Carcinoma de glândula salivar
Os carcinomas de glândula salivar são um grupo de neoplasias malignas (cânceres) que afetam as glândulas salivares.[1]
Classificação
Podem ser classificados em:[1]
- Carcinoma de células escamosas;
- Carcinoma linfoepitelial;
- Carcinoma mioepitelial;
- Carcinoma mucoepidermoide;
- Carcinoma secretório.
Carcinoma de células escamosas
O carcinoma de células escamosas representa 16 a 54% dos tumores malignos de glândulas salivares, e 11% das malignidades de glândulas salivares maiores.[2] São mais frequentes na parótida (30 a 37%) e podem afetar o ducto parotídeo. Afeta mais homens e está associado com HIV em fase de AIDS.[2] Carcinomas de células escamosas verdadeiros nas glândulas salivares são raros: a maioria dos casos são metástases para linfonodos intraparótidos advindos da cavidade oral, trato aerodigestivo superior ou da pele.[2]
Clinicamente, possuem um perfil muito agressivo, caracterizado por um crescimento indolor rápido infiltrando estruturas adjacentes, causando paralisia facial.[2]
Histologicamente, ele demonstra características clássicas de um carcinoma de células escamosas, podendo haver invasão perineural e células claras presentes.[2] Normalmente ele é um componente ou coexiste com outros tumores e lesões, como carcinossarcoma, cisto epidermoide, carcinoma epitelial-mioepitelial, carcinoma mucoepidermoide, carcinoma sarcomatoide, carcinoma do ducto salivar, linfadenoma sebáceo e tumor de Warthin.[2][3]
Seu tratamento consiste na ressecção cirúrgica radical e radioterapia adjuvante.[2] Pela agressividade, a sobrevida em 5 anos é de cerca de 50%.[2][4]
Carcinoma linfoepitelial
O carcinoma linfoepitelial é um tumor maligno raro, representando 0,4% de todas as neoplasias malignas de glândulas salivares.[5] Ele pode afetar outras partes do corpo, além das glândulas salivares, como pulmão, estômago, mama, ovários, útero, pelve, bexiga e pele; em cabeça e pescoço, pode afetar a cavidade oral, tonsilas, laringe e palato mole, mas afeta principalmente as glândulas salivares: 82% dos casos ocorrem na parótida ou submandibular (7:1).[6]
O carcinoma linfoepitelial possui forte predileção por chineses e inuítes, sendo mais frequente em mulheres, exceto na população chinesa.[5] Está associado ao carcinoma linfoepitelioma de útero e a infecção pelo vírus Epstein-Barr (EBV).[5][6]
Clinicamente, costuma se apresentar como uma massa de consistência fibrosa assintomática, podendo haver dor ou desconforto; 20% dos casos são associados com paralisia do nervo facial e 40% com linfadenopatia cervical.[6]
Exames de imagem como a tomografia computadorizada (TC) e ressonância magnética revelam uma massa de limites mal definidos, de aspecto lobular ou em placa, com aspecto homogêneo sem sinais de degeneração cística, necrose ou calcificações.[6]
Histologicamente, ele se assemelha ao carcinoma indiferenciado de nasofaringe, exibindo ilhotas de células epiteliais malignas semelhantes a um carcinoma de células gigantes não queratinizado, com tecido linfoide e centros germinativos; pode haver presença de invasão perineural ou um aspecto de céu estrelado, de granuloma ou amiloide.[5][6]
