácaros do pó, baratas, pêlos de animais, e bolor.[53][54] Os vários métodos propostos para eliminação de ácaros do pó têm-se revelado pouco eficazes.[55] Algumas infeções respiratórias virais, como as infeções provocadas pelos vírus sinciais respiratórios e pelos rinovirus, podem aumentar o risco de desenvolver asma em crianças mais novas.[17][56] No entanto, existem outras infeções que podem diminuir o risco.[17]

Hipótese higiénica

A hipótese higiénica tenta explicar o aumento da asma a nível mundial enquanto resultado direto e não intencional da cada vez menor exposição a bactéria e vírus durante a infância.[57][58] Tem sido proposto que a pouca exposição a bactérias e vírus é devida, em parte, ao aumento da higiene e à diminuição do agregado familiar nas sociedades contemporâneas.[59] Entre as evidências que apoiam a hipótese higiénica está a menor proporção de asma em quintas e lares com animais de estimação.[59] A exposição à endotoxina bacteriana durante o início da infância pode prevenir o desenvolvimento de asma, embora a exposição noutras idades possa provocar broncoconstrição.[60]

O uso de antibióticos em início de vida tem também sido associado ao desenvolvimento de asma.[61] O parto por cesariana está associado a um aumento no risco de asma, estimado em 20-80%. Atribui-se este risco à ausência de colonização de bactérias que o recém nascido teria adquirido durante a passagem pelo canal de parto.[62][63] Em crianças com risco acrescido de asma verifica-se uma diminuição significativa na abundância das bactérias intestinais dos géneros Lachnospira, Veillonella, Faecalibacterium e Rothia, acompanhada pela diminuição dos níveis de acetatos fecais e desregulação dos metabólitos entero-hepáticos. A inoculação de modelos animais com estas bactérias demonstrou melhorar a inflamação das vias respiratórias em idade adulta, o que indica a possibilidade da criação de probióticos para prevenção da asma.[64]

Genéticas

interação entre endotoxina e CD14
com base em CD14 SNP C-159T[65]
Níveis de endotoxina Genótipo CC Genótipo TT
Exposição elevada Risco baixo Risco elevado
Exposição baixa Risco elevado Risco baixo

Os antecedentes familiares são um factor de risco de asma, no qual estão implicados muitos genes diferentes.[66] Se um gémeo idêntico é afetado pela doença, a probabilidade de o outro também a contrair doença é de cerca de 25%.[66] Até meados da década de 2000, tinham já sido associados à asma 25 genes, em seis ou mais populações isoladas, entre os quais a Glutationa S-transferase Mu 1, interleucina 10, CTLA-4, SPINK5, LTC4S ou ADAM33, entre outros.[67] Muitos destes genes estão relacionados com o sistema imunitário ou atuam na inflamação. No entanto, mesmo nesta lista de genes, apoiada por vastos estudos e replicações, os resultados não têm sido consistentes entre todas as populações dos ensaios.[67] Em 2006 foram associados à asma mais de 100 genes num único estudo de associação genética,[67] processo que continua em desenvolvimento.[68]

Algumas variantes genéticas podem provocar asma apenas quando combinadas com exposições ambientais específicas.[40] Por exemplo, a combinação de um polimorfismo de nucleotídeo único específico na região CD14 com a exposição a uma endotoxina (um produto bacteriano). A exposição à endotoxina pode ter origem em diversas fontes ambientais, entre as quais o fumo do tabaco, cães ou animais de quinta. O risco do desenvolvimento de asma é assim determinado não só pela predisposição genética como também pela quantidade de exposição às endotoxinas.[65]

Outras condições de saúde

A tríade de dermatite atópica, rinite alérgica e asma é denominada atopia.[69] O principal fator de risco para o desenvolvimento de asma são entecedentes de doenças atópicas.[56] A asma tem muito maior incidência em pessoas que têm eczema ou rinite alérgica.[70] A asma tem sido também associada ao síndrome de Churg-Strauss, uma doença autoimune, e à vasculite. Os indivíduos com determinados tipos de urticária também podem vir a sofrer alguns sintomas de asma.[69] Existe uma correlação entre a obesidade e o risco de asma, e a prevalência de ambas as condições tem vindo a aumentar em décadas recentes.[71][72] Podem estar em jogo vários factores, entre os quais a diminuição da função respiratória devido à acumulação de gordura e ao facto de o tecido adiposo provocar um estado pro-inflamatório.[73]

Os fármacos bloqueadores beta, como o propranolol, podem desencadear asma em pessoas que sejam suscetíveis.[74] No entanto, os bloqueadores beta cardioseletivos aparentam ser seguros em pessoas com doença leve ou moderada.[75][76] Outros medicamentos que podem causar problemas são o ácido acetilsalicílico, anti-inflamatórios não esteroides e inibidores da enzima de conversão da angiotensina.[77]

Causas de exacerbação

Alguns indivíduos apresentam asma estável durante semanas ou meses até que, subitamente, desenvolvem um apisódio agudo de asma, denominado exacerbação ou, vulgarmente, "ataque de asma". Diferentes pessoas reagem aos vários factores de diversas formas.[78] Grande parte dos indivíduos pode desenvolver exacerbação grave a partir de vários agentes.[78] Entre os factores mais comuns que podem provocar exacerbações de asma estão o pó, o pêlo de animais (em particular o de cães e gatos), presença de baratas e bolor.[78] O perfume também é uma causa vulgar de ataques agudos em mulheres e crianças. As infeções virais e bacterianas do trato respiratório superior podem agravar a doença.[78] O stresse psicológico pode agravar os sintomas. Pensa-se que o stresse afete o sistema imunitário, ampliando a resposta inflamatória aos alergénios e irritantes.[47][79]

Fisiopatologia

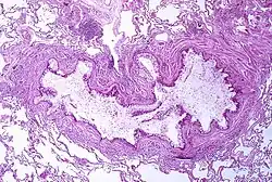
Obstrução do lúmen de um bronquíolo com exsudato, metaplasia da célula caliciforme e espessamento da membrana basal numa pessoa com asma.

A asma é o resultado da inflamação crónica das vias respiratórias, a qual provoca uma contração crescente dos músculos lisos envolventes. Isto provoca o estreitamento das vias e os sintomas clássicos do som sibilante ao respirar. Este estreitamento é geralmente reversível, com ou sem tratamento. Ocasionalmente, verificam-se alterações nas próprias vias respiratórias.[31] As alterações mais vulgares são o aumento de eosinófilos e o espessamento do tecido linfoide. Em casos crónicos, o músculo liso das vias respiratórias pode aumentar de tamanho, a par de um aumento do número de mucosas. No processo estão também envolvidos outros tipos de células, como os linfócitos T, macrófagos e neutrófilos, e outros componentes do sistema imunitário, como citocinas, quimiocinas, histamina e leucotrienos.[17]

Diagnóstico

Embora a asma seja uma condição plenamente reconhecida, não existe uma definição consensual universal.[17] A Iniciativa Global para a Asma define-a como "transtorno inflamatório crónico das vias respiratórias no qual atuam diversas células e elementos celulares. A inflamação crónica está associada a hiper-reatividade que provoca episódios recorrentes de pieira, falta de ar, aperto do peito e tosse, em particular durante a noite ou início da manhã. Estes episódios estão associados com a obstrução em grau variável no interior do pulmão, a qual é na maior parte das vezes reversível de forma espontânea ou com tratamento."[31]

Não existe atualmente um exame de diagnóstico preciso, pelo que o diagnóstico é geralmente baseado no padrão dos sintomas e na resposta terapêutica ao longo do tempo.[17][80] Deve-se suspeitar de um diagnóstico de asma quando existem antecedentes recorrentes de pieira, tosse e dificuldade em respirar, e quando estes sintomas ocorrem ou se agravam durante o exercício físico, infeções virais, ou no contacto com alergénios ou poluição atmosférica.[81] O diagnóstico pode ser confirmado através de espirometria.[81] Em crianças com idade inferior a seis anos o diagnóstico é mais complexo, uma vez que são muito novas para realizar um exame de espirometria.[82]

Espirometria

Os debitómetros portáteis quantificam o débito expiratório máximo instantâneo e ajudam a confirmar o diagnóstico de asma.

