Oncocitoma
| Oncocitoma | |
|---|---|
![]() | |
| Oncocitoma Renal | |
| Especialidade | oncologia |
| Classificação e recursos externos | |
| CID-CID-O | 8290/0 |
| DiseasesDB | 31956 |
| eMedicine | med/1045 |
| MeSH | D018249 |
O oncocitoma é um tumor usualmente benigno que afeta rins, tireoide ou glândulas salivares.[1][2][3] Esse grupo de neoplasias recebe esse nome por ser composto de células epiteliais eosinofílicas com grande número de mitocôndrias (oncócitos).[1][2][3]
Sinais e sintomas
A maioria dos casos de oncocitomas renais são assintomáticos, descobertos incidentalmente em uma tomografia ou ultrassom do abdômen.[2] Alguns dos possíveis sintomas incluem: hematúria, dor abdominal, hipertensão e uma massa abdominal.[4]
Em glândulas salivares, usualmente se apresenta como uma massa assintomática, raramente bilateral ou múltipla, e em casos raros síncrona com um tumor de Warthin ou carcinoma ex-adenoma pleomórfico.[3]
Aspectos radiográficos e histológicos
Os oncocitomas não possuem aspectos radiológicos característicos quando afetam os rins, onde se assemelham a qualquer outro tumor renal de crescimento lento, ou na tireoide, onde se assemelham ao adenoma folicular.[1][2] Nas glândulas salivares, possui achados que são característicos: na ressonância magnética, é hipointenso em T1 e isointenso em T2 comparado ao tecido glandular normal, assim como na tomografia computadorizada apresenta um aspecto mais hiperdenso da parte tumoral com presença de um componente cístico hipodenso.[3][5]

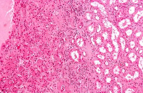
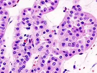
O oncocitoma renal é caracterizado pela presença de células epiteliais grandes e intensamente eosinofílicas, organizadas em um estroma de ilhotas em meio ao tecido conjuntivo frouxo; outros padrões arquiteturais incluem tubular, microcístico, macrocístico e sólido.[2] Mitoses são raras e não há mitoses atípicas, sem presença de necrose coagulativa e, alguns dos oncocitomas renais podem ter invasão perivascular ou no tecido adiposo perirrenal, ainda que seja benigno.[2]
Em glândulas salivares, o aspecto de células epiteliais eosinofílicas (oncócitos) se mantém, com a presença de células claras em organização de lençol, trabéculas, ácinos ou folicular.[3] O estroma é mais vascular e pode haver presença de células claras, corpos de psamoma ou cristais de tirosina, mas sem mitoses ou elastose.[3]
Na tireoide, também é rico em oncócitos (>75%) em uma arquitetura folicular, trabecular, sólida ou papilar, com atipia nuclear e presença de células claras.[1] Ele pode ter calcificações psamomatosas-like sem laminação, diferentemente do carcinoma papilar.[1] Ao contrário de em outras partes do corpo, o oncocitoma de tireoide (também chamado de tumor de células de Hürthle) existe dentro de um espectro mais tênue de malignidade ou benignidade: a atipia nuclear ou mitoses, assim como o pleomorfismo das células, não classifica esse tumor como maligno; a malignidade é definida pela presença de invasão capsular ou vascular.[1]
O oncocitoma benigno, ou adenoma oncocítico de tireoide, é um tumor bem encapsulado por uma cápsula delgada.[1] Já o carcinoma oncocítico possui uma cápsula espessa com invasão das células malignas, arquitetura sólida ou trabecular, células menores com uma razão núcleo/citoplasma maior, e maior número de mitoses.[1]
Causas
O oncocitoma renal está associado a mutações patogênicas da mitocôndria, que agem como mecanismos de supressão tumoral impedindo a progressão do tumor ao tornarem a respiração celular deficiente: o rearranjo de CCDN1 (translocação 11q13) ou aneuplodia dos cromossomos Y e 1 são frequentes.[2][6]
Em glândulas salivares, até 20% dos casos são associados com radioterapia de cabeça e pescoço ou exposição à radiação, mas pode ocorrer na trissomia do cromossomo 7 ou na síndrome de Birt-Hogg-Dubé.[3]
Sua etiologia para a tireoide é desconhecida, mas sabe-se que está relacionado a aneuploidias e deleção ou mutação do DNA mitocondrial para a fosforilação oxidativa, assim como mutações dos genes TP53 e PTEN.[1][7]
Epidemiologia
Representam 5-9% dos tumores renais, com predileção por homens (2:1) e com idade média ao diagnóstico de 60 anos.[2][8][9]
Oncocitomas de glândulas salivares são raros, representando entre 1-2% de todas as neoplasias de glândula salivar.[3] Afetam principalmente a parótida, mas também podem afetar a glândula submandibular e glândulas salivares menores. A idade média ao diagnóstico também é de 60 anos.[3]
Na tireoide, é mais comum em homens e na sexta década de vida.[1]
Diagnóstico
O diagnóstico desses tumores se dá pelo exame anatomopatológico.[1][2][3] A imuno-histoquímica pode auxiliar no diagnóstico diferencial:[1][2][3]
- Oncocitoma renal:[2][10][11][12][13][14]
- Positivo para CD117, e-caderina, S100A1, PAX8, CAM 5.2 e pancitoqueratina, negativo para CK7, AMACR, CAIX, vimentina, HMB45, melanA, CK20, ferro coloidal;
- Diagnóstico diferencial com carcinoma de células renais eosinofílico e carcinoma de células renais cromofóbico.