O tratamento de escolha é a ressecção cirúrgica com margens negativas e radioterapia, possuindo prognóstico favorável.[5] Possui uma taxa de recidiva local de 28,9%, com taxa de metástase de 20% (especialmente em fígado, pulmão e ossos): porém, por ser radiossensível e ter agressividade limitada pelo estroma linfoide, a taxa de sobrevida em 5 anos é de 66%.[5][6]
Carcinoma mioepitelial
O carcinoma mioepitelial é uma neoplasia maligna de glândulas salivares composta exclusivamente ou quase exclusivamente por células mioepiteliais malignas.[7] Representa cerca de 4% dos tumores de glândula salivar, e é considerado subdiagnosticado, portanto sua frequência verdadeira pode ser bem maior.[7][8] Afeta principalmente a parótida (24 a 73% dos casos), glândulas salivares menores (especialmente no palato) e submandibular.[7][8][9][10] Não possui predileção por sexo e idade, com mediana de idade em 59 anos.[7][8][9] Mais de 50% dos tumores apresentam fusão do gene PLAG1.[7]
Clinicamente, não possui características específicas, e é relatado frequentemente como uma massa indolor, podendo surgir de novo ou a partir de um adenoma pleomórfico.[7][8] Em exames de imagem, tende a se apresentar como uma massa de bordas parcialmente difusas, de aspecto lobular, heterogênea na TC.[7][11]
Histologicamente, é um tumor composto quase que completamente ou completamente por células mioepiteliais, que podem ter aspecto variado (células claras, epitelioide, plasmocitoide ou fusiforme).[7] Ao centro, pode haver presença de uma área hipocelularizada com estroma hialino ou necrose (que é um fator preditivo de alto grau).[7][9] O seu crescimento é expansivo e multinodular, raramente exibindo infiltração de pequenas ilhotas ou reação tecidual desmoplásica.[7]
O tratamento consiste na ressecção cirúrgica radical, que é frequentemente curativo.[7] São relativamente agressivos: 15 a 27% desenvolvem metástase e 33% recidivam localmente, tendo maior propensão a metástase à distância do que regional.[7][8][9][12][13] Fatores que contribuem para um prognóstico negativo incluem: ex-adenoma pleomórfico, necrose, alto índice mitótico e margens positivas.[7][8][9]
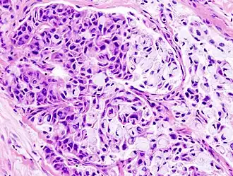
Carcinoma mucoepidermoide
_HE_stain.jpg)
O carcinoma mucoepidermoide é a neoplasia maligna de glândulas salivares mais comum, tanto em adultos como crianças, representando 10 a 15% de todos os tumores de glândulas salivares.[14][15] Afeta adultos de qualquer idade e crianças entre os 11 e 15 anos, com ligeira predileção por mulheres.[14][15] Afeta primariamente as glândulas salivares maiores (parótida > submandibular > sublingual) e menores (palato > mucosa jugal > região retromolar).[14][16][17] Em casos mais raros, pode ocorrer na nasofaringe, pulmões e até intraósseo na mandíbula.[14][18][19][20] Está possivelmente associado com exposição a radiação ionizante.[14][17]
Clinicamente, sua apresentação depende do local e do tamanho do tumor, mas até 33% dos pacientes são assintomáticos; tende a se mostrar como uma massa indolor que causa desconforto ou pressão.[14][21]
Radiograficamente, carcinoma mucoepidermoides de baixo grau tendem a ser bem circunscritos e de aspecto cístico na TC, com eventuais componentes sólidos ou calcificações, e aspecto semelhante ao adenoma pleomórfico na ressonância magnética.[14] Já os de alto grau são mais sólidos e mais infiltrativos.[14] Na ultrassonografia, tendem a ser relativamente hiperecoicos quando comparados à parótida normal.[14]