A espirometria é recomendada enquanto método auxiliar de tratamento e diagnóstico.[83][84] O diagnóstico de asma pode ser apoiado quando, através deste exame, se verificar uma melhoria superior a 12% na proporção de FEV1 após a administração de um broncodilatador como o salbutamol.[85] No entanto, este valor pode ser normal em pessoas com antecedentes de asma leve.[17] Uma vez que a cafeína atua como broncodilatador em pessoas com asma, a ingestão de cafeína antes de um exame à função pulmonar pode interferir com os resultados.[86] A capacidade de difusão por respiração única pode ajudar a distinguir a asma da doença pulmonar obstrutiva crónica.[17] Considera-se também uma medida razoável a realização de espirometria a cada um ou dois anos de modo a determinar a qualidade do controlo da asma.[87]

Outros métodos

O teste de broncoprovocação por metacolina envolve a inalação de quantidades progressivamente superiores de concentrações de uma substância que provoca o estreitamento das vias respiratórias em indivíduos predispostos. Um resultado negativo significa que determinada pessoa não tem asma. No entanto, uma vez que não é um exame específico, um resultado positivo não significa necessariamente um diagnóstico de asma.[17]

Entre os restantes métodos auxiliares de diagnóstico estão: uma diferença superior a 20% no pico de fluxo expiratório em pelo menos três dias por semana ao longo de pelo menos duas semanas; uma melhoria superior a 20% no pico de fluxo após tratamento com salbutamol, inalação de corticosteroides ou prednisona; ou uma diminuição superior a 20% no pico de fluxo após a exposição a um factor desencadeante de asma.[88] No entanto, o exame do pico de fluxo expiratório é mais sujeito a variações, não sendo por isso recomendado em diagnósticos de rotina. Porém, este exame pode ser útil para auto-monitorização diária por pessoas com casos moderados e graves da doença de modo a verificar a eficácia de novos medicamentos.[89]

Diagnóstico diferencial

Existem muitas outras condições que provocam sintomas semelhantes aos da asma. Em crianças, deve ser considerada a possibilidade da existência de outras doenças do trato respiratório superior como rinite alérgica ou sinusite. Devem ser ainda consideradas outras causas de obstrução das vias aéreas, entre as quais a inalação de de um corpo estranho, estenose da traqueia, laringomalácia, aumento de volume dos gânglios linfáticos ou a presença de nódulos no pescoço. Em adultos, devem ainda ser consideradas a doença pulmonar obstrutiva crónica, insuficiência cardíaca congénita, a presença de nódulos nas vias respiratórias ou ainda tosse induzida por fármacos e difunções nas cordas vocais.[90]

A doença pulmonar obstrutiva crónica (DPOC) pode coexistir com a asma e pode ocorrer enquanto complicação de asma crónica. A DPOC tem sintomas muito semelhantes à asma, estando relacionada com a maior exposição ao fumo do tabaco, maior idade, menor reversibilidade dos sintomas após a administração de broncodilatadores e menor probabilidade de antecedentes familiares de atopia.[91][92] Depois dos 65 anos, a maior parte das pessoas com doença obstrutiva crónica apresenta as duas doenças em simultâneo. Neste contexto, a presença de DPOC pode ser confirmada quando se verifica aumento dos neutrófilos nas vias respiratórias, aumento anormal da espessura das paredes e aumento dos músculos lisos dos brônquios. No entanto, raramente é necessário este detalhe a nível do diagnóstico, uma vez que a DPOC e a asma partilham os mesmos princípios de tratamento: corticosteroides, agonistas beta de longa duração e cessação tabágica.[93]

Prevenção

Não existem evidências sólidas da eficácia de quaisquer medidas de prevenção do desenvolvimento de asma ao ponto de justificar uma recomendação nesse sentido.[94][95] No entanto, algumas medidas são promissoras, entre as quais a limitação da exposição ao fumo do tabaco durante a gravidez e após o parto, a realização de amamentação materna e o aumento da exposição a outras crianças durante a infância. Os resultados da exposição a animais de estimação são inconclusivos[96] e só se recomenda que os animais sejam removidos do lar se uma pessoa já tiver sintomas alérgicos a esse animal.[97] As restrições dietéticas durante a gravidez ou amamentação não mostraram ser eficazes, pelo que não são recomendadas.[97] No entanto, a redução ou eliminação de determinados compostos do local de trabalho pode ser eficaz.[28] Não é ainda claro se a vacina contra a gripe anual afeta o risco de exacerbações.[98] No entanto, a vacinação é recomendada pela Organização Mundial de Saúde.[99]

Tratamento

Apesar de não existir cura para a asma, é possível controlar os sintomas e os ataques. Uma das principais medidas é evitar a exposição aos vários factores desencadeantes, como o fumo do tabaco passivo ou ativo.

Embora não exista cura para a asma, é possível controlar os sintomas.[100] Pode ser criado um plano individual de monitorização e gestão dos sintomas, o qual deve incluir a redução da exposição a alergénios, exames para verificar a gravidade dos sintomas e o uso de medicação. O plano deve ser escrito num documento entregue ao paciente e aconselhar ajustamentos ao tratamento de acordo eventuais alterações nos sintomas.[101]

O tratamento mais eficaz para a asma é identificar e evitar a exposição aos factores desencadeantes, como os alergénios, fumo do tabaco ou a aspirina.[5][102] Se evitar a exposição não for suficiente, geralmente é recomendado o uso de medicação. Os fármacos são escolhidos de acordo com a gravidade da doença e frequência dos sintomas. Os medicamentos específicos para a asma são classificados em duas grandes categorias: os de alívio rápido e os de ação preventiva a longo prazo.[103][104]

Para o alívio rápido dos sintomas de asma são recomendados broncodilatadores. Em pessoas apenas com ataques ocasionais não é necessária qualquer outra medicação. No caso de asma persistente leve (mais de dois ataques por semana), é recomendada uma dose pequena de inalação de corticosteroides ou, em alternativa, um antagonista dos leucotrienos oral ou um estabilizador de mastócitos. Em pessoas com ataques diários, geralmente recomenda-se uma dose maior de corticosteroides de inalação. No caso de exacerbações moderadas ou graves, são acrescentados ao tratamento corticosteroides orais.[6]

Alterações no estilo de vida

Evitar os factores desencadeantes de asma é essencial para melhorar o domínio da doença e prevenir o aparecimento de ataques. Os factores desencadeantes mais comuns são o fumo de tabaco (passivo ou ativo), os ácaros domésticos, alergénios de animais com pêlos, alergia às baratas, pólen e fungos de exterior, fungos ou bolores de interior e alguns fármacos como a aspirina ou bloqueadores beta não seletivos.[105][106] O fumo do tabaco, incluindo o fumo passivo, pode também reduzir a eficácia de alguns medicamentos, como os corticosteroides.[107] As leis antitabaco vieram diminuir o número de pessoas hospitalizadas devido a asma.[108] As alegadas medidas de controlo dos ácaros, como a filtragem do ar, produtos químicos para os matar, aspiração, protetores de colchão ou quaisquer outros métodos, não têm benefício clínico inequivocamente demonstrado, embora possa ser útil a lavagem semanal dos lençóis com água quente e evitar alcatifas ou móveis forrados a tecido, principalmente no quarto de dormir.[55] Por outro lado, o exercício físico é benéfico para pessoas com asma estável e controlada.[109]

Medicação

Os inaladores pressurizados doseáveis são a via de administração de medicamentos mais comum no tratamento de asma.

Os medicamentos usados no tratamento de asma são divididos em duas classes genéricas: medicamentos de alívio rápido dos usados no tratamento de sintomas agudos, e medicamentos para o tratamento de manutenção e prevenção a longo prazo, usados para diminuir o aparecimento de crises de asma.[110]

A medicação para a asma é geralmente administrada através de inaladores pressurizados doseáveis. Estes dispositivos podem ser complementados com uma câmara expansora ou um inalador de pó seco. Uma câmara expansora é um cilindro de plástico que mistura a medicação com ar, fazendo com que seja mais fácil receber a dose completa do fármaco, sobretudo em crianças que têm dificuldade na coordenação da ativação com a inalação. A administração da medicação pode também ser efetuada com um nebulizador, embora não seja opção de primeira linha. A eficácia dos inaladores doseáveis com câmara expansora é equivalente ou superior à dos nebulizadores em pessoas com sintomas leves a moderados, não existindo ainda dados suficientes para determinar se existe qualquer diferença nos casos graves de asma.[111]

O uso prolongado de corticosteroides inalatórios em doses convencionais apresenta um risco pouco significativo de efeitos adversos.[112] Entre os principais efeitos adversos estão o desenvolvimento de cataratas e uma regressão ligeira de estatura.[112][113]

Alívio rápido

  • Os agonistas adrenérgicos beta2 de ação curta inalados (SABA), como o salbutamol, são a primeira linha de tratamento dos sintomas de asma.[6] A sua inalação é recomendada antes do exercício em pessoas com sintomas induzidos pelo exercício.[114]
  • Os anticolinérgicos, como o brometo de ipratrópio, oferecem benefícios acrescidos quando usados de forma combinada com os SABA em pessoas com sintomas moderados a graves.[6] Os broncodilatadores anticolinérgicos podem também ser usados nos casos em que haja intolerância aos SABA.[13]
  • Os agonistas adrenégicos mais antigos e menos seletivos, como a adrenalina, têm a mesma eficácia dos SABA.[115] No entanto, já não são recomendados devido à preocupação com a excessiva estimulação cardíaca.[116]

