Fibrotórax
| Fibrotórax | |
|---|---|
![]() | |
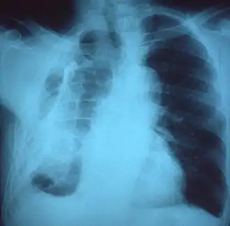
| Fibrotórax na radiografia de tórax | |
| Especialidade | Pneumologia |
| Sintomas | Dispneia (falta de ar) |
| Duração | Longo prazo |
| Causas | Hemotórax, empiema, tuberculose, doenças vasculares do colágeno, uremia, artrite reumatoide, pleurodese, derrame pleural, certos medicamentos |
| Fatores de risco | Exposição ao amianto, certos medicamentos |
| Método de diagnóstico | Radiografia de tórax, tomografia computadorizada |
| Tratamento | Observação, decorticação |
| Prognóstico | Variável |
| Frequência | Rara |
| Classificação e recursos externos | |
| CID-11 | CB25 |
O fibrotórax é uma condição médica caracterizada por cicatrizes graves (fibrose) e fusão das camadas do espaço pleural que circundam os pulmões, resultando na diminuição do movimento do pulmão e da caixa torácica.[1] O principal sintoma do fibrotórax é a falta de ar. Também pode haver coleções recorrentes de fluido ao redor dos pulmões. O fibrotórax pode ocorrer como uma complicação de muitas doenças, inclusive infecção do espaço pleural, conhecida como empiema, ou sangramento no espaço pleural, conhecido como hemotórax.[2]
A fibrose na pleura pode ser produzida intencionalmente por meio de uma técnica chamada pleurodese para evitar a perfuração recorrente do pulmão (pneumotórax), e a fibrose geralmente limitada que isso produz raramente pode ser extensa o suficiente para levar ao fibrotórax.[3] A condição é diagnosticada com mais frequência por meio de um raio-x ou tomografia computadorizada, sendo que a última detecta mais facilmente casos leves. O fibrotórax é geralmente tratado de forma conservadora, com espera vigilante, mas pode exigir cirurgia. A perspectiva geralmente é boa, desde que não haja fibrose pulmonar subjacente ou complicações após a cirurgia. A doença é altamente incomum.
Sinais e sintomas
Sinais
A redução do movimento da caixa torácica durante a respiração, a redução dos sons respiratórios no(s) lado(s) afetado(s) e uma sensação de embotamento quando o tórax é pressionado são sinais comuns observados durante o exame para fibrotórax.[4] Em alguns casos, pode ser observada dor torácica aguda com respirações profundas ou tosse.[3] Casos graves de fibrotórax podem levar à insuficiência respiratória devido à ventilação inadequada e causar níveis anormalmente altos de dióxido de carbono na corrente sanguínea.[3]
Sintomas
.png)
A condição só causa sintomas se a pleura visceral for afetada.[5] Embora o fibrotórax possa não causar nenhum sintoma, as pessoas afetadas pelo distúrbio podem relatar falta de ar.[6] Derrames pleurais persistentes e recorrentes são um possível sintoma, causado pela cavidade persistente formada pelo endurecimento da pleura ao redor da coleção original de fluido.[4] A falta de ar tende a se desenvolver gradualmente e pode piorar com o tempo. Menos comumente, o fibrotórax pode causar desconforto no peito ou tosse seca.[4] O fibrotórax pode ocorrer como uma complicação de outras doenças. Às vezes, os sintomas do problema subjacente são observados, por exemplo, febre em casos de empiema.