Histologicamente, podem ser de um padrão arquitetural sólido, cístico ou misto, podendo apresentar padrão glandular ou papilar.[14] Possuem uma proporção variável de células epidermoides, intermediária e mucócitos, distribuídas em ilhotas, cordões ou em lençol, com estroma fibroso.[14] Pode possuir algumas variantes histológicas como de células claras, oncocítico, esclerosante, Warthin-like, ciliado, fusiforme e mucoacinar.[14][22][23][24]
O tratamento de escolha é a ressecção cirúrgica (mais conservadora no estágio I e II, radical para os tumores de alto grau e com margens positivas) e dissecção dos linfonodos cervicais.[14] Para os tumores de alto grau, a radioterapia e quimioterapia adjuvantes são opções.[14] O prognóstico tende a ser excelente, com sobrevida em 5 anos de 98% em tumores de baixo grau e 67% para os de alto grau.[14][21] Fatores prognósticos negativos incluem manifestação na glândula submandibular, margens positivas, extensão para fora do parênquima e ausência de cápsula, metástase ou espalhamento linfonodal, e expressão aumentada de MUC1.[14][21]
Carcinoma secretório
O carcinoma secretório é uma neoplasia rara de glândulas salivares.[25] A maior parte dos casos ocorre na parótida (76%), mas pode afetar as glândulas salivares menores, submandibular, e em casos raros na cavidade nasal, pele, tireoide, glândulas lacrimais, vulva e pulmões.[25][26][27][28] Possui ligeira predileção por homens (1,4:1) e adultos (média de idade de 49,9 anos).[25][26][29] É caracterizado pelo rearranjo do gene ETV6.[25]
Clinicamente tende a ser uma massa indolente de crescimento lento, e a maior parte dos casos é diagnosticada precocemente (estadiamento T1 ou T2).[25][30][31] Os exames de imagem não são específicos, e os tumores frequentemente possuem um componente cístico.[25][32] Histologicamente, são tumores de arquitetura variável (macrocística, microcística, sólida, tubular, folicular e papilar) com células eosinofílicas de citoplasma vacuolado e núcleo pequeno com nucléolo distinto.[25][33][34] Ocasionalmente pode-se observar secreções intraluminais pálidas, semelhantes ao coloide da tireoide, que são positivas para a coloração PAS.[25] É um tumor tipicamente de baixo grau, mas a transformação de alto grau já foi relatada nos casos de crescimento sólido ou trabecular, margens infiltrativas, reação estromal desmoplásica, necrose, pleomorfismo nuclear, aumento de mitoses, perda de atividade secretória e invasão perineural.[25]
O tratamento consiste na ressecção do tumor, com a possibilidade de dissecção de linfonodos cervicais ou radioterapia adjuvante em casos de prognóstico adverso ou metástase linfonodal.[25][35][36][37] Tratamento medicamentoso com inibidores de TRK estão sendo estudados para os tumores com o rearranjo ETV6-NTRK3.[25][38] O prognóstico para tumores de alto grau e estadiamento T3 ou T4 é considerado desfavorável.[25]
Ver também
Referências
- ↑ a b Żurek, Michał; Fus, Łukasz; Niemczyk, Kazimierz; Rzepakowska, Anna (1 de novembro de 2023). «Salivary gland pathologies: evolution in classification and association with unique genetic alterations». European Archives of Oto-Rhino-Laryngology (em inglês) (11): 4739–4750. ISSN 1434-4726. PMC 10562281
. PMID 37439929. doi:10.1007/s00405-023-08110-w. Consultado em 26 de janeiro de 2025