Ação preventiva a longo prazo

  • Os corticosteroides são geralmente considerados o tratamento mais eficaz para o tratamento de manutenção a longo prazo.[103] As soluções de inalação, como a beclometasona, são as geralemente usadas, exceto no caso de doença persistente grave, no qual podem ser necessários corticosteroides orais..[103] Geralmente recomenda-se que as formulações de inalação sejam usadas uma ou duas vezes por dia, dependendo da gravidade dos sintomas.[117]
  • Os agonistas dos receptores beta adrenérgicos de ação longa (LABA), como o salmeterol ou o formoterol, podem melhorar o controlo da asma, pelo menos em adultos, quando administrados em conjunto com corticosteroides inalatórios.[118] Em crianças não há ainda certezas sobre este benefício.[118][119] No entanto, quando usados sem esteroides aumentam o risco de efeitos secundários graves,[120] e mesmo com costeroides podem aumentar ligeiramente o risco.[121][122]
  • Os antagonistas dos leucotrienos, como o montelucaste ou o zafirlucaste, podem ser usados como complemento aos corticosteroides inalatórios, geralmente também em conjunto com os LABA.[103] No entanto, as evidências não são suficientes para apoiar o uso em exacerbações graves.[123][124] Aparentam ser pouco benéficos em crianças quando acrescentados a corticosteroides inalatórios.[125]
  • Os estabilizadores de mastócitos, como o cromoglicato, constituem outra alternativa não preferencial aos corticosteroides.[103]

Outras opções

Quando a asma não reage aos medicamentos mais comuns, estão disponíveis outras opções, não só para o tratamento de emergência como para a prevenção de ataques. Outras opções para o tratamento de emergência são:

  • A administração de oxigénio para alívio da hipóxia quando a saturação é inferior a 92%.[126]
  • O tratamento intravenoso com sulfato de magnésio tem demonstrado efeito broncodilatador quando usado em conjunto com outro tratamento em ataques de asma aguda grave.[127][128]
  • A terapia de hélio e oxigénio pode ser considerada em casos graves de falta de reação.[127]
  • A administração de salbutamol por via intravenosa não é apoiada pelas evidências atuais, sendo por isso usada apenas em casos extremos.[126]
  • As metilxantinas chegarem a ser de uso comum, mas não acrescentam nenhum efeito significativo aos efeitos dos agonistas beta inalatórios.[126] O seu uso em exacerbações agudas é controverso.[129]
  • O anestésico dissociativo cetamina seria, em teoria, útil no caso de ser necessária intubação ou ventilação mecânica em pessoas que se aproximam de uma paragem cardio-respiratória. No entanto, não há evidências de ensaios clínicos que apoiem esta conclusão.[130]
  • Em pessoas com asma persistente grave que não possa ser controlada com corticosteroides inalatórios e LABA, uma das opções pode ser a termoplastia brônquica,[131] a qual consiste na administração de energia térmica controlada nas paredes das vias respiratórias durante uma série de broncoscopias.[131][132]
  • Há evidências que sugerem que a imunoterapia sublingual em pacientes de rinite alérgica e asma tem resultados positivos.[133][134]

Medicina alternativa

Muitas pessoas com asma procuram tratamentos de medicina alternativa. No entanto, existem poucos dados que confirmem a eficácia da maior parte destas terapias.[135][136] Não há dados que apoiem que o uso de vitamina C seja eficaz,[137] embora haja algum apoio hesitante para o seu uso em broncoespamos induzidos pelo exercício.[138] A acupuntura não é recomendada como forma de tratamento, uma vez que não existem evidências suficientes que apoiem o seu uso.[139][140] Tanto os ionizadores de ar como os geradores de iões positivos e negativos não revelarem quaisquer indícios de melhorar os sintomas de asma ou a função pulmonar.[141]

As terapias manuais, como a osteopatia, quiropraxia ou fisioterapia, não demonstraram evidências suficientes para apoiar o seu uso no tratamento de asma.[142] A técnica de Buteyko para o controlo da hiperventilação pode reduzir o uso de medicamentos; no entanto, não tem qualquer efeito na função pulmonar,[104] pelo que as evidências são insuficientes para apoiar o seu uso.[139]

Desmame do Tratamento

Após o controlo da asma ter sido alcançado e mantido durante 3 meses, e de a função pulmonar ter estabilizado, é possível reduzir com sucesso o tratamento, sem perda do controlo da asma.[143]

Os objetivos do desmame são:

  • encontrar o tratamento mínimo eficaz do doente, ou seja, manter o bom controlo dos sintomas e das exacerbações e minimizar os custos do tratamento e o potencial de efeitos secundários
  • incentivar o doente a continuar o tratamento regular com métodos de controlo. Os doentes experimentam frequentemente o controlo intermitente, devido ao receio dos riscos ou ao custo do tratamento diário. Pode ser útil informar os doentes de que é possível chegar às doses mais baixas se o tratamento com os métodos de controlo for aplicado todos os dias.[144]

Prognóstico

Esperança de vida corrigida pela incapacidade para a asma por cada 100 000 habitantes em 2004.[145]
  sem dados
  <100
  100-150
  150-200
  200-250
  250-300
  300-350
  350-400
  400-450
  450-500
  500-550
  550–600
  >600

O prognóstico de asma é geralmente bom, especialmente em crianças com formas leves da doença.[146] Ao longo das últimas décadas, a mortalidade tem vindo a diminuir devido ao melhor reconhecimento da doença e à melhoria nos cuidados de saúde.[147] Em 2004, a asma provocava incapacidade moderada ou grave em 19,4 milhões de pessoas, 16 milhões das quais em países de baixo e médio rendimento.[148] Entre os casos de asma dignosticados durante a infância, cerca de metade já não apresenta o mesmo diagnóstico uma década mais tarde.[66] Embora se observe remodelação das vias aéras, desconhece-se se isto representa uma alteração benéfica ou prejudicial.[149] O tratamento com corticosteroides durante a fase inicial aparenta prevenir ou atenuar o declínio da função pulmonar.[150]

Epidemiologia

Prevalência de asma no mundo em 2004.
  sem dados
  <1%
  1-2%
  2-3%
  3-4%
  4-5%
  5-6%
  6-7%
  7-8%
  8-10%
  10-12.5%
  12.5–15%
  >15%

A prevalência global de asma aumentou significativamente entre a década de 1960 e o fim da década de 2000,[151][152] e desde a década de 1970 que é reconhecida como um dos principais problemas de saúde pública.[17] A incidência de asma nos países desenvolvidos estabilizou em meados da década de 1990, pelo que o aumento a partir dessa data se deu essencialmente nos países em vias de desenvolvimento.[153] No ano de 2011, a asma afetava entre 235 e 330 milhões de pessoas,[154][155][156] e em cada ano é responsável pela morte de 250 000 a 345 000 pessoas.[31][155][157]

A prevalência da asma na generalidade população mundial varia entre 3 a 5%,[158] variando conforme o país entre 1 e 18%.[31] É mais comum em países desenvolvidos do que em países em vias de desenvolvimento,[31] pelo que a prevalência é geralmente menor na Ásia, Europa do Leste e em África.[17] Entre os países desenvolvidos, a asma é mais comum entre os que têm economias mais desfavorecidas, enquanto que nos países em vias de desenvolvimento é mais comum entre os mais ricos,[31] não se compreendendo ainda a razão destas diferenças.[31] Os países com rendimento médio e baixo totalizam mais de 80% da mortalidade.[159] Embora no geral a asma tenha o dobro da prevelência em crianças do sexo masculino do que do sexo feminino,[31] a prevalência de asma grave é idêntica em ambos os sexos.[160] Por outro lado, a prevelência em adultos é maior entre as mulheres[31] e é mais comum entre os jovens[17]

Em Portugal, a prevalência média da asma é de cerca de 10%, estimando-se que afete cerca de um milhão de pessoas. Em 2004, a taxa de mortalidade devido a asma foi de 1,05 mortes por cada 100 000 habitantes. Em 2005, registaram-se 28,81 internamentos hospitalares por asma por cada 100 000 habitantes.[161] No Brasil, estima-se que a prevalência da doença seja de 10%, o que corresponde a vinte milhões de asmáticos e está na origem de 300 a 600 mil hospitalizações por ano. A taxa média de mortalidade entre 1998 e 2007 devido a asma foi de 1,52 mortes por cada 100 000 habitantes.[162] Nos países da África meridional, entre os quais Angola, estima-se que a prevalência de asma seja de 8,1%, enquanto que nos países da África oriental, entre os quais Moçambique, se estima que seja de 4,4%.[163]

Sociedade e cultura

A asma representa um peso substancial nos recursos dos cuidados de saúde em vários países. É provável que o custo económico aumente à medida que a prevalência e gravidade da doença também aumente. Este custo económico da asma deve-se em grande parte à falta de controlo da doença, o que motiva despesas diretas com hospitalizações de emergência e internamentos, e custos económicos indiretos devido ao absentismo do local de trabalho ou da escola. A má gestão da doença faz com que a asma se possa tornar de tal forma grave que leve à reforma antecipada da pessoa. A falta de controlo da asma tem também um impacto sócio-económico significativo, não só no paciente como em toda a família, agravando o custo com despesas de saúde e maior mortalidade. A falta de controlo deve-se em grande parte à subtilização da medicação prescrita.[164] É importante que o doente esteja consciente de que a asma não é motivo de vergonha ou embaraço social. Existem atletas olímpicos, dirigentes políticos e celebridades que têm asma e vivem vidas perfeitamente normais.[165]

História

Embora tóxica, a efedrina foi utilizada para o tratamento de asma e doenças respiratórias desde a antiguidade chinesa.

