Nefroma
| Cystic nephroma | |
|---|---|
![]() | |
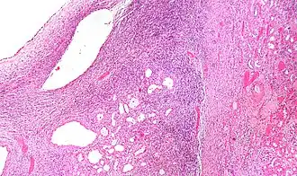
| Micrografia de um nefroma cístico (centro) com rim saudável a direita. | |
| Especialidade | oncologia |
| Classificação e recursos externos | |
| CID-10 | D30.0 |
| CID-9 | 223.0 |
Nefroma é um tipo de tumor renal benigno raro, composto de tecido epitelial e estroma. Geralmente sem sintomas, encontrado incidentalmente em um exame de imagem. Em um raio X ou ultrassom parece com um carcinoma de células renais, precisando de biópsia para ser diferenciado. Podem ser císticos ou mesoblásticos. Os nefromas císticos geralmente aparecem antes dos 2 anos ou depois dos 40 anos, com pico entre os 50 e 70 anos.[1]
Sinais e sintomas
Inicialmente são assintomáticos, apenas 30 por cento crescem e causam sintomas. Quando crescem muito se tornam uma massa palpável nos flancos, podem causar dor, favorecer infecções e sangrar, deixando a urina alaranjada (hematúria).[2]
Diagnóstico
Pode ser diagnosticado com ultrassom, tomografia computadorizada ou ressonância magnética.[3]
Histologicamente os cistos são envolvidos por um epitélio simples com núcleos em direção ao núcleo do cisto ("epitelio em prego"), estroma tipo ovariano, células fusiformes e citoplasma basofílico. No estroma possui receptores para estrógeno e progesterona.[4]
Tratamento
Se não causam sintomas nem estão associados a outros tumores podem permanecer apenas em observação, possuem pouco risco de se tornar malignos.
É comum que estejam associados a outros tumores, como nefroblastoma, adenoma renal, adenocarcinoma e sarcoma. Nesses casos devem ser extirpados cirurgicamente, de preferência preservando os néfrons.O risco de recorrências é baixo.[5]
Referências
- ↑ Glassberg KI. Renal dysplasia and cystic disease of the kidney. In: Walsh PC, Retik AB, Vaughan ED Jr, Wein AJ, eds. Campbell's Urology. 7th ed. Philadelphia: WB Saunders Company; 1998:1757-1813.
- ↑ Williamson B Jr. Benign neoplasms of the renal parenchyma. In: Pollack HM, ed. Clinical Urography. Philadelphia: WB Saunders Company; 1990:1193-1215.
- ↑ Henrique M Lederman, MD, PhD. (2015) Multilocular Cystic Nephroma Imaging. http://emedicine.medscape.com/article/411485-overview
- ↑ Small JE et al. Cystic Nephroma. BRAD Harvard Database. http://brighamrad.harvard.edu/Cases/bwh/hcache/385/full.html Arquivado em 2004-10-24 na Archive.today
- ↑ Adam J. Singer, MD. Cystic Nephroma of the Kidney. Infect Urol. 2001;14(1). http://www.medscape.com/viewarticle/410232_2
