Sinusite

Sinusite
SinónimosRinosinusite
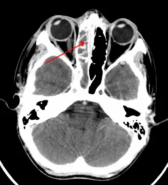
TAC de sinusite na extremidade do seio etimóide
EspecialidadeOtorrinolaringologia
SintomasMuco nasal espesso, nariz entupido, dor facial, febre[1][2][3]
TiposAguda (< 4 semanas), crónica (>12 semanas)[1]
CausasInfeção (bacteriana, fúngica), alergias, poluição do ar, problemas estruturais no nariz[2]
Fatores de riscoAsma, fibrose cística, imunidade debilitada[1]
Método de diagnósticoBaseado nos sintomas[1]
Condições semelhantesCefaleia[4]
PrevençãoLavagem das mãos, não fumar, vacinação[2]
TratamentoAnalgésicos, esteroides nasais, irrigação nasal, antibióticos[1][5]
Frequência10–30% por ano (países desenvolvidos)[1][6]
Classificação e recursos externos
CID-11CA01
CID-10J01, J32
CID-9461, 473
DiseasesDB12136
MedlinePlus000647
eMedicineemerg/536
MeSHD012852
A Wikipédia não é um consultório médico. Leia o aviso médico 

Sinusite é a inflamação dos seios paranasais que produz sintomas.[1] Entre os sinais e sintomas mais comuns estão a produção de muco nasal espesso, nariz entupido e dor na face.[1] Entre outros possíveis sinais e sintomas estão a febre, dores de cabeça, diminuição do olfato, garganta inflamada e tosse.[2][3] A tosse geralmente agrava-se durante a noite.[3] As complicações graves são raras.[3] A sinusite é classificada como aguda quando a duração é inferior a quatro semanas e crónica quando a duração é superior a doze semanas.[1]

A sinusite pode ser causada por uma infeção, alergias, poluição do ar ou problemas estruturais no nariz.[2] A maior parte dos casos é causada por infeções virais.[2] Quando os sintomas se manifestam durante mais de dez dias ou a pessoa piora depois de ter começado a melhorar, é possível que a causa seja uma infeção bacteriana.[1] Os episódios recorrente de sinusite são mais comuns entre as pessoas com asma, fibrose cística ou imunodeficiência.[1] Geralmente não são necessários raios-X, exceto quando se suspeite de complicações.[1] Nos casos crónicos está recomendado um exame de confirmação, geralmente feito através de visualização direta ou tomografia computorizada.[1]

Alguns casos podem ser prevenidos lavando as mãos, evitando a exposição ao fumo do tabaco e através de vacinação.[2] Os sintomas podem ser aliviados com analgésicos, corticosteroides nasais e irrigação nasal.[1][5] O tratamento inicial recomendado para a sinusite aguda é a vigilância atenta.[1] Quando os sintomas não melhoram em 7–10 dias, ou se agravam, pode ser necessário um antibiótico.[1] Nos casos em que é necessário um antibiótico, os tratamentos de primeira linha recomendados são a amoxicilina ou amoxicilina/ácido clavulânico.[1] Em alguns casos de doença crónica pode ser necessária cirurgia.[7]

A sinusite é uma doença comum.[1] Em cada ano afeta entre 10 a 30% da população da Europa e dos Estados Unidos.[1][6] A doença é mais comum entre mulheres do que entre os homens.[8] A sinusite crónica afeta aproximadamente 12,5% da população.[9] O tratamento desnecessário e ineficaz da sinusite viral com antibióticos é um problema de saúde pública.[1]

Classificação

1.Sinus frontal; 2.Sinus etimoide; 3. Sinus esfenoide; 4. Sinus maxilar.

Esta patologia pode se dividir em três tipos:

  1. Infecciosa: tem características de dor na região dos seios da face, seguida de obstrução nasal, secreção purulenta e febre.
    1. Bacterianas: geralmente agudas e, comumente, causadas pelas bactérias: Streptococcus pneumoniae, Haemophilus influenzae, and Moraxella sp.
    2. Fúngica: Acomete, preferencialmente, pessoas com baixa imunidade. Quadros crônicos, que não resolvem com o tratamento padrão antibacteriano, devem ser suspeitos.
  2. Alérgica: apresenta dor nos ossos da face, ocasionalmente febre e vem com todos os sintomas comuns da alergia, coriza clara e abundante, obstrução nasal e crises de espirros. e também tosses abundantes.
  3. Traumática: causada por diferença de pressão. Por exemplo, durante viagens de avião ou mergulho. Suas características são a dor maxilar e pouca obstrução nasal.

