Ureter

Uréter

Detalhes
Vascularização Artéria vesical superior artéria vaginal, ramos ureterais da artéria renal
Precursor Ureteric bud
Identificadores
Gray pág.1225
MeSH Ureter

O uréter ou ureter é um tubo feito de músculo liso que impulsiona a urina dos rins para a bexiga urinária. No adulto humano, os ureteres têm geralmente 20-30 cm de comprimento e cerca de 3-4 mm de diâmetro. O ureter é revestido por células uroteliais, um tipo de epitélio transicional, e possui uma camada de músculo liso adicional no terço mais próximo da bexiga que auxilia no peristaltismo.

Os uréteres podem ser afetados por várias doenças; incluindo infecções do trato urinário e cálculo renal. A estenose é quando um ureter é estreitado, devido, por exemplo, a uma inflamação crônica. As anomalias congênitas que afetam os ureteres podem incluir o desenvolvimento de dois ureteres no mesmo lado ou ureteres colocados de maneira anormal. Além disso, o refluxo da urina da bexiga para os ureteres é uma condição comumente observada em crianças.

Os ureteres foram identificados há pelo menos dois mil anos; com a palavra ureter proveniente do radical uro- relacionado a urinar e visto em registros escritos desde, pelo menos, a época de Hipócrates. No entanto, foi apenas a partir de 1500 que o termo "ureter" foi usado consistentemente para se referir à estrutura moderna; e somente a partir do desenvolvimento da imagem médica em 1900 é que técnicas como raio-X, tomografia computadorizada e ultrassom foram capazes de visualizar os ureteres. Os ureteres também são vistos de dentro por meio de uma câmera flexível, chamada Ureteroscopia, que foi descrita pela primeira vez em 1964.

Estrutura

Os ureteres são estruturas tubulares, com aproximadamente 20-30 cm Em adultos humanos,[1] que passam da pelve de cada rim para a bexiga. Da pelve renal, eles descem em cima do músculo psoas maior para alcançar a borda da pelve. Aqui, eles se cruzam na frente das artérias ilíacas comuns. Em seguida, eles passam ao longo dos lados da pelve e, finalmente, curvam-se para a frente e entram na bexiga pelos lados esquerdo e direito na parte posterior da bexiga.[2] Os ureteres têm entre 1,5 a 6 mm de diâmetro[1] e são circundados por uma camada de músculo liso por 1 a 2 cm próximo às suas extremidades, pouco antes de entrarem na bexiga.[2]

Estruturas próximas aos ureteres. 1. Sistema urinário humano: 2. Rim, 3. Pélvis renal, 4. Ureter, 5. Bexiga urinária, 6. Uretra. (Lado esquerdo com seção frontal), 7. Glândula adrenal.

Os ureteres entram na bexiga pela superfície posterior, viajando 1,5–2 cm antes de se abrirem na bexiga em um ângulo em sua superfície posterior externa nos orifícios uretéricos em forma de fenda.[2][3] Essa localização também é chamada de junção vesicoureteral.[4] Na bexiga contraída, eles estão separados por cerca de 25 mm e aproximadamente à mesma distância do orifício uretral interno; na bexiga distendida, essas medições podem ser aumentadas para cerca de 50 mm.[2]

Várias estruturas passam por cima, acima e ao redor dos ureteres em seu trajeto dos rins até a bexiga.[2] Em sua parte superior, o ureter viaja no músculo psoas maior e fica logo atrás do peritônio. À medida que desce pelo músculo, passa pelo nervo genitofemoral e. A veia cava inferior e a aorta abdominal situam-se na linha média dos ureteres direito e esquerdo, respectivamente.[2] Na parte inferior do abdome, o ureter direito fica atrás do mesentério inferior e do íleo terminal, e o ureter esquerdo fica atrás do jejuno e do cólon sigmóide.[2] Conforme os ureteres entram na pelve, eles são envolvidos por tecido conjuntivo e viajam para trás e para fora, passando na frente das artérias ilíacas internas e das veias ilíacas internas. Eles então viajam para dentro e para frente, cruzando as artérias umbilical, vesical inferior e retal média.[2] A partir daqui, nos homens, eles se cruzam sob os canais deferentes e na frente das vesículas seminais para entrar na bexiga perto do trígono.[2] Nas mulheres, os ureteres passam atrás dos ovários e, em seguida, passam na seção da linha média inferior do ligamento largo do útero. Por um curto período, as artérias uterinas viajam no topo por um curto período (2,5 cm). Eles então passam pelo colo do útero, viajando para dentro em direção à bexiga.[2]