- ↑ a b c d e f g h Handra-Luca, Adriana. «Squamous cell carcinoma». Pathology Outlines. Consultado em 26 de janeiro de 2025
- ↑ Nagao, Toshitaka; Sugano, Isamu; Ishida, Yasuo; Asoh, Akira; Munakata, Shigeru; Yamazaki, Kazuto; Konno, Akiyoshi; Iwaya, Keiichi; Shimizu, Tohru (julho de 2002). «Hybrid carcinomas of the salivary glands: report of nine cases with a clinicopathologic, immunohistochemical, and p53 gene alteration analysis». Modern Pathology: An Official Journal of the United States and Canadian Academy of Pathology, Inc (7): 724–733. ISSN 0893-3952. PMID 12118110. doi:10.1097/01.MP.0000018977.18942.FD. Consultado em 26 de janeiro de 2025
- ↑ Taxy, J. B. (junho de 2001). «Squamous carcinoma in a major salivary gland: a review of the diagnostic considerations». Archives of Pathology & Laboratory Medicine (6): 740–745. ISSN 0003-9985. PMID 11371224. doi:10.5858/2001-125-0740-SCIAMS. Consultado em 26 de janeiro de 2025
- ↑ a b c d e f Handra-Luca, Adriana. «Lymphoepithelial carcinoma». Pathology Outlines. Consultado em 26 de janeiro de 2025
- ↑ a b c d e f Whelan, Ashley; Al-Sayed, Ahmed A.; Bullock, Martin; Taylor, S. Mark (1 de janeiro de 2020). «Primary parotid lymphoepithelial carcinoma: A case report and literature review of a rare pathological entity». International Journal of Surgery Case Reports: 610–614. ISSN 2210-2612. PMC 7332494
. PMID 32698300. doi:10.1016/j.ijscr.2020.06.035. Consultado em 26 de janeiro de 2025
- ↑ a b c d e f g h i j k l m Salama, Abeer; Xu, Bin. «Myoepithelial carcinoma». Pathology Outlines. Consultado em 26 de janeiro de 2025
- ↑ a b c d e f Kane, Shubhada V.; Bagwan, Izhar N. (julho de 2010). «Myoepithelial carcinoma of the salivary glands: a clinicopathologic study of 51 cases in a tertiary cancer center». Archives of Otolaryngology--Head & Neck Surgery (7): 702–712. ISSN 1538-361X. PMID 20644067. doi:10.1001/archoto.2010.104. Consultado em 26 de janeiro de 2025
- ↑ a b c d e Wang, Chenxing; Zhang, Zhuoyuan; Ge, Yaneng; Liu, Zhe; Sun, Jun; Gao, Zhenjie; Li, Longjiang (outubro de 2015). «Myoepithelial Carcinoma of the Salivary Glands: A Clinicopathologic Study of 29 Patients». Journal of Oral and Maxillofacial Surgery: Official Journal of the American Association of Oral and Maxillofacial Surgeons (10): 1938–1945. ISSN 1531-5053. PMID 25896567. doi:10.1016/j.joms.2015.03.054. Consultado em 26 de janeiro de 2025
- ↑ Kong, Max; Drill, Esther N.; Morris, Luc; West, Lyndsay; Klimstra, David; Gonen, Mithat; Ghossein, Ronald; Katabi, Nora (julho de 2015). «Prognostic factors in myoepithelial carcinoma of salivary glands: a clinicopathologic study of 48 cases». The American Journal of Surgical Pathology (7): 931–938. ISSN 1532-0979. PMC 4939272
. PMID 25970687. doi:10.1097/PAS.0000000000000452. Consultado em 26 de janeiro de 2025
- ↑ Yue, Dong; Feng, Wen; Ning, Cai; Han, Li Xiao; YaHong, Luo (junho de 2017). «Myoepithelial carcinoma of the salivary gland: pathologic and CT imaging characteristics (report of 10 cases and literature review)». Oral Surgery, Oral Medicine, Oral Pathology and Oral Radiology (6): e182–e187. ISSN 2212-4411. PMID 28153562. doi:10.1016/j.oooo.2016.11.020. Consultado em 26 de janeiro de 2025
- ↑ Savera, A. T.; Sloman, A.; Huvos, A. G.; Klimstra, D. S. (junho de 2000). «Myoepithelial carcinoma of the salivary glands: a clinicopathologic study of 25 patients». The American Journal of Surgical Pathology (6): 761–774. ISSN 0147-5185. PMID 10843278. doi:10.1097/00000478-200006000-00001. Consultado em 26 de janeiro de 2025