Causas
O fibrotórax geralmente é uma complicação de outras doenças que causam inflamação da pleura. Isso inclui infecções, como empiema ou tuberculose, ou sangramento no espaço pleural, conhecido como hemotórax. A exposição a determinadas substâncias, como o amianto, pode causar fibrose generalizada dos pulmões, que pode envolver a pleura e levar ao fibrotórax.[7] Causas menos comuns de fibrotórax incluem doenças vasculares do colágeno, como lúpus eritematoso sistêmico, sarcoidose e artrite reumatoide; insuficiência renal que leva à uremia; e efeitos colaterais de determinados medicamentos.[3][8] Os medicamentos mais comumente associados à fibrose pleural são os alcaloides do Claviceps, bromocriptina, pergolida e metisergida.[3] O fibrotórax também pode ocorrer sem uma causa subjacente clara, caso em que é conhecido como fibrotórax idiopático.
Uma técnica chamada pleurodese pode ser usada para criar intencionalmente tecido cicatricial dentro do espaço pleural, geralmente como tratamento para episódios repetidos de pulmão perfurado, conhecido como pneumotórax, ou para derrames pleurais causados por câncer. Embora esse procedimento geralmente gere apenas um tecido cicatricial limitado, em casos raros pode ocorrer o desenvolvimento de um fibrotórax.[6]
Mecanismo
A fibrose pode afetar uma ou ambas as camadas de tecido que formam a pleura - a pleura visceral adjacente ao pulmão e a pleura parietal adjacente à caixa torácica. O termo fibrotórax implica fibrose grave que afeta tanto a pleura visceral quanto a externa (parietal), fundindo o pulmão à parede torácica.[2] A condição começa como um derrame pleural não drenado. Com o tempo, o derrame pleural não drenado causa inflamação contínua da pleura, o que pode levar à deposição de fibrina na pleura e ao desenvolvimento de uma cicatriz fibrótica. Por fim, forma-se uma “casca” rica em colágeno ao redor da coleção de fluido. A partir desse ponto, a doença não pode mais ser tratada com toracocentese, pois o fluido retornará à cavidade mantida pela casca.[4]
Com o passar do tempo, geralmente ao longo dos anos, o tecido cicatricial fibrótico se contrai e engrossa lentamente, contraindo o conteúdo de uma ou ambas as metades do tórax e reduzindo a mobilidade das costelas. A casca pode se tornar mais profunda do que 2 cm.[2] Dentro do tórax, o pulmão é comprimido e incapaz de se expandir (pulmão preso), tornando-o vulnerável ao colapso e causando falta de ar.[7] A doença pulmonar restritiva do fibrotórax pode ocorrer quando a fibrose pleural é tão grave que envolve o diafragma e a caixa torácica e resulta principalmente da diminuição do movimento das costelas.[3]
Microscópico
No nível microscópico, as fibras de colágeno se depositam em um padrão de trama de cesta e formam tecido cicatricial.[7] Normalmente, a condição subjacente deve causar inflamação intensa da pleura, embora não esteja claro exatamente como isso resulta em fibrose. Os mecanismos precisos que produzem a fibrose não são totalmente claros. No entanto, pesquisas indicam que uma proteína chamada Fator de Crescimento Transformador beta (TGF-β) desempenha um papel central na produção do fibrotórax.[3] Anticorpos anti-TGF-β previnem o fibrotórax no empiema em modelos animais.[3]
Diagnóstico
O diagnóstico de fibrotórax é normalmente feito por meio de um histórico médico adequado, combinado com o uso de técnicas de imagem apropriadas, como radiografia simples de tórax ou tomografia computadorizada.[3] Essas técnicas de imagem podem detectar o fibrotórax e o espessamento pleural que envolve os pulmões.[7] A presença de uma casca espessada com ou sem calcificação é uma característica comum do fibrotórax quando a imagem é obtida.[3] As tomografias computadorizadas podem diferenciar mais prontamente se o espessamento pleural se deve à deposição de gordura extra ou ao verdadeiro espessamento pleural do que os raios-x.[3]
