Pneumonite de hipersensibilidade

Pneumonite de hipersensibilidade
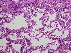
Alvéolos pulmonares inflamados
Especialidadepneumologia
Classificação e recursos externos
CID-10J67
CID-9495
DiseasesDB4630
MedlinePlus000109
eMedicine1005107, 299174
MeSHD000542
A Wikipédia não é um consultório médico. Leia o aviso médico 

Pneumonite de hipersensibilidade ou alveolite alérgica extrínseca é uma doença pulmonar caracterizada pela inflamação e dos alvéolos pulmonares por uma reação alérgica (hipersensibilidade tipo 4) à inalação de poeira ou vapor com proteínas orgânicas por vários anos. Acometidos são normalmente expostos ao alérgeno devido a sua profissão ou moradia e podem ser obrigados a mudar de carreira ou casa para recuperar-se. O uso de máscara é recomendado para prevenir os episódios de pneumonite.

Classificação por causa

Está associada a diversas profissões e diferentes patógenos[1][2]:

  • Pulmão do fazendeiro: A variedade mais comum, causada por respirar feno mofado, geralmente por Saccharopolyspora rectivirgula. Afeta entre 1 e 7% dos fazendeiros.
  • Pulmão do avicultor: Devido à exposição a poeira das penas e dejetos de aves.
  • Pulmão do carpinteiro: Devido a exposição a serragem com Penicillium spp
  • Pulmão do músico: Devido a exposição a poeira dentro de instrumentos de sopro, com Mycobacterium spp.
  • Pulmão do queijeiro: Devido à exposição ao mofo do queijo, geralmente Penicillium casei ou Penicillium roqueforti.
  • Pulmão do químico: Devido a exposição a poeira de tintas, resinas ou poliuretano.
  • Pulmão da sauna: Devido exposição ao vapor com Mycobacterium avium ou Graphium spp, comum em saunas ou jacuzzi mal-lavadas.
  • Pulmão do trabalhador do café: Devido a exposição a poeira do café.
  • Pulmão do trabalhador do cogumelo: Devido a exposição a actinomicetos termófilos nos compostos dos cogumelos.
  • Pulmão do trabalhador de laboratório: Devido a exposição a urina de ratos machos.
  • Pulmão do trabalhador do malte: Devido a exposição ao mofo do malte com Aspergillus clavatus.
  • Pulmão do umidificador: Devido a inalação de vapor do umidificador com Bacillus, actinomicetos, Aureobasidium ou amebas.
  • Pulmão do vinicultor: Devido a exposição ao mofo de uvas com Botrytis cinerea.
  • Soberose: Devido a exposição a fungos nas pessoas que trabalham na indústria da cortiça (como a cortiça vem do sobreiro esta doença chama-se soberose).[3]

Patofisiologia

Na histologia podem ser vistas células inflamatórias, linfócitos, granulomas e fibrose intersticial.

O processo histopatológico consiste em inflamação crônica dos brônquios e tecidos próximos (bronquiolite), muitas vezes com granulomas não caseosos mal definidos e células gigantes no interstício ou alvéolos. Fibrose e enfisema podem se desenvolver mais tarde.[4]

Sinais e sintomas

Pneumonite de hipersensibilidade é categorizada aguda, subaguda ou crônica baseado na duração da doença.[5]

Forma aguda

Os sintomas da pneumonite de hipersensibilidade aguda geralmente começam 4 a 8 horas após a exposição ao agente responsável pela alergia (alérgeno) e são similares a uma gripe[6]:

  • Febre,
  • Tosse seca,
  • Aperto no peito,
  • Falta de ar,
  • Cansaço.

Outros sintomas comuns incluem mal-estar, calafrios, dor de cabeça, dores pelo corpo e perda de apetite. Resolve depois de 12h ou alguns dias evitando o alérgeno e volta após nova exposição.

Forma intermitente

Os sintomas tendem a ser menos grave e mais graduais no início e incluem[6]:

  • Tosse produtiva,
  • Dificuldade pra respirar,
  • Cansaço
  • Perda de apetite e de peso.

Pode ocorrer após ataques agudos repetidos e episódios de pneumonia. Ao contrário da forma aguda os sintomas demoram semanas ou meses para melhorar.

Forma crônica

Pode aparecer com ou sem fases agudas prévias[6]

  • Perda de peso
  • Diminuição gradual da tolerância ao exercício
  • Dificuldade para respirar progressiva
  • Ponta dos dedos agrandados e dormentes
  • Distresse respiratório, pode-se escutar crepitação na base pulmonar

Pode complicar com fibrose pulmonar progressiva e parcialmente irreversível, destruição dos alvéolos (enfisema), insuficiência cardíaca direita (cor pulmonale) e ruptura pulmonar (pneumotórax espontâneo) com altos níveis de mortalidade.[7]

Diagnóstico

Tomografia axial e coronal.

O diagnóstico é baseado na história de sintomas após a exposição ao alérgeno e em testes clínicos. Exames de sangue indicam sinais de inflamação pouco específicos, a radiografia de tórax revela áreas de opacidade difusa, pode haver edema e fibrose, e testes de função pulmonar revelam doença pulmonar restritiva.[6]

Tratamento

Descobrir a causa da alergia e evitá-la é a principal parte do tratamento, frequentemente não é necessário medicação. Nos casos crônicos pode demorar anos até que o pulmão se recupere. Corticosteroides podem tratar os sintomas, mas não impede a evolução da doença.[1] Sem evitar o alérgeno a fibrose pulmonar continua a progredir e até ser fatal mesmo com terapia corticosteroide agressiva.[6]

Ver também

Referências

  1. a b Lacasse Y, Cormier Y; Hypersensitivity pneumonitis. Orphanet J Rare Dis. 2006 Jul 3;1:25.
  2. Enelow, RI (2008). Fishman's Pulmonary Diseases and Disorders (4th ed.). McGraw-Hill. pp. 1161–72. ISBN 0-07-145739-9.
  3. Ferreira, João (26 de Março de 2003). «Hipersensibilidade Tipo III, por Imunocomplexos (Continuação); Hipersensibilidade Tipo IV, Retardada; Semiologia Laboratorial das doenças por Hipersensibilidade Imunológica» (PDF). Faculdade de Medicina da Universidade do Porto 
  4. https://radiopaedia.org/articles/hypersensitivity-pneumonitis
  5. «Hypersensitivity Pneumonitis Signs and Symptoms». UCSF Medical Center (em inglês). Universidade da Califórnia em São Francisco. Consultado em 13 de dezembro de 2015 
  6. a b c d e Dr Sean Kavanagh e Dr Roger Henderson (2016). Extrinsic Allergic Alveolitis. http://patient.info/doctor/extrinsic-allergic-alveolitis-pro#ref-5
  7. Ismail T, McSharry C, Boyd G; Extrinsic allergic alveolitis. Respirology. 2006 May;11(3):262-8.