Nódulo

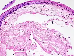
Aspecto histológico de lesão nodular de cordas vocais

Um nódulo, em patologia, é uma lesão sólida, elevada, com mais de 1 cm de diâmetro. É geralmente bem delimitado e de origem epitelial ou conjuntiva.

Pode ser pediculada ou séssil. Quando não está se expandindo, é classificado como benigno e, quando está é classificado como maligno. Suas características variam muito dependendo do lugar que se localiza (pulmão, mama, axila, tireoide e cordas vocais).

Nas cordas vocais

Os nódulos vocais são mais frequentes em meninos e em mulheres após os 20 anos. As causas geralmente são fendas glóticas pela tosse, por desgaste ao falar alto/gritar e excessiva tensão músculo-esquelética. Aparece normalmente entre o terço anterior e médio das pregas vocais. O tratamento de escolha é terapia vocal, ficando a cirurgia necessária apenas poucos casos específicos.[1] É um dos problemas mais comuns na laringe. Por alterar a voz, pode ser muito inconveniente para cantores e palestrantes.

Referências

  1. Cervantes, Onivaldo; Abrahäo, Márcio. O nódulo vocal: conceitos atuais / Vocal cord nodules: current concepts. Rev. bras. med. otorrinolaringol;2(1):12, 14, 16-7, jan. 1995.