Se o fibrotórax for grave, o espessamento pode restringir o pulmão do lado afetado, causando perda de volume pulmonar.[7] Além disso, o mediastino pode ser fisicamente deslocado para o lado afetado.[3] Uma redução no tamanho de um lado do tórax (hemitórax) em uma radiografia ou tomografia computadorizada do tórax sugere cicatrização crônica.[6] Sinais da doença subjacente que causa o fibrotórax também são ocasionalmente observados na radiografia.[6] A tomografia computadorizada pode mostrar características semelhantes às observadas em uma radiografia simples.[7] O teste de função pulmonar demonstra normalmente achados consistentes com doença pulmonar restritiva.[6]
Fibrotórax extenso do lado esquerdo
Radiografia de tórax exibindo opacificação não homogênea da metade esquerda do tórax que é fibrotórax
Radiografia de tórax (esquerda) e tomografia computadorizada (direita) demonstrando fibrotórax
Espécime de autópsia mostrando fibrose pleural extensa
Tratamento
Não cirúrgico
O tratamento conservador não cirúrgico do fibrotórax é geralmente efetuado através do tratamento da sua causa subjacente e está reservado para os casos mais leves. Recomenda-se firmemente a interrupção do tabagismo, uma vez que a exposição à fumaça do tabaco pode agravar a fibrose.[9] Os casos graves de fibrotórax podem exigir ventilação mecânica de apoio se a pessoa afetada não conseguir respirar adequadamente por si própria.[3]
Nos casos de fibrotórax causado por medicamentos, recomenda-se que os medicamentos responsáveis sejam interrompidos. Os medicamentos alcaloides de ergotes, que podem piorar a fibrose pleural, são geralmente evitados.[3] Os casos de fibrotórax atribuídos a medicamentos param geralmente de piorar se o medicamento causador for interrompido.[3] Em algumas situações, o fibrotórax induzido por medicamentos melhora após a interrupção do medicamento causador, mas, geralmente, não desaparece completamente.[3]
A observação é apropriada para casos mais leves de fibrotórax em determinadas situações. O fibrotórax causado por tuberculose, empiema ou hemotórax geralmente melhora espontaneamente de 3 a 6 meses após a doença precipitante. Os corticosteroides são comumente usados para tratar o fibrotórax, mas não são bem apoiados pelas evidências disponíveis.[6]
Cirúrgico
Em casos graves de fibrotórax que estejam comprometendo a capacidade de respiração da pessoa, o tecido cicatricial (casca fibrosa) que causa o fibrotórax pode ser removido cirurgicamente por meio de uma técnica chamada decorticação.[1][7] No entanto, a decorticação cirúrgica é um procedimento invasivo que acarreta o risco de complicações, incluindo um pequeno risco de morte,[7] e, portanto, geralmente só é considerada se houver sintomas graves presentes há muitos meses.[3] A decorticação cirúrgica é geralmente considerada para pessoas com fibrotórax grave, causando falta de ar significativa, e que tenham pulmões relativamente saudáveis, pois isso aumenta a probabilidade de um melhor resultado.[3] A remoção cirúrgica da pleura (pleurectomia) pode ser realizada em casos refratários, como ocorre frequentemente quando a causa é a asbestose.[10]
Prognóstico
O fibrotórax que complica outra condição, como pleurite tuberculosa, empiema ou hemotórax agudo, geralmente se resolve espontaneamente em 3 a 6 meses.[3]
