Carcinoma mucoepidermoide
| Carcinoma mucoepidermoide | |
|---|---|
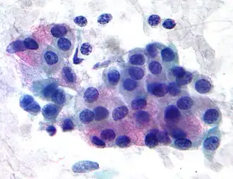
![]() | |
| Microfotografia de um carcinoma mucoepidermoide. Espécie FNA. Coloração de Papanicolau. | |
| Especialidade | oncologia |
| Classificação e recursos externos | |
| CID-11 | XH1J36 |
| CID-CID-O | 8430/3 |
| OMIM | 607536 |
| MeSH | D018277 |
O carcinoma mucoepidermoide é uma neoplasia maligna (câncer) das glândulas salivares, e caracterizam-se por serem tumores epiteliais produtores de mucina.[1] As células neoplásicas mucinosas contêm glicoproteínas neutras, mucinas ácidas, e sulfomucinas.[1] É a neoplasia maligna mais comum de glândulas salivares, tanto em adultos quanto em crianças.[1]
Sinais e sintomas
Como os carcinomas mucoepidermóides exibem comportamentos biológicos que variam de baixo a alto grau, a manifestação clínica dessa lesão vai depender muito do grau de malignidade.[2] Tumores de baixo grau de malignidade apresentam um período prolongado de tumefação indolor, e até 33% dos pacientes são completamente assintomáticos.[1][2] No interior da cavidade oral, o carcinoma mucoepidermoide frequentemente lembra uma mucocele, que algumas vezes pode ser flutuante, como resultado de formação cística mucosa.[2]
Tumores de alto grau de malignidade, por outro lado, crescem rapidamente, e frequentemente são acompanhados por dor e ulceração da mucosa.[2] Dentro das glândulas salivares maiores, tumores de alto grau podem apresentar-se com evidência de envolvimento do nervo facial e sinais obstrutivos.[2]
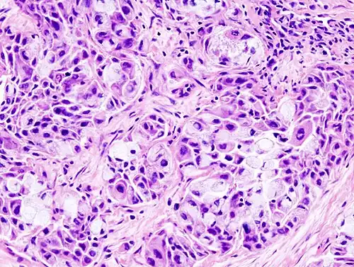
Aspectos radiográficos e histológicos
_HE_stain.jpg)
Os aspectos imaginológicos são influenciados pelo tamanho do tumor, sua localização e seu grau histológico.[1] Na ultrassonografia, tende a se apresentar como uma lesão bem delimitada hipoecoica, com uma aparência parcialmente ou totalmente cística, em contraste com uma glândula salivar normal hiperecoica.[1] Já na tomografia computadorizada (TC), os tumores de baixo grau tendem a ser bem circunscritos com um componente cístico, mas pode haver presença de um componente sólido hiperdenso e calcificações, enquanto tumores de alto grau possuem margens difusas e infiltrativas.[1] Na ressonância magnética, tumores de baixo grau se assemelham ao adenoma pleomórfico, enquanto os de alto grau são sólidos, de margens difusas e com hipossinal em T2.[1]
Histologicamente, o carcinoma mucoepidermoide pode ter 3 padrões arquiteturais usuais: sólido, cístico ou misto, mas pode haver padrões papilar e glandular.[1] O estroma tumoral é constituído por células epidermoides, intermediárias e mucinosas, organizadas em ilhotas, cordões ou áreas sólidas, com as células mucinosas misturadas às ilhotas epiteliais ou revestindo cavidades císticas, e células intermediárias dentro das ilhotas epidermoides ou formando ilhotas próprias.[1][3] Pode haver presença de mucina luminal ou extracelular, assim como presença de células claras.[1] Outras variantes mais claras incluem a de células claras, oncocítica, esclerosante, Warthin-like, ciliada, fusiforme e mucoacinar.[1][4][5][6][7][8]
Esse tipo de carcinoma pode ser classificado em três tipos, de baixo grau, intermediário e de alto grau; essa classificação se dá a partir da quantidade de formação cística, proporção de cada tipo célula e grau de atipia citológica.[1][3] Alguns sistemas de classificação são subjetivos (avaliando a presença ou ausência) e outros qualitativos (pontuando a presença/ausência de características e somando-as para obter um escore).[1] De forma geral, pode-se classificar o carcinoma mucoepidermoide em:[1][9]
- Baixo grau:
- Presença de cistos (microcistos e macrocistos);
- Rara presença de células intermediárias;
- Raras mitoses;
- Pleomorfismo nuclear raro/ausente;
- Tumor bem circunscrito, com margens amplas, podendo até haver cápsula;
- Presença de mucina e estroma fibroso.
