Coloração ácido periódico-Schiff
_PAS_stain.jpg)
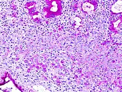
A coloração ácido periódico-Schiff ou coloração PAS (do inglês periodic acid–Schiff) é um método de coloração usado em histologia e patologia. Este método é primariamente usado para identificar glicogênio em tecidos. A reação do ácido periódico seletivamente oxida glicois vicinais, como encontrados na glicose, produzindo aldeídos, que ao reagirem com o reagente de Schiff produzem uma substância com cor púrpura-magenta.
A coloração PAS é principalmente usada para colorir estruturas contendo uma alta proporção de macromoléculas de carboidratos (glicogênio, glicoproteínas neutras), encontrados nos tecidos conjuntivos.
Coloração PAS pode ser usada para distinguir entre diferentes tipos de doenças de estocagem de glicogênio. Entretanto, tem usos além destes, tais como indicativo de patologias como a doença de Paget, ou na coloração de bactérias na doença de Whipple, assim como no diagnóstico da adiaspiromicose pulmonar[1] e dermatofitose.[2]
Referências
- ↑ Vitorino Modesto dos Santos, et al; Contribuição ao diagnóstico morfológico da adiaspiromicose pulmonar; Revista da Sociedade Brasileira de Medicina Tropical; doi: 10.1590/S0037-86822000000500012
- ↑ Rosicler Rocha, Antonio de Souza Marques, Tania Ludmila de Assis; Aspecto da derme em casos de dermatofitose (dados preliminares); Anais Brasileiros de Dermatologia; VOLUME 48 - Nº 4: Artigos originais