Ameloblastoma
O ameloblastoma é uma neoplasia odontogênica benigna, de origem epitelial, derivado dos ameloblastos.[1][2] É um dos tumores odontogênicos mais comuns, e representa cerca de 10% de todos os tumores de cabeça e pescoço, sendo de especial importância clínica.[3]
Sinais e sintomas
O ameloblastoma é normalmente assintomático, apresentando-se como uma massa de crescimento lento e indolor com expansão tanto por lingual quanto por vestibular da cortical óssea, e essa massa pode chegar a um tamanho exuberante.[3][4]
Outros sinais e sintomas incluem má oclusão, mobilidade dentária e, raramente, dor (normalmente associada a hemorragia dentro ou ao redor do tumor).[3][4] Se a cortical óssea for perfurada, o ameloblastoma pode infiltrar o tecido mole.[4]
Os tumores em maxila tendem a ser mais agressivos: eles podem se estender pelo seio maxilar e fossa pterigomaxilar até chegar à base do crânio e encéfalo, ou infiltrar a órbita ocular.[5][6]
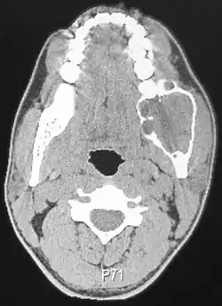
Aspectos radiográficos

Radiograficamente, o ameloblastoma se apresenta como uma lesão radiolúcida uni ou multiloculada (aspecto de bolha de sabão) bem delimitada.[3][5] Pode haver reabsorção das raízes dentárias.[5] Algumas das variantes histológicas, como o ameloblastoma desmoplásico, podem apresentar menor grau de delimitação em relação aos tecidos moles, o que pode dar a aparência de uma lesão fibro-óssea.[3] Já a variante unicística se apresenta como uma lesão radiolúcida unilocular bem delimitada, geralmente associada a um dente incluso, semelhante a um cisto dentígero.[3]
Além da radiografia, a tomografia computadorizada (TC), ressonância magnética e tomografia computadorizada por emissão de pósitrons (PET scan) são utilizadas para avaliar a relação da lesão com os tecidos moles.[3] O PET scan é muito utilizado para a avaliação de ameloblastoma metastático, para diagnóstico de metástase a distância (como em pulmão, por exemplo).[3]
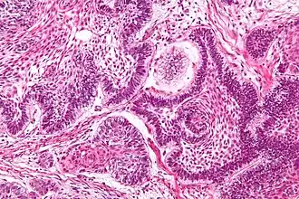
Aspectos histológicos

Histologicamente, o ameloblastoma é caracterizado por dois tipos celulares: as células basais que se assemelham aos ameloblastos (hipercromáticas, de formato colunar e organizadas em paliçada, com citoplasma vacuolado e núcleo de polaridade invertida), e as células epiteliais que se assemelham ao retículo estrelado.[3]
O tumor pode ser subdividido em algumas categorias, conforme a classificação de 2022 das lesões odontogênicas da OMS:[2][3][7]
- Ameloblastoma extraósseo/periférico: semelhante ao tipo convencional (intraósseo/multicístico), mas possui origem em tecidos moles;
- Ameloblastoma convencional (intraósseo ou multicístico): desenvolve-se dentro dos ossos gnáticos, possui algumas variantes histológicas;
- Folicular: é a forma mais comum, caracterizada por ilhotas epiteliais com epitélio central que lembra o retículo estrelado e células ameloblásticas colunares periféricas em paliçada e núcleo de polaridade reversa;
- Plexiforme: caracterizado por cordões epiteliais, sejam eles de células basaloides em camada dupla (sem núcleo de polaridade reversa ou em paliçada), ou com cordões mais espessos com células mais escamosas nas camadas centrais (sem núcleo de polaridade reversa ou em paliçada);
- Acantomatoso: células com diferenciação escamosa;
- Células granulares: presença de células granulares;
- Basaloide: as células possuem características basaloides, com hipercelularidade;
- Desmoplásico: essa variante possui células ameloblásticas que perdem suas características clássicas de polaridade invertida do núcleo e organização em paliçada, e induzem a formação de um estroma tumoral denso em tecido conjuntivo, que se assemelha a uma lesão fibro-óssea;
- Ameloblastoma unicístico: é uma variante de aspecto cístico (não sólido), que possui padrões de crescimento luminal, intraluminal e mural. O padrão mural tende a se tornar um ameloblastoma sólido ao longo de seu crescimento, com infiltração das células tumorais em ilhotas (microssatélites) na cápsula tumoral;
- Ameloblastoma adenomatoide: uma nova entidade adicionada na classificação de 2022 da OMS, é caracterizado por uma arquitetura tecidual cribiforme e presença de estruturas semelhantes a ductos e frequentemente possui matriz dentinoide, com ou sem a presença de células claras. Possui alta proliferação celular por Ki-67.
