Bronquiolite obliterante
| Bronquiolite obliterante | |
|---|---|
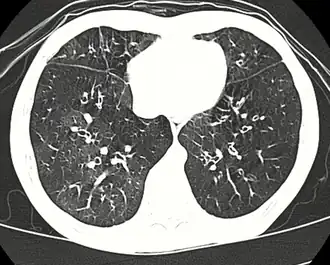
![]() | |
| TAC de alta resolução onde se observa bronquiolite obliterante | |
| Especialidade | pneumologia |
| Classificação e recursos externos | |
| CID-10 | J44.8, J68.4 |
| CID-9 | 491.8 |
| DiseasesDB | 1704 |
| MeSH | D001989 |
Bronquiolite obliterante é uma doença que causa inflamação e consequente obstrução das menores vias aéreas dos pulmões – os bronquíolos[1] Os sintomas incluem tosse seca, falta de ar, respiração sibilante e fadiga.[1] Estes sintomas vão-se geralmente agravando ao longo de semanas ou meses. A doença não tem relação com a bronquiolite obliterante com pneumonia em organização.[2]
Entre as causas estão a inalação de partículas tóxicas, infeções respiratórias, doenças dos tecidos conjuntivos ou na sequência de um transplante de medula óssea ou de coração ou pulmões. Os sintomas podem só ocorrer passado duas a oito semanas da infeção ou da exposição à substância tóxica. O mecanismo subjacente consiste numa inflamação que provoca a formação de tecido de cicatrização. O diagnóstico é realizado com TAC, exames à função dos pulmões ou biópsia aos tecidos dos pulmões.[1] Em muitos casos, a radiografia torácica aparenta ser normal.[2]
Embora a doença seja irreversível, existem tratamentos que atrasam a sua progressão. Entre os tratamentos estão a utilização de corticosteroides ou imunossupressores.[1] Pode também ser considerado o transplante de pulmão. O prognóstico é geralmente pouco favorável e a maior parte dos doentes morre no prazo de meses ou anos.[2]
A bronquiolite obliterante é uma doença rara na população em geral. No entanto, afeta cerca de 75% das pessoas num prazo de dez anos no seguimento de um transplante de pulmão e cerca de 10% das pessoas que se submeteram a um transplante de medula óssea. A doença foi descrita pela primeira vez de forma clara em 1981,[2] havendo no entanto referências anteriores desde 1956.[3]
Referências
- ↑ a b c d «Bronchiolitis obliterans». GARD. 2012. Consultado em 13 de setembro de 2016
- ↑ a b c d Lynch JP, 3rd; Weigt, SS; DerHovanessian, A; Fishbein, MC; Gutierrez, A; Belperio, JA (Outubro de 2012). «Obliterative (constrictive) bronchiolitis.». Seminars in respiratory and critical care medicine. 33 (5): 509-32. PMID 23001805. doi:10.1055/s-0032-1325161
- ↑ Gourtsoyiannis, Nicholas C.; Ros, Pablo R. (2005). Radiologic-Pathologic Correlations from Head to Toe: Understanding the Manifestations of Disease (em inglês). [S.l.]: Springer Science & Business Media. p. 154. ISBN 9783540266648
