Tumor de Warthin
| Tumor de Warthin | |
|---|---|
![]() | |
| Especialidade | oncologia |
| Classificação e recursos externos | |
| CID-11 | XH2CQ8 |
| CID-10 | D11 |
| CID-9 | 210.2 |
| CID-CID-O | 8561/0 |
| DiseasesDB | 31941 |
| eMedicine | plastic/371 |
| MeSH | D000235 |
O Tumor de Warthin, cistoadenoma linfomatoso papilar ou cistoadenolinfoma é um tipo de tumor benigno das glândulas salivares.[1] Seu nome é uma homenagem ao patologista Aldred Scott Warthin, que descreveu dois casos desse tumor em 1929.[2]
Sinais e sintomas
O tumor de Warthin normalmente se apresenta como uma massa indolor de crescimento lento, flutuante, no polo inferior da glândula parótida: por afetar quase que exclusivamente a parótida, em alguns casos seu crescimento pode comprimir o nervo facial, causando paralisia de Bell.[1][3][4]
Usualmente é único, mas pode ocorrer bilateralmente (5 a 17% dos casos) ou serem múltiplos (12 a 20% dos casos).[1][5][6][7]
Aspectos radiográficos e histológicos
Radiograficamente, o tumor de Warthin tende a apresentar alterações císticas e multifocalidade nos exames de imagem.[1] Ele possui uma avidez especial por glicose no PET-TC, destacando a lesão.[1][8] Por ser assintomático, ele é frequentemente um achado incidental.[1]
.jpg)
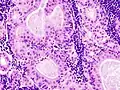
Histologicamente, o tumor de Warthin é composto por células epiteliais oncocíticas em bicamada revestindo estruturas císticas ou papilares, permeadas por um estroma linfoide, que inclui centros germinativos.[1] O componente epitelial é composto por uma camada de epitélio colunar interno, e epitélio cuboidal externo.[1] Alguns tumores possuem uma quantidade mínima de estroma linfoide.[1]
Pode haver focos de células escamosas, mucinosas, ciliadas ou sebáceas em raros pontos.[1]
Existe um subtipo de tumor de Warthin chamado de infartado ou metaplásico que é caracterizado pela substituição do epitélio em bicamada por um epitélio escamoso metaplásico sem atipia celular; em alguns desses tumores, pode haver metaplasia mucinosa também.[1][9][10] Normalmente esses tumores apresentam necrose, metaplasia escamosa ou reação estromal com formação de um granuloma no local da biópsia, necessitando de maior atenção clínica.[1][9][10]
Causas
Sua etiologia é desconhecida, mas sabe-se que há uma forte associação com o tabagismo, especialmente nos tumores bilaterais: fumantes possuem 8,3 vezes mais chances de desenvolver o tumor, em comparação com a população não-fumante e a maioria fumou por mais de 20 anos.[1][11][12] Estudos indicam que exposição à radiação e distúrbios autoimunes, especialmente a tireoidite, também podem estar associados ao tumor de Warthin.[1][13][14][15][16]
Epidemiologia
O tumor de Warthin é o segundo tumor benigno mais comum de glândulas salivares, atrás apenas do adenoma pleomórfico, e afeta quase que exclusivamente a parótida.[1] Ele representa entre 5 a 20% de todos os tumores de glândula salivar.[1][17] Historicamente, afetava mais homens do que mulheres, mas a diferença de proporção entre sexos tem diminuído.[1][18] É mais comum em fumantes, e a média de idade ao diagnóstico é de 62 anos.[1][12][19]
Diagnóstico
O diagnóstico é feito através do exame anatomopatológico.[1] O perfil imune dos linfócitos é semelhante ao dos linfonodos normais ou reativos.[20] Estudos de clonalidade sugerem que essa lesão não seja uma neoplasia verdadeira, e sim reacional.[1][21][22]
A imuno-histoquímica pode auxiliar no diagnóstico: as células epiteliais são positivas para pancitoqueratina (CK7, CK8, CK18 e EMA nas células do epitélio interno, p63 e p40 moderadamente positivas nas externas), e as células linfoides são positivas para marcadores de linfócitos B (CD20) e linfócitos T (CD3, CD4 e CD8).[1][23]
O diagnóstico diferencial inclui o cisto linfoepitelial e o carcinoma mucoepidermoide.[1]
Prognóstico e tratamento
O prognóstico é favorável, e o tratamento com a cirurgia de ressecção com margem de segurança é normalmente curativo.[1][24] Possui taxa de recidiva baixa, de 2%, normalmente associada à ressecção inadequada.[1][25][26]
A transformação maligna do tumor de Warthin já foi relatada, mas atualmente acredita-se que se trata de um carcinoma Warthin-like ao invés de um verdadeiro tumor de Warthin que se transformou.[1][9][27]
Imagens adicionais
-
Histopatologia do tumor de Warthin em glândula parótida. Coloração H&E. -
Histopatologia do tumor de Warthin em glândula parótida. Coloração H&E. -
Histopatologia do tumor de Warthin em glândula parótida. Coloração H&E.
