Ceratocisto odontogênico
| Ceratocisto odontogênico | |
|---|---|
![]() | |
| Classificação e recursos externos | |
| CID-10 | K09.0 |
| CID-9 | 526.0 |
Ceratocisto odontogênico (CO) ou queratocisto odontogênico (QO) é um cisto odontogênico do desenvolvimento localmente agressivo.[1] Acredita-se que sua origem esteja na lâmina dentária e afeta mais frequentemente a mandíbula posterior.[1]
O QO foi inicialmente descrito por Philipsen em 1956 e classificado como um cisto de origem odontogênica. Em 2005, o QO foi renomeado tumor queratocístico odontogênico e classificado pela OMS como uma neoplasia odontogênica.[2] Porém, em 2017 o QO foi reclassificado como cisto e voltou à sua nomenclatura original, onde permanece atualmente.[2][3]
Sinais e sintomas
O QO é tipicamente assintomático, mas pode apresentar sinais e sintomas como:[4]
- Edema intraoral;
- Dor;
- Trismo;
- Parestesia;
- Infecção, quando infectado secundariamente.
Devido ao seu padrão de crescimento anteroposterior, ele raramente causa expansão óssea, o que o torna difícil de identificar clinicamente.[4]
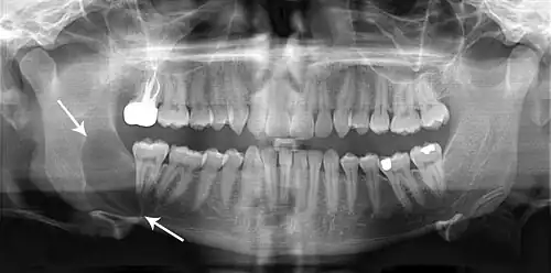
Aspectos radiográficos e histológicos

Radiograficamente, o QO se caracteriza como uma lesão radiolúcida uni ou multilocular, de bordas bem delimitadas e halo esclerótico, podendo ou não estar associada a um dente incluso.[4] Lesões maiores tendem a ter um aspecto multicístico festonado (aspecto de "bolha de sabão" ou de "favo de mel"), enquanto lesões menores tendem a ser unicísticas.[4] As lesões podem apresentar comportamento agressivo, com reabsorção óssea e dos dentes, deslocamento dos dentes e expansões ósseas.[5] Cerca de 25 a 40% dos queratocistos são associados a dentes inclusos.[4] Queratocistos menores podem ser confundidos com cisto dentígero, cisto radicular ou cisto periodontal lateral.[6]
Na tomografia computadorizada de feixe cônico (TCFC), o QO e o ameloblastoma possuem radiodensidades muito semelhantes, mas o ameloblastoma apresenta expansão da cortical óssea e poucas áreas de alta densidade tecidual.[7]
Histologicamente, o QO é caracterizado como uma cavidade cística revestida por uma camada fina de epitélio estratificado escamoso paraqueratinizado, com uma camada basal de células cuboidais ou colunares hipercromáticas em paliçada[4][5]. A queratina na superfície possui um aspecto corrugado característico.[4]
-
Histologia com ampliação intermediária de um ceratocisto odontogênico. -
Histologia com muita ampliação de um ceratocisto odontogênico. -
Histologia com ampliação intermediária de um ceratocisto odontogênico.
