Papiloma
| Papiloma | |
|---|---|
![]() | |
| Pequenos papilomas genitais | |
| Especialidade | oncologia |
| Classificação e recursos externos | |
| CID-11 | XH17Q9 |
| CID-CID-O | 8050/0 |
| MeSH | D010212 |
Papiloma é um tipo de tumor benigno da pele, que causa projecções epiteliais em forma de papilas ou verrugas. Mais comuns entre os 30 e 50 anos, afetam homens e mulheres em iguais proporções, indolor, em média entre 1 e 2 cm, com aparência de couve-flor e com pouco risco de se tornar maligno.[1]
Tipos

- Papiloma escamoso: causado pelo vírus do papiloma humano (HPV), forma papilas verrugosas indolores no tubo digestivo ou genitais. Quando causados por HPV6 ou HPV11 raramente se transformam em câncer, mas os serotipos HPV16 e HPV18 são a principal causa de cânceres genitais como câncer de colo do útero e também de câncer anal. Raramente causam câncer de boca e na faringe.[2] Nos EUA, cerca de 1% dos adultos sexualmente ativos tinham verrugas genitais, sendo a DST mais comum do mundo.
- Papiloma intraductal: Tumor da mama benigno que se forma nos ductos de leite. Tipicamente parece um ou mais caroço próximos ao mamilo. Não está associado a maior o risco de câncer de mama, mas pode ser confundido com um carcinoma intraductal.[1]
- Papiloma urotelial ou de células transicionais: Tumor benigno das vias urinárias, mais comum em adultos e duas vezes mais comuns em homens. Induzido por tabagismo ou exposição a aminas aromáticas. Pequeno, delicado, rosado em média com 3mm. Pode causar sangramento ao urinar (hematúria). Ocasionalmente progride para carcinoma urotelial.[3]
- Papiloma conjuntival: Tumor ocular que afeta a parte branca do olho (conjuntiva) causado pelo HPV tipo 6 ou 11. É indolor, não causa perda de visão e raramente se torna maligno. Mais comum em menores de 20 anos. Pode ser transmitido durante o parto.[2]
- Papilomatose: Múltiplos papilomas em qualquer lugar, representam cerca de 10% dos casos. Mais comuns em jovens, com idade média de 20 anos. Possuem maior risco de que algum dos papilomas se torne maligno do que um papiloma solitário. Sem células suspeitas não há urgência em remover cirurgicamente, mas é importante acompanhar com exames de imagem anuais.[4]
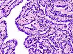
Histologia
.jpg)
Tem por característica a proliferação do epitélio escamoso estratificado, arranjado em projeções semelhantes a dedos. Os coilócitos (células epiteliais alteradas pelo HPV) apresentam espaços perinucleares claros e núcleos muito corados. O tecido conjuntivo pode apresentar alterações inflamatórias em lesões sujeitas a traumatismos recorrentes.[5]
Tratamento
O tratamento é indolor, no entanto, existem poucos riscos deste se transformar num tumor maligno e poderá mesmo regredir espontaneamente sem a necessidade de tratamentos. Quando for causa de incómodos, hemorragias ou quando for detectada uma infecção por HPV16 ou 18, poderá ser removido através de uma excisão cirúrgica conservadora, com uma anestesia local e sem a necessidade de internamento. A cicatriz desta intervenção desaparecerá com o tempo (a permanência em forma de lesão é rara). O tecido removido é, depois, examinado, ao microscópio (biópsia) para detectar a existência de células malignas.[1]
Referências
- ↑ a b c Jaime Herndon e Lauren Reed-Guy (2015). What Is Intraductal Papilloma? http://www.healthline.com/health/intraductal-papilloma#Overview1
- ↑ a b Vanessa Ngan. Squamous cell papilloma. DermNet New Zealand Trust 2016. http://www.dermnetnz.org/topics/squamous-cell-papilloma/
- ↑ Monika Roychowdhury, M.D. (2016) Urothelial neoplasms - Noninvasive urothelial papilloma. PathologyOutlines.com, Inc. http://www.pathologyoutlines.com/topic/bladderpapilloma.html
- ↑ http://breast-cancer.ca/papily/
- ↑ NEVILLE, B. W.; DAMM, D.D.; ALLEN, C. M.; BOUQUOT, J. E. Patologia Oral e Maxilofacial. 2. ed. Rio de Janeiro: Guanabara Koogan