Suprimento sanguíneo e linfático

As artérias que irrigam o ureter variam ao longo de seu curso. O terço superior do ureter, mais próximo do rim, é suprido pelas artérias renais.[2] A parte média do ureter é suprida pelas artérias ilíacas comuns, ramos diretos da aorta abdominal e artérias gonadais;[1] as artérias gonadais sendo a artéria testicular nos homens e a artéria ovariana nas mulheres.[2] O terço inferior do ureter, mais próximo à bexiga, é suprido por ramos das artérias ilíacas internas, principalmente as artérias vesicais superior e inferior.[1] O suprimento arterial pode ser variável, com artérias que contribuem incluem a artéria retal média, ramos diretamente da aorta[1] e, em mulheres, as artérias uterina e vaginal.[2]

As artérias que irrigam os ureteres terminam em uma rede de vasos dentro da adventícia dos ureteres.[1] Existem muitas conexões (anastomoses) entre as artérias do ureter,[2] principalmente na adventícia,[5] o que significa que o dano a um único vaso não compromete o suprimento sanguíneo do ureter.[2][5] A drenagem venosa em geral é paralela à do suprimento arterial;[5][2] ou seja, começa como uma rede de veias menores na adventícia; com as veias renais drenando os ureteres superiores e as veias vesiculares e gonadais drenando os ureteres inferiores.[1]

A drenagem linfática depende da posição dos vasos linfáticos no ureter.[1] A linfa se acumula nos vasos linfáticos submucosos, intramusculares e advenciais.[2] Esses vasos mais próximos ao rim drenam para os vasos coletores renais e, a partir daqui, para os nódulos aórticos laterais próximos aos vasos gonadais.[2] A parte média do ureter drena para os nódulos paracaval e interaortocaval direitos à direita, e os nódulos para-aórticos esquerdos à esquerda.[1] No ureter inferior, a linfa pode drenar para os linfonodos ilíacos comuns ou descer na pelve para os linfonodos ilíacos comuns, externos ou internos.[2]

Fornecimento de nervo

Os ureteres são ricamente supridos por nervos que formam uma rede (plexo) de nervos, o plexo uretérico que se encontra na adventícia dos ureteres.[2] Esse plexo é formado diretamente por várias raízes nervosas (T9-12, L1 e S2-4), bem como por ramos de outros plexos nervosos e nervos; especificamente, o terço superior do ureter recebe ramos nervosos do plexo renal e do plexo aórtico, a parte média recebe ramos do plexo hipogástrico superior e nervo e o ureter inferior recebe ramos do plexo hipogástrico inferior e nervo.[2] O plexo está na adventícia. Esses nervos viajam em feixes individuais e ao longo de pequenos vasos sanguíneos para formar o plexo ureteral.[2] A sensação fornecida é esparsa perto dos rins e aumenta perto da bexiga.[2]

Microanatomia

Corte microscópico do ureter, mostrando o epitélio (células roxas) próximo ao lúmen. Uma grande quantidade de fibras musculares pode ser vista ao redor do epitélio, e a adventícia fica além disso.

O ureter é revestido por urotélio, um tipo de epitélio transicional que é capaz de responder a alongamentos nos ureteres. O epitélio transicional pode aparecer como uma camada de células em forma de coluna, quando relaxada, e de células mais achatadas, quando distendida. Abaixo do epitélio fica a lâmina própria. A lâmina própria é composta de tecido conjuntivo frouxo com muitas fibras elásticas intercaladas com vasos sanguíneos, veias e vasos linfáticos. O ureter é circundado por duas camadas musculares, uma camada longitudinal interna de músculo e uma camada externa circular ou espiral de músculo.[6][7] O terço inferior do ureter possui uma terceira camada muscular.[7] Além dessas camadas, fica uma adventícia contendo vasos sanguíneos, vasos linfáticos e veias.[7]

Desenvolvimento

Imagem mostrando a parte inferior de um embrião de 4 a 5 semanas de idade. Aqui, o ureter (em laranja) pode ser visto emergindo do fundo do ducto mesonéfrico (denominado "ducto de Wolffian"), conectado à bexiga primitiva. Imagem da edição de Gray's Anatomy 1918.

