Odontoma

Odontoma é um tipo de lesão odontogênica mista composta por tecido de origem epitelial e mesenquimal, com presença de tecido mineralizado.[1] Embora tradicionalmente seja considerado um tumor odontogênico, a última classificação das lesões odontogênicas da OMS o classifica como um hamartoma (má formação tecidual), com possível heterogeneidade dentre os odontomas: algumas das lesões, de caráter localmente agressivo, tamanho exuberante e recidivantes podem ser consideradas neoplásicas por seu comportamento.[1]

Não deve ser confundido com odontoma dilatado, que é um dens in dente (uma anomalia do desenvolvimento dentário) com acentuada invaginação.[2]

Sinais e sintomas

Odontomas tendem a ser frequentemente assintomáticos, e encontrados acidentalmente em exames de rotina.[3] Sinais clínicos podem ser atraso na erupção ou erupção ectópica de um dente permanente, ou retenção prolongada de um dente decíduo.[3] Em alguns casos, pode haver infecção secundária associada ao hamartoma, e linfadenopatia.[3]

Raramente pode haver a erupção espontânea do odontoma, expondo a lesão à cavidade oral.[3] Nesses casos, há presença de dor, inflamação localizada, ou até mesmo infecção com presença de abscesso.[3]

São divididos em dois tipos, a partir de características radiográficas e histológicas: composto, e complexo.[1][3]

Aspectos radiográficos e histológicos

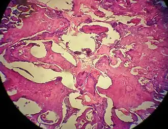
Odontoma. Microscopia com coloração em HE. Observa-se presença de tecido mineralizado.
Odontoma. Microscopia com coloração em HE. Observa-se presença de tecido mineralizado.

Radiograficamente, os dois tipos possuem características distintas:[4]

  • Odontoma composto é caracterizado pela aparência que se assemelha a dentículos (estruturas semelhantes aos dentes) de forma e tamanho variáveis, sendo envoltos por um halo radiolúcido.[4] Essa imagem radiográfica é considerada patognomônica do odontoma composto, fazendo com que o diagnóstico seja clínico e radiográfico.[4]
  • Odontoma complexo mostra-se como uma lesão de radiopacidade variável, a depender do estágio de maturação, com radiopacidade semelhante ao dente e estando circundado por um halo radiolúcido.[4] Em casos de um odontoma complexo maduro, a calcificação do hamartoma ocorre, fazendo com que seu aspecto radiográfico seja semelhante ao osteoma ou outras lesões fibro-ósseas.[3]

Os odontomas são frequentemente associados a dentes inclusos.[3][4]

Histologicamente, os tipos composto e complexo também apresentam características diferentes.[3][4]

  • O odontoma composto possui tecidos dentários (esmalte, dentina, polpa e cemento) bem diferenciados dentre um estroma de tecido conjuntivo fibroso, circundados por uma cápsula fibrosa.[3] Pode assumir aparência de dentículos, com formação de pequenos dentes disformes, ou aparência lobulada, em que não há demarcação de tecidos tão forte.[3][4]
  • O odontoma complexo é uma mistura de tecidos dentários moles e duros, sem organização ou morfologia que remeta a dentes.[3][4] Além disso, pode haver presença de células fantasmas no odontoma complexo: elas podem representar remanescentes do epitélio odontogênico que sofreu queratinização e subsequente morte celular devido à anoxia local. .[4]

Anteriormente, a classificação de lesões odontogênicas da OMS trazia outras entidades separadas nos tumores odontogênicos mistos, o fibrodentinoma ameloblástico (quando há formação de matriz dentinoide) e fibro-odontoma ameloblástico (quando há formação de matriz de esmalte e dentina)[1]. O fibrodentinoma ameloblástico e o fibro-odontoma ameloblástico eram subtipos do fibroma ameloblástico, uma neoplasia odontogênica verdadeira, mas na atual classificação de 2022, foram extintos porque, a partir do momento em que há formação de tecido mineralizado, há evidências de que ambas as lesões irão progredir e se transformarem em odontomas.[1] Nomeia-se, atualmente, o fibrodentinoma ameloblástico e fibro-odontoma ameloblástico como odontomas, e sabe-se que essas duas formas são mais agressivas e propensas a crescimento exuberante e recidiva, caracterizando um comportamento verdadeiramente neoplásico.[1] Por isso, a OMS aconselha mais estudos para determinar a verdadeira natureza dos odontomas, se são hamartomas ou neoplasias.[1]