Ver também
- Adenoma pleomórfico
- Adenoma de glândula salivar
Referências
- ↑ a b c d e f g h i j k l m n o p q r s t u v w x y Balgobind, Sapna; Gupta, Ruta. «Warthin tumor». Pathology Outlines. Consultado em 27 de janeiro de 2025
- ↑ Witt, Robert L., ed. (2005). "Chapter 9 "Benign tumors, cysts, and tumor-like conditions of the salivary glands". Salivary Gland Diseases: Surgical and Medical Management. New York: Thieme Medical Publishers. p. 123. ISBN 1-58890-414-8.
- ↑ Ellies, M.; Laskawi, R.; Arglebe, C. (fevereiro de 1998). «Extraglandular Warthin's tumours: clinical evaluation and long-term follow-up». The British Journal of Oral & Maxillofacial Surgery (1): 52–53. ISSN 0266-4356. PMID 9578258. doi:10.1016/s0266-4356(98)90749-5. Consultado em 27 de janeiro de 2025
- ↑ van der Wal, J. E.; Davids, J. J.; van der Waal, I. (fevereiro de 1993). «Extraparotid Warthin's tumours--report of 10 cases». The British Journal of Oral & Maxillofacial Surgery (1): 43–44. ISSN 0266-4356. PMID 8431414. doi:10.1016/0266-4356(93)90098-h. Consultado em 27 de janeiro de 2025
- ↑ Sanford Dubner, MD. Benign Parotid Tumors. Medscape Reference. March 2015; http://emedicine.medscape.com/article/1289560-overview#showall.
- ↑ Maiorano, E.; Lo Muzio, L.; Favia, G.; Piattelli, A. (janeiro de 2002). «Warthin's tumour: a study of 78 cases with emphasis on bilaterality, multifocality and association with other malignancies». Oral Oncology (1): 35–40. ISSN 1368-8375. PMID 11755819. doi:10.1016/s1368-8375(01)00019-7. Consultado em 27 de janeiro de 2025
- ↑ Peter Klussmann, Jens; Wittekindt, Claus; Florian Preuss, Simon; Al Attab, Abdulrahman; Schroeder, Ursula; Guntinas-Lichius, Orlando (dezembro de 2006). «High risk for bilateral Warthin tumor in heavy smokers--review of 185 cases». Acta Oto-Laryngologica (11): 1213–1217. ISSN 0001-6489. PMID 17050316. doi:10.1080/00016480600740605. Consultado em 27 de janeiro de 2025
- ↑ Rassekh, Christopher H.; Cost, Jamey L.; Hogg, Jeffery P.; Hurst, Mike K.; Marano, Gary D.; Ducatman, Barbara S. (2015). «Positron emission tomography in Warthin's tumor mimicking malignancy impacts the evaluation of head and neck patients». American Journal of Otolaryngology (2): 259–263. ISSN 1532-818X. PMID 25523505. doi:10.1016/j.amjoto.2014.11.008. Consultado em 27 de janeiro de 2025
- ↑ a b c Skálová, Alena; Vanecek, Tomas; Simpson, Roderick H. W.; Vazmitsel, Marina A.; Majewska, Hanna; Mukensnabl, Petr; Hauer, Lukas; Andrle, Pavel; Hosticka, Lubor (novembro de 2013). «CRTC1-MAML2 and CRTC3-MAML2 fusions were not detected in metaplastic Warthin tumor and metaplastic pleomorphic adenoma of salivary glands». The American Journal of Surgical Pathology (11): 1743–1750. ISSN 1532-0979. PMID 24121173. doi:10.1097/PAS.0000000000000065. Consultado em 27 de janeiro de 2025
