Carcinoma odontogênico de células fantasmas
O carcinoma odontogênico de células fantasmas (COCF) é uma neoplasia odontogênica maligna extremamente rara[1][2]. Apesar de o tumor poder ter origem de novo, ele surge frequentemente de outros cistos e tumores odontogênicos benignos[3].O COCF é considerado a contraparte maligna do cisto odontogênico calcificante ou do tumor dentinogênico de células fantasma[2].
Sinais e sintomas
Clinicamente, o COCF é um tumor de crescimento lento[3]. Alguns dos sinais e sintomas relacionados a ele são[3]:
- Edema
- Ulceração
- Dor
- Parestesia
- Mobilidade dentária
- Reabsorção dentária ou deslocamento das raízes
- Invasão dos tecidos moles adjacentes
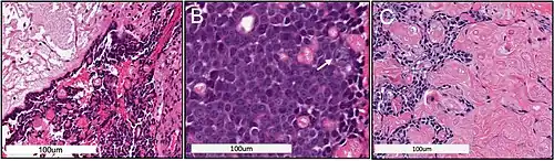
Aspectos radiográficos e histológicos
Radiograficamente, o tumor é caracterizado por ser radiolúcido ou misto, contendo áreas radiolúcidas e radiopacas, com a radiopacidade sendo causada por formação dentinoide ou pela mineralização das células fantasma[3]. O diagnóstico diferencial da radiografia ou TCFC varia a depender do estágio de calcificação do tumor[3].
Histologicamente, o COCF possui[3]:
- Padrão de crescimento infiltrativo, associado a queratinização de células fantasma;
- Áreas de formação de tecido dentinoide;
- Evidências de transformação maligna, como pleomorfismo celular, hipercromatismo, figuras mitóticas anormais, e áreas de necrose, podendo ou não haver invasão vascular ou perineural.

O termo "células fantasma" é usado para descrever células epiteliais pálidas, eosinofílicas, anucleadas ou com uma sombra muito tênue do núcleo, e que são vistas tanto no COCF quanto no cisto odontogênico calcificante, embora possam ser encontradas em outros tumores odontogênicos como odontomas e até em tumores não odontogênicos como craniofaringioma e pilomatricomas[3]. Teoriza-se que essas células são uma forma de apoptose no epitélio odontogênico, ou uma forma aberrante de queratinização que não é corada por hematoxilina-eosina[3].
Causas
O COCF é considerado uma contraparte maligna do cisto odontogênico calcificante ou do tumor dentinogênico de células fantasmas[2]. Mutações genéticas frequentemente associadas incluem dos genes TP53, CTNNB1 (β-catenina), Ki67 e APC[2][4].
Epidemiologia
Afeta normalmente indivíduos na quarta década de vida, com predileção por homens (3,4:1) e asiáticos (37,5%)[1]. Afeta mais a maxila do que mandíbula, especialmente a região anterior[1].
Diagnóstico
O diagnóstico do COCF se dá pelo exame anatomopatológico e confirmação de malignidade[2]. Outros tumores de células claras, odontogênicos ou não, podem servir para o diagnóstico diferencial[3].

A imuno-histoquímica pode ajudar a determinar o perfil tumoral. Marcadores comuns são beta-catenina, Ki67 e p53[3].
Prognóstico e tratamento
O principal tratamento é cirúrgico[1][3]. Tratamentos adjuvantes como a radioterapia e a dissecção de linfonodos de cabeça e pescoço também podem ser empregados[1]. Por ser um tumor agressivo de alta taxa de recidiva, em 63% dos casos, recomenda-se a ressecção total do tumor[3].
Metástases a distância podem ocorrer na minoria dos casos, 14,6%, sendo os pulmões (10,4%) e o cérebro (4,2%) as regiões mais afetadas[1].
Em casos em que a ressecção total não é possível, a quimioterapia pode ser usada no controle da doença[1]. Um caso clínico relata sucesso no uso de imunoterapia com toripalimabe e quimioterapia com albumina-paclitaxel e cisplatina associadas[1].
A taxa de sobrevida global em 5 anos é de 73%[3].
Referências bibliográficas
- ↑ a b c d e f g h Xia, Yong; Song, Zongchang; Zhang, Xinlei; Guan, Xinhong; Tan, Guifang; Le, Yi; Liu, Shuang; Xue, Hui; Li, Jing (22 de setembro de 2023). «Ghost cell odontogenic carcinoma: A rare case report and review of literature». Medicine (38): e35225. ISSN 0025-7974. PMID 37746979. doi:10.1097/MD.0000000000035225. Consultado em 11 de setembro de 2024
- ↑ a b c d e Soluk-tekkesin, Merva; Wright, John M. (2013). «The world health organization classification of odontogenic lesions: a summary of the changes of the 2017 (4th) edition». Turkish Journal of Pathology. ISSN 1018-5615. doi:10.5146/tjpath.2017.01410. Consultado em 11 de setembro de 2024
- ↑ a b c d e f g h i j k l m Ghita, Ioana; Nagai, Michael Y.; Lubek, Joshua E.; Stashek, Kristen M.; Basile, John R.; Price, Jeffery B.; Papadimitriou, John C.; Dyalram, Donita; Younis, Rania H. (7 de abril de 2022). «Ghost Cell Odontogenic Carcinoma Arising in a Previous Calcifying Odontogenic Cyst: A Case Report and Review of Literature». Head and Neck Pathology (3): 828–835. ISSN 1936-055X. PMC 9424368
. PMID 35389163. doi:10.1007/s12105-022-01445-6. Consultado em 11 de setembro de 2024
- ↑ Soluk-Tekkesin, Merva; Wright, John M. «The World Health Organization Classification of Odontogenic Lesions: A Summary of the Changes of the 2022 (5th) Edition». Turkish Journal of Pathology (2): 168–184. ISSN 1018-5615. PMC 9999699
. PMID 35578902. doi:10.5146/tjpath.2022.01573. Consultado em 11 de setembro de 2024