Carcinoma de células escamosas da pele
| Carcinoma espinocelular | |
|---|---|
| Sinónimos | Carcinoma de células escamosas cutâneo (cSCC), epitelioma espinocelular, carcinoma epidermoide |
![]() | |
| O carcinoma espinocelular da pele tende a surgir a partir de lesões pré-malignas. A superfície é geralmente escamosa e muitas vezes forma úlceras (imagem). | |
| Especialidade | Dermatologia, cirurgia plástica, otorrinolaringologia |
| Sintomas | Nódulo duro com superfície escamosa ou ulceração.[1] |
| Fatores de risco | Radiação ultravioleta, ceratose actínica, pele clara, exposição ao arsénico, radioterapia, imunodeficiência, infeção por vírus do papiloma humano[2] |
| Método de diagnóstico | Biópsia[2][3] |
| Condições semelhantes | Queratoacantoma, ceratose actínica, melanoma, verrugas, carcinoma basocelular[4] |
| Prevenção | Diminuir a exposição à radiação UV, protetor solar[5][6] |
| Tratamento | Remoção cirúrgica, radioterapia, quimioterapia[2][7] |
| Prognóstico | Geralmente bom[5] |
| Frequência | 2,2 milhões (2015)[8] |
| Mortes | 51.900 (2015)[9] |
| Classificação e recursos externos | |
| CID-10 | C44 |
| CID-9 | 199 |
| CID-CID-O | M8070/3 |
| MedlinePlus | 000829 |
| eMedicine | derm/401 |
| MeSH | D002294 |
Carcinoma espinocelular ou carcinoma de células escamosas é um dos principais tipos de cancro da pele, a par do carcinoma basocelular e do melanoma.[10] Geralmente apresenta-se na forma de um nódulo duro na pele com superfície escamosa, embora possa também formar uma úlcera.[1] A doença desenvolve-se ao longo de meses.[4] O carcinoma espinocelular tem maior probabilidade de se espalhar para outras partes do corpo do que o carcinoma basocelular.[11]
O maior fator de risco é uma elevada exposição à radiação ultravioleta emitida pelo Sol.[2] Entre outros fatores de risco estão cicatrizes na pele, feridas crónicas, ceratose actínica, pele clara, doença de Bowen, exposição ao arsénico, radioterapia, imunodeficiência, antecedentes de carcinoma basocelular e infeção por vírus do papiloma humano.[2][12] O risco decorrente de radiação UV está relacionado com a exposição total, e não com a exposição inicial.[13] As camas de bronzeamento estão-se a tornar uma fonte comum de radiação UV.[13] O cancro espinocelular tem origem nas células escamosas da pele.[14] O diagnóstico baseia-se geralmente num exame da pele e pode ser confirmado com uma biópsia.[2][3]
A diminuição da exposição a radiação UV e a utilização de protetor solar aparentam ser métodos eficazes para prevenir o cancro espinocelular da pele.[5][6] O tratamento mais comum é a remoção cirúrgica.[2] Quando o cancro é pequeno, a remoção pode ser feita com uma simples excisão. Noutros casos, está recomendada a cirurgia de Mohs.[2] Entre outras opções de tratamento estão a criocirurgia e a radioterapia.[7] Nos casos em que há metástases, podem ser usadas quimioterapia ou biofármacos.[7]
Em qualquer momento de 2015, cerca de 2,2 milhões de pessoas tinham um carcinoma espinocelular.[8] Cerca de 20% de todos os casos de cancro da pele são carcinomas espinocelulares.[15] Cerca de 12% dos homens e 7% das mulheres nos Estados Unidos desenvolvem carcinoma espinocelular em determinado momento da vida.[2] Embora o prognóstico seja geralmente bom, quando ocorrem metástases a taxa de sobrevivência a cinco anos é de cerca de 34%.[4][5] Em 2015, a doença foi a causa de 51 900 mortes em todo o mundo.[9] A idade mais comum de diagnóstico são os 66 anos.[4] As pessoas cujo tratamento foi bem sucedido apresentam um risco acrescido de vir a desenvolver novos episódios.[2]
Sinais e sintomas
O CCE geralmente começa como uma crosta vermelha e escamosa ou como um nódulo firme vermelho ou como uma úlcera elevada. Geralmente é áspero e forma uma crosta que pode coçar e sangrar quando raspado. Cresce lentamente e pode se tornar doloroso.[16]
Causas

A exposição freqüente à luz do sol direta e forte, sem a protetor solar adequada é o principal fator de risco para os cânceres de pele. É o segundo tipo de câncer de pele mais comum, perdendo apenas para o carcinoma de células basais.