- Grau intermediário:
- Presença de microcistos e componente sólido;
- Mais células intermediárias;
- Algumas mitoses;
- Discreto pleomorfismo nuclear;
- Tumor não circunscrito;
- Estroma fibroso separando as ilhotas tumorais.
- Alto grau:
- Predominantemente sólido, com ou sem microcistos;
- Invasão perineural;
- Invasão linfovascular;
- Invasão de tecidos moles adjacentes;
- Muitas mitoses;
- Pleomorfismo nuclear, incluindo presença de nucléolo proeminente;
- Predominância de células intermediárias;
- Estroma desmoplásico.
Causas
O carcinoma mucoepidermóide apresenta etiologia desconhecida, no entanto pode estar associado a fatores genéticos, ao tabaco ou a exposição à radiação.[10] A radiação ionizante é um fator de risco definitivamente vinculado a etiopatogenia dessas lesões.[1][3][11] Acredita-se que a sua origem se dá através das células de reserva, nos segmentos interlobular e intralobular do sistema ductal salivar.
Epidemiologia
O carcinoma mucoepidermoide é a neoplasia maligna de glândulas salivares mais comum em adultos e crianças, representando 10 a 15% de todos os tumores de glândulas salivares.[1][12] Correspondem a aproximadamente 20% das malignidades de glândula submandibular, 30% das malignidades de glândula salivar menor e 34% das malignidades de parótida, sendo esse o seu sítio mais comum, onde 60% a 90% das lesões são encontradas.[2]
Atinge ambos os sexos, mas com predominância no sexo feminino e entre a terceira e quinta décadas de vida, e em crianças afetando pacientes de 11 a 15 anos.[1][13][14] Também pode ser encontrado em outros órgãos, como a árvore traqueobrônquica, o trato nasosinusal, nasofaringe, pulmões e intraósseo na mandíbula.[15][16][17][18]
Diagnóstico
O diagnóstico do carcinoma mucoepidermoide se dá por uma combinação de exames de imagem e biópsia.[1][19] Para tumores pequenos nas glândulas salivares maiores, a ultrassonografia é bem indicada, enquanto tumores maiores ou recidivantes necessitam de TC ou ressonância magnética para delimitar o envolvimento ósseo ou de tecidos moles.[1][19] Para tumores localmente avançados, o PET-FDG é utilizado.[1][20]
Além do exame anatomopatológico, a imuno-histoquímica pode ser utilizada: ele é positivo para pancitoqueratina, CK5/6, p63, p40, EMA, CK7, CK14, marcadores de mucina (MUC1, MUC2, MUC4, MUC5AC e MUC5B), assim como mucicarmina e PASD.[1]
A análise genética normalmente é realizada por hibridização fluorescente in situ (FISH) ou RT-PCR: até 80% dos carcinomas mucoepidermoides possuem a fusão dos genes CRTC1(MECT1) e MAML2, com a translocação t(11;19)(q14-21;p12-13), especialmente de alto grau (84%, vs 78% para grau baixo ou intermediário).[1]
O diagnóstico diferencial depende do grau tumoral:[1][21][22][23][24][25][26]
- Baixo grau a intermediário:
- Sialometaplasia necrosante;
- Adenoma pleomórfico;
- Tumor de Warthin;
- Carcinoma de células acinares;
- Carcinoma secretório análogo de mama.
- Alto grau:
- Carcinoma escamoso;
- Carcinoma do ducto salivar.
