Carcinoma adenoide cístico
O carcinoma adenoide cístico (CAC) é uma neoplasia maligna de glândulas salivares (câncer) caracterizada pela natureza bifásica, de células ductais e mioepiteliais.[1]
Sinais e sintomas
Assim como outros tumores de glândula salivar, o CAC se apresente com sintomas não específicos, como uma massa de crescimento lento que pode causar invasão perineural frequentemente, sendo dificilmente diferenciado de tumores benignos clinicamente.[2]
Aspectos radiográficos e histológicos

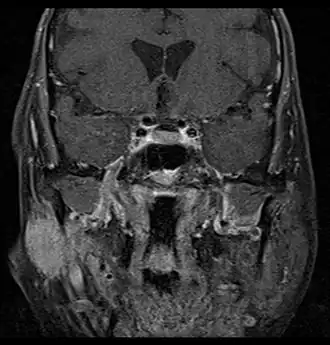
Radiograficamente, o CAC se assemelha a outros tumores malignos, tendo aspecto hiperintenso na ressonância magnética em T1.[1] Ele possui uma característica importante que pode ser visualizada com o seu crescimento nos exames de imagem, a invasão perineural: as células tumorais envolvem completamente o feixe nervoso dentro do tumor, aproveitando o trajeto do nervo para se espalhar para outras áreas.[1]

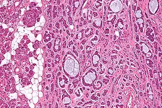
Histologicamente, o CAC é caracterizado pelo parênquima bifásico de células ductais e mioepiteilais: as células mioepiteliais possuem pouco citoplasma e núcleo escuro e angulado, de aparência basaloide. Ele pode possuir arquitetura tubular, cribiforme ou sólida.[1] A arquitetura sólida é um fator de risco para mau prognóstico.[1]
A invasão perineural é frequente no CAC, e pode ser observada microscopicamente.[1]
Apesar de ser usualmente de baixo grau, o CAC pode se transformar em alto grau em uma pequena quantidade de casos: nesses tumores, se observa comedonecrose, mitoses frequentes e atipia nuclear.[1][3] Esses tumores de alto grau possuem alto risco de disseminação linfonodal, metástase e risco de morte.[1]
Raramente outras características podem estar presentes, como metaplasia (usualmente em casos de alto grau), ou a diferenciação das células mioepiteliais em células claras, lembrando um carcinoma epitelial-mioepitelial.[1][3][4][5]
Causas
O CAC está relacionado à transcrição do oncogene MYB na maioria dos casos: a forma mais comum da ativação de MYB é a fusão com o gene NFIB, resultado de uma translocação t(6;9); entre 60 a 90% dos CAC possuem a mutação de MYB-NFIB ou a fusão de MYBL1-NFIB.[1][6][7]
Em outros casos, o MYB pode ser duplicado ou se fundir a outros genes que podem aumentar sua atividade.[8] Ele é um gene que regula o ciclo celular, replicação e reparo do DNA e processamento do RNA, sendo um importante alvo diagnóstico e potencial alvo terapêutico no CAC.[9]
A fusão do gene MYBL1 com o NFIB ou outros genes também é possível. [10][11]
Além disso, mutações na cadeia FGF-IGF-PI3K estão presentes em 30% dos casos, assim como de reguladores da cromatina (SMARCA2, CREBBP e KDM6A).[1][12]
De forma geral, o CAC possui poucos focos de mutação, levando à conclusão de que os genes MYB e MYBL1 são os principais drivers oncogênicos da doença.[8][13][14][15]
Epidemiologia
O CAC representa 10% de todos os tumores de glândula salivar, e 30% de todos os tumores de glândulas salivares menores, sendo o mais frequente tumor maligno das glândulas salivares menores, e o segundo mais frequente nas glândulas salivares maiores.[2] Ele é o tumor mais comum na submandibular, representando 28% de suas neoplasias.[1]
Possui incidência semelhante entre homens e mulheres e maior incidência na faixa dos 50 anos.[1]
Além de afetar as glândulas salivares, ele pode afetar glândulas secretoras fora da região de cabeça e pescoço, como no esôfago, mama, pulmões e vulva.[2]
Diagnóstico
_S-100.jpg)
O diagnóstico do CAC se dá por exame anatomopatológico, e a imuno-histoquímica pode ajudar a direcionar o diagnóstico:[1]
- Positivo para: CK7 e CAM 5.2 no componente ductal, e SMA, S-100, calponina, p40, p63, GFAP e citoqueratina no componente mioepitelial;[1]
- Superexpressão de MYB, ainda que não seja específico.[1][4]
O diagnóstico diferencial inclui:[1]
- Carcinoma epitelial-mioepitelial;
- Adenocarcinoma de células basais;
- Adenocarcinoma polimórfico;
- Carcinoma de células escamosas;
- Carcinoma nasosinusal multifenotípico relacionado ao HPV.