- ↑ Laguna, J. C.; Nagi, M. N.; Cook, L.; Cinti, D. L. (15 de fevereiro de 1989). «Action of Ebselen on rat hepatic microsomal enzyme-catalyzed fatty acid chain elongation, desaturation, and drug biotransformation». Archives of Biochemistry and Biophysics (1): 272–283. ISSN 0003-9861. PMID 2563645. doi:10.1016/0003-9861(89)90109-4. Consultado em 26 de janeiro de 2025
- ↑ a b c d e f g h i j k l m n o p Asiry, Saeed; Rao, Rema. «Mucoepidermoid carcinoma». Pathology Outlines. Consultado em 26 de janeiro de 2025
- ↑ a b Bradley, Patrick J.; McGurk, Mark (julho de 2013). «Incidence of salivary gland neoplasms in a defined UK population». The British Journal of Oral & Maxillofacial Surgery (5): 399–403. ISSN 1532-1940. PMID 23103239. doi:10.1016/j.bjoms.2012.10.002. Consultado em 26 de janeiro de 2025
- ↑ Dahan, Laurie Saloner; Giorgi, Roch; Vergez, Sébastien; Le Taillandier de Gabory, Ludovic; Costes-Martineau, Valérie; Herman, Philippe; Poissonnet, Gilles; Mauvais, Olivier; Malard, Olivier (junho de 2021). «Mucoepidermoid carcinoma of salivary glands: A French Network of Rare Head and Neck Tumors (REFCOR) prospective study of 292 cases». European Journal of Surgical Oncology: The Journal of the European Society of Surgical Oncology and the British Association of Surgical Oncology (6): 1376–1383. ISSN 1532-2157. PMID 33248902. doi:10.1016/j.ejso.2020.11.123. Consultado em 26 de janeiro de 2025
- ↑ a b Gill, Sharanjeet; Mohan, Amit; Aggarwal, Shivani; Varshney, Anchal (2018). «Mucoepidermoid carcinoma of hard palate». Indian Journal of Pathology & Microbiology (3): 397–398. ISSN 0974-5130. PMID 30004063. doi:10.4103/IJPM.IJPM_617_17. Consultado em 26 de janeiro de 2025
- ↑ Triantafillou, Vasiliki; Maina, Ivy W.; Kuan, Edward C.; Kohanski, Michael A.; Tong, Charles C.; Patel, Neil N.; Carey, Ryan M.; Workman, Alan D.; Palmer, James N. (setembro de 2019). «Sinonasal mucoepidermoid carcinoma: a review of the National Cancer Database». International Forum of Allergy & Rhinology (9): 1046–1053. ISSN 2042-6984. PMID 31314958. doi:10.1002/alr.22379. Consultado em 26 de janeiro de 2025
- ↑ Kalhor, Neda; Moran, Cesar A. (março de 2018). «Pulmonary mucoepidermoid carcinoma: diagnosis and treatment». Expert Review of Respiratory Medicine (3): 249–255. ISSN 1747-6356. PMID 29338644. doi:10.1080/17476348.2018.1428563. Consultado em 26 de janeiro de 2025
- ↑ de Freitas, George Borja; de França, Arthur José Barbosa; Dos Santos, Stefanny Torres; de Lima Júnior, Miqueias Oliveira; da Fonte Neto, Adilis Stepple; Bernardon, Paula (2018). «Intraosseous Mucoepidermoid Carcinoma in the Mandible». Case Reports in Dentistry. 9348540 páginas. ISSN 2090-6447. PMC 6311874
. PMID 30647976. doi:10.1155/2018/9348540. Consultado em 26 de janeiro de 2025
- ↑ a b c Peraza, A.; Gómez, R.; Beltran, J.; Amarista, F. J. (dezembro de 2020). «Mucoepidermoid carcinoma. An update and review of the literature». Journal of Stomatology, Oral and Maxillofacial Surgery (6): 713–720. ISSN 2468-7855. PMID 32565266. doi:10.1016/j.jormas.2020.06.003. Consultado em 26 de janeiro de 2025
