Abscesso periapical
O abscesso periapical é um acúmulo de pus associado a um dente com a polpa infeccionada.[1] Ele é um tipo de abscesso dental, e pode se apresentar de forma aguda ou crônica.[1]
Sinais e sintomas

O abscesso periapical agudo apresenta dor extrema, contínua, pulsátil e bem localizada.[2] A área ao redor do dente afetado pode ser sensível à palpação e com edema, e em alguns casos com discreta mobilidade dentária.[2] O dente em si pode sofrer descoloração, fratura ou sua gengiva estar avermelhada e com edema.[3]
Em alguns casos, o abscesso dental pode perfurar a cortical óssea e começar a drenar nos tecidos adjacentes, criando edema de face ou até mesmo linfadenopatia.[4]
Sinais e sintomas comuns dos abscessos dentais incluem:[3]
- Dor à palpação e percussão;
- Eritema facial;
- Trismo;
- Disfagia;
- Febre;
- Linfadenopatia.
Dispneia e estado mental alterado são sinais e sintomas que podem apontar para um comprometimento sistêmico grave e constituem emergência médica.[3]
Um abscesso agudo apresenta sintomatologia mais intensa, pela ausência de drenagem, e abscessos crônicos tendem a ser assintomáticos: a formação de uma fístula permite a drenagem do pus e o alívio da pressão nos tecidos dentários.[1]
Aspecto radiográfico
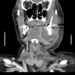
Normalmente, os abscessos dentais não aparecem radiograficamente, mas abscessos de tamanho exuberante ou de longa data podem se apresentar como lesões radiolúcidas de limites mal definidos.[1][3] Na tomografia computadorizada de feixe cônico (TCFC), os abscessos também se apresentam como lesões osteolíticas (hipodensas) em tecidos moles: a TCFC pode ser útil para o diagnóstico diferencial em lesões grandes ou para avaliar o envolvimento dos seios da face, mas não é considerada essencial para o tratamento de abscessos periapicais.[3][5]
A técnica de escolha é a radiografia periapical, mas a radiografia oclusal pode ser empregada, assim como a panorâmica, a última para pacientes com limitação da abertura bucal.[2]
Causas
O abscesso é um acúmulo localizado de pus, uma substância composta por células mortas, resíduos, neutrófilos e macrófagos. Ele se desenvolve em resposta a patógenos e inflamação.[1]
Os principais fatores causadores de abscessos periapicais são:[3]
- Lesões de cárie: permitem o acesso de microrganismos patogênicos à polpa do dente, causando uma infecção que se espalha pelo sistema de canais radiculares até chegar ao periápice;
- Traumatismo dentário;
- Condições genéticas como amelogênese imperfeita, que predispõem os indivíduos afetados a terem lesões de cárie e desgaste pelo esmalte enfraquecido;
- Atrição, levando à destruição do esmalte e dentina e exposição pulpar;
- Xerostomia, causada por medicamentos ou por condições sistêmicas como a síndrome de Sjögren, promovendo crescimento bacteriano;
- Imunossupressão, por quimioterapia ou radioterapia, ou por condições sistêmicas como HIV;
- Uso de irritantes químicos como drogas, especialmente metanfetamina.
Epidemiologia
Os abscessos periapicais são comuns e a sua prevalência varia entre 5 a 46% na população.[6] Fatores que contribuem para higiene oral inadequada como a desigualdade racial e socioeconômica influenciam sua frequência na população.[3]
Diagnóstico
O diagnóstico deve associar informações coletadas na história clínica, exame clínico e radiográfico.[2][4]
- História clínica: história prévia de lesões de cárie ou trauma;
- Exame clínico: presença de lesões de cárie, fraturas, presença de fístula;
- Exame radiográfico: presença de rarefação óssea no periápice ou alargamento do espaço do ligamento periodontal.
Algumas manobras semiotécnicas podem ter utilizadas para o diagnóstico diferencial entre os tipos de abscesso:[2][4]
- Teste de sensibilidade pulpar: sempre negativo;
- Teste de percussão e palpação: o abscesso periapical tende a ser mais sensível na percussão vertical;
- Rastreio de drenagem: tendem a formar uma fístula próxima ao ápice radicular;
- Rastreio de fístula: essa técnica pode ser utilizada para encontrar qual o dente afetado; ao inserir um cone de guta-percha dentro da parúlide, o caminho do cone leva ao epicentro da lesão e ao ser radiografada, pode-se encontrá-la e facilmente identificar o dente associado.
O diagnóstico diferencial inclui:[3]
- Granuloma periapical;
- Cisto radicular;
- Abscesso gengival;
- Abscesso periodontal;
- Abscesso peritonsilar;
- Cisto da bifurcação vestibular da mandíbula;
- Granuloma eosinofílico;
- Histiocitose de células de Langerhans;
- Osteomielite;
- Fratura radicular.
