Carcinoma epitelial-mioepitelial
O carcinoma epitelial-mioepitelial (CEM) é uma neoplasia maligna (câncer) bifásica de glândulas salivares, composto por células epiteliais e mioepiteliais.[1]
Sinais e sintomas
O CEM usualmente se apresenta como uma massa indolor, de crescimento lento e usualmente unilateral. Em casos raros, pode haver paralisia do nervo facial e linfadenopatia, normalmente indicando transformação em alto grau.[1][2]
Aspectos radiográficos e histológicos

Na ressonância magnética, o CEM não possui aspectos específicos que o diferenciem de outras lesões de glândulas salivares: a maior parte das lesões (71%) são predominantemente sólidas, com margens delimitadas e parcialmente encapsuladas; uma minoria das lesões é multilocular ou cística (29 a 43%).[3] O componente sólido é usualmente homogêneo e isointenso em T1, e heterogêneo e hiperintenso em T2.[3]
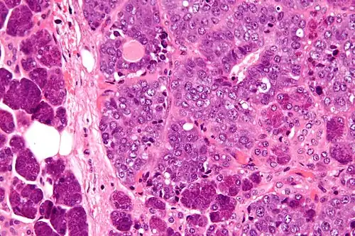
Histologicamente, o CEM se organiza com uma bicamada de células luminais com citoplasma eosinofílico, e células mioepiteliais de citoplasma claro e ricas em glicogênio na periferia.[1] Alguns outros subtipos arquiteturais podem ser vistos, como tubular, glandular, sólido, cístico ou papilar, e a proporção entre células epiteliais e mioepiteliais pode variar.[1][4] A metaplasia escamosa, sebácea ou em corpos de Verocay pode ser encontrada.[1][5]
Em casos raros pode se observar outras variantes morfológicas, como a oncocítica (normalmente de arquitetura papilar, com calcificações e citoplasma granular, que afeta pacientes mais velhos) ou apócrina (arquitetura cribiforme ou sólida, com células ductais intensamente eosinofílicas e morfologia apócrina, produzindo secreção luminal; essas células são positivas para receptor de andrógeno e GCDFP-15).[1][6][7]
Cerca de 20% dos CEM possuem transformação em alto grau, usualmente do componente epitelial, que sugere pior prognóstico: nesses tumores, há proliferação de células atípicas em lençol e ilhotas sólidas, com aumento do número de mitoses e necrose.[1][8]
Causas
Presume-se que o CEM tenha origem nas células do ducto intercalado, e 85% dos tumores possuem mutação de HRAS.[1][4] Uma parte dos CEM está associada a um adenoma pleomórfico preexistente.[1][9]
Epidemiologia
O CEM é uma neoplasia incomum, representando 1 a 2% de todos as neoplasias de glândulas salivares.[1] Afeta principalmente as glândulas salivares maiores como a parótida (70%) e submandibular (12%), mas também pode afetar glândulas salivares menores como no palato.[1][10][11] Possui média de idade de 64 anos ao diagnóstico, e ligeira predileção por mulheres (1,6:1).[1][11]
Diagnóstico
Seu diagnóstico é feito a partir do exame anatomopatológico.[1] A imuno-histoquímica pode auxiliar no diagnóstico:[1][12][13]
- Células ductais: positivas para AE1/AE3, EMA, DOG1, S100 e SOX10;
- Células mioepiteliais: positivas para p63, actina de músculo liso, calponina, DOG1, S100 e SOX10.
O diagnóstico diferencial inclui:[1]
- Adenoma pleomórfico;
- Carcinoma adenoide cístico;
- Adenoma de células basais;
- Carcinoma mucoepidermoide.