- ↑ a b Di Palma, S.; Simpson, R. H.; Skálová, A.; Michal, M. (novembro de 1999). «Metaplastic (infarcted) Warthin's tumour of the parotid gland: a possible consequence of fine needle aspiration biopsy». Histopathology (5): 432–438. ISSN 0309-0167. PMID 10583558. doi:10.1046/j.1365-2559.1999.035005432.x. Consultado em 27 de janeiro de 2025
- ↑ Kumar V, Abbas AK, Fausto N (2005). Robbins and Cotran pathologic basis of disease, 7 Ed. St. Louis, MO: Elsevier Saunders. ISBN 0-7216-0187-1
- ↑ a b Pinkston, J. A.; Cole, P. (15 de julho de 1996). «Cigarette smoking and Warthin's tumor». American Journal of Epidemiology (2): 183–187. ISSN 0002-9262. PMID 8678050. doi:10.1093/oxfordjournals.aje.a008906. Consultado em 27 de janeiro de 2025
- ↑ Scott A Laurie, MD, FRCPC. Salivary gland tumors: Epidemiology, diagnosis, evaluation, and staging. UpToDate. September 2013; Accessed 9/8/2015.
- ↑ Saku, T.; Hayashi, Y.; Takahara, O.; Matsuura, H.; Tokunaga, M.; Tokunaga, M.; Tokuoka, S.; Soda, M.; Mabuchi, K. (15 de abril de 1997). «Salivary gland tumors among atomic bomb survivors, 1950-1987». Cancer (8): 1465–1475. ISSN 0008-543X. PMID 9118025. Consultado em 27 de janeiro de 2025
- ↑ Gallo, O.; Bocciolini, C. (julho de 1997). «Warthin's tumour associated with autoimmune diseases and tobacco use». Acta Oto-Laryngologica (4): 623–627. ISSN 0001-6489. PMID 9288224. doi:10.3109/00016489709113449. Consultado em 27 de janeiro de 2025
- ↑ Orabona, Giovanni Dell' Aversana; Abbate, Vincenzo; Piombino, Pasquale; Romano, Antonio; Schonauer, Fabrizio; Iaconetta, Giorgio; Salzano, Giovanni; Farina, Fabrizio; Califano, Luigi (maio de 2015). «Warthin's tumour: Aetiopathogenesis dilemma, ten years of our experience». Journal of Cranio-Maxillo-Facial Surgery: Official Publication of the European Association for Cranio-Maxillo-Facial Surgery (4): 427–431. ISSN 1878-4119. PMID 25814196. doi:10.1016/j.jcms.2014.11.019. Consultado em 27 de janeiro de 2025
- ↑ Lawal, Ahmed O.; Adisa, Akinyele O.; Kolude, Bamidele; Adeyemi, Bukola F.; Olajide, Mofoluwaso A. (1 de dezembro de 2013). «A review of 413 salivary gland tumours in the head and neck region». Journal of Clinical and Experimental Dentistry (5): e218–222. ISSN 1989-5488. PMC 3892266
. PMID 24455085. doi:10.4317/jced.51143. Consultado em 27 de janeiro de 2025
- ↑ Eveson, J. W.; Cawson, R. A. (março de 1986). «Warthin's tumor (cystadenolymphoma) of salivary glands. A clinicopathologic investigation of 278 cases». Oral Surgery, Oral Medicine, and Oral Pathology (3): 256–262. ISSN 0030-4220. PMID 3458128. doi:10.1016/0030-4220(86)90371-3. Consultado em 27 de janeiro de 2025