Prognóstico e tratamento
O prognóstico é excelente, com sobrevida em 5 anos de 98% em crianças (que usualmente apresentam tumores de baixo grau ou intermediário) e 98,8% em adultos (baixo grau), sendo ligeiramente inferior para grau intermediário (97,4%) e significativamente menor em alto grau (67%).[1][27] Variáveis que implicam em prognóstico desfavorável incluem tumor na glândula submandibular, margens cirúrgicas positivas, extensão extraparenquimal, envolvimento linfonodal ou metástase, e expressão aumentada de MUC1.[1][27]
O tratamento consiste na ressecção cirúrgica completa, mais conservadora para tumores em estágio I e II, e mais extensa e com margens livres para tumores de alto grau ou com margens positivas para infiltração.[1][28] A dissecção de linfonodos cervicais depende do grau histológico e do envolvimento linfonodal.[1][28] Para tumores de alto grau, a radioterapia adjuvante e quimioterapia podem ser consideradas.[1][28]
Referências
- ↑ a b c d e f g h i j k l m n o p q r s t u v w x y z aa ab ac Asiry, Saeed; Rao, Rema. «Mucoepidermoid carcinoma». Pathology Outlines. Consultado em 31 de março de 2025
- ↑ a b c d e f REGEZI, SCIUBBA, JORDAN (2008). Patologia Oral, 5ª edição. [S.l.]: ELSEVIER. ISBN 9788535229806
- ↑ a b c Santos, Thiago S.; Melo, Daniela G.; Andrade, Emanuel S.S.; Silva, Emanuel D.O.; Gomes, Ana C.A. «Carcinoma Mucoepidermóide no Palato». Consultado em 20 de dezembro de 2012
- ↑ Ishibashi, Kenichiro; Ito, Yohei; Masaki, Ayako; Fujii, Kana; Beppu, Shintaro; Sakakibara, Takeo; Takino, Hisashi; Takase, Hiroshi; Ijichi, Kei (novembro de 2015). «Warthin-like Mucoepidermoid Carcinoma: A Combined Study of Fluorescence In Situ Hybridization and Whole-slide Imaging». The American Journal of Surgical Pathology (11): 1479–1487. ISSN 1532-0979. PMID 26457352. doi:10.1097/PAS.0000000000000507. Consultado em 31 de março de 2025
- ↑ Bishop, Justin A.; Cowan, Morgan L.; Shum, Chung H.; Westra, William H. (janeiro de 2018). «MAML2 Rearrangements in Variant Forms of Mucoepidermoid Carcinoma: Ancillary Diagnostic Testing for the Ciliated and Warthin-like Variants». The American Journal of Surgical Pathology (1): 130–136. ISSN 1532-0979. PMC 5730480
. PMID 28877061. doi:10.1097/PAS.0000000000000932. Consultado em 31 de março de 2025
- ↑ Goh, Giap Hean; Lim, Chwee Ming; Vanacek, Tomas; Michal, Michal; Petersson, Fredrik (dezembro de 2017). «Spindle Cell Mucoepidermoid Carcinoma of the Palatine Tonsil With CRTC1-MAML2 Fusion Transcript: Report of a Rare Case in a 17-Year-Old Boy and a Review of the Literature». International Journal of Surgical Pathology (8): 705–710. ISSN 1940-2465. PMID 28637362. doi:10.1177/1066896917714890. Consultado em 31 de março de 2025
- ↑ Bundele, Manish; Weinreb, Ilan; Xu, Bin; Chiosea, Simion; Faquin, William; Dias-Santagata, Dora; Leon, Marino; Hyrcza, Martin; Seethala, Raja R. (1 de agosto de 2021). «Mucoacinar Carcinoma: A Rare Variant of Mucoepidermoid Carcinoma». The American Journal of Surgical Pathology (8): 1028–1037. ISSN 1532-0979. PMID 34091485. doi:10.1097/PAS.0000000000001752. Consultado em 31 de março de 2025
- ↑ Jahan-Parwar, B.; Huberman, R. M.; Donovan, D. T.; Schwartz, M. R.; Ostrowski, M. L. (maio de 1999). «Oncocytic mucoepidermoid carcinoma of the salivary glands». The American Journal of Surgical Pathology (5): 523–529. ISSN 0147-5185. PMID 10328083. doi:10.1097/00000478-199905000-00005. Consultado em 31 de março de 2025
- ↑ Cipriani, Nicole A.; Lusardi, Jonathan J.; McElherne, James; Pearson, Alexander T.; Olivas, Andrea D.; Fitzpatrick, Carrie; Lingen, Mark W.; Blair, Elizabeth A. (julho de 2019). «Mucoepidermoid Carcinoma: A Comparison of Histologic Grading Systems and Relationship to MAML2 Rearrangement and Prognosis». The American Journal of Surgical Pathology (7): 885–897. ISSN 1532-0979. PMC 6629427
. PMID 31021855. doi:10.1097/PAS.0000000000001252. Consultado em 31 de março de 2025
- ↑ ANTUNES, A.A.; ANTUNES, A.P. Tumores das Glândulas Salivares Maiores: Estudo Retrospectivo. Rev. Bras. Patol. Oral; v.4, n.1, p.2-7, jan./abr. 2005.