A asma era já reconhecida enquanto doença no Antigo Egito, onde era tratada com a administração de uma bebida à base de incenso denominada kyfi.[166] O Papiro Ebers prescrevia para o tratamento o aquecimento em fornos de tijolo de mistura de plantas, cujo fumo era inalado.[167] O primeiro registo literário da expressão grega ἅσθμα (ástema ou "ofegante") que está na base do nome atual é atribuído à Ilíada de Homero. Mas seria apenas no Corpus Hippocraticum, atribuído a Hipócrates, que o termo seria pela primeira vez usado no contexto médico, sendo ainda incerto se o autor considerava a asma uma entidade clínica distinta ou apenas um sintoma. Hipócrates referiu também que a probabilidade de se observar os espasmos associados à asma era maior entre pescadores, alfaiates e metalúrgicos.[17][167]

Areteu foi um dos primeiros médicos a escrever uma descrição clínica da asma. Galeno descreveu a asma enquanto obstrução dos brônquios, prescrevendo um tratamento com sangue de coruja e vinho.[167] O rabino e filósofo Maimónides, que era também médico na corte do sultão Saladino, escreveu um Tratado da Asma para um dos seus pacientes, o príncipe Alfedal. Mainmónides descrevia que os sintomas geralmente tinham início durante o tempo úmido e de forma semelhante à constipação, até que eventualmente o paciente sentia falta de ar e tossia ao ponto de expelir fleuma. Notou também que os meses secos no Egito eram benéficos para os asmáticos.[167] Na China era comum o tratamento de asma com extratos de plantas ricas em efedrina, a partir das quais se podia inalar agonistas beta para o tratamento de doenças respiratórias.[167]

Na Idade Moderna, o médico, químico e fisiologista belga Jan Baptista van Helmont afirmou que a asma tem origem nos canais dos pulmões. Bernardino Ramazzini, considerado o pai da medicina do desporto, salientou a existência de uma associação entre a asma e o pó orgânico e descreveu a asma induzida pelo exercício.[167] Em 1873, um dos primeiros artigos sobre o tópico na perspetiva da medicina moderna procurou explicar a fisiopatologia da doença. Outro, em 1872, concluiu que a asma poderia ser curada ao esfregar o peito com linimento de clorofórmio.[168][169] Em 1880, os tratamentos médicos para a asma prescreviam a administração intravenosa de doses de um fármaco denominado pilocarpina.[170][171] Em 1886, foi proposta a relação entre a asma e a rinite alérgica.[172] Em 1905 propôs-se pela primeira vez o uso de epinefrina para o tratamento de asma.[173]

Entre as décadas de 1930 e 1950, a asma era considerada uma das sete principais doenças psicossomáticas, uma abordagem que provavelmente impediu avanços científicos na época. Considerava-se que a sua causa fosse psicológica, e o tratamento baseava-se muitas vezes na psicanálise ou outras terapias conversacionais.[174] Uma vez que estes psicoanalistas interpretavam os sibilos de asma como o choro reprimido de uma criança pela sua mãe, consideravam que o tratamento de depressão seria de especial importância para indivíduos com asma.[167][174]

A asma, enquanto doença inflamatória, só foi plenamente reconhecida por volta do início da década de 1960.[167] Na década de 1950 começaram a ser usados no tratamento corticosteroides orais e em 1956 foi introduzido para uso clínico o primeiro inalador pressurizado doseável.[175] Na década seguinte, generalizou-se o uso de corticosteroides inalatórios e agonistas beta seletivos de rápida ação.[176][177]