- Oncocitoma de glândulas salivares:[3][15][16][17]
- Positivo para PTAH, CK5/6, CK8/18, CK10/13, EMA, Ki67, p63, HPV, CEA, GFAP e S100, negativo para marcadores mioepiteliais como actina de músculo liso e calponina;
- Diagnóstico diferencial com carcinoma oncocítico, metaplasia oncocítica, oncocitose, tumor de Warthin e metástases de carcinoma de células renais ou de próstata.
- Tumor de Hürtle (oncocitoma de tireoide):[1]
- Positivo para tiroglobulina, TTF1 e CK7, negativo para CK20;
- Diagnóstico diferencial com tireoidite de Hashimoto, carcinoma medular, carcinoma papilar de tireoide e bócio nodular.
Prognóstico e tratamento

O prognóstico dos oncocitomas tende a ser favorável: a ressecção cirúrgica tende a ser curativa e a recidiva rara, apesar do risco de recidiva tardia.[2][3] A exceção é o oncocitoma de tireoide: embora o adenoma oncocítico seja benigno e não tenha recidiva após ressecção, o carcinoma oncocítico é mais agressivo que o carcinoma folicular, tendo alto risco de recidiva local, disseminação linfonodal e metástase, e extensão extratireoideal.[1] A mortalidade do oncocitoma de tireoide, portanto, varia entre 10 a 80%: fatores que pioram o prognóstico incluem idade avançada, tumor maior que 4 cm e invasão perivascular significativa.[1]
Ver também
Referências
- ↑ a b c d e f g h i j k l m n o Wei, Shuanzeng. «Oncocytic (Hürthle cell) tumors». Pathology Outlines. Consultado em 29 de janeiro de 2025
- ↑ a b c d e f g h i j k l Saleeb, Rola. «Oncocytoma». Pathology Outlines. Consultado em 29 de janeiro de 2025
- ↑ a b c d e f g h i j k l m Handra-Luca, Adriana; Hang, Jen-Fan. «Oncocytoma». Pathology Outlines. Consultado em 29 de janeiro de 2025
- ↑ http://radiopaedia.org/articles/renal-oncocytoma
- ↑ Patel, N. D.; van Zante, A.; Eisele, D. W.; Harnsberger, H. R.; Glastonbury, C. M. (outubro de 2011). «Oncocytoma: the vanishing parotid mass». AJNR. American journal of neuroradiology (9): 1703–1706. ISSN 1936-959X. PMC 7965362
. PMID 21757520. doi:10.3174/ajnr.A2569. Consultado em 29 de janeiro de 2025
- ↑ Joshi, Shilpy; Tolkunov, Denis; Aviv, Hana; Hakimi, Abraham A.; Yao, Ming; Hsieh, James J.; Ganesan, Shridar; Chan, Chang S.; White, Eileen (1 de dezembro de 2015). «The Genomic Landscape of Renal Oncocytoma Identifies a Metabolic Barrier to Tumorigenesis». Cell Reports (9): 1895–1908. ISSN 2211-1247. PMC 4779191
. PMID 26655904. doi:10.1016/j.celrep.2015.10.059. Consultado em 29 de janeiro de 2025
- ↑ Wei, Shuanzeng; LiVolsi, Virginia A.; Montone, Kathleen T.; Morrissette, Jennifer J. D.; Baloch, Zubair W. (dezembro de 2015). «PTEN and TP53 Mutations in Oncocytic Follicular Carcinoma». Endocrine Pathology (4): 365–369. ISSN 1559-0097. PMID 26530486. doi:10.1007/s12022-015-9403-6. Consultado em 29 de janeiro de 2025
- ↑ Amin, M. B.; Crotty, T. B.; Tickoo, S. K.; Farrow, G. M. (janeiro de 1997). «Renal oncocytoma: a reappraisal of morphologic features with clinicopathologic findings in 80 cases». The American Journal of Surgical Pathology (1): 1–12. ISSN 0147-5185. PMID 8990136. doi:10.1097/00000478-199701000-00001. Consultado em 29 de janeiro de 2025