Prognóstico e tratamento
O prognóstico do CAC depende do estadiamento TNM, margens do tumor, índice mitótico e arquitetura tumoral, mas de forma geral, é um tumor com prognóstico desfavorável a longo prazo: possui alto risco de invasão perineural, de recidiva local e à distância, com uma sobrevida em 5 anos razoável (55 a 89%), mas que se torna muito desfavorável em 15-20 anos (20 a 40%).[1][4][16][17][18][19] O risco de recidiva local varia entre 16 a 67%, e o risco de metástase entre 8 e 46%, sendo o pulmão o local mais afetado por metástase.[1][17]
A presença de arquitetura sólida é um indicador prognóstico importante, e a sua presença aumenta o risco de recidiva e de mortalidade.[1][20][21]
| Classificação do grau do CAC pela arquitetura tumoral[1] | |
| Perzin 1978[21] e Szanto 1984[20] | Van Weert 2015[17], Zhang 2013[22] e Xu 2018[4] |
| Grau 1 (baixo grau): sem componente sólido | Grau 1: sem componente sólido |
| Grau 2 (grau intermediário): 1 - 29% de componente sólido | Grau 2: com componente sólido |
| Grau 3 (alto grau): ≥ 30% de componente sólido | |
Além da arquitetura tumoral, outros fatores que indicam pior prognóstico incluem sexo feminino, idade avançada, localização nasosinusal, invasão linfovascular, transformação em alto grau e invasão intraneural.[1]
O tratamento consiste na ressecção cirúrgica completa com margens livres, e a maior parte dos pacientes recebe radioterapia adjuvante pelo alto risco de recidiva local e a sobrevida a longo prazo baixa.[1] Considerando que a remoção do tumor é difícil pelo seu crescimento descontínuo, graças à invasão perineural, ilhotas tumorais podem existir sem conexão com a massa tumoral principal, e o uso da ressonância magnética é recomendado para analisar o trajeto dos nervos até a base do crânio.[2] A quimioterapia é normalmente reservada para pacientes com metástase.[1] Para os pacientes com tumores inoperáveis, recidivantes ou com doença residual após cirurgia, a radioterapia é considerada o tratamento mais eficaz.[23][24][25][26]
Ensaios clínicos investigando o efeito de inibidores de tirosina quinase como axitinibe e dovitinibe no tratamento do CAC estão em andamento.[1]
Ver também
Referências
- ↑ a b c d e f g h i j k l m n o p q r s t u v w x y Xu, Bin. «Adenoid cystic carcinoma». Pathology Outlines. Consultado em 2 de fevereiro de 2025
- ↑ a b c d Zupancic, Mark; Näsman, Anders; Friesland, Signe; Dalianis, Tina (1 de abril de 2024). «Adenoid Cystic Carcinoma, Clinical Presentation, Current Treatment and Approaches Towards Novel Therapies». Anticancer Research (em inglês) (4): 1325–1334. ISSN 0250-7005. PMID 38537991. doi:10.21873/anticanres.16929. Consultado em 2 de fevereiro de 2025
- ↑ a b Seethala, Raja R.; Hunt, Jennifer L.; Baloch, Zubair W.; Livolsi, Virginia A.; Leon Barnes, E. (novembro de 2007). «Adenoid cystic carcinoma with high-grade transformation: a report of 11 cases and a review of the literature». The American Journal of Surgical Pathology (11): 1683–1694. ISSN 0147-5185. PMID 18059225. doi:10.1097/PAS.0b013e3180dc928c. Consultado em 2 de fevereiro de 2025