O prognóstico após a decorticação cirúrgica é variável e depende da saúde do pulmão subjacente antes da realização do procedimento.[3] Se o pulmão era saudável, certos aspectos da função pulmonar, como a capacidade vital, podem melhorar após a decorticação.[3] Se, no entanto, o pulmão tinha uma doença significativa, a função pulmonar geralmente não melhora e pode até se deteriorar após essa intervenção.[3] A duração do fibrotórax não afeta o prognóstico.[3]
A mortalidade da cirurgia é inferior a 1% em geral, mas aumenta para 4-6% em idosos. Outros fatores que preveem resultados cirúrgicos piores incluem complicações intraoperatórias, cirurgia incompleta, doença pulmonar além do fibrotórax que está sendo tratado e causas específicas de fibrotórax, como a asbestose.[10]
Epidemiologia
Casos esporádicos são raramente relatados na literatura médica, por exemplo, devido a complicações iatrogênicas ou pós-operatórias. O fibrotórax é raro em países desenvolvidos, principalmente devido à menor incidência de tuberculose. A condição é muito mais comum em trabalhadores expostos ao amianto, sendo que de 5 a 13,5% dos expostos desenvolvem posteriormente algum grau de fibrose pleural, às vezes não diagnosticada até décadas após a exposição inicial.[9]
Referências
- 1 2 Jantz, MA; Antony, VB (junho de 2006). «Pleural fibrosis». Clinics in Chest Medicine (em inglês). 27 (2): 181–91. PMID 16716812. doi:10.1016/j.ccm.2005.12.003
- 1 2 3 Huggins JT, Sahn SA (2004). «Causes and management of pleural fibrosis». Respirology (em inglês). 9 (4): 441–7. PMID 15612954. doi:10.1111/j.1440-1843.2004.00630.x

- 1 2 3 4 5 6 7 8 9 10 11 12 13 14 15 16 17 18 19 20 21 22 23 Broaddus, CV; Mason, RC; Ernst, JD; King, TE; Lazarus, SC; Murray, JF; Nadel, JA; Slutsky, A; Gotway, M (17 de março de 2015). Murray & Nadel's Textbook of Respiratory Medicine E-Book. (em inglês) 5 ed. [S.l.]: Elsevier Health Sciences. pp. 1785–6. ISBN 978-0-323-26193-7
- 1 2 3 4 Birdas, Thomas J.; Keenan, Robert J. (2009). Sugarbaker, David J.; Bueno, Raphael; Krasna, Mark J.; Mentzer, Steven J.; Zellos, Lambros, eds. Adult Chest Surgery (em inglês). New York, NY: The McGraw-Hill Companies. Consultado em 29 de março de 2018. Cópia arquivada em 31 de dezembro de 2019
- ↑ Huggins, John T.; Sahn, Steven A. (2004). «Causes and management of pleural fibrosis». Respirology (em inglês). 9 (4): 441–447. ISSN 1440-1843. PMID 15612954. doi:10.1111/j.1440-1843.2004.00630.x

- 1 2 3 4 5 6 Wrightson, JM; Davies, HE; Gary Lee, YC (2012). «Chapter 69». Clinical Respiratory Medicine (em inglês) Fourth ed. [S.l.]: Saunders. pp. 818–836. ISBN 978-1-4557-0792-8. Consultado em 20 de dezembro de 2019
- 1 2 3 4 5 6 7 8 Donath, Joseph; Miller, Albert (2009). «Restrictive Chest Wall Disorders». Seminars in Respiratory and Critical Care Medicine (em inglês). 30 (3): 275–292. ISSN 1069-3424. PMID 19452388. doi:10.1055/s-0029-1222441
- ↑ Alhassan, Sulaiman; Fasanya, Adebayo; Thirumala, Raghu (15 de fevereiro de 2017). «Extensive Calcified Fibrothorax». American Journal of Respiratory and Critical Care Medicine (em inglês). 195 (4): e25–e26. PMID 27854506. doi:10.1164/rccm.201606-1265im
- 1 2 «Pleural Thickening of Lungs: Causes, Symptoms & Treatment». Mesothelioma Center – Vital Services for Cancer Patients & Families (em inglês). Consultado em 28 de maio de 2018
- 1 2 Moore, Jason (2015). «Fibrothorax». Encyclopedia of Trauma Care (em inglês). [S.l.]: Springer, Berlin, Heidelberg. pp. 616–618. ISBN 978-3-642-29611-6. doi:10.1007/978-3-642-29613-0_130
