Síndrome respiratória aguda grave

 Nota: "SARS" e "SRAG" redirecionam para este artigo. Este artigo é sobre a doença de 2002-2003. Para a SRAG definida no Brasil desde 2009 e notificada pelo sistema SIVEP-GRIPE, veja Síndrome gripal. Para a doença atual, veja COVID-19. Para o vírus, veja SARS-CoV.
Síndrome respiratória aguda grave
SinónimosSARS, pneumonia atípica
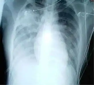
Radiografia ao tórax em que se observa aumento de opacidade em ambos os pulmões, indicativo de pneumonia, em paciente com SARS
EspecialidadeInfectologia
SintomasFebre, dores de cabeça, calafrios e dores musculares.[1]
Duração1-2 semanas[1]
CausasInfeção por coronavírus SARS-CoV[1]
TratamentoIsolamento, oxigénio, ventilação mecânica[1]
PrognósticoLetalidade 10%[1]
Mortes>800 (2002-2004)[1]
Classificação e recursos externos
CID-111D65
CID-10J12.81
CID-9079.82
DiseasesDB32835
MedlinePlus007192
eMedicine237755
MeSHD045169
A Wikipédia não é um consultório médico. Leia o aviso médico 

Síndrome respiratória aguda grave (SARS, do inglês severe acute respiratory syndrome, ou SRAG, em português) é uma doença respiratória viral de origem zoonótica causada pelo coronavírus SARS-CoV.[1][2] A doença causa sintomas semelhantes aos da gripe, como febre, dores de cabeça, calafrios e dores musculares.[1] No entanto, a SARS é uma doença muito mais grave do que a maioria das outras infeções por coronavírus, que geralmente causam apenas sintomas ligeiros.[1]

A SARS é causada pela infeção com o coronavírus SARS-CoV.[1] A transmissão entre pessoas dá-se por contacto próximo com a pessoa infetada ou através de gotículas expelidas pela tosse ou espirros de uma pessoa infectada.[1] Suspeita-se de diagnóstico de SARS nos casos em que a pessoa tenha sido exposta a uma pessoa infectada e tiver febre acompanhada de tosse ou dificuldades respiratórias.[1] O diagnóstico pode ser confirmado com exames para identificar o vírus.[1]

O tratamento consiste em isolamento, administração de oxigénio e, em caso de dificuldades respiratórias, ventilação mecânica.[1] A maioria das pessoas se recuperam ao fim de uma a duas semanas.[1] No entanto, a doença é fatal em cerca de 10 por cento dos casos.[1]

A SARS foi detectada pela primeira vez no fim de 2002 na China.[1] Entre 2002 e 2003, um surto da doença resultou em mais de 8 000 casos e cerca de 800 mortes em todo o mundo.[1] Desde 2004 não há registos de novos casos da doença.[1] Pensa-se que a doença tenha tido origem em gatos-de-algália infectados por morcegos e posteriormente vendidos em mercados.[1] Em 2012 foi detectada na Arábia Saudita uma nova variante de coronavírus (MERS-CoV), responsável pela síndrome respiratória do Médio Oriente (MERS).[1]

Origem do termo

Em 12 de março de 2003, a OMS emitiu um alerta global para uma pneumonia atípica, de origem desconhecida, até então sem nome.[3] No mesmo alerta, se referiram ao quadro clínico de diferentes formas, como doença respiratória aguda, síndrome respiratória aguda grave e desconforto respiratório agudo:

"No Vietnam, o surto se iniciou com um único caso que foi hospitalizado para tratamento de uma síndrome respiratória aguda e severa, de origem desconhecida. [...] em alguns casos progredindo para desconforto respiratório agudo, necessitando ventilação assistida [...]. Até então, nenhuma conexão foi estabelecida entre esses surtos de doença respiratória aguda em Hanoi e Hong Kong e o surto de 'gripe aviária', A(H5N1) [...]."[3]