Os ureteres se desenvolvem a partir dos botões uretéricos, que são bolsas externas do ducto mesonéfrico. Este é um ducto, derivado do mesoderma, encontrado no embrião inicial.[8] Com o tempo, os botões se alongam, movendo-se para o tecido mesodérmico circundante, dilatam-se e dividem-se em ureteres esquerdo e direito. Eventualmente, sucessivas divisões desses botões formam não apenas os ureteres, mas também a pelve, cálices maiores e menores e dutos coletores dos rins.[8]

O ducto mesonéfrico está conectado à cloaca, que ao longo do desenvolvimento se divide em um seio urogenital e o canal anorretal.[8] A bexiga urinária se forma a partir do seio urogenital. Com o tempo, conforme a bexiga aumenta, ela absorve as partes vizinhas dos ureteres primitivos.[8] Finalmente, os pontos de entrada dos ureteres na bexiga se movem para cima, devido à migração ascendente dos rins no embrião em desenvolvimento.[8]

Função

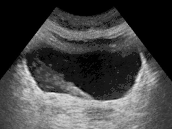
Ultrassonografia mostrando um jato de urina entrando na bexiga (grande seção preta) através do ureter.

Os ureteres são um componente do sistema urinário. A urina, produzida pelos rins, viaja ao longo dos ureteres até a bexiga. Ele faz isso por meio de contrações regulares chamadas peristaltismo.[2]

Significado clínico

Pedras uretéricas

Uma pedra nos rins pode se mover do rim e se alojar dentro do ureter, o que pode bloquear o fluxo de urina, bem como causar uma forte cãibra nas costas, nas laterais ou na parte inferior do abdômen.[9] A dor geralmente vem em ondas que duram até duas horas e depois diminui, chamadas de cólica renal.[10] O rim afetado pode então desenvolver hidronefrose, caso uma parte do rim fique inchada devido ao fluxo de urina bloqueado.[9] É classicamente descrito que há três locais no ureter onde um cálculo renal geralmente fica preso: onde o ureter encontra a pelve renal; onde os vasos sanguíneos ilíacos cruzam os ureteres; e onde os ureteres entram na bexiga urinária,[9] no entanto, um estudo de caso retrospectivo, que é uma fonte primária, de onde os cálculos alojados com base em imagens médicas não mostraram muitos cálculos no local onde os vasos sanguíneos ilíacos se cruzam.[11]

A maioria das pedras são compostos que contêm cálcio, como oxalato de cálcio e fosfato de cálcio. A primeira investigação recomendada é uma tomografia computadorizada do abdome, pois ela pode detectar quase todas as pedras. O manejo inclui analgesia, geralmente com anti-inflamatórios não esteroidais.[10] Pedras pequenas (<4mm) podem passar por si mesmas; cálculos maiores podem exigir litotripsia, e aqueles com complicações como hidronefrose ou infecção podem exigir cirurgia para remoção.[10]

Refluxo

O refluxo vesicoureteral refere-se ao refluxo de fluido da bexiga para os ureteres.[12] Essa condição pode estar associada a infecções do trato urinário, principalmente em crianças, e está presente em até 28–36% das crianças em algum grau.[12] Uma série de formas de imagens médicas estão disponíveis para o diagnóstico da doença, com modalidades incluindo ultrassonografia doppler do trato urinário, varredura de medicina nuclear MAG 3 e uretrocistografia de micção. Os fatores que afetam quais desses itens são selecionados dependem de a criança conseguir receber um cateter urinário e de saber se ela foi treinada para usar o banheiro.[12] Se essas investigações são realizadas na primeira vez em que uma criança tem uma doença ou posteriormente e dependendo de outros fatores (como se a bactéria causal é E. coli), diferem entre as diretrizes dos EUA, da UE e do Reino Unido.[12]