- ↑ Chapnik, J. S. (junho de 1983). «The controversy of Warthin's tumor». The Laryngoscope (6): 695–716. ISSN 0023-852X. PMID 6304434. doi:10.1288/00005537-198306000-00002. Consultado em 27 de janeiro de 2025
- ↑ Afshin Teymoortash (2008). Salivary gland tumors: Warthin's tumors. Atlas of Genetics and Cytogenetics in Oncology and Haematology. Disponível em: http://atlasgeneticsoncology.org/Tumors/WarthinsTumID5424.html
- ↑ Honda, K.; Kashima, K.; Daa, T.; Yokoyama, S.; Nakayama, I. (novembro de 2000). «Clonal analysis of the epithelial component of Warthin's tumor». Human Pathology (11): 1377–1380. ISSN 0046-8177. PMID 11112212. Consultado em 27 de janeiro de 2025
- ↑ Arida, Muammar; Barnes, E. Leon; Hunt, Jennifer L. (julho de 2005). «Molecular assessment of allelic loss in Warthin tumors». Modern Pathology: An Official Journal of the United States and Canadian Academy of Pathology, Inc (7): 964–968. ISSN 0893-3952. PMID 15861216. doi:10.1038/modpathol.3800379. Consultado em 27 de janeiro de 2025
- ↑ Kuzenko, Yevhen V.; Romanuk, Anatoly M.; Dyachenko, Olena Olegivna; Hudymenko, Olena (1 de junho de 2016). «Pathogenesis of Warthin's tumors». Interventional Medicine & Applied Science (2): 41–48. ISSN 2061-1617. PMC 5370350
. PMID 28386459. doi:10.1556/1646.8.2016.2.2. Consultado em 27 de janeiro de 2025
- ↑ Espinoza, S.; Felter, A.; Malinvaud, D.; Badoual, C.; Chatellier, G.; Siauve, N.; Halimi, P. (janeiro de 2016). «Warthin's tumor of parotid gland: Surgery or follow-up? Diagnostic value of a decisional algorithm with functional MRI». Diagnostic and Interventional Imaging (1): 37–43. ISSN 2211-5684. PMID 25543869. doi:10.1016/j.diii.2014.11.024. Consultado em 27 de janeiro de 2025
- ↑ Iwai T, Baba J, Murata S, Mitsudo K, Maegawa J, Nagahama K, Tohnai I. Warthin tumor arising from the minor salivary gland. J Craniofac Surg. September 2012; 23(5):374-376.
- ↑ Ethunandan, M.; Pratt, C. A.; Higgins, B.; Morrison, A.; Umar, T.; Macpherson, D. W.; Wilson, A. W. (setembro de 2008). «Factors influencing the occurrence of multicentric and 'recurrent' Warthin's tumour: a cross sectional study». International Journal of Oral and Maxillofacial Surgery (9): 831–834. ISSN 0901-5027. PMID 18550337. doi:10.1016/j.ijom.2008.05.001. Consultado em 27 de janeiro de 2025
- ↑ Ishibashi, Kenichiro; Ito, Yohei; Masaki, Ayako; Fujii, Kana; Beppu, Shintaro; Sakakibara, Takeo; Takino, Hisashi; Takase, Hiroshi; Ijichi, Kei (novembro de 2015). «Warthin-like Mucoepidermoid Carcinoma: A Combined Study of Fluorescence In Situ Hybridization and Whole-slide Imaging». The American Journal of Surgical Pathology (11): 1479–1487. ISSN 1532-0979. PMID 26457352. doi:10.1097/PAS.0000000000000507. Consultado em 27 de janeiro de 2025
