Basofilia
| Basofilia | |
|---|---|
![]() | |
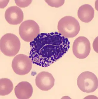
| Granulócito basofílico cercado por eritrócitos e um trombócito. | |
| Especialidade | hematologia |
| Causas | Leucemia mieloide crônica, policitemia vera, mielofibrose primária, trombocitemia essencial, leucemia mieloide aguda, reações alérgicas ou inflamação crônica relacionada a infecções, doença inflamatória intestinal e doença autoimune |
| Método de diagnóstico | Hemograma completo e esfregaço de sangue |
| Classificação e recursos externos | |
| CID-11 | MA16.11 |
| DiseasesDB | 29698 |
Basofilia é a condição de ter mais de 200 basófilos/μL no sangue venoso.[1] Os basófilos são as células mielogênicas menos numerosas, e é raro que seus números sejam anormalmente altos sem alterações em outros componentes do sangue. Em vez disso, a basofilia é mais frequentemente associada a outras condições dos glóbulos brancos, como a eosinofilia, níveis elevados de eosinófilos no sangue.[1] Os basófilos são facilmente identificáveis pela coloração azul dos grânulos dentro de cada célula, marcando-os como granulócitos, além dos núcleos segmentados.[2]
Causas
A basofilia pode ser atribuída a muitas causas e normalmente não é evidência suficiente por si só para indicar uma condição específica quando isolada como um achado em exame microscópico. Juntamente com outros achados, como níveis anormais de neutrófilos, pode sugerir a necessidade de exames adicionais. Como exemplo, evidências adicionais de neutrofilia deslocada para a esquerda juntamente com basofilia indicam uma probabilidade potencial principalmente de leucemia mieloide crônica (LMC) ou uma neoplasia mieloproliferativa alternativa. Além disso, a basofilia na presença de numerosos blastos circulantes sugere a possibilidade de leucemia mieloide aguda. A elevação de basófilos também pode ser representativa de várias outras neoplasias subjacentes, como policitemia vera (PV), mielofibrose, trombocitemia ou, em casos raros, tumores sólidos. Outras causas básicas alternativas além dessas complicações neoplásicas são mais comumente reações alérgicas ou inflamação crônica relacionada a infecções como tuberculose, gripe, doença inflamatória intestinal ou doença autoimune inflamatória.[1] Além disso, a basofilia pode ser um sintoma da síndrome de ativação dos mastócitos (MCAS).[3] Anemia hemolítica crônica e doenças infecciosas como a varíola também apresentam níveis elevados de basófilos.[4] O uso de certos medicamentos e a ingestão de alimentos também podem estar correlacionados com os sintomas da basofilia.[5]
Diagnóstico
A basofilia pode ser detectada por meio de um hemograma completo. A causa raiz da basofilia pode ser determinada por meio de biópsia de medula óssea, testes genéticos para procurar mutações genéticas ou ultrassom para determinar o aumento do baço. Um aspirado de medula óssea pode ser usado para confirmar um aumento de basófilos ou números significativamente altos de precursores de granulócitos. Como a basofilia está presente em uma ampla gama de condições clínicas, dependendo de uma variedade de causas subjacentes, sinais e sintomas suplementares devem ser investigados para um diagnóstico. Se for detectada esplenomegalia, pode-se suspeitar de uma síndrome mieloproliferativa. Sintomas intrinsecamente relacionados, como febre, mal-estar, prurido (coceira) devido à liberação de histamina,[6] fadiga e dor no quadrante superior direito podem estar presentes no paciente afetado. Em algumas condições, como policitemia vera, eritromelalgia ou queimação nas palmas das mãos e plantas dos pés, a trombocitose é comum. Esta sintomatologia grave pode exigir atenção urgente.[5] Se a basofilia e os sintomas acima mencionados estiverem presentes com eosinofilia concomitante maior que 1500 células/μL, a síndrome hipereosinofílica pode ser considerada. Em casos de reações alérgicas subjacentes ou sensibilidade adversa, podem estar presentes erupções cutâneas.[1]
Após avaliação sintomática, um esfregaço de sangue periférico é examinado para determinar a contagem de células.[1] Em casos de suposta neoplasia mieloide, será realizada biópsia de medula óssea por meio de análise citogenética. Este tipo de teste utiliza os cariótipos dos cromossomos de cada tipo de leucócito e procura por uma anormalidade significativa em qualquer um dos cariótipos convencionais que possam apoiar o diagnóstico de um processo neoplásico.[7] A basofilia por si só não causa muitas complicações além daquelas relacionadas à condição causadora primária. Entretanto, os basófilos podem desgranular causando danos aos tecidos, mas isso pode ser evitado com detecção e intervenção precoces.[5]
Tratamento
A basofilia, por ser principalmente uma condição secundária, é tratada abordando a doença ou distúrbio causador. A condição subjacente determinará qual tratamento é apropriado. Especificamente em casos de reações alérgicas ou associadas à inflamação crônica, tratar a causa subjacente é fundamental para evitar danos maiores e potencialmente irreparáveis aos sistemas orgânicos do corpo. Os tratamentos comuns para reações alérgicas incluem a interrupção do uso do agente agressor e a administração de anti-histamínicos.[5] A basofilia relacionada à infecção pode ser remediada pelo uso de antibióticos para tratar a infecção causadora subjacente, enquanto a basofilia relacionada à neoplasia pode ter um curso clínico mais complicado, incluindo quimioterapia e flebotomia periódica.[1]
Notas
- Este artigo foi inicialmente traduzido, total ou parcialmente, do artigo da Wikipédia em inglês cujo título é «Basophilia».
Referências
- ↑ a b c d e f Sticco, Kristin; Lynch, David (7 de novembro de 2019). «Basophilia». StatPearls Publishing. National Center for Biotechnology Information, U.S. National Library of Medicine. PMID 30570986. Consultado em 17 de janeiro de 2020
- ↑ Boiten HJ, de Jongh E (agosto de 2018). «Atypical basophilia». Blood. 132 (5). 551 páginas. PMID 30072416. doi:10.1182/blood-2018-05-849901
- ↑ Afrin LB, Butterfield JH, Raithel M, Molderings GJ (2016). «Often seen, rarely recognized: mast cell activation disease--a guide to diagnosis and therapeutic options». The American Journal of the Medical Science. 48 (3): 190–201. PMID 27012973. doi:10.3109/07853890.2016.1161231
- ↑ Dilts, Thomas J.; McPherson, Richard A. (2011). Optimizing Laboratory Workflow and Performance. [S.l.]: Elsevier. pp. 13–23. ISBN 978-1-4377-0974-2. doi:10.1016/b978-1-4377-0974-2.00002-6
- ↑ a b c d Valent P, Sotlar K, Blatt K, Hartmann K, Reiter A, Sadovnik I, et al. (abril de 2017). «Proposed diagnostic criteria and classification of basophilic leukemias and related disorders». Leukemia. 31 (4): 788–797. PMC 7115817
. PMID 28090091. doi:10.1038/leu.2017.15
- ↑ «Leukemia: Chronic Myeloproliferative Disorders». Pathology Thread. University of Virginia School of Medicine. Consultado em 7 de abril de 2016. Cópia arquivada em 3 de junho de 2016
- ↑ Valent P, Horny HP, Arock M (outubro de 2018). «+ chronic myeloid leukaemia». European Journal of Clinical Investigation. 48 (10): e13000. PMC 6175372
. PMID 30019447. doi:10.1111/eci.13000