O manejo também é variável, com diferenças entre as diretrizes internacionais sobre questões como se antibióticos profiláticos devem ser usados e se a cirurgia é recomendada.[12] Um motivo é que a maioria dos casos de refluxo vesicoureteral melhora por si só.[12] Se a cirurgia for considerada, geralmente envolve a recolocação dos ureteres em um local diferente na bexiga e a extensão da parte do ureter que está dentro da parede da bexiga, sendo a opção cirúrgica mais comum o reimplante trigonal cruzado de Cohen.[12]

Referências

  1. a b c d e f g h i Smith, Arthur D. (Urologist),; Badlani, Gopal H.,; Preminger, Glenn M.,; Kavoussi, Louis R.,; Rastinehad, Ardeshir R.,. Smith's textbook of endourology. [Volume 1 & 2] Fourth edition ed. Hoboken, NJ: [s.n.] p. 455-464. ISBN 9781119245193. OCLC 1035777991 
  2. a b c d e f g h i j k l m n o p q r s t u v w x Standring, Susan,. Gray's anatomy : the anatomical basis of clinical practice Forty-first edition ed. [Philadelphia]: [s.n.] p. 1251-1254. ISBN 9780702052309. OCLC 920806541 
  3. Standring, Susan,. Gray's anatomy : the anatomical basis of clinical practice Forty-first edition ed. [Philadelphia]: [s.n.] p. 1259. ISBN 9780702052309. OCLC 920806541 
  4. Visveswaran, kasi (2009). Essentials of Nephrology, 2/e (em inglês). [S.l.]: BI Publications Pvt Ltd. ISBN 9788172253233 
  5. a b c Partin, Alan W.; Walsh, Patrick C.; Campbell, Meredith Fairfax; Wein, Alan J. (2011). Campbell, Meredith Fairfax, ed. Campbell-Walsh-Wein Urology. 1 10th ed. [S.l.]: Elsevier. p. 31. ISBN 9780323760669. OCLC 1142098652 
  6. Stevens, Alan (Pathologist) (2005). Human histology 3rd ed. Philadelphia: Elsevier/Mosby. OCLC 57365701 
  7. a b c Young, Barbara (Pathologist),; Woodford, Phillip, (2013). Wheater's functional histology : a text and colour atlas. Sixth edition ed. Philadelphia, PA: [s.n.] ISBN 9780702047473. OCLC 861650889 
  8. a b c d e Sadler, T. W. (Thomas W.),. Langman's medical embryology Fourteenth edition ed. Philadelphia: [s.n.] p. 256-266. ISBN 9781496383907. OCLC 1042400100 
  9. a b c Keith L., Moore; Dalley, Arthur F.; Agur, A. M. R. (2013). Clinically oriented anatomy Seventh edition ed. Philadelphia: Lippincott Williams & Wilkins. p. 300. 1168 páginas. ISBN 9781451119459. OCLC 813301028 
  10. a b c Ralston, Stuart H.; Penman, Ian D.; Strachan, Mark W.; Hobson, Richard P. (2018). Davidson's principles and practice of medicine 23rd ed. Edinburgh: Elsevier. p. 431-432. ISBN 9780702070280. OCLC 1041853327 
  11. Ordon, Michael; Schuler, Trevor D.; Ghiculete, Daniela; Pace, Kenneth T.; Honey, R. John D'A. (17 de setembro de 2012). «Third Place: Stones Lodge at Three Sites of Anatomic Narrowing in the Ureter: Clinical Fact or Fiction?». Journal of Endourology (3): 270–276. ISSN 0892-7790. PMID 22984899. doi:10.1089/end.2012.0201. Consultado em 15 de setembro de 2020 
  12. a b c d e f g Tullus, Kjell (janeiro de 2015). «Vesicoureteric reflux in children» (PDF). The Lancet. 389 (9965). p. 371-374. Consultado em 15 de setembro de 2020