Proteinose alveolar pulmonar

Pulmonary alveolar proteinosis
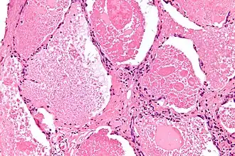
Micrografia com H&E mostrando glóbulos hialinos densos nas vias áreas.
Especialidadepneumologia
Classificação e recursos externos
CID-11CB04.31
CID-10J84.0
CID-9516.0
OMIM265120 610913 610921 610910
DiseasesDB29642
MedlinePlus000114
eMedicinemed/1927
MeSHD011649
A Wikipédia não é um consultório médico. Leia o aviso médico 

Proteinose alveolar pulmonar (PAP) Proteinose alveolar pulmonar é uma doença rara na qual um líquido rico em proteínas (surfactante) enchem os alvéolos prejudicando as trocas gasosas. Afeta quatro em cada milhão de habitantes, geralmente adultos.

Causa

Não se conhece a causa da proteinose alveolar do pulmão, possivelmente possui fatores genéticos. Raramente é causada por inalação de agentes químicos. Teoriza-se ser causada por defeito nas funções dos macrófagos pulmonares ou estrutura anormal da proteína surfactante ou descontrole na produção de citocinas; expressão anômala do fator estimulador de colônia granulocítica-macrofágica ou de seus receptores nos macrófagos alveolares pulmonares e pneumócitos tipo II.[1]

Sinais e sintomas

Os possíveis sintomas incluem[2]:

  • Dificuldade para respirar;
  • Tosse seca (com muco apenas em fumante);
  • Perda de peso (incomum);
  • Febre leve (incomum).

Pode ser diagnosticado por Raio X revelando consolidação pulmonar, por exame histopatológico e em exames físicos pode-se identificar ruídos inspiratórios, baqueteamento digital e cianose periférica e/ou central 

Tratamento

Caso os sintomas sejam fortes pode ser feita uma lavagem pulmonar com solução fisiológica de parte ou da totalidade do pulmão sob anestesia. Em alguns casos pode ser necessário lavagem anual. Outros tratamentos possíveis incluem terapia de reposição com fator estimulador de colônia granulocítica-macrofágica, corticoterapia e uso de iodeto de potássio, estreptoquinase e tripsina.[1]

Referências