Epitélio

Relação do tecido epitelial com outras células e matrizes extracelulares
Tecido epitelial do esôfago de um Mus musculus (a superfície externa em rosa mais intenso)

Epitélio ou tecido epitelial (do grego epí, «sobre» + thelé, «mamilo»[1]) é um dos quatro tipos de tecidos básicos do organismo humano. O tecido epitelial apresenta mínimas quantidades de matriz extracelular, de modo que as células epiteliais ficam justapostas entre si.[2] As células epiteliais podem, em alguns casos, formar estruturas especializadas chamadas glândulas.[2] Esse tecido possui duas funções principais: revestir a superfície externa e de diversas cavidades internas do organismo, além de ser responsável pela secreção e excreção de substâncias.[2] Camadas epiteliais são avasculares (ou seja, sem irrigação por pequenos vasos sanguíneos), por isso recebem alimentação via difusão de substâncias a partir dos tecidos conjuntivos subjacentes, através da membrana basal.[3] Tecidos sem essa membrana são chamados de epitelioides.

Sua origem provem dos folhetos germinativos embrionários da ectoderme, mesoderme e endoderme.[4] O tecido epitelial que se encontra na pele é chamado de epiderme. Além de proteger o corpo contra os organismos invasores, a epiderme defende na ação de certos produtos químicos, e também do atrito e do sol.

Estrutura

As células são mantidas unidas através de junções. As principais junções são os desmossomos, zônulas de aderência, zônulas de oclusão, junções comunicantes ou gap e os hemidesmossomos, que ligam as células epiteliais à lâmina basal e entre si. Via de regra, as junções empregam proteínas integrais de membrana, associadas ou não a elementos do citoesqueleto.

As células do tecido epitelial da pele são muito unidas, sendo este epitélio estratificado. Já o tecido epitelial que reveste os órgãos onde há trocas de substâncias, é simples. Essa diferença acontece pois a função da pele é evitar que corpos estranhos entrem no nosso organismo, agindo como uma espécie de barreira. Protege também contra o atrito, efeitos solares e produtos químicos. Já no revestimento dos órgãos, o tecido não pode ser tão grosso, pois nele há trocas de substâncias.

O tecido epitelial apresenta vários tipos de funções, como proteção e revestimento (pele, por exemplo), secreção, no tecido epitelial do tipo glandular (como é o caso do estômago), "secreção e absorção" (que é o caso do intestino), impermeabilização (bexiga urinária), etc. O tecido epitelial reveste o corpo humano e suas cavidades. Compõe-se quase exclusivamente de células poliédricas, justapostas, ou seja, muito unidas, com pouca ou até nenhuma substância intercelular entre elas, aderidas firmemente umas às outras por meio de junções intercelulares (estruturas associadas à membrana plasmática das células que contribuem para a coesão e comunicação entre as mesmas) ou por meio de proteínas integrais da membrana (caderinas, que perdem a sua adesividade na ausência de cálcio).[5]

Classificações por organização

Classificação dos diferentes tipos de epitélio

Os epitélios são classificados de acordo com três fatores:

Quanto à forma da célula (porção apical)
  • Escamoso ou pavimentoso: quando as células são chatas como escamas, sendo assim pavimentoso estratificado para-queratinizado.
  • Cúbico: quando as células têm forma de cubo.
  • Cilíndrico, colunar ou prismáticoː quando as células são alongadas em forma de colunas.
  • De transição: quando uma célula muda sua forma, variando de pavimentoso a colunar.

Observação importante: as células dos epitélios glandulares são altamente especializadas na secreção de certas substâncias, por isso possuem abundante retículo endoplasmático, complexo de Golgi e mitocôndrias.

Quanto ao número de camadas (Estratificação)
  • Simples: somente uma única camada de células em contato com a lâmina. Podem ser classificadas em pavimentosas, cúbicas e prismáticas ou colunar. Um exemplo é o revestimento de vasos sanguíneos.
  • Estratificado: várias camadas de células, mas somente a mais profunda entra em contato com a lâmina basal. Pode ser classificado em pavimentoso queratinizado (seco), pavimentoso não-queratinizado (úmido), transição e prismático ou colunar, tendo como exemplo a própria pele.
  • Pseudoestratificado: possui apenas uma camada celular, com núcleos em diferentes alturas, dando a impressão de várias camadas em contato com a lâmina, mas suas células têm tamanhos diferentes e suas posições estão, em geral, invertidas alternadamente. Nem todas as células alcançam a superfície, mas todas se apoiam na lâmina basal.
Quanto a presença de Especializações de superfícies
  • Microvilos: são projeções microscópicas da membrana plasmática em forma de dedo de luva, o que aumenta a sua área superficial. Exemploː parede do intestino delgado.
  • Cílios: prolongamento celulares móveis que batem em ritmo ondular e sincrônico que tende a propelir partículas superficiais.[6] Podem ser divididos em cílios móveis múltiplos, que coordenam a movimentação de fluidos e substâncias sobre o epitélio, e o ciliar imóvel único, importante para vias de sinalização (ex. via Hedhegog) necessárias para a diferenciação embrionária dos epitélios. Exemplo: revestimento da traqueia, brônquios, tuba uterina e célula pilosa do órgão espiral.
  • Estereocílios: prolongamentos extremamente longos e imóveis que podem ser vistos em microscopia óptica - encontram-se em pequenos números no organismo humano, podendo ser encontrados no canal deferente, epidídimo e células pilosas do ouvido.