Ver também

  • Associação Portuguesa de Asmáticos
  • Calcineurina

Referências

  1. a b British Guideline 2009, p. 4
  2. a b «Asthma Fact sheet №307». OMS. Novembro de 2013. Consultado em 3 de março de 2016. Cópia arquivada em 29 de junho de 2017 
  3. Martinez F. D. (2007). «Genes, environments, development and asthma: a reappraisal». European Respiratory Journal. 29 (1): 179–84. PMID 17197483. doi:10.1183/09031936.00087906 
  4. Lemanske, R. F.; Busse, W. W. (Fevereiro de 2010). «Asthma: clinical expression and molecular mechanisms». J. Allergy Clin. Immunol. 125 (2 Suppl 2): S95–102. PMC 2853245Acessível livremente. PMID 20176271. doi:10.1016/j.jaci.2009.10.047 
  5. a b NHLBI Guideline 2007, pp. 169–172
  6. a b c d NHLBI Guideline 2007, p. 214
  7. GBD 2015 Disease and Injury Incidence and Prevalence, Collaborators. (8 de outubro de 2016). «Global, regional, and national incidence, prevalence, and years lived with disability for 310 diseases and injuries, 1990–2015: a systematic analysis for the Global Burden of Disease Study 2015.». Lancet. 388 (10053): 1545–1602. PMC 5055577Acessível livremente. PMID 27733282. doi:10.1016/S0140-6736(16)31678-6 
  8. GBD 2015 Mortality and Causes of Death, Collaborators. (8 de outubro de 2016). «Global, regional, and national life expectancy, all-cause mortality, and cause-specific mortality for 249 causes of death, 1980–2015: a systematic analysis for the Global Burden of Disease Study 2015.». Lancet. 388 (10053): 1459–1544. PMID 27733281. doi:10.1016/S0140-6736(16)31012-1 
  9. a b Yawn BP (Setembro de 2008). «Factors accounting for asthma variability: achieving optimal symptom control for individual patients» (PDF). Primary Care Respiratory Journal. 17 (3): 138–147. PMID 18264646. doi:10.3132/pcrj.2008.00004. Cópia arquivada em 4 de março de 2010 
  10. NHLBI Guideline 2007, pp. 11–12
  11. Kumar, Vinay; Abbas, Abul K; Fausto, Nelson; Aster, Jon, eds. (2010). Robbins and Cotran pathologic basis of disease 8th ed. [S.l.]: Saunders. p. 688. ISBN 978-1-4160-3121-5. OCLC 643462931 
  12. Moore WC, Pascual RM (Junho de 2010). «Update in asthma 2009». American Journal of Respiratory and Critical Care Medicine. 181 (11): 1181–7. PMC 3269238Acessível livremente. PMID 20516492. doi:10.1164/rccm.201003-0321UP 
  13. a b Self, Timothy; Chrisman, Cary; Finch, Christopher (2009). «22. Asthma». In: Mary Anne Koda-Kimble, Brian K Alldredge; et al. Applied therapeutics: the clinical use of drugs 9th ed. Philadelphia: Lippincott Williams & Wilkins. OCLC 230848069 
  14. Delacourt, C (Junho de 2004). «Conséquences bronchiques de l'asthme non traité» [Bronchial changes in untreated asthma]. Archives de Pédiatrie. 11 (Suppl. 2): 71s–73s. PMID 15301800. doi:10.1016/S0929-693X(04)90003-6 
  15. Schiffman, George (18 de dezembro de 2009). «Chronic obstructive pulmonary disease». MedicineNet. Consultado em 2 de setembro de 2010. Cópia arquivada em 28 de agosto de 2010 
  16. a b British Guideline 2009, p. 54
  17. a b c d e f g h i j k l m John F. Murray (2010). Murray and Nadel's textbook of respiratory medicine. 5th ed. Philadelphia, PA: Saunders/Elsevier. pp. Chapter 38. ISBN 1-4160-4710-7 
  18. Barnes, PJ (2008). «Asthma». In: Fauci, Anthony S; Braunwald, E,; Kasper, DL. Harrison's Principles of Internal Medicine 17th ed. New York: McGraw-Hill. pp. 1596–1607. ISBN 978-0-07-146633-2 
  19. Maitre B, Similowski T, Derenne JP (Setembro de 1995). «Physical examination of the adult patient with respiratory diseases: inspection and palpation». European Respiratory Journal. 8 (9): 1584–93. PMID 8575588 
  20. Werner, HA (Junho de 2001). «Status asthmaticus in children: a review». Chest. 119 (6): 1596–1607. PMID 11399724. doi:10.1378/chest.119.6.1913 
  21. a b Shiber JR, Santana J (Maio de 2006). «Dyspnea». Med. Clin. North Am. 90 (3): 453–79. PMID 16473100. doi:10.1016/j.mcna.2005.11.006 
  22. a b Shah, R; Saltoun, CA (Maio–Junho de 2012). «Chapter 14: Acute severe asthma (status asthmaticus)». Allergy and asthma proceedings : the official journal of regional and state allergy societies. 33 Suppl 1 (3): S47–50. PMID 22794687. doi:10.2500/aap.2012.33.3547 
  23. a b c Khan, DA (Jan–Fev de 2012). «Exercise-induced bronchoconstriction: burden and prevalence». Allergy and asthma proceedings : the official journal of regional and state allergy societies. 33 (1): 1–6. PMID 22370526. doi:10.2500/aap.2012.33.3507 
  24. GINA 2011, p. 17
  25. Carlsen, KH; Anderson, SD; Bjermer, L; Bonini, S; Brusasco, V; Canonica, W; Cummiskey, J; Delgado, L; Del Giacco, SR; Drobnic, F; Haahtela, T; Larsson, K; Palange, P; Popov, T; van Cauwenberge, P; European Respiratory, Society; European Academy of Allergy and Clinical, Immunology; GA(2)LEN, (Maio de 2008). «Treatment of exercise-induced asthma, respiratory and allergic disorders in sports and the relationship to doping: Part II of the report from the Joint Task Force of European Respiratory Society (ERS) and European Academy of Allergy and Clinical Immunology (EAACI) in cooperation with GA(2)LEN». Allergy. 63 (5): 492–505. PMID 18394123. doi:10.1111/j.1398-9995.2008.01663.x 
  26. Kindermann, W (2007). «Do inhaled beta(2)-agonists have an ergogenic potential in non-asthmatic competitive athletes?». Sports medicine (Auckland, N.Z.). 37 (2): 95–102. PMID 17241101. doi:10.2165/00007256-200737020-00001 
  27. Pluim, BM; de Hon, O; Staal, JB; Limpens, J; Kuipers, H; Overbeek, SE; Zwinderman, AH; Scholten, RJ (Janeiro de 2011). «β₂-Agonists and physical performance: a systematic review and meta-analysis of randomized controlled trials». Sports medicine (Auckland, N.Z.). 41 (1): 39–57. PMID 21142283. doi:10.2165/11537540-000000000-00000 
  28. a b c Baur, X; Aasen, TB; Burge, PS; Heederik, D; Henneberger, PK; Maestrelli, P; Schlünssen, V; Vandenplas, O; Wilken, D; ERS Task Force on the Management of Work-related, Asthma (1 de Junho de 2012). «The management of work-related asthma guidelines: a broader perspective». European Respiratory Review. 21 (124): 125–39. PMID 22654084. doi:10.1183/09059180.00004711 
  29. Kunnamo, ed.-in-chief: Ilkka (2005). Evidence-based medicine guidelines. Chichester: Wiley. p. 214. ISBN 978-0-470-01184-3 
  30. Kraft, editors, Mario Castro, Monica (2008). Clinical asthma. Philadelphia: Mosby / Elsevier. pp. Chapter 42. ISBN 978-0-323-07081-2 
  31. a b c d e f g h i j GINA 2011, pp. 2–5
  32. Jindal, editor-in-chief SK (2011). Textbook of pulmonary and critical care medicine. New Delhi: Jaypee Brothers Medical Publishers. p. 242. ISBN 978-93-5025-073-0 
  33. George, Ronald B. (2005). Chest medicine : essentials of pulmonary and critical care medicine 5th ed. Philadelphia, PA: Lippincott Williams & Wilkins. p. 62. ISBN 978-0-7817-5273-2 
  34. British Guideline 2009, p. 14
  35. GINA 2011, pp. 8–9
  36. Boulet LP (Abril de 2009). «Influence of comorbid conditions on asthma». European Respiratory Journal. 33 (4): 897–906. PMID 19336592. doi:10.1183/09031936.00121308 
  37. Boulet, LP; Boulay, MÈ (Junho de 2011). «Asthma-related comorbidities». Expert review of respiratory medicine. 5 (3): 377–93. PMID 21702660. doi:10.1586/ers.11.34 
  38. editors, Andrew Harver, Harry Kotses, (2010). Asthma, health and society a public health perspective. Nova Iorque: Springer. p. 315. ISBN 978-0-387-78285-0 
  39. Thomas, M; Bruton, A; Moffat, M; Cleland, J (Setembro de 2011). «Asthma and psychological dysfunction». Primary care respiratory journal : journal of the General Practice Airways Group. 20 (3): 250–6. PMID 21674122. doi:10.4104/pcrj.2011.00058 
  40. a b Martinez FD (2007). «Genes, environments, development and asthma: a reappraisal». European Respiratory Journal. 29 (1): 179–84. PMID 17197483. doi:10.1183/09031936.00087906 
  41. Miller, RL; Ho SM (Março de 2008). «Environmental epigenetics and asthma: current concepts and call for studies». American Journal of Respiratory and Critical Care Medicine. 177 (6): 567–573. PMC 2267336Acessível livremente. PMID 18187692. doi:10.1164/rccm.200710-1511PP 