O vírus do papiloma humano (HPV) está associado ao CCE na boca, faringe, pulmão, dedos e região anogenital.[18]
Fatores de risco
Os fatores de risco são similares aos de outros cânceres de pele[16]:
- Exposição prolongada aos raios ultravioletas do sol;
- Camas e lâmpadas de bronzeamento;
- Exposição a longo prazo a cancerígenos como arsênico;
- Infecção por HPV;
- Imunodeficiência;
- Exposto à radiação ionizante;
- Histórico familiar de câncer de pele;
- Mais de 50 anos;
- Pele clara, especialmente loiros de olhos claros.
Diagnóstico
É diagnosticado por uma biópsia de pele, com incisão ou excisão, pois raspado não é sensível nem específico. Se completamente extraído e não se percebem linfonodos com metástase pode estar tratado antes mesmo do diagnóstico.[16]
Histologia
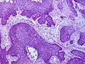
O carcinoma de células escamosas surge da multiplicação descontrolada de células do epitélio e podem conter queratina e redes de filamentos ou desmossomos. Existem 6 sub-tipos: Adenoide, basaloide, células claras, células espinosas, células em anel de sinete e pleomórfico.
-
CCE Adenoide
-
CCE Basaloide
-
CCE de células claras
-
CCE de células espinosas
-
Carcinoma com células em anel de sinete -
Pleomórfico, pobremente diferenciado, sem queratina.
Tratamento
O carcinoma de células escamosas inicialmente pode ser removido completamente com uma pequena cirurgia, com anestesia local, que pode ser feito em um consultório médico ou clínica hospitalar. A cirurgia micrográfica de Mohrs é eficiente em 94% dos casos. Quando aparece na pele inicialmente pode ser tratado com um creme ou gel de 5-fluorouracil (5-FU) ou imiquimod, assim como outros carcinomas superficiais não-melanomas. Casos avançados, por outro lado, precisam de tratamento com radioterapia e quimioterapia.[19]
Epidemiologia

O câncer de pele é o câncer mais comum do Brasil (cerca de 25% de todos os cânceres) e o carcinoma de células escamosas representa 20% dos cânceres de pele. O Instituto Nacional de Câncer (INCA) estimou, para o ano de 2006, 116.640 novos casos de câncer da pele não-melanoma. Em Santa Catarina a incidência de carcinoma de células escamosas da pele foi de 51 por cada 100.000 habitantes no ano 2000, de 71,16 por cada 100.000 em 2003 e de 94,39 por cada 100.000 em 2006, indicando um rápido aumento similar a tendência mundial. Não houve predomínio de gênero. A face foi o local de acometimento mais frequente.[21]
Referências
- ↑ a b Lynne M Dunphy (2011). Primary Care: The Art and Science of Advanced Practice Nursing. [S.l.]: F.A. Davis. p. 242. ISBN 9780803626478. Cópia arquivada em 20 de maio de 2016
- ↑ a b c d e f g h i j Gandhi, SA; Kampp, J (novembro de 2015). «Skin Cancer Epidemiology, Detection, and Management.». The Medical clinics of North America. 99 (6): 1323–35. PMID 26476255
- ↑ a b «Skin Cancer Treatment». National Cancer Institute (em inglês). 21 de junho de 2017. Consultado em 2 de julho de 2017. Cópia arquivada em 4 de julho de 2017
- ↑ a b c d Ferri, Fred F. (2016). Ferri's Clinical Advisor 2017 E-Book: 5 Books in 1 (em inglês). [S.l.]: Elsevier Health Sciences. p. 1199. ISBN 9780323448383. Consultado em 2 de julho de 2017. Cópia arquivada em 29 de agosto de 2017
- ↑ a b c d World Cancer Report 2014. [S.l.]: World Health Organization. 2014. pp. Chapter 5.14. ISBN 9283204298
- ↑ a b Jou, PC; Feldman, RJ; Tomecki, KJ (junho de 2012). «UV protection and sunscreens: what to tell patients.». Cleveland Clinic journal of medicine. 79 (6): 427–36. PMID 22660875. doi:10.3949/ccjm.79a.11110
