Epitélio de transição

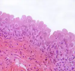
Epitélio de transição é um tipo especial de epitélio restrito ao revestimento da porção inicial da uretra, da bexiga urinária e do ureter, e suas células variam sua morfologia dependendo do grau de distensão/estiramento; de globosas até achatadas na superfície. A bexiga esvaziada possui células globosas em sua membrana apical e, quando cheia, possui células achatadas. Caracteriza-se por sua grande capacidade de distensão e por ser formado por várias camadas de células.[1]
Referências
- ↑ histologia básica junqueira e carneiro 12ed