  42. Choudhry S, Seibold MA, Borrell LN; et al. (2007). «Dissecting complex diseases in complex populations: asthma in latino americans». Proc Am Thorac Soc. 4 (3): 226–33. PMC 2647623Acessível livremente. PMID 17607004. doi:10.1513/pats.200701-029AW 
  43. Dietert, RR (Setembro de 2011). «Maternal and childhood asthma: risk factors, interactions, and ramifications». Reproductive toxicology (Elmsford, N.Y.). 32 (2): 198–204. PMID 21575714. doi:10.1016/j.reprotox.2011.04.007 
  44. Kelly, FJ; Fussell, JC (Agosto de 2011). «Air pollution and airway disease». Clinical and experimental allergy : journal of the British Society for Allergy and Clinical Immunology. 41 (8): 1059–71. PMID 21623970. doi:10.1111/j.1365-2222.2011.03776.x 
  45. GINA 2011, p. 6
  46. GINA 2011, p. 61
  47. a b Gold DR, Wright R (2005). «Population disparities in asthma». Annu Rev Public Health. 26: 89–113. PMID 15760282. doi:10.1146/annurev.publhealth.26.021304.144528 
  48. McGwin, G; Lienert, J; Kennedy, JI (Março de 2010). «Formaldehyde exposure and asthma in children: a systematic review». Environmental health perspectives. 118 (3): 313–7. PMC 2854756Acessível livremente. PMID 20064771. doi:10.1289/ehp.0901143 
  49. Jaakkola JJ, Knight TL. (Julho de 2008). «The role of exposure to phthalates from polyvinyl chloride products in the development of asthma and allergies: a systematic review and meta-analysis». Environ Health Perspect. 116 (7): 845–53. PMC 2453150Acessível livremente. PMID 18629304. doi:10.1289/ehp.10846 
  50. Bornehag, CG; Nanberg, E (Abril de 2010). «Phthalate exposure and asthma in children». International journal of andrology. 33 (2): 333–45. PMID 20059582. doi:10.1111/j.1365-2605.2009.01023.x 
  51. Henderson, AJ; Shaheen, SO (Março de 2013). «Acetaminophen and asthma.». Paediatric Respiratory Reviews. 14 (1): 9–15; quiz 16. PMID 23347656. doi:10.1016/j.prrv.2012.04.004 
  52. Ahluwalia, SK; Matsui, EC (Abril de 2011). «The indoor environment and its effects on childhood asthma». Current Opinion in Allergy and Clinical Immunology. 11 (2): 137–43. PMID 21301330. doi:10.1097/ACI.0b013e3283445921 
  53. Arshad, SH (Janeiro de 2010). «Does exposure to indoor allergens contribute to the development of asthma and allergy?». Current allergy and asthma reports. 10 (1): 49–55. PMID 20425514. doi:10.1007/s11882-009-0082-6 
  54. Custovic, A; Simpson, A (2012). «The role of inhalant allergens in allergic airways disease». Journal of investigational allergology & clinical immunology : official organ of the International Association of Asthmology (INTERASMA) and Sociedad Latinoamericana de Alergia e Inmunologia. 22 (6): 393–401. PMID 23101182 
  55. a b PC Gøtzsche, HK Johansen (2008). Gøtzsche, Peter C, ed. «House dust mite control measures for asthma». Cochrane Database of Systematic Reviews (2): CD001187. PMID 18425868. doi:10.1002/14651858.CD001187.pub3 
  56. a b NHLBI Guideline 2007, p. 11
  57. Ramsey, CD; Celedón JC (Janeiro de 2005). «The hygiene hypothesis and asthma». Current Opinion in Pulmonary Medicine. 11 (1): 14–20. PMID 15591883. doi:10.1097/01.mcp.0000145791.13714.ae 
  58. Bufford, JD; Gern JE (Maio de 2005). «The hygiene hypothesis revisited». Immunology and Allergy Clinics of North America. 25 (2): 247–262. PMID 15878454. doi:10.1016/j.iac.2005.03.005 
  59. a b Brooks, C; Pearce, N; Douwes, J (Fevereiro de 2013). «The hygiene hypothesis in allergy and asthma: an update». Current Opinion in Allergy and Clinical Immunology. 13 (1): 70–7. PMID 23103806. doi:10.1097/ACI.0b013e32835ad0d2 
  60. Rao, D; Phipatanakul, W (Outubro de 2011). «Impact of environmental controls on childhood asthma.». Current allergy and asthma reports. 11 (5): 414–20. PMID 21710109. doi:10.1007/s11882-011-0206-7 
  61. Murk, W; Risnes, KR; Bracken, MB (Junho de 2011). «Prenatal or early-life exposure to antibiotics and risk of childhood asthma: a systematic review». Pediatrics. 127 (6): 1125–38. PMID 21606151. doi:10.1542/peds.2010-2092 
  62. British Guideline 2009, p. 72.
  63. Neu, J; Rushing, J (Junho de 2011). «Cesarean versus vaginal delivery: long-term infant outcomes and the hygiene hypothesis». Clinics in perinatology. 38 (2): 321–31. PMC 3110651Acessível livremente. PMID 21645799. doi:10.1016/j.clp.2011.03.008 
  64. Arrieta, MC; Stiemsma LT, Dimitriu PA, Thorson L, Russell S, Yurist-Doutsch S, Kuzeljevic B, Gold MJ, Britton HM, Lefebvre DL, Subbarao P, Mandhane P, Becker A, McNagny KM, Sears MR, Kollmann T; Mohn WW, Turvey SE, Brett Finlay B (Setembro de 2015). «Early infancy microbial and metabolic alterations affect risk of childhood asthma». Sci Transl Med. 7 (307): 307ra152. PMID 26424567. doi:10.1126/scitranslmed.aab2271 
  65. a b Martinez FD (2007). «CD14, endotoxin, and asthma risk: actions and interactions». Proc Am Thorac Soc. 4 (3): 221–5. PMC 2647622Acessível livremente. PMID 17607003. doi:10.1513/pats.200702-035AW 
  66. a b c Elward, Graham Douglas, Kurtis S. (2010). Asthma. London: Manson Pub. pp. 27–29. ISBN 978-1-84076-513-7 
  67. a b c Ober C, Hoffjan S (2006). «Asthma genetics 2006: the long and winding road to gene discovery». Genes Immun. 7 (2): 95–100. PMID 16395390. doi:10.1038/sj.gene.6364284 
  68. Halapi, E; Bjornsdottir, US (Janeiro de 2009). «Overview on the current status of asthma genetics». The clinical respiratory journal. 3 (1): 2–7. PMID 20298365. doi:10.1111/j.1752-699X.2008.00119.x 
  69. a b Rapini, Ronald P.; Bolognia, Jean L.; Jorizzo, Joseph L. (2007). Dermatology: 2-Volume Set. St. Louis: Mosby. ISBN 1-4160-2999-0 
  70. GINA 2011, p. 4
  71. Beuther DA (Janeiro de 2010). «Recent insight into obesity and asthma». Current Opinion in Pulmonary Medicine. 16 (1): 64–70. PMID 19844182. doi:10.1097/MCP.0b013e3283338fa7 
  72. Holguin F, Fitzpatrick A (Março de 2010). «Obesity, asthma, and oxidative stress». J. Appl. Physiol. 108 (3): 754–9. PMID 19926826. doi:10.1152/japplphysiol.00702.2009 
  73. Wood LG, Gibson PG (Julho de 2009). «Dietary factors lead to innate immune activation in asthma». Pharmacol. Ther. 123 (1): 37–53. PMID 19375453. doi:10.1016/j.pharmthera.2009.03.015 
  74. O'Rourke ST (Outubro de 2007). «Antianginal actions of beta-adrenoceptor antagonists». Am J Pharm Educ. 71 (5). 95 páginas. PMC 2064893Acessível livremente. PMID 17998992. doi:10.5688/aj710595 
  75. Salpeter, S; Ormiston, T; Salpeter, E (2001). Salpeter, Shelley R, ed. «Cardioselective beta-blocker use in patients with reversible airway disease». Cochrane Database of Systematic Reviews (2): CD002992. PMID 11406056. doi:10.1002/14651858.CD002992 
  76. Morales, DR; Jackson, C; Lipworth, BJ; Donnan, PT; Guthrie, B (7 de novembro de 2013). «Adverse respiratory effect of acute beta-blocker exposure in asthma: a systematic review and meta-analysis of randomized controlled trials.». Chest. PMID 24202435 
  77. Covar, RA; Macomber, BA; Szefler, SJ (Fevereiro de 2005). «Medications as asthma trigers». Immunology and allergy clinics of North America. 25 (1): 169–90. PMID 15579370. doi:10.1016/j.iac.2004.09.009 
  78. a b c d Baxi SN, Phipatanakul W (Abril de 2010). «The role of allergen exposure and avoidance in asthma». Adolesc Med State Art Rev. 21 (1): 57–71, viii–ix. PMC 2975603Acessível livremente. PMID 20568555 
  79. Chen E, Miller GE (2007). «Stress and inflammation in exacerbations of asthma». Brain Behav Immun. 21 (8): 993–9. PMC 2077080Acessível livremente. PMID 17493786. doi:10.1016/j.bbi.2007.03.009 
  80. Lemanske RF, Busse WW (Fevereiro de 2010). «Asthma: clinical expression and molecular mechanisms». J. Allergy Clin. Immunol. 125 (2 Suppl 2): S95–102. PMC 2853245Acessível livremente. PMID 20176271. doi:10.1016/j.jaci.2009.10.047 
  81. a b NHLBI Guideline 2007, p. 42
  82. GINA 2011, p. 20
  83. American Academy of Allergy, Asthma, and Immunology. «Five things physicians and patients should question» (PDF). American Academy of Allergy, Asthma, and Immunology. Choosing wisely: an initiative of the ABIM Foundation. Consultado em 14 de agosto de 2012 
  84. Third Expert Panel on the Diagnosis and Management of Asthma (2007). Guidelines for the diagnosis and management of asthma. [S.l.]: National Heart, Lung, and Blood Institute (US) 