- ↑ a b c d Xu, Bin; Drill, Esther; Ho, Allen; Ho, Alan; Dunn, Lara; Prieto-Granada, Carlos Nicolas; Chan, Timothy; Ganly, Ian; Ghossein, Ronald (outubro de 2017). «Predictors of Outcome in Adenoid Cystic Carcinoma of Salivary Glands: A Clinicopathologic Study With Correlation Between MYB Fusion and Protein Expression». The American Journal of Surgical Pathology (10): 1422–1432. ISSN 1532-0979. PMC 5597477
. PMID 28719465. doi:10.1097/PAS.0000000000000918. Consultado em 2 de fevereiro de 2025
- ↑ Bishop, Justin A.; Westra, William H. (março de 2018). «MYB Translocation Status in Salivary Gland Epithelial-Myoepithelial Carcinoma: Evaluation of Classic, Variant, and Hybrid Forms». The American Journal of Surgical Pathology (3): 319–325. ISSN 1532-0979. PMC 5809309
. PMID 29135517. doi:10.1097/PAS.0000000000000990. Consultado em 2 de fevereiro de 2025
- ↑ Persson, Marta; Andrén, Ywonne; Mark, Joachim; Horlings, Hugo M.; Persson, Fredrik; Stenman, Göran (3 de novembro de 2009). «Recurrent fusion of MYB and NFIB transcription factor genes in carcinomas of the breast and head and neck». Proceedings of the National Academy of Sciences (44): 18740–18744. PMC 2773970
. PMID 19841262. doi:10.1073/pnas.0909114106. Consultado em 2 de fevereiro de 2025
- ↑ Andersson, Mattias K.; Stenman, Göran (1 de junho de 2016). «The landscape of gene fusions and somatic mutations in salivary gland neoplasms – Implications for diagnosis and therapy». Oral Oncology: 63–69. ISSN 1368-8375. doi:10.1016/j.oraloncology.2016.04.002. Consultado em 2 de fevereiro de 2025
- ↑ a b Persson, Marta; Andrén, Ywonne; Moskaluk, Christopher A.; Frierson Jr., Henry F.; Cooke, Susanna L.; Futreal, Philip Andrew; Kling, Teresia; Nelander, Sven; Nordkvist, Anders (2012). «Clinically significant copy number alterations and complex rearrangements of MYB and NFIB in head and neck adenoid cystic carcinoma». Genes, Chromosomes and Cancer (em inglês) (8): 805–817. ISSN 1098-2264. doi:10.1002/gcc.21965. Consultado em 2 de fevereiro de 2025
- ↑ Andersson, Mattias K; Afshari, Maryam K; Andrén, Ywonne; Wick, Michael J; Stenman, Göran (1 de setembro de 2017). «Targeting the Oncogenic Transcriptional Regulator MYB in Adenoid Cystic Carcinoma by Inhibition of IGF1R/AKT Signaling». JNCI: Journal of the National Cancer Institute (9): djx017. ISSN 0027-8874. doi:10.1093/jnci/djx017. Consultado em 2 de fevereiro de 2025
- ↑ Brayer, Kathryn J.; Frerich, Candace A.; Kang, Huining; Ness, Scott A. (4 de fevereiro de 2016). «Recurrent Fusions in MYB and MYBL1 Define a Common, Transcription Factor–Driven Oncogenic Pathway in Salivary Gland Adenoid Cystic Carcinoma». Cancer Discovery (2): 176–187. ISSN 2159-8274. PMC 4744535
. PMID 26631070. doi:10.1158/2159-8290.CD-15-0859. Consultado em 2 de fevereiro de 2025