Apesar de ser um tumor benigno, a OMS ainda define uma última variante do ameloblastoma, o ameloblastoma metastático.[2] Caracteriza-se por um tumor primário nos ossos gnáticos, e um tumor secundário em outro local, normalmente em pulmão.[2][3][7] Diferentemente da variante maligna do ameloblastoma, o carcinoma ameloblástico, o ameloblastoma metastático possui características genéticas e histológicas benignas.[2][7]
Causas
Todos os subtipos do ameloblastoma estão fortemente relacionados a mutações de genes da cadeia MAPK: 90% dos ameloblastomas possuem esse tipo de mutação, sendo a BRAF V600E a mais comum delas.[2][7] Outra mutação notável é a de SMO, fora da cadeia MAPK.[7]
Entretanto, o ameloblastoma adenomatoide não possui mutações de BRAF V600E, mas está relacionado a mutações de β-catenina.[2]
Epidemiologia
É considerado o segundo tumor odontogênico mais comum, atrás apenas do odontoma, e representa cerca de 29 a 37% de todas as lesões odontogênicas diagnosticadas anualmente.[3] Afeta mais homens do que mulheres, e a média de idade ao diagnóstico é de 31 anos.[3] A maior parte dos casos (80 a 91%) afeta a mandíbula.[3] Pessoas asiáticas ou negras são mais afetadas.[3]
A variante unicística está mais frequentemente associada a crianças e envolve dentes inclusos, em especial os terceiros molares.[3]
Diagnóstico
O diagnóstico do ameloblastoma requer exames de imagem (radiografia, TC) e exame anatomopatológico.[3]
Diagnóstico diferencial inclui:[2][3]
- Queratocisto odontogênico;
- Tumor odontogênico adenomatoide;
- Cisto dentígero (para o ameloblastoma unicístico);
- Lesão central de células gigantes;
- Fibroma ossificante;
- Osteomielite;
- Displasia fibrosa;
- Mieloma;
- Sarcoma;
- Carcinoma ameloblástico;
- Carcinoma odontogênico de células claras (para o ameloblastoma adenomatoide);
Prognóstico e tratamento
O prognóstico do ameloblastoma depende da idade do paciente, localização e tamanho do tumor, extensão, estágio, e tipo histológico.[3] Sem tratamento, a neoplasia tende a crescer de forma exuberante, podendo colocar em risco as vias aéreas.[3] Tumores maxilares são especialmente agressivos, por infiltrarem a região da base do crânio e encéfalo, e podem levar à morte.[3] Há risco de transformação maligna em um carcinoma ameloblástico.[8]
O tratamento mais recomendado é a ressecção cirúrgica radical, com ampla margem de segurança: embora tipos histológicos menos agressivos, como o unicístico, possam ser tratados de forma mais conservadora com enucleação ou curetagem, isso aumenta o risco de recidiva.[3] A taxa de recidiva é influenciada pelo tipo de cirurgia e pela presença de margem cirúrgica adequada, sem deixar doença residual, e varia de 9,8 a 19,3%.[3] Tumores maxilares possuem maior recidiva[3]. Recomenda-se o acompanhamento por 10 anos ou, minimamente, 5 anos: até 50% das recidivas acontecem em 5 anos.[3]