Causas
O QO surge a partir de restos epiteliais da lâmina dentária, e seu crescimento está relacionado a fatores ainda desconhecidos, sejam eles ineres ao próprio epitélio ou à atividade enzimática na parede cística.[8]
Sabe-se que há influência genética no seu crescimento, pela mutação ou inativação do gene PTCH1 presente nos queratocistos.[2][3][8] Em 2005, a lesão foi classificada como um tumor pela presença dessa mutação no gene PTCH1 e pelo seu crescimento agressivo e com recidiva.[2] Entretanto, ele responde bem à descompressão/marsupialização, o que indica ausência de crescimento autônomo, um ponto que vai contra a teoria de que o QO é uma neoplasia.[9] Apesar disso, o consenso atual na literatura, defendido pela OMS, é de que não há evidências suficientes para que ele seja classificado como neoplasia.[2][3]
Além do PTCH1, os genes PTCH2 e SUNU também foram relatados como mutações de interesse para o QO.[3]
Epidemiologia
O QO representa entre 4 a 12% de todos os cistos odontogênicos, afetando mais pacientes na 3ª e 4ª décadas de vida, com ligeira predileção por homens.[3][4] O QO acomete majoritariamente a região posterior da mandíbula, no ramo, e casos em maxila são raros.[3]
Diagnóstico
O diagnóstico do QO se dá pelo exame de imagem e exame anatomopatológico.[8] Além da radiografia panorâmica, a TCFC é utilizada para o planejamento cirúrgico da lesão, especialmente para lesões extensas.[8]
O diagnóstico diferencial inclui:[4][6]
- Ameloblastoma;
- Cisto dentígero;
- Cisto odontogênico ortoqueratinizado;
- Cisto radicular;
- Cisto periodontal lateral;
- Lesão central de células gigantes.
Pacientes com múltiplos QO devem ser avaliados geneticamente para a síndrome do nevo basocelular (síndrome de Gorlin).[4] A síndrome de Gorlin é uma doença autossômica dominante que resulta em mutações do gene PTCH, um gene supressor de tumor no cromossomo 9q22, e está relacionada a múltiplos carcinomas de células basaloides, depressões nas palmas das mãos, múltiplos QOs, e calcificação bilamelar da foice cerebral.[4]
Prognóstico e tratamento
O QO possui um prognóstico que pode variar de bom a razoável: a sua taxa de recidiva varia entre 20 e 62%, e depende do tratamento utilizado.[4][10] O tratamento de escolha é a ressecção cirúrgica completa, que diminui o risco de recidiva para menos de 2%, mas opções mais conservadoras como a enucleação possuem chance maior de recidiva (cerca de 56%).[4][5] Lesões grandes podem passar por descompressão, e algumas mais brandas podem até mesmo regredir completamente com a descompressão.[11]
Durante a cirurgia, terapias adjuvantes podem ser utilizadas para diminuir o risco de recidiva,[10] como o uso de solução de Carnoy e aplicação tópica de 5-fluoruracila (5-FU), um antineoplásico que gera apoptose celular.[5] Observa-se que a osteotomia (ressecção com ampla margem de segurança) associada à solução de Carnoy apresentou menor taxa de recidiva, seguida da osteotomia periférica, enucleação com solução de Carnoy, e apenas enucleação.[11][10]
A literatura recomenda o acompanhamento por no mínimo cinco anos, mas há relatos na literatura de recidivas até 10 anos após a remoção da lesão original.[9][11] Apesar de rara, pode ocorrer malignização em um carcinoma escamoso.[12] Por isso, o acompanhamento a longo prazo do paciente é fundamental.[4][11]
Ver também
- Cisto odontogênico ortoqueratinizado
- Síndrome de Gorlin
Referências
- ↑ a b MacDonald-Jankowski, D. S. (janeiro de 2011). «Keratocystic odontogenic tumour: systematic review». Dento Maxillo Facial Radiology (1): 1–23. ISSN 0250-832X. PMC 3611466