Causas

A etiologia dos odontomas é desconhecida.[5] A teoria mais aceita relaciona-os a traumas, infecção ou inflamação no local da formação, e anomalias hereditárias.[5]

Das anomalias hereditárias, pode-se citar como fatores predisponentes:[5]

  • Síndrome de Gardener;
  • Síndrome de Hermanns;
  • Hiperatividade odontoblástica;
  • Ativação atípica de odontoblastos maduros e restos da lâmina dentária (restos epiteliais de Serres).

Epidemiologia

Os odontomas são o tumor odontogênico mais comum, com incidência variando entre 22 a 67%.[3] Apesar de poderem ser diagnosticados em qualquer fase da vida, são mais frequentes na adolescência, com idade média ao diagnóstico de 14,8 anos.[3] Possuem ligeira predileção por homens (59%). O tipo complexo é mais comum na mandíbula posterior, em região de molares, enquanto o tipo composto é mais comum na maxila anterior, especialmente caninos.[1]

Diagnóstico

O diagnóstico é frequentemente clínico e radiográfico, mas pode-se realizar o exame anatomopatológico para confirmar a hipótese.[3][4]

Diagnósticos diferenciais incluem:[3]

Prognóstico e tratamento

O tratamento para os odontomas é sua total ressecção cirúrgica, com prognóstico bastante favorável, sendo raros os casos de recidiva.[3] A remoção cirúrgica total pode ser conservadora, mas deve ser realizada para evitar complicações como a formação de um cisto dentígero a partir do odontoma.[5]

Quando ocorre retenção dentária causada pela lesão, a trajetória de erupção deve ser avaliada para verificar a necessidade de tratamento ortodôntico do dente impactado, avaliando caso a caso.[3]

Ver também

Bibliografia

  1. a b c d e f g h Soluk-Tekkesin, Merva; Wright, John M. «The World Health Organization Classification of Odontogenic Lesions: A Summary of the Changes of the 2022 (5th) Edition». Turkish Journal of Pathology (2): 168–184. ISSN 1018-5615. PMC 9999699Acessível livremente. PMID 35578902. doi:10.5146/tjpath.2022.01573. Consultado em 5 de outubro de 2024 
  2. Santos, Marcéla Frenhani dos; Baroni, Eron José; Maragno, Ângela Catarina; Stürmer, Muriel Becker (18 de setembro de 2023). «Dilated odontoma in the mandibular third molar region: a case report». RGO - Revista Gaúcha de Odontologia (em inglês): e20230043. ISSN 0103-6971. doi:10.1590/1981-86372023004320230002. Consultado em 5 de outubro de 2024 
  3. a b c d e f g h i j k l m n o p q r Mazur, Marta; Di Giorgio, Gianni; Ndokaj, Artnora; Jedliński, Maciej; Corridore, Denise; Marasca, Beatrice; Salucci, Alessandro; Polimeni, Antonella; Ottolenghi, Livia (2 de outubro de 2022). «Characteristics, Diagnosis and Treatment of Compound Odontoma Associated with Impacted Teeth». Children (10). 1509 páginas. ISSN 2227-9067. PMC 9600053Acessível livremente. PMID 36291445. doi:10.3390/children9101509. Consultado em 5 de outubro de 2024 
  4. a b c d e f g h i j Thompson, Lester D. R. (setembro de 2021). «Odontoma». Ear, Nose & Throat Journal (em inglês) (5_suppl): 536S–537S. ISSN 0145-5613. doi:10.1177/0145561319890175. Consultado em 5 de outubro de 2024 
  5. a b c d Satish, V; Prabhadevi, Maganur C; Sharma, Rajesh (2011). «Odontome: A Brief Overview». International Journal of Clinical Pediatric Dentistry (3): 177–185. ISSN 0974-7052. PMC 5034075Acessível livremente. PMID 27678223. doi:10.5005/jp-journals-10005-1106. Consultado em 5 de outubro de 2024