Prognóstico e tratamento
O prognóstico do CEM usualmente é favorável, com sobrevida média de até 165 meses após diagnóstico, embora até 81% dos pacientes estejam livres de doença em 15 anos.[1][11][14] Alguns fatores que indicam pior prognóstico incluem: localização em glândula salivar menor, tamanho >4 cm, alto índice mitótico, transformação em alto grau, invasão linfovascular, necrose, anaplasia mioepitelial, idade avançada, etnia negra, e tratamento não cirúrgico ou cirurgia com margens positivas.[1][10][11][15]
O tratamento consiste na ressecção cirúrgica completa, e a radioterapia adjuvante para reduzir a recidiva locorregional.[1][16][17]
Ver também
- Adenocarcinoma de glândula salivar
Referências
- ↑ a b c d e f g h i j k l m n o p q r Huang, Min Li; Gupta, Ruta. «Epithelial myoepithelial carcinoma». Pathology Outlines. Consultado em 15 de fevereiro de 2025
- ↑ Li, Bowen; Yang, Hongyu; Hong, Xia; Wang, Yufan; Wang, Feng (dezembro de 2017). «Epithelial-myoepithelial carcinoma with high-grade transformation of parotid gland: A case report and literature review». Medicine (49): e8988. ISSN 1536-5964. PMC 5728887
. PMID 29245272. doi:10.1097/MD.0000000000008988. Consultado em 15 de fevereiro de 2025
- ↑ a b Suto, Taketo; Kato, Hiroki; Kawaguchi, Masaya; Kobayashi, Kazuhiro; Miyazaki, Tatsuhiko; Ando, Tomohiro; Noda, Yoshifumi; Hyodo, Fuminori; Matsuo, Masayuki (1 de junho de 2022). «MRI findings of epithelial–myoepithelial carcinoma of the parotid gland with radiologic–pathologic correlation». Japanese Journal of Radiology (em inglês) (6): 578–585. ISSN 1867-108X. PMC 9162990
. PMID 34982376. doi:10.1007/s11604-021-01243-0. Consultado em 15 de fevereiro de 2025
- ↑ a b Urano, Makoto; Nakaguro, Masato; Yamamoto, Yoshinari; Hirai, Hideaki; Tanigawa, Maki; Saigusa, Natsuki; Shimizu, Akira; Tsukahara, Kiyoaki; Tada, Yuichiro (julho de 2019). «Diagnostic Significance of HRAS Mutations in Epithelial-Myoepithelial Carcinomas Exhibiting a Broad Histopathologic Spectrum». The American Journal of Surgical Pathology (7): 984–994. ISSN 1532-0979. PMID 30994537. doi:10.1097/PAS.0000000000001258. Consultado em 15 de fevereiro de 2025
- ↑ Seethala, Raja R.; Richmond, Jeffrey A.; Hoschar, Aaron P.; Barnes, E. Leon (junho de 2009). «New variants of epithelial-myoepithelial carcinoma: oncocytic-sebaceous and apocrine». Archives of Pathology & Laboratory Medicine (6): 950–959. ISSN 1543-2165. PMID 19492889. doi:10.5858/133.6.950. Consultado em 15 de fevereiro de 2025
- ↑ Seethala, Raja R. (julho de 2013). «Oncocytic and apocrine epithelial myoepithelial carcinoma: novel variants of a challenging tumor». Head and Neck Pathology (Suppl 1): S77–84. ISSN 1936-0568. PMC 3712087
. PMID 23821213. doi:10.1007/s12105-013-0461-0. Consultado em 15 de fevereiro de 2025
- ↑ Seethala, Raja R.; Richmond, Jeffrey A.; Hoschar, Aaron P.; Barnes, E. Leon (junho de 2009). «New variants of epithelial-myoepithelial carcinoma: oncocytic-sebaceous and apocrine». Archives of Pathology & Laboratory Medicine (6): 950–959. ISSN 1543-2165. PMID 19492889. doi:10.5858/133.6.950. Consultado em 15 de fevereiro de 2025
- ↑ Nagao, Toshitaka (julho de 2013). «"Dedifferentiation" and high-grade transformation in salivary gland carcinomas». Head and Neck Pathology (Suppl 1): S37–47. ISSN 1936-0568. PMC 3712099
. PMID 23821210. doi:10.1007/s12105-013-0458-8. Consultado em 15 de fevereiro de 2025