- ↑ Gill, Sharanjeet; Mohan, Amit; Aggarwal, Shivani; Varshney, Anchal (2018). «Mucoepidermoid carcinoma of hard palate». Indian Journal of Pathology & Microbiology (3): 397–398. ISSN 0974-5130. PMID 30004063. doi:10.4103/IJPM.IJPM_617_17. Consultado em 31 de março de 2025
- ↑ Bradley, Patrick J.; McGurk, Mark (julho de 2013). «Incidence of salivary gland neoplasms in a defined UK population». The British Journal of Oral & Maxillofacial Surgery (5): 399–403. ISSN 1532-1940. PMID 23103239. doi:10.1016/j.bjoms.2012.10.002. Consultado em 31 de março de 2025
- ↑ Brandwein, M. S.; Ivanov, K.; Wallace, D. I.; Hille, J. J.; Wang, B.; Fahmy, A.; Bodian, C.; Urken, M. L.; Gnepp, D. R. (julho de 2001). «Mucoepidermoid carcinoma: a clinicopathologic study of 80 patients with special reference to histological grading». The American Journal of Surgical Pathology (7): 835–845. ISSN 0147-5185. PMID 11420454. doi:10.1097/00000478-200107000-00001. Consultado em 31 de março de 2025
- ↑ Dombrowski, Natasha D.; Wolter, Nikolaus E.; Irace, Alexandria L.; Cunningham, Michael J.; Mack, Jennifer W.; Marcus, Karen J.; Vargas, Sara O.; Perez-Atayde, Antonio R.; Robson, Caroline D. (maio de 2019). «Mucoepidermoid carcinoma of the head and neck in children». International Journal of Pediatric Otorhinolaryngology: 93–99. ISSN 1872-8464. PMID 30772619. doi:10.1016/j.ijporl.2019.02.020. Consultado em 31 de março de 2025
- ↑ C.FEIJÓ, S. M. CAMARGO, P. F. G. CARDOSO, J. C. FELICETTI. «Jornal de Pneumologia». Consultado em 20 de dezembro de 2012
- ↑ Triantafillou, Vasiliki; Maina, Ivy W.; Kuan, Edward C.; Kohanski, Michael A.; Tong, Charles C.; Patel, Neil N.; Carey, Ryan M.; Workman, Alan D.; Palmer, James N. (setembro de 2019). «Sinonasal mucoepidermoid carcinoma: a review of the National Cancer Database». International Forum of Allergy & Rhinology (9): 1046–1053. ISSN 2042-6984. PMID 31314958. doi:10.1002/alr.22379. Consultado em 31 de março de 2025
- ↑ Kalhor, Neda; Moran, Cesar A. (março de 2018). «Pulmonary mucoepidermoid carcinoma: diagnosis and treatment». Expert Review of Respiratory Medicine (3): 249–255. ISSN 1747-6356. PMID 29338644. doi:10.1080/17476348.2018.1428563. Consultado em 31 de março de 2025
- ↑ de Freitas, George Borja; de França, Arthur José Barbosa; Dos Santos, Stefanny Torres; de Lima Júnior, Miqueias Oliveira; da Fonte Neto, Adilis Stepple; Bernardon, Paula (2018). «Intraosseous Mucoepidermoid Carcinoma in the Mandible». Case Reports in Dentistry. 9348540 páginas. ISSN 2090-6447. PMC 6311874
. PMID 30647976. doi:10.1155/2018/9348540. Consultado em 31 de março de 2025
- ↑ a b Adelstein, David J.; Koyfman, Shlomo A.; El-Naggar, Adel K.; Hanna, Ehab Y. (julho de 2012). «Biology and management of salivary gland cancers». Seminars in Radiation Oncology (3): 245–253. ISSN 1532-9461. PMID 22687949. doi:10.1016/j.semradonc.2012.03.009. Consultado em 1 de abril de 2025