. PMID 21159911. doi:10.1259/dmfr/29949053. Consultado em 29 de novembro de 2024
- ↑ a b c d e Soluk-tekkesin, Merva; Wright, John M. (2013). «The world health organization classification of odontogenic lesions: a summary of the changes of the 2017 (4th) edition». Turkish Journal of Pathology. ISSN 1018-5615. doi:10.5146/tjpath.2017.01410. Consultado em 29 de novembro de 2024
- ↑ a b c d e f Soluk-Tekkesin, Merva; Wright, John M. (2022). «The World Health Organization Classification of Odontogenic Lesions: A Summary of the Changes of the 2022 (5th) Edition». Turk Patoloji Dergisi (2): 168–184. ISSN 1309-5730. PMC 9999699
. PMID 35578902. doi:10.5146/tjpath.2022.01573. Consultado em 29 de novembro de 2024
- ↑ a b c d e f g h i j k l m n Wang, Lawrence L.; Olmo, Heather (2024). «Odontogenic Cysts». Treasure Island (FL): StatPearls Publishing. PMID 34662043. Consultado em 29 de novembro de 2024
- ↑ a b c d Winters, R.; Garip, M.; Meeus, J.; Coropciuc, R.; Politis, C. (1 de junho de 2023). «Safety and efficacy of adjunctive therapy in the treatment of odontogenic keratocyst: a systematic review». British Journal of Oral and Maxillofacial Surgery (em inglês) (5): 331–336. ISSN 0266-4356. PMID 37248124. doi:10.1016/j.bjoms.2023.04.006. Consultado em 29 de novembro de 2024
- ↑ a b Sharif, Fyeza N. J.; Oliver, Richard; Sweet, Christopher; Sharif, Mohammad O. (5 de novembro de 2015). «Interventions for the treatment of keratocystic odontogenic tumours». The Cochrane Database of Systematic Reviews (11): CD008464. ISSN 1469-493X. PMC 7173719
. PMID 26545201. doi:10.1002/14651858.CD008464.pub3. Consultado em 29 de novembro de 2024
- ↑ Ariji, Y.; Morita, M.; Katsumata, A.; Sugita, Y.; Naitoh, M.; Goto, M.; Izumi, M.; Kise, Y.; Shimozato, K. (março de 2011). «Imaging features contributing to the diagnosis of ameloblastomas and keratocystic odontogenic tumours: logistic regression analysis». Dento Maxillo Facial Radiology (3): 133–140. ISSN 0250-832X. PMC 3611454
. PMID 21346078. doi:10.1259/dmfr/24726112. Consultado em 29 de novembro de 2024
- ↑ a b c d Chilvarquer, Israel; Homen, Maria da Graça Naclero; Duailibi Neto, Eduardo Felippe; Choi, Isabela Goulart Gil; Ximenez, Michel Eli Lipiec; Hayek, Jorge Eli; Traina, Andrea Aparecida (setembro de 2015). «Relato de caso clínico: tumor odontogênico queratocístico na primeira infância». Revista da Associacao Paulista de Cirurgioes Dentistas (3): 212–216. ISSN 0004-5276. Consultado em 29 de novembro de 2024
- ↑ a b Odell, Edward W. (2017). Cawson's Essentials of Oral Pathology and Oral Medicine E-Book 9th ed ed. Saintt Louis: Elsevier
- ↑ a b c Chrcanovic, Bruno Ramos; Gomez, Ricardo Santiago (fevereiro de 2017). «Recurrence probability for keratocystic odontogenic tumors: An analysis of 6427 cases». Journal of Cranio-Maxillofacial Surgery (em inglês) (2): 244–251. doi:10.1016/j.jcms.2016.11.010. Consultado em 13 de agosto de 2025
- ↑ a b c d Balmick, Stephanie; Hespanhol, Wagner; Cavalcante, Maria Aparecida de Albuquerque; Gandelmann, Italo Honorato Alfredo (março de 2011). «Recidiva do Tumor Odontogênico Ceratocístico: Análise retrospectiva de 10 anos». Revista de Cirurgia e Traumatologia Buco-maxilo-facial (1): 85–91. ISSN 1808-5210. Consultado em 29 de novembro de 2024
- ↑ Piloni, María J.; Keszler, Alicia; Itoiz, María E. (2005). «Agnor as a marker of malignant transformation in odontogenic keratocysts». Acta odontologica latinoamericana: AOL (1): 37–42. ISSN 0326-4815. PMID 16302459. Consultado em 29 de novembro de 2024
