Adenoma canalicular
O adenoma canalicular é um tipo de neoplasia benigna de glândulas salivares originário das células dos ductos terminais das glândulas.[1]
Sinais e sintomas
É caracterizado como uma massa de crescimento lento, mas também pode se apresentar como múltiplos nódulos, ainda que não seja clinicamente invasivo ou maligno.[1][2][3] Possui tamanho pequeno, em média de 1,6 cm.[2]
Apesar de muitos serem assintomáticos, alguns podem causar dor, ulceração da mucosa, edema ou desconforto.[1]
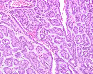
Aspectos radiográficos e histológicos

Na ultrassonografia, o adenoma canalicular se apresenta como uma massa relativamente homogênea e pouco ecoica, contendo um líquido de baixa viscosidade.[1][4] Na ressonância magnética, aparece como uma lesão isointensa em T1 e de hipersinal em T2.[1][4]
Histologicamente, o adenoma canalicular é caracterizado por ser uma neoplasia benigna composta por epitélio cuboide ou colunar formando canalículos, dispostas em ilhotas ou cordões de células com espaços císticos entre esses cordões.[1] Esse tumor pode infiltrar a cápsula e até mesmo formar tumores microssatélites extracapsulares.[1] O estroma tumoral é composto por tecido conjuntivo frouxo bem vascularizado.[1][2]
Em alguns casos, pode haver focos de células basaloides ou oncocíticas, assim como metaplasia mucinosa.[1][2] No estroma é possível encontrar histiócitos e focos de degeneração ou hemorragia.[1][2]
Necrose é excepcionalmente encontrada, assim como mitoses, estando normalmente ambas ausentes.[1][2] Não há registros de transformação maligna deste tumor, mas ele é ocasionalmente reportado como um tumor híbrido ou de colisão com outra neoplasia.[1][2][5]
Causas
A etiologia é desconhecida.[1]
Epidemiologia
O adenoma canalicular representa 1 a 3% dos tumores de glândula salivar, afetando mais as glândulas salivares menores (4 a 6%), especialmente no palato ou bochechas.[1][6] Afeta mais mulheres do que homens, e especialmente pacientes após os 50 anos.[1]
Diagnóstico
O diagnóstico se dá pelo exame anatomopatológico, e apesar de não ser necessário, pode-se utilizar imuno-histoquímica para fins diagnósticos: o adenoma canalicular é positivo para pancitoqueratina, S100 e SOX10, com delicada positividade para GFAP nas células periféricas.[1][2][7][8][9]
O diagnóstico diferencial inclui:[1]
- Mucocele;
- Vaso trombosado;
- Lipoma;
- Outros tumores de glândulas salivares:
- Adenoma de células basais;
- Adenoma pleomórfico;
- Carcinoma adenoide cístico;
- Adenocarcinoma polimórfico.
Prognóstico e tratamento
O prognóstico é favorável, especialmente em casos unifocais.[1] Em geral, a recidiva é de 3% após o tratamento de escolha, que é a cirurgia de ressecção, mas lesões multifocais podem ter risco aumentado de recidiva; em alguns casos, a persistência de lesões multifocais pode ser indistinguível da recidiva.[1][2]
Referências
- ↑ a b c d e f g h i j k l m n o p q r s Handra-Luca, Adriana. «Canalicular adenoma». Pathology Outlines. Consultado em 10 de janeiro de 2025
- ↑ a b c d e f g h i Lester D. R. Thompson; Bauer, Justin L.; Chiosea, Simion; McHugh, Jonathan B.; Seethala, Raja R.; Miettinen, Markku; Müller, Susan (junho de 2015). «Canalicular Adenoma: A Clinicopathologic and Immunohistochemical Analysis of 67 Cases with a Review of the Literature». Head and Neck Pathology (em inglês) (2). doi:10.1007/ Verifique
|doi=(ajuda). Consultado em 10 de janeiro de 2025 - ↑ Penner, Carla R.; Thompson, Lester D.R. (1 de março de 2005). «Canalicular Adenoma». Ear, Nose & Throat Journal (em inglês) (3): 132–132. ISSN 0145-5613. doi:10.1177/014556130508400306. Consultado em 10 de janeiro de 2025
- ↑ a b Harada, Kazuma; Tanaka, Susumu; Oya, Kaori; Uchihashi, Toshihiro; Yokota, Yusuke; Seki, Soju; Fujishita, Yohei; Kogo, Mikihiko (1 de novembro de 2020). «Multiple canalicular adenomas arising in the buccal mucosa and upper lip: Case report and literature review». Journal of Oral and Maxillofacial Surgery, Medicine, and Pathology (6): 525–528. ISSN 2212-5558. doi:10.1016/j.ajoms.2020.07.016. Consultado em 10 de janeiro de 2025
- ↑ Seifert, G.; Donath, K. (julho de 1996). «Hybrid tumours of salivary glands. Definition and classification of five rare cases». European Journal of Cancer. Part B, Oral Oncology (4): 251–259. ISSN 0964-1955. PMID 8776422. doi:10.1016/0964-1955(95)00059-3. Consultado em 10 de janeiro de 2025
- ↑ Suarez, Patricia; Hammond, Harold L.; Luna, Mario A.; Stimson, Paul G. (1 de agosto de 1998). «Palatal canalicular adenoma: Report of 12 cases and review of the literature». Annals of Diagnostic Pathology (4): 224–228. ISSN 1092-9134. doi:10.1016/S1092-9134(98)80011-7. Consultado em 10 de janeiro de 2025
- ↑ Ferreiro, Jorge A. (1 de dezembro de 1994). «Immunohistochemical analysis of salivary gland canalicular adenoma». Oral Surgery, Oral Medicine, Oral Pathology (6): 761–765. ISSN 0030-4220. doi:10.1016/0030-4220(94)90093-0. Consultado em 10 de janeiro de 2025
- ↑ Huebner, Thomas A.; Almubarak, Hussain; Drachenberg, Cinthia B.; Papadimitriou, John C. (1 de abril de 2014). ISSN 0191-3123. doi:10.3109/01913123.2013.833564 https://www.tandfonline.com/doi/full/10.3109/01913123.2013.833564. Consultado em 10 de janeiro de 2025 Em falta ou vazio
|título=(ajuda) - ↑ Curran, Alice E.; Allen, Carl M.; Beck, F. Michael; Damm, Douglas D.; Murrah, Valerie A. (1 de setembro de 2007). «Distinctive Pattern of Glial Fibrillary Acidic Protein Immunoreactivity Useful in Distinguishing Fragmented Pleomorphic Adenoma, Canalicular Adenoma and Polymorphous Low Grade Adenocarcinoma of Minor Salivary Glands». Head and Neck Pathology (em inglês) (1): 27–32. ISSN 1936-0568. PMC 2807497
. PMID 20614277. doi:10.1007/s12105-007-0003-8. Consultado em 10 de janeiro de 2025
Ver também
- Adenoma de glândula salivar