  85. Perez, LL (Março–Abril de 2013). «Office spirometry». Osteopathic Family Physician. 5 (2): 65–69. doi:10.1016/j.osfp.2012.09.003 
  86. Welsh, EJ.; Bara, A.; Barley, E.; Cates, CJ. (2010). Welsh, Emma J, ed. «Caffeine for asthma». Cochrane Database of Systematic Reviews (1): CD001112. PMID 20091514. doi:10.1002/14651858.CD001112.pub2 
  87. NHLBI Guideline 2007, p. 58
  88. Pinnock H, Shah R (2007). «Asthma». BMJ. 334 (7598): 847–50. PMC 1853223Acessível livremente. PMID 17446617. doi:10.1136/bmj.39140.634896.BE 
  89. NHLBI Guideline 2007, p. 59
  90. NHLBI Guideline 2007, p. 46
  91. Hargreave, FE; Parameswaran, K (Agosto de 2006). «Asthma, COPD and bronchitis are just components of airway disease». European Respiratory Journal. 28 (2): 264–267. PMID 16880365. doi:10.1183/09031936.06.00056106 
  92. Diaz, P. Knoell (2009). «23. Chronic obstructive pulmonary disease». Applied therapeutics: the clinical use of drugs 9th ed. Philadelphia: Lippincott Williams & Wilkins 
  93. Gibson PG, McDonald VM, Marks GB (Setembro de 2010). «Asthma in older adults». Lancet. 376 (9743): 803–13. PMID 20816547. doi:10.1016/S0140-6736(10)61087-2 
  94. NHLBI Guideline 2007, pp. 184–5
  95. Lodge, CJ; Allen, KJ; Lowe, AJ; Hill, DJ; Hosking, CS; Abramson, MJ; Dharmage, SC (2012). «Perinatal cat and dog exposure and the risk of asthma and allergy in the urban environment: a systematic review of longitudinal studies». Clinical & developmental immunology. 2012. 176484 páginas. PMC 3251799Acessível livremente. PMID 22235226. doi:10.1155/2012/176484 
  96. Chen, CM; Tischer, C; Schnappinger, M; Heinrich, J (Janeiro de 2010). «The role of cats and dogs in asthma and allergy—a systematic review». International journal of hygiene and environmental health. 213 (1): 1–31. PMID 20053584. doi:10.1016/j.ijheh.2009.12.003 
  97. a b Prescott, SL; Tang, ML; Australasian Society of Clinical Immunology and, Allergy (2 de maio de 2005). «The Australasian Society of Clinical Immunology and Allergy position statement: Summary of allergy prevention in children». The Medical journal of Australia. 182 (9): 464–7. PMID 15865590 
  98. Cates, CJ; Rowe, BH (28 de fevereiro de 2013). «Vaccines for preventing influenza in people with asthma.». The Cochrane database of systematic reviews. 2: CD000364. PMID 23450529. doi:10.1002/14651858.CD000364.pub4 
  99. «Strategic Advisory Group of Experts on Immunization - report of the extraordinary meeting on the influenza A (H1N1) 2009 pandemic, 7 July 2009.». Wkly Epidemiol Rec. 84 (30): 301–4. 24 de julho de 2009. PMID 19630186 
  100. Ripoll, Brian C. Leutholtz, Ignacio (2011). Exercise and disease management 2nd ed. Boca Raton: CRC Press. p. 100. ISBN 978-1-4398-2759-8 
  101. GINA 2011, p. 56
  102. GINA 2011, p. 71
  103. a b c d e NHLBI Guideline 2007, p. 213
  104. a b «British Guideline on the Management of Asthma» (PDF). Scottish Intercollegiate Guidelines Network. 2008. Consultado em 4 de agosto de 2008. Cópia arquivada (PDF) em 19 de agosto de 2008 
  105. NHLBI Guideline 2007, p. 69
  106. Thomson NC, Spears M (2005). «The influence of smoking on the treatment response in patients with asthma». Current Opinion in Allergy and Clinical Immunology. 5 (1): 57–63. PMID 15643345. doi:10.1097/00130832-200502000-00011 
  107. Stapleton M, Howard-Thompson A, George C, Hoover RM, Self TH (2011). «Smoking and asthma». J Am Board Fam Med. 24 (3): 313–22. PMID 21551404. doi:10.3122/jabfm.2011.03.100180 
  108. Been, Jasper (28 de março de 2014). «Effect of smoke-free legislation on perinatal and child health: a systematic review and meta-analysis». Lancet. doi:10.1016/S0140-6736(14)60082-9 
  109. Chandratilleke, MG; Carson, KV; Picot, J; Brinn, MP; Esterman, AJ; Smith, BJ (16 de maio de 2012). Carson, Kristin V, ed. «Physical training for asthma». Cochrane Database of Systematic Reviews. 5: CD001116. PMID 22592674. doi:10.1002/14651858.CD001116.pub3 
  110. NHLBI Guideline 2007, p. 560
  111. NHLBI Guideline 2007, p. 250
  112. a b Rachelefsky, G (janeiro de 2009). «Inhaled corticosteroids and asthma control in children: assessing impairment and risk». Pediatrics. 123 (1): 353–66. PMID 19117903. doi:10.1542/peds.2007-3273 
  113. Dahl R (Agosto de 2006). «Systemic side effects of inhaled corticosteroids in patients with asthma». Respir Med. 100 (8): 1307–17. PMID 16412623. doi:10.1016/j.rmed.2005.11.020 
  114. Parsons JP, Hallstrand TS, Mastronarde JG; et al. (Maio de 2013). «An official American Thoracic Society clinical practice guideline: exercise-induced bronchoconstriction». Am. J. Respir. Crit. Care Med. 187 (9): 1016–27. PMID 23634861. doi:10.1164/rccm.201303-0437ST 
  115. Rodrigo GJ, Nannini LJ (2006). «Comparison between nebulized adrenaline and beta2 agonists for the treatment of acute asthma. A meta-analysis of randomized trials». Am J Emerg Med. 24 (2): 217–22. PMID 16490653. doi:10.1016/j.ajem.2005.10.008 
  116. NHLBI Guideline 2007, p. 351
  117. NHLBI Guideline 2007, p. 218
  118. a b Ducharme, Francine M.; Ni Chroinin, Muireann; Greenstone, Ilana; Lasserson, Toby J. (12 de maio de 2010). «Addition of long-acting beta2-agonists to inhaled corticosteroids versus same dose inhaled corticosteroids for chronic asthma in adults and children». The Cochrane Database of Systematic Reviews (5): CD005535. ISSN 1469-493X. PMID 20464739. doi:10.1002/14651858.CD005535.pub2 
  119. Ducharme, FM; Ni Chroinin, M; Greenstone, I; Lasserson, TJ (14 de abril de 2010). Ducharme, Francine M, ed. «Addition of long-acting beta2-agonists to inhaled steroids versus higher dose inhaled corticosteroids in adults and children with persistent asthma». Cochrane Database of Systematic Reviews (4): CD005533. PMID 20393943. doi:10.1002/14651858.CD005533.pub2 
  120. Fanta CH (Março de 2009). «Asthma». New England Journal of Medicine. 360 (10): 1002–14. PMID 19264689. doi:10.1056/NEJMra0804579 
  121. Cates, CJ; Cates, MJ (18 de abril de 2012). Cates, Christopher J, ed. «Regular treatment with formoterol for chronic asthma: serious adverse events». Cochrane Database of Systematic Reviews. 4: CD006923. PMID 22513944. doi:10.1002/14651858.CD006923.pub3 
  122. Cates, CJ; Cates, MJ (16 de julho de 2008). Cates, Christopher J, ed. «Regular treatment with salmeterol for chronic asthma: serious adverse events». Cochrane Database of Systematic Reviews (3): CD006363. PMID 18646149. doi:10.1002/14651858.CD006363.pub2 
  123. GINA 2011, p. 74
  124. Watts, K; Chavasse, RJ (16 de maio de 2012). Watts, Kirsty, ed. «Leukotriene receptor antagonists in addition to usual care for acute asthma in adults and children». Cochrane Database of Systematic Reviews. 5: CD006100. PMID 22592708. doi:10.1002/14651858.CD006100.pub2 
  125. Chauhan, BF; Ben Salah, R; Ducharme, FM (2 de outubro de 2013). «Addition of anti-leukotriene agents to inhaled corticosteroids in children with persistent asthma.». The Cochrane database of systematic reviews. 10: CD009585. PMID 24089325. doi:10.1002/14651858.CD009585.pub2 
  126. a b c Rodrigo GJ, Rodrigo C, Hall JB (2004). «Acute asthma in adults: a review». Chest. 125 (3): 1081–102. PMID 15006973. doi:10.1378/chest.125.3.1081 
  127. a b NHLBI Guideline 2007, p. 373
  128. Noppen, M. (Agosto de 2002). «Magnesium Treatment for Asthma : Where Do We Stand?». Chest. 122 (2): 396–8. PMID 12171805. doi:10.1378/chest.122.2.396 
  129. GINA 2011, p. 37
  130. NHLBI Guideline 2007, p. 399
  131. a b Castro, M; Musani, AI; Mayse, ML; Shargill, NS (Abril de 2010). «Bronchial thermoplasty: a novel technique in the treatment of severe asthma». Therapeutic advances in respiratory disease. 4 (2): 101–16. PMID 20435668. doi:10.1177/1753465810367505 
  132. Boulet, LP; Laviolette, M (Maio–Junho de 2012). «Is there a role for bronchial thermoplasty in the treatment of asthma?». Canadian respiratory journal : journal of the Canadian Thoracic Society. 19 (3): 191–2. PMC 3418092Acessível livremente. PMID 22679610 