- ↑ Ishibashi, Kenichiro; Ito, Yohei; Masaki, Ayako; Fujii, Kana; Beppu, Shintaro; Sakakibara, Takeo; Takino, Hisashi; Takase, Hiroshi; Ijichi, Kei (novembro de 2015). «Warthin-like Mucoepidermoid Carcinoma: A Combined Study of Fluorescence In Situ Hybridization and Whole-slide Imaging». The American Journal of Surgical Pathology (11): 1479–1487. ISSN 1532-0979. PMID 26457352. doi:10.1097/PAS.0000000000000507. Consultado em 26 de janeiro de 2025
- ↑ Bishop, Justin A.; Cowan, Morgan L.; Shum, Chung H.; Westra, William H. (janeiro de 2018). «MAML2 Rearrangements in Variant Forms of Mucoepidermoid Carcinoma: Ancillary Diagnostic Testing for the Ciliated and Warthin-like Variants». The American Journal of Surgical Pathology (1): 130–136. ISSN 1532-0979. PMC 5730480
. PMID 28877061. doi:10.1097/PAS.0000000000000932. Consultado em 26 de janeiro de 2025
- ↑ Jahan-Parwar, B.; Huberman, R. M.; Donovan, D. T.; Schwartz, M. R.; Ostrowski, M. L. (maio de 1999). «Oncocytic mucoepidermoid carcinoma of the salivary glands». The American Journal of Surgical Pathology (5): 523–529. ISSN 0147-5185. PMID 10328083. doi:10.1097/00000478-199905000-00005. Consultado em 26 de janeiro de 2025
- ↑ a b c d e f g h i j k l Fielder, Timothy; Gupta, Ruta. «Secretory carcinoma». Pathology Outlines. Consultado em 26 de janeiro de 2025
- ↑ a b Skálová, Alena; Banečkova, Martina; Thompson, Lester D. R.; Ptáková, Nikola; Stevens, Todd M.; Brcic, Luka; Hyrcza, Martin; Michal, Michael; Simpson, Roderick H. W. (outubro de 2020). «Expanding the Molecular Spectrum of Secretory Carcinoma of Salivary Glands With a Novel VIM-RET Fusion». The American Journal of Surgical Pathology (10): 1295–1307. ISSN 1532-0979. PMID 32675658. doi:10.1097/PAS.0000000000001535. Consultado em 26 de janeiro de 2025
- ↑ Huang, Tao; McHugh, Jonathan B.; Berry, Gerald J.; Myers, Jeffrey L. (abril de 2018). «Primary mammary analogue secretory carcinoma of the lung: a case report». Human Pathology: 109–113. ISSN 1532-8392. PMID 29104113. doi:10.1016/j.humpath.2017.10.027. Consultado em 26 de janeiro de 2025
- ↑ Nguyen, Jane K.; Bridge, Julia A.; Joshi, Chandrika; McKenney, Jesse K. (maio de 2019). «Primary Mammary Analog Secretory Carcinoma (MASC) of the Vulva With ETV6-NTRK3 Fusion: A Case Report». International Journal of Gynecological Pathology: Official Journal of the International Society of Gynecological Pathologists (3): 283–287. ISSN 1538-7151. PMID 29672325. doi:10.1097/PGP.0000000000000501. Consultado em 26 de janeiro de 2025
- ↑ Chiosea, Simion I.; Griffith, Christopher; Assaad, Adel; Seethala, Raja R. (setembro de 2012). «Clinicopathological characterization of mammary analogue secretory carcinoma of salivary glands». Histopathology (3): 387–394. ISSN 1365-2559. PMID 22372712. doi:10.1111/j.1365-2559.2012.04232.x. Consultado em 26 de janeiro de 2025
- ↑ Ayre, Gareth; Hyrcza, Martin; Wu, Jonn; Berthelet, Eric; Skálová, Alena; Thomson, Tom (maio de 2019). «Secretory carcinoma of the major salivary gland: Provincial population-based analysis of clinical behavior and outcomes». Head & Neck (5): 1227–1236. ISSN 1097-0347. PMID 30592355. doi:10.1002/hed.25536. Consultado em 26 de janeiro de 2025
- ↑ Boon, E.; Valstar, M. H.; van der Graaf, W. T. A.; Bloemena, E.; Willems, S. M.; Meeuwis, C. A.; Slootweg, P. J.; Smit, L. A.; Merkx, M. a. W. (julho de 2018). «Clinicopathological characteristics and outcome of 31 patients with ETV6-NTRK3 fusion gene confirmed (mammary analogue) secretory carcinoma of salivary glands». Oral Oncology: 29–33. ISSN 1879-0593. PMID 29909898. doi:10.1016/j.oraloncology.2018.04.022. Consultado em 26 de janeiro de 2025
