Empiema pleural
| Empiema pleural | |
|---|---|
![]() | |
| Especialidade | pneumologia, cirurgia torácica |
| Classificação e recursos externos | |
| CID-11 | CA44 |
| CID-10 | J86 |
| CID-9 | 510 |
| DiseasesDB | 4200 |
| MedlinePlus | 000123 |
| eMedicine | med/659 |
| MeSH | D016724 |
Empiema pleural (também conhecido como piotórax ou pleurite purulenta) corresponde ao acúmulo de pus na cavidade pleural. A maioria dos empiemas pleurais surgem a partir de uma infecção no pulmão (pneumonia), frequentemente associada com derrames parapneumônicos.[1]
Existem três estágios: exsudativo, fibrinopurulento e de organização. No estágio exsudativo o pus se acumula.
Patologia
A contaminação do espaço pleural pode ocorrer por via linfática, hematogênica ou direta. As pneumonias são a principal causa e a propagação nesses casos é direta. Cerca de 40% dos pacientes com pneumonia desenvolvem derrame pleural, e 10% evoluem para empiema pleural. Cerca de 20% dos pacientes tem uma história prévia de manipulação cirúrgica, como toracocenteses e drenagens pleurais praticadas em serviços de urgência ou sem técnica apropriada. Os estafilococos são o principal agente envolvido.
A contaminação da cavidade pleural desencadeia um processo inflamatório com várias fases distintas. Inicialmente observa-se uma fase exsudativa, caracterizado por líquido fluido, livre e não septado na cavidade pleural. Esse derrame pode ser inicialmente estéril. Na fase fibrino-purulenta, o exsudato é substituído por uma secreção purulenta espessa, rica em polimorfonucleares e fibrina que se organiza produzindo septações. Finalmente, com a proliferação dos fibroblastos, surge uma membrana envoltória mais espessa e consistente, que restringe a expansão do pulmão. O líquido torna-se denso e cremoso, limitado entre as septações que constituem a parede do empiema.
A fase de organização pode culminar em drenagem espontânea através da parede torácica. O tempo necessário para a passagem de uma fase para outra depende de fatores individuais e do agente etiológico. Em geral, na fase aguda, o empiema pleural manifesta-se com tóraco algia, dispneia, tosse e quadro toxicêmico geral mais ou menos intenso. Empiemas com o tempo de evolução um pouco maior podem apresentar sinais flogísticos locais, com abaulamento do hemitórax afetado, flutuação e drenagem espontânea da coleção purulenta, seja por fístula pleuro-cutânea, ou por erosão do parênquima pulmonar.
Sinais e sintomas

Os sintomas do empiema pleural podem variar de gravidade. Os sintomas típicos incluem tosse, dor torácica, sudorese e dispneia.
Pode ser observado hipocratismo digital em casos de natureza crônica. O murmúrio vesicular pode estar diminuído ou mesmo abolido. É importante observar que os empiemas encapsulados podem ser oligossintomáticos, sem dispneia significativa, exigindo um maior grau de atenção por parte do médico assistente.
Diagnóstico
O diagnóstico é sugerido pela anamnese e exame físico, e complementado pela radiologia, exames laboratoriais e toracocentese.
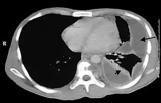
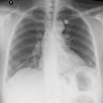
A radiologia é uma ferramenta essencial, e deve ser realizada nas incidências póstero-anterior e perfil. A radiologia permite ainda avaliar de modo grosseiro o tempo de evolução do empiema.
O fluido pleural tipicamente possui uma leucocitose, baixo pH (<7.20), baixa glicose (<60 mg/dL), LDH alto (desidrogenase lática), muitas proteínas e pode conter organismos infecciosos.
O aumento destes valores indica processo inflamatório, infeccioso em curso.
Tratamento
Antibióticos injetáveis são usados em caso de infecções bacterianas.
Quando indicada a toracocentese, deve observar técnica asséptica e segura, em local apropriado, preferencialmente em bloco cirúrgico.
[2] Efeitos colaterais como hemorragias ou reações de hipersensibilidade a algum dos componentes do tratamento também podem ser fatais.[3]
É ainda mais difícil de ser tratada quando é um problema crônico (recorrente). Em casos graves parte do pulmão precisa ser ressecado.
Prognóstico
Quanto mais cedo for confirmado o diagnóstico, maiores são as chances de recuperação do paciente.
A reincidência, pode ocasionar lesões mais severas e de tratamento cada vez mais difícil.
Referências
- ↑ «Cópia arquivada». Consultado em 2 de março de 2009. Arquivado do original em 2 de março de 2009
- ↑ Pothula V, Krellenstein DJ (March 1994). "Early aggressive surgical management of parapneumonic empyemas". Chest 105 (3): 832–6. PMID 8131548. Retrieved 2010-06-05.
- ↑ Chai FY, Kuan YC (2011). "Massive hemothorax following administration of intrapleural streptokinase". Ann Thorac Med 6 (3): 149–151. PMC3131759