  133. Lin, Sandra Y.; Erekosima, Nkiruka; Kim, Julia M.; Ramanathan, Murugappan; Suarez-Cuervo, Catalina; Chelladurai, Yohalakshmi; Ward, Darcy; Segal, Jodi B. (27 de março de 2013). «Sublingual Immunotherapy for the Treatment of Allergic Rhinoconjunctivitis and Asthma: A Systematic Review». JAMA. 309 (12): 1278–1288. ISSN 0098-7484. doi:10.1001/jama.2013.2049 
  134. Falcão, Helena; Cunha, Leonor (2005). «Imunoterapia Sublingual: problemas de adesão e segurança». Revista Portuguesa de Imunoalergia. 3 (13): 251-257 
  135. Blanc PD, Trupin L, Earnest G, Katz PP, Yelin EH, Eisner MD (2001). «Alternative therapies among adults with a reported diagnosis of asthma or rhinosinusitis : data from a population-based survey». Chest. 120 (5): 1461–7. PMID 11713120. doi:10.1378/chest.120.5.1461 
  136. Shenfield G, Lim E, Allen H (2002). «Survey of the use of complementary medicines and therapies in children with asthma». J Paediatr Child Health. 38 (3): 252–7. PMID 12047692. doi:10.1046/j.1440-1754.2002.00770.x 
  137. Kaur B, Rowe BH, Arnold E (2009). Welsh, Emma J, ed. «Vitamin C supplementation for asthma». Cochrane Database of Systematic Reviews (1): CD000993. PMID 19160185. doi:10.1002/14651858.CD000993.pub3 
  138. Hemilä, H (2013). «Vitamin C may alleviate exercise-induced bronchoconstriction: a meta-analysis.». BMJ open. 3 (6). PMID 23794586. doi:10.1136/bmjopen-2012-002416 
  139. a b NHLBI Guideline 2007, p. 240
  140. McCarney RW, Brinkhaus B, Lasserson TJ, Linde K (2004). McCarney, Robert W, ed. «Acupuncture for chronic asthma». Cochrane Database of Systematic Reviews (1): CD000008. PMID 14973944. doi:10.1002/14651858.CD000008.pub2 
  141. Blackhall, K; Appleton, S; Cates, CJ (12 de setembro de 2012). Blackhall, Karen, ed. «Ionisers for chronic asthma». Cochrane Database of Systematic Reviews. 9: CD002986. PMID 22972060. doi:10.1002/14651858.CD002986.pub2 
  142. Hondras MA, Linde K, Jones AP (2005). Hondras, Maria A, ed. «Manual therapy for asthma». Cochrane Database of Systematic Reviews (2): CD001002. PMID 15846609. doi:10.1002/14651858.CD001002.pub2 
  143. «Manual Boas Práticas de Asma» (PDF). Sociedade Portuguesa de Pneumologia 
  144. «Global Strategy for Asthma Management and Prevention (inglês)» (PDF). 2016. Consultado em 19 de setembro de 2017 
  145. «WHO Disease and injury country estimates». Organização Mundial de Saúde. 2009. Consultado em 11 de novembro de 2009. Cópia arquivada em 11 de novembro de 2009 
  146. Sergel, Michelle J.; Cydulka, Rita K. (Setembro de 2009). «Ch. 75: Asthma». In: Wolfson, Allan B.; Harwood-Nuss, Ann. Harwood-Nuss' Clinical Practice of Emergency Medicine 5th ed. [S.l.]: Lippincott Williams & Wilkins. pp. 432–. ISBN 978-0-7817-8943-1 
  147. NHLBI Guideline 2007, p. 1
  148. Organization, World Health (2008). The global burden of disease : 2004 update. [Online-Ausg.] ed. Genebra, Suíça: Organização Mundial de Saúde. p. 35. ISBN 978-92-4-156371-0 
  149. Maddox L, Schwartz DA (2002). «The pathophysiology of asthma». Annu. Rev. Med. 53: 477–98. PMID 11818486. doi:10.1146/annurev.med.53.082901.103921 
  150. Beckett PA, Howarth PH (2003). «Pharmacotherapy and airway remodelling in asthma?». Thorax. 58 (2): 163–74. PMC 1746582Acessível livremente. PMID 12554904. doi:10.1136/thorax.58.2.163 
  151. Grant EN, Wagner R, Weiss KB (Agosto de 1999). «Observations on emerging patterns of asthma in our society». J Allergy Clin Immunol. 104 (2 Pt 2): S1–S9. PMID 10452783. doi:10.1016/S0091-6749(99)70268-X 
  152. Anandan C, Nurmatov U, van Schayck OC, Sheikh A (Fevereiro de 2010). «Is the prevalence of asthma declining? Systematic review of epidemiological studies». Allergy. 65 (2): 152–67. PMID 19912154. doi:10.1111/j.1398-9995.2009.02244.x 
  153. Bousquet, J; Bousquet, PJ; Godard, P; Daures, JP (Julho de 2005). «The public health implications of asthma». Bulletin of the World Health Organization. 83 (7): 548–54. PMC 2626301Acessível livremente. PMID 16175830 
  154. «World Health Organization Fact Sheet Fact sheet No 307: Asthma». 2011. Consultado em 17 de janeiro de 2013 
  155. a b GINA 2011, p. 3
  156. Vos, Theo; Flaxman, Abraham D.; Naghavi, Mohsen; Lozano, Rafael; Michaud, Catherine; Ezzati, Majid; Shibuya, Kenji; Salomon, Joshua A.; Abdalla, Safa (15 de dezembro de 2012). «Years lived with disability (YLDs) for 1160 sequelae of 289 diseases and injuries 1990-2010: a systematic analysis for the Global Burden of Disease Study 2010». Lancet (London, England). 380 (9859): 2163–2196. ISSN 1474-547X. PMID 23245607. doi:10.1016/S0140-6736(12)61729-2 
  157. Lozano, R (15 de dezembro de 2012). «Global and regional mortality from 235 causes of death for 20 age groups in 1990 and 2010: a systematic analysis for the Global Burden of Disease Study 2010.». Lancet. 380 (9859): 2095–128. PMID 23245604. doi:10.1016/S0140-6736(12)61728-0 
  158. Guyton, Arthur C.; Hall, John E. (2006). Tratado de Fisiologia Médica. [S.l.]: Editora Elsevier. 11ª Edição. 529 páginas. ISBN 8535216413 
  159. World Health Organization. «WHO: Asthma». Consultado em 29 de dezembro de 2007. Cópia arquivada em 15 de dezembro de 2007 
  160. Bush A, Menzies-Gow A (dezembro de 2009). «Phenotypic differences between pediatric and adult asthma». Proc Am Thorac Soc. 6 (8): 712–9. PMID 20008882. doi:10.1513/pats.200906-046DP 
  161. Gaspar, Ângela; Almeida, Mário Morais de ; Nunes, Carlos (2006). «Epidemiologia da asma grave» (PDF). Revista Portuguesa de Imunoalergologia (14 (Supl2)): 27- 41 
  162. Sociedade Brasileira de Pneumologia e Tisiologia. «Factsheet Asma 2013» (PDF). Consultado em 19 de maio de 2014 
  163. Masoli, Matthew; et al. Global Burden of Asthma (PDF). [S.l.]: Global Initative for Asthma. pp. 111,115 
  164. Barnes PJ1, Jonsson B, Klim JB (abril de 1996). «The costs os asthma». European Respiratory Journal. 4 (9): 636-42 
  165. MBPA 2007, p. 12.
  166. Manniche L (1999). Sacred luxuries: fragrance, aromatherapy, and cosmetics in ancient Egypt. [S.l.]: Cornell University Press. pp. 49. ISBN 978-0-8014-3720-5 
  167. a b c d e f g h Peter Crosta (Setembro de 2007). «Asthma History - Through The Ages». Consultado em 21 de maio de 2014 
  168. Thorowgood JC (Novembro de 1873). «On bronchial asthma». British Medical Journal. 2 (673). 600 páginas. PMC 2294647Acessível livremente. PMID 20747287. doi:10.1136/bmj.2.673.600 
  169. Gaskoin G (Março de 1872). «On the treatment of asthma». British Medical Journal. 1 (587). 339 páginas. PMC 2297349Acessível livremente. PMID 20746575. doi:10.1136/bmj.1.587.339 
  170. Berkart JB (Junho de 1880). «The treatment of asthma». British Medical Journal. 1 (1016): 917–8. PMC 2240555Acessível livremente. PMID 20749537. doi:10.1136/bmj.1.1016.917 
  171. Berkart JB (Junho de 1880). «The treatment of asthma». British Medical Journal. 1 (1017): 960–2. PMC 2240530Acessível livremente. PMID 20749546. doi:10.1136/bmj.1.1017.960 
  172. Bosworth FH (1886). «Hay fever, asthma, and allied affections». Transactions of the Annual Meeting of the American Climatological Association. 2: 151–70. PMC 2526599Acessível livremente. PMID 21407325 
  173. Doig RL (Fevereiro de 1905). «Epinephrin; especially in asthma». California State Journal of Medicine. 3 (2): 54–5. PMC 1650334Acessível livremente. PMID 18733372 
  174. a b Opolski M, Wilson I (Setembro de 2005). «Asthma and depression: a pragmatic review of the literature and recommendations for future research». Clin Pract Epidemol Ment Health. 1: 18. PMC 1253523Acessível livremente. PMID 16185365. doi:10.1186/1745-0179-1-18 
  175. Crompton G. (2006). «A brief history of inhaled asthma therapy over the last fifty years.». Prim Care Respir J. 6 (15): 326-331. doi:j.pcrj.2006.09.002 Verifique |doi= (ajuda) 
  176. von Mutius, E; Drazen, JM (1 de março de 2012). «A patient with asthma seeks medical advice in 1828, 1928, and 2012». New England Journal of Medicine. 366 (9): 827–34. PMID 22375974. doi:10.1056/NEJMra1102783 
  177. Crompton G (Dezembro de 2006). «A brief history of inhaled asthma therapy over the last fifty years». Primary care respiratory journal : journal of the General Practice Airways Group. 15 (6): 326–31. PMID 17092772. doi:10.1016/j.pcrj.2006.09.002 

Ligações externas

Recursos externos
Instituições