Abrasão dentária

A escovação dentária com pressão excessiva pode causar a Abrasão Dentária.

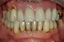
Abrasão dentária é a perda da estrutura dentária por forças mecânicas externas. Uma vez que a abrasão ultrapasse o esmalte dos dentes, são rapidamente destruídas estruturas da dentina e do cemento.

Esta patologia por pode ser causada pelo uso de escovas de dente, palitos, fio dental. Sua aparência é comumente descrita em forma de V, ( o que não permite o contato da escova dentária com a base do defeito). Os dentes mais comumente afetados são pré-molares e caninos.

Arqueólogos utilizam-se da análise da abrasão dental para questões da saúde dos povos pré-históricos, ou mesmo quando abrasão dos dentes é usada ao analisar idade e estilo de vida de tais povos.[1]

Referências