Cisto gengival

O cisto gengival é um tipo de cisto odontogênico do desenvolvimento: embora anteriormente dividido entre cisto gengival do neonato (CGN) e cisto gengival do adulto (CGA), desde 2017 a classificação das lesões odontogênicas da OMS unificou-os como uma única entidade, mantendo o CGN e o CGA como subtipos de cisto gengival.[1]

Sinais e sintomas

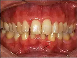
CGA (seta): observa-se pequena lesão de aspecto ligeiramente esbranquiçado próxima à raiz do canino inferior esquerdo.
CGA (seta): observa-se pequena lesão de aspecto ligeiramente transparente a esbranquiçado próxima à raiz do canino inferior esquerdo.

O cisto gengival do adulto tende a se apresentar como uma lesão nodular firme bem delimitada, com coloração normal, transparente ou tendendo ao azul-arroxeado, na mucosa gengival de adultos.[2] O cisto gengival do neonato é uma lesão nodular bem delimitada e esbranquiçada na mucosa alveolar de um recém-nascido.[3] Anteriormente, o CGN foi chamado de pérola de Epstein, ou nódulo de Bohn, mas essas nomenclaturas não são utilizadas atualmente por serem diferentes do CGN:[3]

  • A pérola de Epstein é um cisto encontrado na linha mediana da rafe palatina, que ocorre pelo aprisionamento de células epiteliais durante a fusão do palato;[3][4]
  • O nódulo de Bohn é um cisto mucoso derivado de glândulas salivares menores, encontrado na junção entre o palato duro e o palato mole.[3][5]

Aspectos radiográficos e histológicos

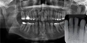
Radiografia panorâmica do CGA mostra agenesia dos incisivos lateriais inferiores e pré-molares. Radiografia panorâmica mostra nenhum envolvimento ósseo.
Radiografia panorâmica do CGA mostra agenesia dos incisivos lateriais inferiores e pré-molares. Radiografia panorâmica mostra nenhum envolvimento ósseo.

O cisto gengival tende a não ser visível em radiografias por sua origem ser exclusivamente de tecidos moles, mas em raros casos, seu crescimento pode gerar uma sombra radiolúcida ao causar a erosão óssea, e em alguns casos pode até mesmo se assemelhar ao cisto periodontal lateral pelo aspecto radiolúcido bem delimitado.[2]

Histologicamente, o cisto gengival é uma cavidade revestida por epitélio escamoso estratificado, envolto por uma cápsula fibrosa de tecido conjuntivo não inflamado.[2][3] O CGN possui queratinização e há restos de queratina no lúmen cístico, enquanto o CGA é não-queratinizado e pode ter áreas de espessamento do epitélio, assim como células claras ou degeneração em microcistos.[2][3]

Causas

O cisto gengival é formado por fragmentos da lâmina dentária que permanecem na mucosa alveolar durante a odontogênese, emergindo de forma anormal como cistos ao se proliferarem.[4]

Epidemiologia

O CGN é bastante comum, afetando 25 a 53% de recém-nascidos.[3] Afeta pacientes com menos de 3 meses de vida, e não possui predileção por gênero.[6]

O CGA é muito raro, representando 0,3% de todos os cistos odontogênicos.[2] Afeta adultos sem predileção por gênero, mais na quinta e sexta décadas de vida, na região de pré-molares e caninos inferiores.[6]

Diagnóstico

O diagnóstico da maioria das vezes é clínico e radiográfico. O diagnóstico diferencial para o CGN inclui a candidíase pseudomembranosa, enquanto para o CGA é mais amplo:[2][3]

Prognóstico e tratamento

O prognóstico é excelente, e a recidiva é extremamente rara, tendo apenas 1 caso relatado na literatura.[2] O CGN tende a involuir por conta própria ao romper pelo trauma, e não requer tratamento.[3] Já o CGA normalmente é removido cirurgicamente com margens mínimas.[2]

Referências

  1. Soluk-tekkesin, Merva; Wright, John M. (2013). «The world health organization classification of odontogenic lesions: a summary of the changes of the 2017 (4th) edition». Turkish Journal of Pathology. ISSN 1018-5615. doi:10.5146/tjpath.2017.01410. Consultado em 17 de novembro de 2024 
  2. a b c d e f g h «Gingival cyst of the adult». Periodikos. PMC 10688211Acessível livremente. PMID 38034522. doi:10.4322/acr.2023.454. Consultado em 17 de novembro de 2024 
  3. a b c d e f g h i Bilodeau, Elizabeth A.; Hunter, Keith D. (1 de março de 2021). «Odontogenic and Developmental Oral Lesions in Pediatric Patients». Head and Neck Pathology (em inglês) (1): 71–84. ISSN 1936-0568. PMC 8010029Acessível livremente. PMID 33723756. doi:10.1007/s12105-020-01284-3. Consultado em 17 de novembro de 2024 
  4. a b Moda, Aman (2011). «Gingival Cyst of Newborn». International Journal of Clinical Pediatric Dentistry (1): 83–84. ISSN 0974-7052. PMC 4999644Acessível livremente. PMID 27616865. doi:10.5005/jp-journals-10005-1087. Consultado em 17 de novembro de 2024 
  5. Moreillon, M. C.; Schroeder, H. E. (janeiro de 1982). «Numerical frequency of epithelial abnormalities, particularly microkeratocysts, in the developing human oral mucosa». Oral Surgery, Oral Medicine, and Oral Pathology (1): 44–55. ISSN 0030-4220. PMID 6172766. doi:10.1016/0030-4220(82)90485-6. Consultado em 17 de novembro de 2024 
  6. a b Soluk-tekkesin, Merva; Wright, John M. (2022). «The world health organization classification of odontogenic lesions: a summary of the changes of the 2022 (5th) edition». Turkish Journal of Pathology. ISSN 1018-5615. PMC 9999699Acessível livremente. PMID 35578902. doi:10.5146/tjpath.2022.01573. Consultado em 17 de novembro de 2024