Hemossiderina

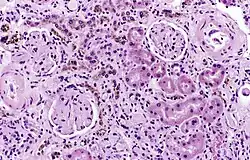
Imagem microscópica de um rim. As áreas marrom contêm hemossiderina.

A hemossiderina é um pigmento anormal microscópico de origem endógena, encontrado no corpo humano e no de outros animais. Possui uma coloração acastanhada, sendo resultante da degredação de hemácias.

É composto de óxido de ferro e pode se acumular em diferentes órgãos em diversas doenças. O ferro é necessário para muitas das reações químicas do corpo mas é tóxico quando não estiver adequadamente contido. Consequentemente, muitos métodos de armazenamento do ferro foram desenvolvidos.

Os humanos tipicamente armazenam ferro no interior de uma proteína chamada ferritina. A forma do ferro na ferritina é o ferro III. Ao se ligar com a ferritina, o ferro se torna solúvel em água. Diversas doenças resultam da deposição de ferro III em tecidos em uma forma insolúvel. Estes depósitos de ferro são chamados hemossiderina. Embora estes depósitos freqüentemente não causem sintomas, eles podem causar uma lesão ao órgão.

O acúmulo e o processo de reabsorção estão relacionados às variações de coloração presentes no espectro equimótico.

Fisiopatologia

A formação de hemossiderina geralmente ocorre após sangramento (hemorragia) em um órgão. Quando o sangue deixa um vaso sangüíneo rompido, suas células morrem e a hemoglobina das hemácias (células vermelhas do sangue) é liberada no espaço extracelular. Leucócitos chamados macrófagos englobam (fagocitam) a hemoglobina para degradá-la, produzindo hemossiderina e porfirina.

Doenças associadas à deposição de hemossiderina

Referências

  • FAILACE, Renato - Hemograma: Manual de Interpretação