Gengivite
| Gengivite | |
|---|---|
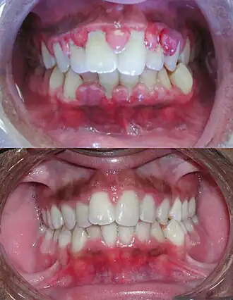
![]() | |
| Gengivite severa antes do tratamento na imagem de cima e depois do tratamento por debridamento mecânico na imagem de baixo. | |
| Especialidade | estomatologia |
| Classificação e recursos externos | |
| CID-10 | K05.0-K05.1 |
| CID-9 | 523.0-523.1 |
| DiseasesDB | 34517 |
| MedlinePlus | 001056 |
| MeSH | D005891 |
Gengivite é o processo inflamatório que ocorre na gengiva que geralmente decorre do acúmulo de placa bacteriana, também chamada de biofilme dental, devido a falta de higiene bucal adequada do indivíduo e pode estar relacionada ao estado imune do indivíduo em alguns casos. A irritação tecidual provocada pela placa bacteriana tem como principais características a alteração da coloração da gengiva que se torna avermelhada, também apresentando textura e forma alteradas. Entretanto o sangramento tende a ser o sinal mais evidente desta condição inflamatória. Pode ocorrer sangramento à sondagem realizada pelo profissional durante a consulta de diagnóstico, todavia não é incomum que o indivíduo perceba a presença do sangramento ao realizar a escovação dentária e/ou ao passar o fio dental na região interdentária.[1]
O acúmulo bacteriano é a causa principal da gengivite, porém existem outros fatores etiológicos menos comuns que também podem contribuir para o desenvolvimento da gengivite como o trauma, medicamentos, mudanças hormonais e a deficiência de vitamina C, como no caso de pacientes com escorbuto.
A gengivite é a mais comum manifestação da doença periodontal, estando associada à presença de placa bacteriana na região da margem gengival. Sondando-se o sulco gengival, este não deve ter mais que 3mm. Quando o processo inflamatório avança (profundidade de sondagem >3mm), atingindo osso, a patologia passa a chamar-se periodontite.
Epidemiologia
Gengivite é uma inflamação da gengiva marginal. Medidas epidemiológicas precoces de gengivite consistem de uma avaliação visual de vermelhidão e edema da margem gengival livre. Mais recentemente, uma avaliação de sondagem tem sido usada, definindo a presença de gengivite quando uma leve sondagem da margem gengival livre causa sangramento do sulco gengival.
A gengivite, aparentemente, sofreu um declínio dos anos 60 a meados dos anos 70 com a metade dos adultos com idades entre 18 e 79 anos apresentando-se sem nenhuma doença e apenas aproximadamente 25% exibindo gengivite em 1974. Esta estimativa, entretanto, é obtida de um levantamento em grupos representativos, que mostra que qualquer pessoa situada no momento entre os 25% da população exibe sinais visíveis de gengivite. A percentagem da população que experimenta alguma gengivite transitória, uma inflamação crônica de baixo nível, em um período de um ano, seria mais alta. A mais provável explicação para a diminuição na gengivite é que os níveis gerais de higiene oral da população têm melhorado nos últimos 30 anos. Os estudos mais recentes continuam mostrando que a gengivite é altamente prevalente nos Estados Unidos.
Tratamento
Devido ao fato da gengivite não existir sem um grupo bacteriano envolvido, o seu tratamento se resume ao aumento da higienização bucal do hospedeiro, visando controlar a formação de placa-bacteriana nos dentes. Em casos onde o indivíduo sofre de alguma imunodeficiência, é de suma importância que seja feito o acompanhamento com um dentista, para que assim uma limpeza profunda possa ser feita.
Classificação
- Gengivite relacionada à placa bacteriana
- Gengivite ulcerativa necrosante (GUN)
- Gengivite influenciada por hormônios
- Gengivite influenciada por medicamentos
Referências
- ↑ Peruzzo, Daiane Cristina; Rodrigues, Ivana Ferreira Gomes (2010). «Abordagens Atuais para o Tratamento da Gengivite» (PDF). Revista Internacional de Periodontia Clínica. Consultado em 31 de julho de 2023
Bibliografia
- Tommasi, Antonio Fernando; Diagnostico Patologia Bucal; Pancast.
- Fundamentos de Periodontia; Thomas G. Wilson, Kenneth S. Kornman; quintessense editora ltda; 2001.