- ↑ Wobker, Sara E.; Williamson, Sean R. (2017). «Modern Pathologic Diagnosis of Renal Oncocytoma». Journal of kidney cancer and VHL (4): 1–12. ISSN 2203-5826. PMC 5634396
. PMID 29090117. doi:10.15586/jkcvhl.2017.96. Consultado em 29 de janeiro de 2025
- ↑ Skinnider, Brian F.; Amin, Mahul B. (fevereiro de 2005). «An immunohistochemical approach to the differential diagnosis of renal tumors». Seminars in Diagnostic Pathology (1): 51–68. ISSN 0740-2570. PMID 16512599. doi:10.1053/j.semdp.2005.11.004. Consultado em 29 de janeiro de 2025
- ↑ Siadat, Farshid; Trpkov, Kiril (9 de janeiro de 2020). «ESC, ALK, HOT and LOT: Three Letter Acronyms of Emerging Renal Entities Knocking on the Door of the WHO Classification». Cancers (1). 168 páginas. ISSN 2072-6694. PMC 7017067
. PMID 31936678. doi:10.3390/cancers12010168. Consultado em 29 de janeiro de 2025
- ↑ Srigley, John R.; Delahunt, Brett; Eble, John N.; Egevad, Lars; Epstein, Jonathan I.; Grignon, David; Hes, Ondrej; Moch, Holger; Montironi, Rodolfo (outubro de 2013). «The International Society of Urological Pathology (ISUP) Vancouver Classification of Renal Neoplasia». The American Journal of Surgical Pathology (10): 1469–1489. ISSN 1532-0979. PMID 24025519. doi:10.1097/PAS.0b013e318299f2d1. Consultado em 29 de janeiro de 2025
- ↑ Huo, Lei; Sugimura, Jun; Tretiakova, Maria S.; Patton, Kurt T.; Gupta, Rohit; Popov, Boris; Laskin, William B.; Yeldandi, Anjana; Teh, Bin Tean (março de 2005). «C-kit expression in renal oncocytomas and chromophobe renal cell carcinomas». Human Pathology (3): 262–268. ISSN 0046-8177. PMID 15791570. doi:10.1016/j.humpath.2005.01.011. Consultado em 29 de janeiro de 2025
- ↑ Ng, Keng Lim; Morais, Christudas; Bernard, Anne; Saunders, Nicholas; Samaratunga, Hemamali; Gobe, Glenda; Wood, Simon (agosto de 2016). «A systematic review and meta-analysis of immunohistochemical biomarkers that differentiate chromophobe renal cell carcinoma from renal oncocytoma». Journal of Clinical Pathology (8): 661–671. ISSN 1472-4146. PMID 26951082. doi:10.1136/jclinpath-2015-203585. Consultado em 29 de janeiro de 2025
- ↑ McHugh, Jonathan B.; Hoschar, Aaron P.; Dvorakova, Mari; Parwani, Anil V.; Barnes, E. Leon; Seethala, Raja R. (dezembro de 2007). «p63 immunohistochemistry differentiates salivary gland oncocytoma and oncocytic carcinoma from metastatic renal cell carcinoma». Head and Neck Pathology (2): 123–131. ISSN 1936-0568. PMC 2807526
. PMID 20614263. doi:10.1007/s12105-007-0031-4. Consultado em 29 de janeiro de 2025
- ↑ Vageli, D.; Sourvinos, G.; Ioannou, M.; Koukoulis, G. K.; Spandidos, D. A. (2007). «High-risk human papillomavirus (HPV) in parotid lesions». The International Journal of Biological Markers (4): 239–244. ISSN 0393-6155. PMID 18161653. doi:10.1177/172460080702200401. Consultado em 29 de janeiro de 2025
- ↑ Prasad, A. R.; Savera, A. T.; Gown, A. M.; Zarbo, R. J. (setembro de 1999). «The myoepithelial immunophenotype in 135 benign and malignant salivary gland tumors other than pleomorphic adenoma». Archives of Pathology & Laboratory Medicine (9): 801–806. ISSN 0003-9985. PMID 10458827. doi:10.5858/1999-123-0801-TMIIBA. Consultado em 29 de janeiro de 2025
.jpg)