- ↑ Mitani, Yoshitsugu; Liu, Bin; Rao, Pulivarthi H.; Borra, Vishnupriya J.; Zafereo, Mark; Weber, Randal S.; Kies, Merrill; Lozano, Guillermina; Futreal, P. Andrew (31 de janeiro de 2016). «Novel MYBL1 Gene Rearrangements with Recurrent MYBL1–NFIB Fusions in Salivary Adenoid Cystic Carcinomas Lacking t(6;9) Translocations». Clinical Cancer Research (3): 725–733. ISSN 1078-0432. PMC 4807116
. PMID 26631609. doi:10.1158/1078-0432.CCR-15-2867-T. Consultado em 2 de fevereiro de 2025
- ↑ Ho, Allen S.; Kannan, Kasthuri; Roy, David M.; Morris, Luc G. T.; Ganly, Ian; Katabi, Nora; Ramaswami, Deepa; Walsh, Logan A.; Eng, Stephanie (julho de 2013). «The mutational landscape of adenoid cystic carcinoma». Nature Genetics (7): 791–798. ISSN 1546-1718. PMC 3708595
. PMID 23685749. doi:10.1038/ng.2643. Consultado em 2 de fevereiro de 2025
- ↑ Ho, Allen S.; Kannan, Kasthuri; Roy, David M.; Morris, Luc G. T.; Ganly, Ian; Katabi, Nora; Ramaswami, Deepa; Walsh, Logan A.; Eng, Stephanie (julho de 2013). «The mutational landscape of adenoid cystic carcinoma». Nature Genetics (em inglês) (7): 791–798. ISSN 1546-1718. PMC 3708595
. PMID 23685749. doi:10.1038/ng.2643. Consultado em 2 de fevereiro de 2025
- ↑ Ho, Allen S.; Kannan, Kasthuri; Roy, David M.; Morris, Luc G. T.; Ganly, Ian; Katabi, Nora; Ramaswami, Deepa; Walsh, Logan A.; Eng, Stephanie (julho de 2013). «The mutational landscape of adenoid cystic carcinoma». Nature Genetics (em inglês) (7): 791–798. ISSN 1546-1718. PMC 3708595
. PMID 23685749. doi:10.1038/ng.2643. Consultado em 2 de fevereiro de 2025
- ↑ Rettig, Eleni M.; Talbot, C. Conover, Jr; Sausen, Mark; Jones, Sian; Bishop, Justin A.; Wood, Laura D.; Tokheim, Collin; Niknafs, Noushin; Karchin, Rachel (31 de março de 2016). «Whole-Genome Sequencing of Salivary Gland Adenoid Cystic Carcinoma». Cancer Prevention Research (4): 265–274. ISSN 1940-6207. PMC 4818686
. PMID 26862087. doi:10.1158/1940-6207.CAPR-15-0316. Consultado em 2 de fevereiro de 2025
- ↑ Ganly, Ian; Amit, Moran; Kou, Lei; Palmer, Frank L.; Migliacci, Jocelyn; Katabi, Nora; Yu, Changhong; Kattan, Michael W.; Binenbaum, Yoav (dezembro de 2015). «Nomograms for predicting survival and recurrence in patients with adenoid cystic carcinoma. An international collaborative study». European Journal of Cancer (Oxford, England: 1990) (18): 2768–2776. ISSN 1879-0852. PMC 4988233
. PMID 26602017. doi:10.1016/j.ejca.2015.09.004. Consultado em 2 de fevereiro de 2025
- ↑ a b c van Weert, Stijn; Reinhard, Rinze; Bloemena, Elisabeth; Buter, Jan; Witte, Birgit I.; Vergeer, Marije R.; Leemans, C. René (março de 2017). «Differences in patterns of survival in metastatic adenoid cystic carcinoma of the head and neck». Head & Neck (3): 456–463. ISSN 1097-0347. PMID 27775851. doi:10.1002/hed.24613. Consultado em 2 de fevereiro de 2025
- ↑ Dantas, Afonso Nóbrega; Morais, Everton Freitas de; Macedo, Rômulo Augusto de Paiva; Tinôco, João Maria de Lima; Morais, Maria de Lourdes Silva de Arruda (2015). «Clinicopathological characteristics and perineural invasion in adenoid cystic carcinoma: a systematic review». Brazilian Journal of Otorhinolaryngology (3): 329–335. ISSN 1808-8686. PMC 9452271