Classificações por função

Células Neuroepiteliais

Consiste num conjunto de células especializadas na captação de estímulos (cheiro, gosto), provenientes do ambiente. Os neuroepitélios são constituídos por células epiteliais com função sensorial encontradas nos órgãos da audição, da olfação e da gustação, geralmente ao lado do epitélio de revestimento.

Células Mioepiteliais ou Microepitelios

Consiste num conjunto de células ramificadas que contêm miosina e um grande número de filamentos de actina. Elas são capazes de contração, agindo, por exemplo, nas porções secretoras das glândulas mamárias, sudoríparas e salivares.

São formadas por um conjunto de células especializadas cuja função é a produção e liberação de secreção. As células secretoras de uma glândula são conhecidas como parênquima, enquanto que o tecido conjuntivo no interior da glândula, que sustenta as células secretoras, é denominado de estroma. O estroma sustenta também vasos sanguíneos, vasos linfáticos e nervos. As moléculas a serem secretadas geralmente são armazenadas nas células em pequenas vesículas envolvidas por uma membrana, chamadas grânulos de secreção. As células epiteliais glandulares podem sintetizar, armazenar e secretar proteínas (por exemplo o pâncreas), lipídios (por exemplo, as glândulas sebáceas) ou complexos de carboidratos e proteínas (por exemplo, as glândulas salivares). As glândulas mamárias secretam todos os três tipos de substâncias.

Células Epiteliais Glandulares

As células epiteliais glandulares são especializadas em sintetizar, armazenar e secretar substâncias. Estas podem ser proteínas (no caso do pâncreas), lipídios (nas glândulas sebáceas e adrenais) ou complexos de carboidratos e proteínas (por exemplo, nas glândulas salivares). Já o leite, produto de secreção das glândulas mamárias, contém esses três tipos de substâncias. De um modo geral, o composto a ser secretado é temporariamente acumulado no citoplasma da célula glandular e fica armazenado em estruturas membranosas chamadas de vesículas ou grânulos de secreção.[7]

O termo glândula é normalmente usado para designar agregados maiores e mais complexos de células epiteliais glandulares. São as glândulas pluricelulares, como o pâncreas e as adrenais. Mas se essas células aparecem isoladas, cada uma delas é chamada de glândula unicelular, a exemplo das células caliciformes da traqueia e brônquios.

O produto de secreção pode deixar a célula de diferentes maneiras. Se sai apenas a substância a ser secretada, a glândula é chamada de merócrina (do grego, merós [parte, parcial]; crina [secreção]). Diferente da holócrina (do grego, holos [total]), na qual todo o conteúdo da célula é expelido e Apócrina onde o produto da secreção é descarregado junto com as porções do citoplasma [7]

Classificações das células glandulares

Epitélio glandular tubulo-acinar composto possui múltiplas formas de tubo e de sino
Epitélio glandular tubular composto possui múltiplas formas de tubo
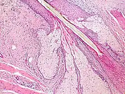
Glândulas sebáceas (acinosa simples) próximas a um pelo (10x em microscópio óptico)

Quanto ao número de células

As glândulas são sempre formadas a partir de epitélios de revestimento cujas células proliferam e invadem o tecido conjuntivo subjacente, após o que sofrem diferenciação adicional. Elas podem ser classificadas quanto a organização:

  • Unicelulares: uma única célula secretora isolada (geralmente cercada por outras células não glandulares);
  • Multicelulares: composta por agrupamentos de células secretoras.

Quanto ao local de secreção

As glândulas exócrinas mantêm sua conexão com o epitélio do qual se originaram. Esta conexão toma a forma de ductos tubulares formados por células epiteliais e através destes ductos as secreções são eliminadas, alcançando a superfície do corpo ou uma cavidade. Este tipo de glândula tem uma porção secretora constituída pelas células responsáveis pelo processo secretório e ductos que transportam a secreção eliminada das células. Quanto aos ductos, são:

  • Simples: Têm somente um ducto secretor não-ramificado. As glândulas simples podem ser, de acordo com a forma de sua porção secretora tubulares apresentando um ducto em forma de tubo (glândulas do intestino), tubulares contorcidas (glândula sudorípara), tubulares ramificadas (glândulas do estômago) ou acinosas apresentando formato de sino (glândula sebácea);
  • Composta: Têm ductos secretores ramificados, que nas grandes glândulas atingem altos níveis de complexidade. Podem ser tubulares (forma de tubo), acinosas (forma de sino) ou túbulo-acinosas (forma de tubo e sino). Exemplo de glândula composta é a glândula salivar, Submandibular.