- ↑ a b c «Skin Cancer Treatment». National Cancer Institute (em inglês). 21 de junho de 2017. Consultado em 2 de julho de 2017. Cópia arquivada em 4 de julho de 2017
- ↑ a b GBD 2015 Disease and Injury Incidence and Prevalence, Collaborators. (8 de outubro de 2016). «Global, regional, and national incidence, prevalence, and years lived with disability for 310 diseases and injuries, 1990-2015: a systematic analysis for the Global Burden of Disease Study 2015.». Lancet. 388 (10053): 1545–1602. PMC 5055577
. PMID 27733282. doi:10.1016/S0140-6736(16)31678-6
- ↑ a b GBD 2015 Mortality and Causes of Death, Collaborators. (8 de outubro de 2016). «Global, regional, and national life expectancy, all-cause mortality, and cause-specific mortality for 249 causes of death, 1980-2015: a systematic analysis for the Global Burden of Disease Study 2015.». Lancet. 388 (10053): 1459–1544. PMC 5388903
. PMID 27733281. doi:10.1016/s0140-6736(16)31012-1
- ↑ «Skin Cancer Treatment (PDQ®)». NCI. 25 de outubro de 2013. Consultado em 30 de junho de 2014. Cópia arquivada em 5 de julho de 2014
- ↑ Cakir, BÖ; Adamson, P; Cingi, C (novembro de 2012). «Epidemiology and economic burden of nonmelanoma skin cancer.». Facial plastic surgery clinics of North America. 20 (4): 419–22. PMID 23084294. doi:10.1016/j.fsc.2012.07.004
- ↑ Opel, Sophia (2016). Textbook of Plastic and Reconstructive Surgery 1 ed. [S.l.]: UCL Press. 65 páginas. ISBN 9781910634394
- ↑ a b Gallagher, RP; Lee, TK; Bajdik, CD; Borugian, M (2010). «Ultraviolet radiation.». Chronic diseases in Canada. 29 Suppl 1: 51–68. PMID 21199599
- ↑ «NCI Dictionary of Cancer Terms». National Cancer Institute. Consultado em 9 de novembro de 2016. Cópia arquivada em 9 de novembro de 2016
- ↑ Stratigos, A; Garbe, C; Lebbe, C; Malvehy, J; del Marmol, V; Pehamberger, H; Peris, K; Becker, JC; Zalaudek, I; Saiag, P; Middleton, MR; Bastholt, L; Testori, A; Grob, JJ; European Dermatology Forum, (EDF).; European Association of Dermato-Oncology, (EADO).; European Organization for Research and Treatment of Cancer, (EORTC). (setembro de 2015). «Diagnosis and treatment of invasive squamous cell carcinoma of the skin: European consensus-based interdisciplinary guideline.». European Journal of Cancer. 51 (14): 1989–2007. PMID 26219687
- ↑ a b c WebMD team. Squamous Cell Carcinoma. http://www.webmd.com/melanoma-skin-cancer/melanoma-guide/squamous-cell-carcinoma#1
- ↑ Macmillan. Types of head-neck cancer. http://www.macmillan.org.uk/Cancerinformation/Cancertypes/Headneck/Aboutheadneckcancers/Typesofheadneckcancer.aspx
- ↑ Yu Y, Yang A, Hu S, Yan H (June 2009). "Correlation of HPV-16/18 infection of human papillomavirus with lung squamous cell carcinomas in Western China". Oncol. Rep. 21 (6): 1627–32. doi:10.3892/or_00000397
- ↑ The Skin Cancer Foundation 2016. Squamous Cell Carcinoma (SCC). http://www.skincancer.org/skin-cancer-information/squamous-cell-carcinoma/scc-treatment-options
- ↑ «WHO Disease and injury country estimates». World Health Organization. 2009. Consultado em 11 de novembro de 2009
- ↑ Daniel Holthausen Nunes, Liliane Back, Ramon Vieira e Silva e Vitor de Sousa Medeiros. Incidência do carcinoma de células escamosas da pele na cidade de Tubarão (SC) – Brasil nos anos de 2000, 2003 e 2006. Anais Brasileiros de Dermatologia 2009;84(5):482-8. http://www.scielo.br/pdf/abd/v84n5/v84n05a06.pdf
