Mioepitelioma
O mioepitelioma é uma neoplasia benigna de glândulas salivares, com origem nas células mioepiteliais.[1][2]
Sinais e sintomas
O mioepitelioma é caracterizado como uma massa bem circunscrita, assintomática, de crescimento lento.[1] Ele não possui nenhuma característica clínica distinta de outros tumores de glândulas salivares.[1][3]
Aspectos radiográficos e histológicos

Na tomografia computadorizada, normalmente o mioepitelioma se apresenta como uma lesão circunscrita de aspecto hiperdenso com margens lisas ou lobuladas, podendo ou não conter nódulos hiperdensos ou áreas lineares hipodensas em forma de cistos ou linhas.[1][4] Na ressonância magnética, também se apresenta como uma lesão lobulada bem circunscrita de sinal heterogêneo difuso, mais semelhante a um adenoma pleomórfico.[1]
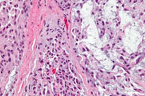
Histologicamente, é caracterizado por ser predominantemente (>95%) composto por células mioepiteliais, sejam elas de características fusiforme, epitelioide, plasmocitoide, claras ou oncocíticas.[1][5] São bem delimitados ou até mesmo encapsulados, e o estroma tumoral, quando presente, pode ser fibroso, hialinizado, mixoide ou mucinoso, raramente tendo aspecto lipomatoso.[1] A arquitetura tecidual pode ser dividida em algumas formas: sólida; mixoide; reticular (ou canalicular); ou uma mistura de mais de uma forma, sem diferenciação ductal.[1]
Uma variante rara é o mioepitelioma mucinoso, que contém mucina intracelular e pode se assemelhar ao carcinoma de células em anel de sinete, e deve ser diferenciado por marcadores imuno-histoquímicos do carcinoma secretório.[1][6]
Causas
As células mioepiteliais são células contráteis de origem na ectoderme, encontradas em tecido glandular, e auxiliam na excreção da glândula: teoriza-se que a diferenciação das células entre epiteliais e mioepiteliais seja a origem do tumor, o que explica a morfologia variável das células tumorais.[1][5][7][8] Também se teoriza que o mioepitelioma e o adenoma pleomórfico sejam parte de um espectro de tumores com uma mutação no cromossomo 12q em comum.[1][9]
Epidemiologia
Representa 1% dos tumores de glândula salivar, afetando principalmente a parótida (40%) e glândulas salivares menores (21%).[1][10][11] Usualmente afeta pessoas entre 40 e 50 anos, sem predileção por sexo.[1][5]
Dos tumores de glândulas salivares maiores, representa 2,2% dos casos e normalmente afeta pacientes mais velhos, com histologia fusiforme ou epitelioide.[1][12][13] Das glândulas salivares menores, representa 5,7% de todas as neoplasias e afeta pacientes mais jovens, com histologia plasmocitoide.[1][12][13]
Diagnóstico
O diagnóstico se dá pelo exame anatomopatológico.[1] A imuno-histoquímica pode auxiliar no diagnóstico: normalmente o mioepitelioma é positivo para GFAP, S100, SMA, calponina, HHF35, actina específica de músculo, CD10, CK14, CEA e p63.[1][14][15] Contudo, a variante plasmocitoide pode ser negativa para todos os marcadores mioepiteliais.[1]
O diagnóstico diferencial inclui:[1]
- Carcinoma mioepitelial;
- Adenoma de células basais;
- Adenoma pleomórfico;
- Plasmocitoma;
- Hemangiopericitoma;
- Histiocitoma fibroso;
- Leiomioma;
- Leiomiossarcoma;
- Sarcoma sinovial;
- Tumores da bainha nervosa (neurilemomas, Schwannomas);
- Outras neoplasias de tecidos moles de aspecto fusiforme.