Nas glândulas endócrinas a conexão com o epitélio foi obliterada durante o desenvolvimento. Estas glândulas, portanto, não têm ductos e suas secreções são lançadas no sangue e transportadas para o seu local de ação pela circulação. Existem 2 tipos de glândulas endócrinas:

  • Cordonal: as células formam cordões anastomosados, entremeados por capilares sanguíneos (por exemplo, a paratireoide e lobo anterior da hipófise);
  • Folicular: as células formam vesículas ou folículos preenchidos de material secretado (por exemplo, a glândula tireoide).

Quanto ao tipo de secreção

  • Holócrinas (do grego: holos <total>, crina <secreção>): glândulas cujas células são eliminadas juntamente com os produtos de secreção. As células eliminadas são substituídas a partir de células-fonte existentes na glândula. Ex. Glândula sebácea.
  • Apócrinas (do grego, após <extremidade>): glândulas cujas parte (pedaço) das células são eliminadas, juntamente com os produtos de secreção, parte do citoplasma apical (extremidade superior) no qual a secreção fica acumulada. Ex. Glândulas mamárias.
  • Merócrinas (do grego, merós <parte, parcial>): glândulas cujas células eliminam somente o produto de secreção, permanecendo o restante da célula intacto. Ex. A maioria das glândulas exócrinas, como as sudoríparas, os ácinos pancreáticos e as salivares.

Tecido epitelial de revestimento

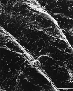
Pele humana vista em microscópio eletrônico de varredura

O tecido epitelial de revestimento possui peculiaridades que estão diretamente ligadas às suas funções. As células estão intimamente ligadas por meio dos complexos unitivos ou juncionais, há escassez de material intercelular (matriz extracelular) e há o que chamamos de polaridade celular (polo apical - aquele voltado para a luz do órgão e polo basal - aquele em contato com a membrana basal).

Como função do epitélio de revestimento podemos citar o órgão de impacto imediato do organismo, a pele, a qual possui o epitélio do tipo pavimentoso estratificado queratinizado, que impede a ação microbiológica patogênica conferindo proteção, evita o ressecamento do organismo e ameniza a ação de choques mecânicos. Está presente nos órgãos e é ele que recobre toda e qualquer cavidade (exemplo a cavidade gastrointestinal e respiratória).

O epitélio de revestimento pode ser classificado de acordo com o número de camadas: epitélio simples e epitélio estratificado e uma subclassificação o epitélio pseudo-estratificado. E quanto à sua forma: pavimentoso, cúbico e prismático, colunar ou cilíndrico. Epitélios simples possuem apenas uma camada de células. Epitélios estratificados contêm mais de uma camada de células. Epitélios pseudo-estratificados são assim chamados pois, embora sejam formados por apenas uma camada de células, os núcleos parecem estar em várias camadas. Todas as células estão apoiadas na lâmina basal, mas nem todas alcançam a superfície do epitélio, fazendo com que a posição dos núcleos seja variável.

O endotélio, que reveste os vasos sanguíneos e linfáticos, e o mesotélio, que reveste cavidades do corpo, como a cavidade pleural e peritoneal, e também recobre as vísceras, são exemplos de epitélios pavimentosos simples. Um exemplo de epitélio cúbico é o epitélio que reveste externamente o ovário, e um exemplo de epitélio prismático é o revestimento do intestino delgado. Um exemplo de epitélio pseudo-estratificado prismático ciliado é o que reveste as passagens respiratórias.[8]

Ver também

  • Célula endotelial

Referências

  1. Infopédia. «epitelio | Definição ou significado de epitelio no Dicionário Infopédia da Língua Portuguesa». Infopédia - Dicionários Porto Editora. Consultado em 3 de maio de 2021 
  2. a b c JUNQUEIRA, L. C; CARNEIRO, J. (2013). Histologia Básica: Texto e Atlas. Rio de Janeiro: Guanabara Koogan. 556 páginas 
  3. «Tecido epitelial de revestimento - Histologia». InfoEscola. Consultado em 3 de maio de 2021 
  4. «isbn:8527714027 - Pesquisa Google». books.google.com.br. Consultado em 22 de setembro de 2016 
  5. JUNQUEIRA, Luís Carlos; CARNEIRO, José. Histologia Básica. 10.ed. Rio de Janeiro: Guanabara-Koogan, 2004.
  6. Kierszenbaum, Abraham (2016). Histologia e Biologia Celular. Rio de Janeiro: Elsevier. 2 páginas 
  7. a b Junqueira 1999, p. 59
  8. JUNQUEIRA, L.C.; CARNEIRO, J. Histologia Básica. 10.ed. Rio de Janeiro: Guanabara-Koogan, 2004.

Bibliografia

  • Gitirana, Lycia de Brito (2004). Histologia - Conceitos Básicos dos Tecidos 1ª ed. São Paulo: Atheneu. 172 páginas. ISBN 8573796774 
  • Junqueira, Luiz Carlos Uchôa; Carneiro, José (1999). Histologia Básica 9ª ed. Rio de Janeiro: Guanabara Koogan. 474 páginas. ISBN 8527705168 
  • Mills, Stacey E (2007). Histology for Pathologists (em inglês) 3ª ed. [S.l.]: Lippincott Williams & Wilkins. 1272 páginas. ISBN 0781762413 

Ligações externas