. PMID 25962319. doi:10.1016/j.bjorl.2014.07.016. Consultado em 2 de fevereiro de 2025
- ↑ Amit, Moran; Binenbaum, Yoav; Sharma, Kanika; Ramer, Naomi; Ramer, Ilana; Agbetoba, Abib; Miles, Brett; Yang, Xinjie; Lei, Delin (julho de 2014). «Analysis of failure in patients with adenoid cystic carcinoma of the head and neck. An international collaborative study». Head & Neck (7): 998–1004. ISSN 1097-0347. PMID 23784851. doi:10.1002/hed.23405. Consultado em 2 de fevereiro de 2025
- ↑ a b Szanto, P. A.; Luna, M. A.; Tortoledo, M. E.; White, R. A. (15 de setembro de 1984). «Histologic grading of adenoid cystic carcinoma of the salivary glands». Cancer (6): 1062–1069. ISSN 0008-543X. PMID 6088017. doi:10.1002/1097-0142(19840915)54:6<1062::aid-cncr2820540622>3.0.co;2-e. Consultado em 2 de fevereiro de 2025
- ↑ a b Perzin, K. H.; Gullane, P.; Clairmont, A. C. (julho de 1978). «Adenoid cystic carcinomas arising in salivary glands: a correlation of histologic features and clinical course». Cancer (1): 265–282. ISSN 0008-543X. PMID 208752. doi:10.1002/1097-0142(197807)42:1<265::aid-cncr2820420141>3.0.co;2-z. Consultado em 2 de fevereiro de 2025
- ↑ Zhang, Chun-Ye; Xia, Rong-Hui; Han, Jing; Wang, Bing-Shun; Tian, Wei-Dong; Zhong, Lai-Ping; Tian, Zhen; Wang, Li-Zhen; Hu, Yu-Hua (março de 2013). «Adenoid cystic carcinoma of the head and neck: clinicopathologic analysis of 218 cases in a Chinese population». Oral Surgery, Oral Medicine, Oral Pathology and Oral Radiology (3): 368–375. ISSN 2212-4411. PMID 23453028. doi:10.1016/j.oooo.2012.11.018. Consultado em 2 de fevereiro de 2025
- ↑ Laramore, G.E. (setembro de 1987). «Fast neutron radiotherapy for inoperable salivary gland tumors: Is it the treatment of choice?». International Journal of Radiation Oncology*Biology*Physics (9): 1421–1423. ISSN 0360-3016. doi:10.1016/0360-3016(87)90240-9. Consultado em 2 de fevereiro de 2025
- ↑ Prott, F. J.; Haverkamp, U.; Willich, N.; Wagner, W.; Micke, O.; Pötter, R. (1 de janeiro de 1996). «Ten years of fast neutron therapy in Münster». Bulletin du Cancer/Radiothérapie: 115s–121s. ISSN 0924-4212. doi:10.1016/0924-4212(96)84895-X. Consultado em 2 de fevereiro de 2025
- ↑ Douglas, James G; Laramore, George E; Austin-Seymour, Mary; Koh, Wui-jin; Stelzer, Keith; Griffin, Thomas W (fevereiro de 2000). «Treatment of locally advanced adenoid cystic carcinoma of the head and neck with neutron radiotherapy». International Journal of Radiation Oncology*Biology*Physics (3): 551–557. ISSN 0360-3016. doi:10.1016/s0360-3016(99)00445-9. Consultado em 2 de fevereiro de 2025
- ↑ Breteau, N.; Wachter, T.; Kerdraon, R.; Guzzo, M.; Armaroli, L.; Chevalier, D.; Darras, J. A.; Coche-Dequeant, B.; Chauvel, P. (1 de maio de 2000). «Utilisation des neutrons rapides dans le traitement des tumeurs des glandes salivaires : rationnel, revue de la littérature et expérience d'Orléans». Cancer/Radiothérapie (3): 181–190. ISSN 1278-3218. doi:10.1016/S1278-3218(00)89092-7. Consultado em 2 de fevereiro de 2025