Periodontite apical
A periodontite apical (ou pericementite apical) é uma inflamação local dos tecidos do periápice do dente, causada por uma inflamação pulpar (seja ela por cárie, trauma ou iatrogênica).[1][2]
Sinais e sintomas
A PA divide-se em aguda e crônica, apresentando diferentes sintomas em cada fase.[1]
Na periodontite apical aguda, observa-se o estágio inicial da doença, com dor contínua, edema, dificuldade de se alimentar e a sensação de dente extruído.[1][2] Isso acontece pela predominância de uma resposta inflamatória aguda: à medida em que a inflamação se torna crônica pela permanência do estímulo agressor, a doença torna-se crônica (periodontite apical crônica) e a sintomatologia tende a desaparecer, a menos que haja reagudização por queda na imunidade.[1][2] Entretanto, o dente com PA crônica pode ter diferença na sensibilidade e apresentar mobilidade dentária.[1]
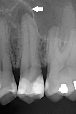
Aspectos radiográficos

A PA pode inicialmente não apresentar nenhum aspecto radiográfico, apenas sintomatologia clínica, em sua fase mais inicial.[1][2] Posteriormente, pode evoluir para apresentar espaçamento do espaço do ligamento periodontal.[1][2] A PA crônica tende a se apresentar como uma rarefação óssea difusa associada ao dente afetado, com perda da continuidade da lâmina dura.[1]
O diagnóstico diferencial radiográfico inclui:[1]
- Granuloma periapical;
- Cisto radicular;
- Cisto dentígero;
- Queratocisto odontogênico;
- Ameloblastoma;
- Displasia cemento-óssea.
Causas
A PA está fortemente associada à lesões de cárie não tratadas, trauma dentário, ou fatores iatrogênicos.[1]
- Lesão de cárie: após a destruição do esmalte e da dentina pelas bactérias cariogênicas, estas colonizam o tecido pulpar e causam necrose pulpar; as bactérias então migram pelo sistema de canais radiculares até chegarem ao periápice, causando uma resposta inflamatória ao liberarem toxinas;
- Trauma dentário;
- Trauma oclusal (por uma restauração "alta" ou por extrusão do dente);
- Iatrogenia: persistência da infecção no sistema de canais radiculares, seja por assepsia inadequada, instrumentação inadequada, acesso inadequado, canais não obturados, sobreinstrumentação ou sobreobturação, ou cárie recidiva.
No caso de trauma dentário, como a polpa e o periodonto não estão infectados, a remoção do trauma em estágios precoces pode resolver a PA.[2]
Epidemiologia
A PA é muito comum, e cerca de 52% dos adultos no mundo têm ou terão algum dente com periodontite apical em algum momento da vida.[1] Apesar disso, a PA é mais prevalente em países em desenvolvimento, e onde não há acesso adequado à saúde bucal.[1]
Pacientes com doenças sistêmicas como diabetes possuem maior risco de desenvolver PA.[1]
Diagnóstico
O diagnóstico da PA é clínico e radiográfico.[1] Pode-se utilizar técnicas como percussão e palpação para o diagnóstico clínico do dente, assim como o teste de vitalidade pulpar (TVP).[1][2]
- PA aguda: positivo para percussão, por vezes positivo à palpação, TVP pode ser positivo;
- PA crônica: negativo para percussão e palpação, TVP negativo.
Além da radiografia periapical, a tomografia computadorizada de feixe cônico (TCFC) pode ser utilizada para o diagnóstico da PA em casos específicos, como de retratamento.[3]
Prognóstico e tratamento
A PA tem prognóstico mais favorável no seu momento mais precoce, especialmente se não há infecção pulpar como nos casos de trauma, em que a remoção do estímulo é suficiente para resolver a patologia.[2]
O tratamento de escolha para a PA não-asséptica (quando há infecção) ou quando há necrose pulpar é o tratamento de canal.[3] O prognóstico do dente com PA, desafios técnicos (como canais atrésicos ou obliterados), a preferência do paciente e custo-benefício são fatores que devem ser avaliados juntamente com o paciente pelo cirurgião-dentista, mas recomenda-se manter o dente e não extraí-lo sempre que possível.[3] Recomenda-se o tratamento de canal o mais urgente possível, ao invés de esperar e iniciar antibioticoterapia primeiro: o uso de antibióticos é recomendado quando há envolvimento sistêmico ou rápida progressão, ou imunossupressão do paciente.[1][3]
A falha no tratamento endodôntico pode requerer o retratamento, ou cirurgia parendodôntica.[3] Dentes com ápice aberto devem passar pelo processo de apexificação durante o tratamento endodôntico.[3] Em último caso, a exodontia do elemento pode ser considerada a terapia de escolha.[3]
O não tratamento da PA pode gerar consequências negativas ao paciente: a infecção pode se tornar ainda mais aguda, formando um abscesso periapical e até mesmo angina de Ludwig (uma complicação potencialmente fatal), ou pode se cronificar em uma PA crônica, que pode progredir para um granuloma periapical ou cisto radicular.[1][4][5]
Referências
- ↑ a b c d e f g h i j k l m n o p q Blake, Ahren; Tuttle, Travis; McKinney, Reed (2024). «Apical Periodontitis». Treasure Island (FL): StatPearls Publishing. PMID 36943974. Consultado em 2 de dezembro de 2024
- ↑ a b c d e f g h «Periapicopatias». www.forp.usp.br. Consultado em 2 de dezembro de 2024
- ↑ a b c d e f g Duncan, Henry F.; Kirkevang, Lise-Lotte; Peters, Ove A.; El-Karim, Ikhlas; Krastl, Gabriel; Del Fabbro, Massimo; Chong, Bun San; Galler, Kerstin M.; Segura-Egea, Juan J. (2023). «Treatment of pulpal and apical disease: The European Society of Endodontology (ESE) S3-level clinical practice guideline». International Endodontic Journal (em inglês) (S3): 238–295. ISSN 1365-2591. doi:10.1111/iej.13974. Consultado em 2 de dezembro de 2024
- ↑ Graunaite, Indre; Lodiene, Greta; Maciulskiene, Vita (1 de janeiro de 2012). «Pathogenesis of Apical Periodontitis: a Literature Review». Journal of Oral & Maxillofacial Research (em inglês) (4): e1. ISSN 2029-283X. PMC 3886078
. PMID 24421998. doi:10.5037/jomr.2011.2401. Consultado em 2 de dezembro de 2024
- ↑ Neville, Brad W., ed. (2002). Oral & maxillofacial pathology 2. ed ed. Philadelphia: Saunders