Saturnismo
| Saturnismo | |
|---|---|
![]() | |
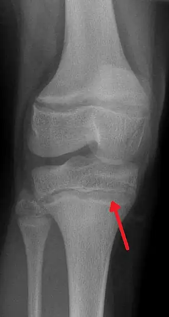
| Raio X mostrando a característica linha de chumbo na metáfise da tíbia. | |
| Especialidade | medicina de urgência |
| Classificação e recursos externos | |
| CID-10 | T56.0 |
| CID-9 | 984.9 |
| DiseasesDB | 7307 |
| MedlinePlus | 002473 |
| eMedicine | article/815399 |
| MeSH | D007855 |
Saturnismo ou plumbismo (do latim Saturnismus, de saturnus, nome que os alquimistas davam ao chumbo)[1] refere-se à intoxicação por chumbo de um organismo. O chumbo pode se acumular no organismo adulto por vários meses ou anos antes de causar sintomas.[2] Porém, crianças menores de 6 anos de idade são especialmente vulneráveis à contaminação por chumbo, pois mesmo pequenas quantidades podem afetar gravemente seu desenvolvimento físico e mental.
Causa
- Tintas;
- Poeira de locais em construção, mecânicas, minas etc.;
- Água de canos soldados com chumbo;
- Combustíveis;
- Algumas ervas medicinais (Greta, Litargírio, Baw-ba-san…);
- Tiro com bala de chumbo;
- Algumas decorações, potes, brinquedos e maquiagens podem conter chumbo.
Sinais e sintomas
Em humanos, a intoxicação pode ser mais brusca e levar a uma crise ou lenta causando sintomas progressivamente piores. Em adultos os sintomas mais comuns sãoː[5]
- Dores abdominais severas;
- Sensação de gosto metálico;
- Constipação;
- Dor ou dormência ou formigamento (parestesias) de mãos e pés;
- Dores nas articulações e músculos;
- Dor de cabeça;
- Irritabilidade e agressividade;
- Declínio cognitivo (memória, atenção e aprendizagem);
- Hipertensão arterial;
- Infertilidade em homens;
- Parto prematuro;
- Linha de depósito de chumbo na gengiva (azul).
Em crianças os sintomas podem incluir, dependendo da gravidadeː[3]
- Atraso no desenvolvimento físico;
- Dificuldades de aprendizagem;
- Irritabilidade;
- Perda de apetite;
- Perda de peso;
- Lentidão e cansaço;
- Dor abdominal;
- Vômitos;
- Prisão de ventre;
- Perda gradual da audição.
Outras alterações incluem anemia (por porfiria secundária e inibição da medula óssea), disfunção renal, convulsões e coma. Em crianças os prejuízos ao desenvolvimento mental podem ser permanentes.[3]
Epidemiologia
Atinge principalmente trabalhadores de indústrias de metal, materiais de construção, automobilísticas e baterias elétricas ou extratoras de chumbo.[6]
Tratamento
Em casos leves o mais importante é evitar novas exposições até que o próprio corpo consiga eliminar parte do chumbo nas fezes. Em casos graves pode ser feita terapia de quelação, com medicamentos que se ligam ao chumbo para que possa ser excretado na urina, ou terapia com EDTA cálcico. Adultos com níveis de chumbo superior a 45 mcg/dl de sangue devem ser tratados com uma ou mais EDTAs. Nem todos os danos são reversíveis, especialmente os cognitivos em crianças podem ser permanentes.[7]
Em locais de risco, como zonas industriais e mineradoras, alguns médicos recomendam exame de sangue de crianças entre 1 e 2 anos para detectar sinais de intoxicação por metais pesados.[7]
Referências
- ↑ Infopédia. «Definição ou significado de saturnismo no Dicionário Infopédia de Termos Médicos». Infopédia - Dicionários Porto Editora. Consultado em 26 de dezembro de 2019
- ↑ Ericson, Bret; Hu, Howard; Nash, Emily; Ferraro, Greg; Sinitsky, Julia; Taylor, Mark Patrick (1 de março de 2021). «Blood lead levels in low-income and middle-income countries: a systematic review». The Lancet Planetary Health (em inglês) (3): e145–e153. ISSN 2542-5196. doi:10.1016/S2542-5196(20)30278-3. Consultado em 15 de janeiro de 2022
- ↑ a b c «Lead poisoning - Symptoms and causes». Mayo Clinic (em inglês). Consultado em 21 de abril de 2021
- ↑ Turns, Anna. «Mapping Our 'Pollution Landscape'». www.resurgence.org (em inglês). Consultado em 13 de abril de 2022
- ↑ Moreira, FR e Moreira, JC Os efeitos do chumbo sobre o organismo humano e seu significado para a saúde Rev Panam Salud Publica. 2004;15(2):119–29 [1]
- ↑ «Cópia arquivada». Consultado em 29 de novembro de 2014. Arquivado do original em 4 de dezembro de 2014
- ↑ a b «Lead poisoning - Diagnosis and treatment - Mayo Clinic». www.mayoclinic.org. Consultado em 21 de abril de 2021
Fontes
- Cavaleiro-Costa, R, Stape, CA, Suzuki, I Saturnismo causado por projétil de arma de fogo no quadril Rev Bras Ortop - Vol. 29, N° 6 - Junho, 1994 [2]
- Yamada Tadataka, Textbook of Gastroenterology, Lippincott Williams & Wilkins; 4a edição (maio 2003)
- Sadao, M Intoxicação por chumbo Revista de Oxidologia Jan/Fev/Mar 2002 [3]
Ligações externas
- Chumbo, intoxicação e violência - artigo por Etelvino J.H. Bechara
- Saturnismo em aves aquáticas portuguesas
- Exposição ambiental ao chumbo - um problema global