Tanto a radioterapia quanto a quimioterapia se mostram pouco eficazes para o ameloblastoma.[3][9]
Referências
- ↑ Reichart, P. A.; Philipsen, H. P.; Sonner, S. (1 de março de 1995). «Ameloblastoma: Biological profile of 3677 cases». European Journal of Cancer Part B: Oral Oncology (2): 86–99. ISSN 0964-1955. doi:10.1016/0964-1955(94)00037-5. Consultado em 11 de outubro de 2024
- ↑ a b c d e f g h Soluk-Tekkesin, Merva; Wright, John M. «The World Health Organization Classification of Odontogenic Lesions: A Summary of the Changes of the 2022 (5th) Edition». Turkish Journal of Pathology (2): 168–184. ISSN 1018-5615. PMC 9999699
. PMID 35578902. doi:10.5146/tjpath.2022.01573. Consultado em 11 de outubro de 2024
- ↑ a b c d e f g h i j k l m n o p q r s t u v w x y z Ghai, Suhani. «Ameloblastoma: An Updated Narrative Review of an Enigmatic Tumor». Cureus (8): e27734. ISSN 2168-8184. PMC 9481193
. PMID 36127985. doi:10.7759/cureus.27734. Consultado em 11 de outubro de 2024
- ↑ a b c Scully, Crispian (2013). Oral and maxillofacial medicine: the basis of diagnosis and treatment 3rd ed ed. Edinburgh ; New York: Churchill Livingstone/Elsevier
- ↑ a b c «Cawson's essentials of oral pathology and oral medicine | WorldCat.org». search.worldcat.org. Consultado em 11 de outubro de 2024
- ↑ Abtahi, Mohammad-Ali; Zandi, Alireza; Razmjoo, Hassan; Ghaffari, Sara; Abtahi, Seyed-Mojtaba; Jahanbani-Ardakani, Hamidreza; Kasaei, Zahra; Kasaei-Koupaei, Samira; Sajjadi, Sepideh (1 de março de 2018). «Orbital invasion of ameloblastoma: A systematic review apropos of a rare entity». Journal of Current Ophthalmology (1): 23–34. ISSN 2452-2325. PMC 5859465
. PMID 29564405. doi:10.1016/j.joco.2017.09.001. Consultado em 11 de outubro de 2024
- ↑ a b c d e Soluk-tekkesin, Merva; Wright, John M. (2013). «The world health organization classification of odontogenic lesions: a summary of the changes of the 2017 (4th) edition». Turkish Journal of Pathology. ISSN 1018-5615. doi:10.5146/tjpath.2017.01410. Consultado em 11 de outubro de 2024
- ↑ Robinson, Liam; Abreu, Lucas Guimarães; Fonseca, Felipe Paiva; Hunter, Keith D.; Ambele, Melvin A.; van Heerden, Willie F. P. (18 de fevereiro de 2024). «Ameloblastic carcinoma: A systematic review». Journal of Oral Pathology & Medicine (em inglês). ISSN 0904-2512. doi:10.1111/jop.13517. Consultado em 11 de outubro de 2024
- ↑ Atkinson, Chris H.; Harwood, Andrew R.; Cummings, Bernard J. (15 de fevereiro de 1984). «Ameloblastoma of the jaw. A reappraisal of the role of megavoltage irradiation». Cancer (em inglês) (4): 869–873. ISSN 0008-543X. doi:10.1002/1097-0142(19840215)53:4<869::AID-CNCR2820530409>3.0.CO;2-V. Consultado em 11 de outubro de 2024
Bibliografia
- Neville, B.W., D. D. Douglas, C. M. Allen, J. E. Bouquot; Patologia Oral & Maxilofacial; Rio de Janeiro; Guanabara Koogan S.A.