- ↑ Kashiwagi, Nobuo; Nakatsuka, Shin Ichi; Murakami, Takamichi; Enoki, Eisuke; Yamamoto, Kazuhiro; Nakanishi, Katsuyuki; Chikugo, Takaaki; Kurisu, Yoshitaka; Kimura, Masatomo (julho de 2018). «MR imaging features of mammary analogue secretory carcinoma and acinic cell carcinoma of the salivary gland: a preliminary report». Dento Maxillo Facial Radiology (5). 20170218 páginas. ISSN 0250-832X. PMC 6196047
. PMID 29493279. doi:10.1259/dmfr.20170218. Consultado em 26 de janeiro de 2025
- ↑ Skálová, Alena; Vanecek, Tomas; Sima, Radek; Laco, Jan; Weinreb, Ilan; Perez-Ordonez, Bayardo; Starek, Ivo; Geierova, Marie; Simpson, Roderrick H. W. (maio de 2010). «Mammary analogue secretory carcinoma of salivary glands, containing the ETV6-NTRK3 fusion gene: a hitherto undescribed salivary gland tumor entity». The American Journal of Surgical Pathology (5): 599–608. ISSN 1532-0979. PMID 20410810. doi:10.1097/PAS.0b013e3181d9efcc. Consultado em 26 de janeiro de 2025
- ↑ Hernandez-Prera, Juan C.; Holmes, Brittany J.; Valentino, Alessandro; Harshan, Manju; Bacchi, Carlos E.; Petersson, Fredrik; Liu, Kenian K.; Najfeld, Vesna; Wenig, Bruce M. (novembro de 2019). «Macrocystic (Mammary Analogue) Secretory Carcinoma: An Unusual Variant and a Pitfall in the Differential Diagnosis of Cystic Lesions in the Head and Neck». The American Journal of Surgical Pathology (11): 1483–1492. ISSN 1532-0979. PMID 31464708. doi:10.1097/PAS.0000000000001309. Consultado em 26 de janeiro de 2025
- ↑ Anderson, Jennifer L.; Haidar, Yarah M.; Armstrong, William B.; Tjoa, Tjoson (1 de janeiro de 2019). «Analysis of Clinical Features of Mammary Analog Secretory Carcinoma Using the Surveillance, Epidemiology, and End Results Database». JAMA otolaryngology-- head & neck surgery (1): 91–93. ISSN 2168-619X. PMC 6439805
. PMID 30419133. doi:10.1001/jamaoto.2018.2936. Consultado em 26 de janeiro de 2025
- ↑ Baghai, F.; Yazdani, F.; Etebarian, A.; Garajei, A.; Skalova, A. (setembro de 2017). «Clinicopathologic and molecular characterization of mammary analogue secretory carcinoma of salivary gland origin». Pathology, Research and Practice (9): 1112–1118. ISSN 1618-0631. PMID 28781197. doi:10.1016/j.prp.2017.07.017. Consultado em 26 de janeiro de 2025
- ↑ Moore, Michael G.; Yueh, Bevan; Lin, Derrick T.; Bradford, Carol R.; Smith, Richard V.; Khariwala, Samir S. (janeiro de 2021). «Controversies in the Workup and Surgical Management of Parotid Neoplasms». Otolaryngology--Head and Neck Surgery: Official Journal of American Academy of Otolaryngology-Head and Neck Surgery (1): 27–36. ISSN 1097-6817. PMID 32571148. doi:10.1177/0194599820932512. Consultado em 26 de janeiro de 2025
- ↑ Drilon, Alexander; Laetsch, Theodore W.; Kummar, Shivaani; DuBois, Steven G.; Lassen, Ulrik N.; Demetri, George D.; Nathenson, Michael; Doebele, Robert C.; Farago, Anna F. (22 de fevereiro de 2018). «Efficacy of Larotrectinib in TRK Fusion-Positive Cancers in Adults and Children». The New England Journal of Medicine (8): 731–739. ISSN 1533-4406. PMC 5857389
. PMID 29466156. doi:10.1056/NEJMoa1714448. Consultado em 26 de janeiro de 2025