Depois disso, a OMS emitiu relatórios sequenciais, começando a partir do dia 16 de março de 2003, já considerando o novo nome designado para essa síndrome: SARS.[4][5][6] No mesmo dia 16 de março, o Centro de Informação em Saúde para Viajantes (Cives) emitiu um informe técnico alertando para a nova doença infecciosa, traduzida como Síndrome Respiratória Aguda Grave.[7] O registro de "Síndrome Respiratória Aguda Grave" foi então adicionado ao CID-10 sob o código UO4.9, após implementação pela OMS em outubro de 2003.[8][9] Em 18 de março de 2004, a OMS declarou que a transmissão interpessoal de SARS havia sido interrompida e, desde 2004, não houve nenhum novo registro de SARS no mundo.[10][11] A OMS então recomendou que, para pesquisas laboratoriais envolvendo o vírus SARS-CoV, era necessário um nível 3 de biossegurança.[10]

O uso do termo "SRAG" no Brasil

O uso exclusivo do termo "SRAG" para designar uma doença de etiologia definida gerou críticas, já que, na medicina, síndromes caracterizam-se pela presença de critérios ou condições clínicas; não são um diagnóstico etiológico.[12] Portanto, pode-se argumentar que o SARS-CoV pode causar uma SRAG, mas a SRAG não implica, necessariamente, numa infecção por coronavírus.[12]

De forma consoante, no Brasil, desde 2009 o Sistema de Informações de Agravos de Notificação (SINAN) passou a coletar notificações de SRAG no Sinan Web Influenza como sinônimo de infecção respiratória aguda grave, caracterizada por casos graves de síndrome gripal, independente do agente etiológico.[13][14][15][16][13]

Ver também

Referências

  1. 1 2 3 4 5 6 7 8 9 10 11 12 13 14 15 16 17 18 19 20 21 Brenda L. Tesini (setembro de 2018). «Síndrome respiratória aguda grave (SARS)». Manual Merck. Consultado em 23 de janeiro de 2020
  2. Lana, Raquel Martins; Coelho, Flávio Codeço; Gomes, Marcelo Ferreira da Costa; Cruz, Oswaldo Gonçalves; Bastos, Leonardo Soares; Villela, Daniel Antunes Maciel; Codeço, Cláudia Torres (2020). «Emergência do novo coronavírus (SARS-CoV-2) e o papel de uma vigilância nacional em saúde oportuna e efetiva». Cadernos de Saúde Pública. 36 (3): e00019620. ISSN 1678-4464. doi:10.1590/0102-311x00019620
  3. 1 2 «WHO | WHO issues a global alert about cases of atypical pneumonia»
  4. «WHO | Severe Acute Respiratory Syndrome (SARS) - multi-country outbreak - Update»
  5. «WHO | Severe Acute Respiratory Syndrome (SARS) - multi-country outbreak - Update 2»
  6. «WHO | Severe Acute Respiratory Syndrome (SARS) multi-country outbreak - Update 3»
  7. «Sindrome Respiratória Aguda Grave (SARS, SRAG): Informação Técnica»
  8. Centro da OMS Para a Classificação de Doenças em Português (2003). SARS (Severe Acute Respiratory Syndrome) (PDF). [S.l.]: Centro Brasileiro de Classificação de Doenças
  9. World Health Organization (2003). Official Updates to ICD-10 (PDF). [S.l.: s.n.] p. 2, 35
  10. 1 2 «WHO | China's latest SARS outbreak has been contained, but biosafety concerns remain – Update 7»
  11. CDC (3 de março de 2016). «Disease of the Week - SARS» (em inglês)
  12. 1 2 Kuen-Shan Jih, Thomas (janeiro de 2005). «Acute Respiratory Distress Syndrome (ARDS) and Severe Acute Respiratory Syndrome (SARS): Are We Speaking Different Languages?» (PDF). J Chin Med Assoc. Consultado em 30 de abril de 2020
  13. 1 2 «Histórico das Definições de Caso da Vigilância Universal da Influenza – Sinan Web Influenza» (PDF). Documentos Internos Grupo Técnico da Influenza – Nível Nacional. Consultado em 4 de maio de 2020
  14. Ministério da Saúde (2017). Protocolo de tratamento de influenza (PDF). Brasília: [s.n.] p. 13
  15. «Síndrome Gripal/SRAG: Classificação de Risco e Manejo do Paciente» (PDF). Ministério da Saúde. Maio de 2013. Consultado em 29 de abril de 2020
  16. «Sinan Influenza». SINAN - Sistema de Informação de Agravos de Notificação. 7 de Março de 2016. Consultado em 29 de abril de 2020