- ↑ Sharma, Punit; Jain, Tarun K.; Singh, Harmandeep; Suman, Sudhir K. C.; Faizi, Nauroze A.; Kumar, Rakesh; Bal, Chandrasekhar; Malhotra, Arun; Kumar, Rakesh (março de 2013). «Utility of (18)F-FDG PET-CT in staging and restaging of patients with malignant salivary gland tumours: a single-institutional experience». Nuclear Medicine Communications (3): 211–219. ISSN 1473-5628. PMID 23353886. doi:10.1097/MNM.0b013e32835bc4c4. Consultado em 1 de abril de 2025
- ↑ Panchbhai, Arati S. (2015). «Primary squamous cell carcinoma of salivary gland: Report of a rare case». Journal of Cancer Research and Therapeutics (3). 664 páginas. ISSN 1998-4138. PMID 26458694. doi:10.4103/0973-1482.144358. Consultado em 1 de abril de 2025
- ↑ Udager, Aaron M.; Chiosea, Simion I. (setembro de 2017). «Salivary Duct Carcinoma: An Update on Morphologic Mimics and Diagnostic Use of Androgen Receptor Immunohistochemistry». Head and Neck Pathology (3): 288–294. ISSN 1936-0568. PMC 5550399
. PMID 28321773. doi:10.1007/s12105-017-0798-x. Consultado em 1 de abril de 2025
- ↑ Damjanov, Ivan; Skenderi, Faruk; Vranic, Semir (2 de agosto de 2016). «Mammary Analogue Secretory Carcinoma (MASC) of the salivary gland: A new tumor entity». Bosnian Journal of Basic Medical Sciences (3): 237–238. ISSN 1840-4812. PMC 4978118
. PMID 27131022. doi:10.17305/bjbms.2016.1321. Consultado em 1 de abril de 2025
- ↑ Vander Poorten, V.; Triantafyllou, A.; Thompson, L. D. R.; Bishop, J.; Hauben, E.; Hunt, J.; Skalova, A.; Stenman, G.; Takes, R. P. (novembro de 2016). «Salivary acinic cell carcinoma: reappraisal and update». European archives of oto-rhino-laryngology: official journal of the European Federation of Oto-Rhino-Laryngological Societies (EUFOS): affiliated with the German Society for Oto-Rhino-Laryngology - Head and Neck Surgery (11): 3511–3531. ISSN 1434-4726. PMID 26685679. doi:10.1007/s00405-015-3855-7. Consultado em 1 de abril de 2025
- ↑ Tandon, Aanchal; Jaiswal, Rohit; Siddiqui, Safia; Bordoloi, Bharadwaj (janeiro de 2018). «Keratinizing pleomorphic adenoma: An unusual case report». Journal of oral and maxillofacial pathology: JOMFP (Suppl 1): S69–S72. ISSN 0973-029X. PMC 5824522
. PMID 29491610. doi:10.4103/jomfp.JOMFP_200_17. Consultado em 1 de abril de 2025
- ↑ León, Xavier; Szafranska, Justina; Méndez, Jorge Eliecer (2020). «A case of necrotizing sialometaplasia». Acta Otorrinolaringologica Espanola (5): 328–329. ISSN 2173-5735. PMID 31582173. doi:10.1016/j.otorri.2019.06.003. Consultado em 1 de abril de 2025
- ↑ a b Peraza, A.; Gómez, R.; Beltran, J.; Amarista, F. J. (dezembro de 2020). «Mucoepidermoid carcinoma. An update and review of the literature». Journal of Stomatology, Oral and Maxillofacial Surgery (6): 713–720. ISSN 2468-7855. PMID 32565266. doi:10.1016/j.jormas.2020.06.003. Consultado em 1 de abril de 2025
- ↑ a b c FRANÇA; NOVELLI; FERRARINE; MONTEIRO; SILVA; AGUIAR. «Carcinoma Mucoepidermóide» (PDF). Consultado em 20 de dezembro de 2012
