Metaplasia
| Termos com o sufixo -plasia |
|---|
| (Ana)plasia - desdiferenciação |
| (Hiper)plasia - proliferação fisiológica |
| (Neo)plasia - proliferação anormal |
| (Dis)plasia - maturação anormal |
| (Meta)plasia - conversão de tipo celular |
| Metaplasia | |
|---|---|
![]() | |
| Classificação e recursos externos | |
| MeSH | D008679 |
Metaplasia é uma alteração reversível quando uma célula adulta, seja epitelial ou mesenquimal, é substituída por outra de outro tipo celular.[1]
Pode ser interpretado como uma tentativa do organismo de substituir um tipo celular exposto a um estresse a um tipo celular mais apto a suportá-lo. Por exemplo, uma forma comum de metaplasia, o epitélio pseudoestratificado colunar ciliar, com células caliciformes, do trato respiratório, submetido cronicamente a irritação pela fumaça do cigarro, passa a ser do estratificado pavimentoso. Deficiência de vitamina A, doença do refluxo gastroesofágico, litíases, entre outros fatores, também podem levar à metaplasia.
Embora a metaplasia leve ao surgimento de um epitélio mais apto ao ambiente hostil geralmente isto se dá às custas de perdas. No caso do trato respiratório, o epitélio substituto (metaplásico) é desprovido da capacidade de secreção de muco e da ação ciliar. Portanto, a metaplasia representa geralmente uma mudança indesejada.
Além disso, o mesmo estímulo, hostil, que gerou a metaplasia, se persistir, pode induzir a transformação neoplásica. Dessa forma, temos o carcinoma de células escamosas no trato respiratório e o adenocarcinoma no esôfago de Barrett.[2]
A metaplasia também ocorre em células do tecido conjuntivo com a formação de cartilagem, tecido adiposo ou osso (tecidos mesenquimais) em tecidos que originalmente não possuem esses elementos.
Exemplos

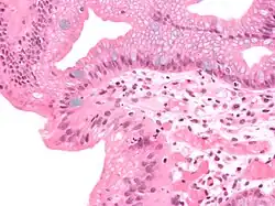
Esôfago de Barrett é uma mudança anormal nas células do esôfago inferior, que acredita-se que seja causada pelo dano da exposição crônica ao ácido estomacal.
A tabela seguinte lista alguns tecidos comumente suscetíveis à metaplasia e os estímulos que podem causar a mudança:
| Tecido | Normal | Metaplasia | Estímulo |
|---|---|---|---|
| Vias aéreas | Epitélio colunar | Epitélio escamoso | Tabagismo |
| Bexiga urinária | Epitélio de transição | Epitélio escamoso | Litíase urinária |
| Esôfago | Epitélio escamoso | Epitélio colunar | Refluxo gastroesofágico |
Referências
- ↑ Raquel Camara Rivero (14 de abril de 2015). «Metaplasia». UFRGS. Consultado em 3 de junho de 2018
- ↑ Alexandre Mello de Azevedo. «O que é a metaplasia?». Doctoralia. Consultado em 3 de junho de 2018