Prognóstico e tratamento
O mioepitelioma possui bom prognóstico, tendo menor chance de recidiva do que o adenoma pleomórfico.[1] O tratamento de escolha é a ressecção cirúrgica total com margens livres, e a ressecção incompleta aumenta as chances de recidiva; o acompanhamento regular é recomendado.[1][16][17]
A transformação maligna em um carcinoma mioepitelial é extremamente rara.[1][18][19]
Ver também
- Adenoma pleomórfico
- Carcinoma mioepitelial
Referências
- ↑ a b c d e f g h i j k l m n o p q r s t u v Zhao, Xiaofeng; Wei, Shuanzeng. «Myoepithelioma». Pathology Outlines. Consultado em 21 de janeiro de 2025
- ↑ Barnes, Leon; Appel, Billy N.; Perez, Horacio; Moneim El-Attar, A. (1985). «Myoepitheliomas of the head and neck: Case report and review». Journal of Surgical Oncology (em inglês) (1): 21–28. ISSN 1096-9098. doi:10.1002/jso.2930280107. Consultado em 21 de janeiro de 2025
- ↑ Habermann, C. R.; Arndt, C.; Graessner, J.; Diestel, L.; Petersen, K. U.; Reitmeier, F.; Ussmueller, J. O.; Adam, G.; Jaehne, M. (março de 2009). «Diffusion-weighted echo-planar MR imaging of primary parotid gland tumors: is a prediction of different histologic subtypes possible?». AJNR. American journal of neuroradiology (3): 591–596. ISSN 1936-959X. PMC 7051445
. PMID 19131405. doi:10.3174/ajnr.A1412. Consultado em 21 de janeiro de 2025
- ↑ Wang, S.; Shi, H.; Wang, L.; Yu, Q. (agosto de 2008). «Myoepithelioma of the parotid gland: CT imaging findings». AJNR. American journal of neuroradiology (7): 1372–1375. ISSN 1936-959X. PMC 8119138
. PMID 18467518. doi:10.3174/ajnr.A1109. Consultado em 21 de janeiro de 2025
- ↑ a b c Nair, Bindu J.; Vivek, Velayudhannair; Sivakumar, Trivandrum T.; Joseph, Anna P.; Varun, Babyamma Raghavanpillai; Mony, Vinod (27 de março de 2014). «Clear cell myoepithelioma of palate with emphasis on clinical and histological differential diagnosis». Clinics and Practice (1). 628 páginas. ISSN 2039-7275. PMC 4019922
. PMID 24847433. doi:10.4081/cp.2014.628. Consultado em 21 de janeiro de 2025
- ↑ Gnepp, Douglas R. (julho de 2013). «Mucinous myoepithelioma, a recently described new myoepithelioma variant». Head and Neck Pathology (Suppl 1): S85–89. ISSN 1936-0568. PMC 3712094
. PMID 23821216. doi:10.1007/s12105-013-0464-x. Consultado em 21 de janeiro de 2025
- ↑ Kermani, Wassim; Belcadhi, Malek; Ben Ali, Moncef; Sriha, Badreddine; Bouzouita, Kamel (julho de 2011). «Myoepithelioma of the vallecula: a case report». Ear, Nose, & Throat Journal (7): E9–E11. ISSN 1942-7522. PMID 21792791. doi:10.1177/014556131109000720. Consultado em 21 de janeiro de 2025
- ↑ Mochizuki, Yumi; Omura, Ken; Tanaka, Kae; Sakamoto, Kei; Yamaguchi, Akira (junho de 2013). «Myoepithelioma of the Parotid Gland Presenting as a Retroauricular Cutaneous nodule: A Case Report». Journal of clinical and diagnostic research: JCDR (6): 1165–1168. ISSN 2249-782X. PMC 3708225
. PMID 23905130. doi:10.7860/JCDR/2013/6037.3096. Consultado em 21 de janeiro de 2025
- ↑ el-Naggar, A. K.; Lovell, M.; Callender, D. L.; Ordonez, N. G.; Killary, A. M. (agosto de 1999). «Cytogenetic analysis of a primary salivary gland myoepithelioma». Cancer Genetics and Cytogenetics (1): 49–53. ISSN 0165-4608. PMID 10459346. doi:10.1016/s0165-4608(98)00280-5. Consultado em 21 de janeiro de 2025