Prognóstico e tratamento
O prognóstico é excelente quando tratado, porém o não tratamento implica em mortalidade elevada: a mortalidade pode aumentar em até 40% se o paciente desenvolver mediastinite, assim como comprometimento das vias aéreas, requerendo intubação ou traqueostomia; infecções ascendentes para os seios da face ou para o cérebro possuem um prognóstico mais desfavorável.[3]
Complicações dos abscessos dentais incluem:[7]
- Sinusite odontogênica;
- Celulite;
- Trombose do seio cavernoso;
- Angina de Ludwig.
O tratamento do abscesso periapical envolve prescrição de antibióticos, tratamento endodôntico, drenagem do abscesso e exodontia do dente afetado.[5]
Os antibióticos são frequentemente prescritos quando há envolvimento sistêmico ou não há acesso imediato ao tratamento odontológico, entretanto deve-se evitar seu uso desnecessário; os antibióticos mais frequentemente prescritos são penicilinas e cefalosporinas.[3] Normalmente sua administração é oral, mas casos graves podem requerer administração intravenosa.[3]
Abscessos periapicais agudos em fase inicial podem ser drenados via intracanal, ao realizar a abertura coronária e esvaziamento do sistema de canais radiculares.[2] Em abscessos em evolução, a drenagem intracanal pode ser realizada, mas não se recomenda realizar incisão de drenagem ou prescrição de bochechos, para estimular o acúmulo de pus e formação de ponto de flutuação.[2] Em sua fase final, o abscesso periapical agudo com ponto de flutuação pode ser drenado por uma incisão intra ou extraoral.[2]
O tratamento endodôntico é o tratamento definitivo de escolha, que visa preservar o dente.[2] Em caso de falha do tratamento endodôntico, pode-se tentar o retratamento, seja ele não cirúrgico/convencional (através da remoção do material obturador, seguida de limpeza, preparo e nova obturação dos canais radiculares) ou cirúrgico: tratamentos cirúrgicos podem envolver a abertura de uma loja óssea para exposição da lesão através de osteotomia, remoção, e remoção do ápice do dente (apicectomia) com obturação retrógrada.[5]
Dentes que não podem ser reabilitados ou com sucessivas falhas no tratamento endodôntico podem precisar serem extraídos. Um abscesso que não se cura após tratamento endodôntico satisfatório ou que reagudiza frequentemente deve ser biopsiado (como por curetagem durante apicectomia) para avaliação histopatológica.[8]
Ver também
Referências
- ↑ a b c d e Gonçalves, Francisco Nathizael Ribeiro; Rodrigues, Ranyele Elis Alexandre; Borges, Marcela Maria Costa; Santos, Amanda Brito; Paula, Ana Letícia Linhares De Sousa; Souza, Emily Nicole Ximenes; Benigno, Brenda Gabriela Silva; Borges, Marcela Maria Costa; Rodrigues, Ranyele Elis Alexandre (25 de abril de 2024). «TRATAMENTO ENDODÔNTICO EM DENTES COM ABCESSO DENTOALVEOLAR: UM RELATO DE CASO». Revista CPAQV - Centro de Pesquisas Avançadas em Qualidade de Vida (1). ISSN 2178-7514. doi:10.36692/V16N1-46. Consultado em 7 de dezembro de 2024
- ↑ a b c d e f g h i Rodrigues, Jéssica Enes Morais; Cangussu, Isabela Santana; Figueiredo, Nelson Ferreira de (4 de maio de 2017). «Abscesso periapical versus periodontal: Diagnóstico diferencial - Revisão de literatura». Arquivo Brasileiro De Odontologia. 11 (1): 5-9. Consultado em 7 de dezembro de 2024
- ↑ a b c d e f g h i j k Sanders, Justin L.; Houck, Richard C. (2024). «Dental Abscess». Treasure Island (FL): StatPearls Publishing. PMID 29630201. Consultado em 7 de dezembro de 2024
- ↑ a b c Fan, Kathleen F. M.; Jones, Judith (2009). Osces for dentistry 2. ed. Knutsford: PasTest
- ↑ a b c Del Fabbro, Massimo; Corbella, Stefano; Sequeira-Byron, Patrick; Tsesis, Igor; Rosen, Eyal; Lolato, Alessandra; Taschieri, Silvio (19 de outubro de 2016). «Endodontic procedures for retreatment of periapical lesions». The Cochrane Database of Systematic Reviews (10): CD005511. ISSN 1469-493X. PMC 6461161
. PMID 27759881. doi:10.1002/14651858.CD005511.pub3. Consultado em 7 de dezembro de 2024
- ↑ Ottaviani, G; Costantinides, F; Perinetti, G; Luzzati, R; Contardo, L; Visintini, E; Tirelli, G; Di Lenarda, R; Gobbo, M (julho de 2014). «Epidemiology and variables involved in dental abscess: survey of dental emergency unit in Trieste». Oral Diseases (em inglês) (5): 499–504. ISSN 1354-523X. doi:10.1111/odi.12164. Consultado em 7 de dezembro de 2024
- ↑ «Toothache and Infection - Toothache and Infection». MSD Manual Professional Edition (em inglês). Consultado em 7 de dezembro de 2024
- ↑ Neville, Brad W., ed. (2009). Oral and maxillofacial pathology 3. ed. St. Louis, Mo: Saunders/Elsevier