- ↑ El Hallani, Soufiane; Udager, Aaron M.; Bell, Diana; Fonseca, Isabel; Thompson, Lester D. R.; Assaad, Adel; Agaimy, Abbas; Luvison, Alyssa M.; Miller, Caitlyn (janeiro de 2018). «Epithelial-Myoepithelial Carcinoma: Frequent Morphologic and Molecular Evidence of Preexisting Pleomorphic Adenoma, Common HRAS Mutations in PLAG1-intact and HMGA2-intact Cases, and Occasional TP53, FBXW7, and SMARCB1 Alterations in High-grade Cases». The American Journal of Surgical Pathology (1): 18–27. ISSN 1532-0979. PMC 6530789
. PMID 29135520. doi:10.1097/PAS.0000000000000933. Consultado em 15 de fevereiro de 2025
- ↑ a b Seethala, Raja R.; Barnes, E. Leon; Hunt, Jennifer L. (janeiro de 2007). «Epithelial-myoepithelial carcinoma: a review of the clinicopathologic spectrum and immunophenotypic characteristics in 61 tumors of the salivary glands and upper aerodigestive tract». The American Journal of Surgical Pathology (1): 44–57. ISSN 0147-5185. PMID 17197918. doi:10.1097/01.pas.0000213314.74423.d8. Consultado em 15 de fevereiro de 2025
- ↑ a b c d Gore, Mitchell R. (2018). «Epithelial-myoepithelial carcinoma: a population-based survival analysis». BMC ear, nose, and throat disorders. 15 páginas. ISSN 1472-6815. PMC 6097440
. PMID 30127663. doi:10.1186/s12901-018-0063-2. Consultado em 15 de fevereiro de 2025
- ↑ Chênevert, Jacinthe; Duvvuri, Umamaheswar; Chiosea, Simion; Dacic, Sanja; Cieply, Kathleen; Kim, Jean; Shiwarski, Daniel; Seethala, Raja R. (julho de 2012). «DOG1: a novel marker of salivary acinar and intercalated duct differentiation». Modern Pathology: An Official Journal of the United States and Canadian Academy of Pathology, Inc (7): 919–929. ISSN 1530-0285. PMID 22460810. doi:10.1038/modpathol.2012.57. Consultado em 15 de fevereiro de 2025
- ↑ Lee, Ji Hyun; Kang, Hye Ju; Yoo, Chong Woo; Park, Weon Seo; Ryu, Jun Sun; Jung, Yuh-Seog; Choi, Sung Weon; Park, Joo Yong; Han, Nayoung (janeiro de 2019). «PLAG1, SOX10, and Myb Expression in Benign and Malignant Salivary Gland Neoplasms». Journal of Pathology and Translational Medicine (1): 23–30. ISSN 2383-7837. PMC 6344797
. PMID 30424592. doi:10.4132/jptm.2018.10.12. Consultado em 15 de fevereiro de 2025
- ↑ Vázquez, Alejandro; Patel, Tapan D.; D'Aguillo, Christine M.; Abdou, Rami Y.; Farver, William; Baredes, Soly; Eloy, Jean Anderson; Park, Richard Chan W. (outubro de 2015). «Epithelial-Myoepithelial Carcinoma of the Salivary Glands: An Analysis of 246 Cases». Otolaryngology--Head and Neck Surgery: Official Journal of American Academy of Otolaryngology-Head and Neck Surgery (4): 569–574. ISSN 1097-6817. PMID 26195572. doi:10.1177/0194599815594788. Consultado em 15 de fevereiro de 2025
- ↑ Roy, Paromita; Bullock, Martin J.; Perez-Ordoñez, Bayardo; Dardick, Irving; Weinreb, Ilan (setembro de 2010). «Epithelial-myoepithelial carcinoma with high grade transformation». The American Journal of Surgical Pathology (9): 1258–1265. ISSN 1532-0979. PMID 20679885. doi:10.1097/PAS.0b013e3181e366d2. Consultado em 15 de fevereiro de 2025
- ↑ Wang, Feng; Li, Bowen; Wang, Yufan; Shen, Yuehong; Yang, Hongyu (9 de outubro de 2020). «Clinical and pathological analysis of 10 cases of salivary gland epithelial-myoepithelial carcinoma». Medicine (41): e22671. ISSN 1536-5964. PMC 7544420
. PMID 33031333. doi:10.1097/MD.0000000000022671. Consultado em 15 de fevereiro de 2025
- ↑ Giridhar, Prashanth; Gupta, Pooja; Mallick, Supriya; Upadhyay, Ashish Dutt; Rath, Goura K. (novembro de 2019). «Impact of adjuvant therapy on survival in patients with myoepithelial carcinoma: A systematic review and individual patient data analysis of 691 patients». Radiotherapy and Oncology: Journal of the European Society for Therapeutic Radiology and Oncology: 125–130. ISSN 1879-0887. PMID 31276988. doi:10.1016/j.radonc.2019.06.017. Consultado em 15 de fevereiro de 2025