- ↑ Iguchi, Hiroyoshi; Yamada, Kei; Yamane, Hideo; Hashimoto, Shigeo (maio de 2014). «Epithelioid myoepithelioma of the accessory parotid gland: pathological and magnetic resonance imaging findings». Case Reports in Oncology (2): 310–315. ISSN 1662-6575. PMC 4049025
. PMID 24932173. doi:10.1159/000363099. Consultado em 21 de janeiro de 2025
- ↑ Nayak, Jayakar V.; Molina, J. Thomas; Smith, Jonathan C.; Branstetter, Barton F.; Hunt, Jennifer L.; Snyderman, Carl H. (março de 2003). «Myoepithelial neoplasia of the submandibular gland: case report and therapeutic considerations». Archives of Otolaryngology--Head & Neck Surgery (3): 359–362. ISSN 0886-4470. PMID 12622550. doi:10.1001/archotol.129.3.359. Consultado em 21 de janeiro de 2025
- ↑ a b Hornick, Jason L.; Fletcher, Christopher D. M. (setembro de 2003). «Myoepithelial tumors of soft tissue: a clinicopathologic and immunohistochemical study of 101 cases with evaluation of prognostic parameters». The American Journal of Surgical Pathology (9): 1183–1196. ISSN 0147-5185. PMID 12960802. doi:10.1097/00000478-200309000-00001. Consultado em 21 de janeiro de 2025
- ↑ a b Simpson, R. H.; Jones, H.; Beasley, P. (julho de 1995). «Benign myoepithelioma of the salivary glands: a true entity?». Histopathology (1): 1–9. ISSN 0309-0167. PMID 7557900. doi:10.1111/j.1365-2559.1995.tb00284.x. Consultado em 21 de janeiro de 2025
- ↑ Franke, W. W.; Schmid, E.; Freudenstein, C.; Appelhans, B.; Osborn, M.; Weber, K.; Keenan, T. W. (março de 1980). «Intermediate-sized filaments of the prekeratin type in myoepithelial cells». The Journal of Cell Biology (3): 633–654. ISSN 0021-9525. PMC 2110574
. PMID 6153658. doi:10.1083/jcb.84.3.633. Consultado em 21 de janeiro de 2025
- ↑ Nagao, Toshitaka; Sato, Eiichi; Inoue, Rie; Oshiro, Hisashi; H Takahashi, Reisuke; Nagai, Takeshi; Yoshida, Maki; Suzuki, Fumie; Obikane, Hiyo (31 de outubro de 2012). «Immunohistochemical analysis of salivary gland tumors: application for surgical pathology practice». Acta Histochemica Et Cytochemica (5): 269–282. ISSN 0044-5991. PMC 3496863
. PMID 23209336. doi:10.1267/ahc.12019. Consultado em 21 de janeiro de 2025
- ↑ Nair, Bindu J.; Vivek, Velayudhannair; Sivakumar, Trivandrum T.; Joseph, Anna P.; Varun, Babyamma Raghavanpillai; Mony, Vinod (27 de março de 2014). «Clear cell myoepithelioma of palate with emphasis on clinical and histological differential diagnosis». Clinics and Practice (1). 628 páginas. ISSN 2039-7275. PMC 4019922
. PMID 24847433. doi:10.4081/cp.2014.628. Consultado em 21 de janeiro de 2025
- ↑ Maiorano, E.; Altini, M.; Favia, G. (agosto de 1997). «Clear cell tumors of the salivary glands, jaws, and oral mucosa». Seminars in Diagnostic Pathology (3): 203–212. ISSN 0740-2570. PMID 9279976. Consultado em 21 de janeiro de 2025
- ↑ Bombí, J. A.; Alós, L.; Rey, M. J.; Mallofré, C.; Cuchi, A.; Trasserra, J.; Cardesa, A. (1996). «Myoepithelial carcinoma arising in a benign myoepithelioma: immunohistochemical, ultrastructural, and flow-cytometrical study». Ultrastructural Pathology (2): 145–154. ISSN 0191-3123. PMID 8882360. doi:10.3109/01913129609016309. Consultado em 21 de janeiro de 2025
- ↑ Savera, A. T.; Sloman, A.; Huvos, A. G.; Klimstra, D. S. (junho de 2000). «Myoepithelial carcinoma of the salivary glands: a clinicopathologic study of 25 patients». The American Journal of Surgical Pathology (6): 761–774. ISSN 0147-5185. PMID 10843278. doi:10.1097/00000478-200006000-00001. Consultado em 21 de janeiro de 2025