Além disso elas são classificadas de acordo com o tempo que duram[10]:

  • Aguda: Duração de menos de 1 mês.
  • Sub-aguda: Duração entre 1 e 3 meses.
  • Crônica: Duração superior a 3 meses.
  • Aguda recorrente: 3 ou mais episódios por ano, com cada episódio durando menos de duas semanas.

Além da gravidade da doença, discutido mais adiante, a sinusite pode ser classificada pela cavidade nasal que afeta:

Sinais e sintomas

Diagnóstico

O processo de diagnóstico se inicia e muitas vezes é suficiente com uma história clínica bem colhida, associada a um exame físico bem feito. A critério médico podem ser utilizados exames radiológicos, como o raios X de seios da face, ou seios paranasais, destacando que para melhor identificação é recomendado uma tomografia computadorizada de seios perinasais.

Tomografia demonstrando sinusite maxilar à direita

Causas

Os casos mais comuns que podem desencadear a sinusite são: a gripe comum, alergia, desvio de septo nasal e condições climáticas adversas. As infecções mais frequentes são por infecção viral pelo rinovírus, adenovirus, vírus respiratório sincicial ou/e para-influenza. A infecção pode acometer diretamente a mucosa de várias cavidades paranasais simultaneamente.[11] Em biópsias de casos cirúrgicos geralmente identificam vários agentes infecciosos presentes simultaneamente em mais de uma via respiratória.

Em alguns raros casos a origem de sinusite maxilar pode ser uma infecção nos dentes.[12]

Segue a lista das principais causas:

  • Desvio de septo nasal: acontece quando a parede entre as narinas estão tortas que bloqueiam os seios nasais.
  • Trauma na face: quando um osso do rosto é fraturado pode causar obstrução das passagens das vias nasais.
  • Reações alérgicas: causas ocasionadas pelo ar como poeira, pólen, poluição, pelos, mofo, cigarros e etc.
  • Infecções respiratórias: os mais comuns são gripe e resfriado que inflamam e bloqueiam a drenagem de muco e criando condições para o crescimento de bactérias. Essas infecções podem ser virais, bacteriana ou fungos.
  • Outras doenças respiratórias como rinite e asma, podem favorecer a origem de sinusite.
  • Doenças ou até remédios que enfraquecem a imunidade: complicações de fibrose cística, refluxo gastroesofágico, AIDS e outros fatores que afetam o sistema imunológico podem bloquear as vias nasais. Bem como idade avançada.
  • Células do sistema imunológico: as células do sistema imunológico chamadas eosinófilos podem causar inflamação dos seios nasais.
  • Pólipos nasais: crescimento de tecido que bloqueia as passagens nasais.

Fisiopatologia

A fisiopatologia das sinusites é determinada tanto por fatores do individuo (sistêmicos e locais) quanto do meio ambiente. Dentre os fatores que do individuo que favorecem seu aparecimento estão os problemas imunológicos, como ocorre nas deficiências de anticorpos, diabetes, mucoviscidose (em que as secreções são mais espessas), alergia respiratória, discinesia ciliar primária e AIDS.[13]

Prevenção

Existem várias maneiras de prevenir a sinusite. O primeiro passo para garantir uma boa função nasal é manter as cavidades bem ventiladas, o que pode ser feito limpando bem o nariz usando um higienizador nasal com uma solução salina (água morna com uma pitada de sal ou soro fisiológico). Manter a casa bem limpa também contribui para a prevenção de alergias. Beber bastante água ajuda a manter os mucos menos densos.

Um alergista pode fazer um exame para verificar a quais possíveis agentes alergênicos o paciente reage.

Fatores de risco

Tratamento

Após o diagnóstico se inicia o tratamento que se destina a desobstruir, a liberar as secreções retidas na face e tentar que este processo infeccioso e/ou inflamatório não se repita. Problemas respiratórios (rinites, asma, faringites...) devem ser tratados simultaneamente pois a melhora ou agravamento de um influencia na melhora ou agravamento dos outros.[16]

O tratamento se dá através de antialérgicos, corticóides, lavagens nasais, inalações e cirurgias, com seus avanços nos últimos anos, que oferecem excelentes resultados quando indicados corretamente e realizados por médicos experientes neste setor. Estudos recentes mostraram que a pessoa que ingerir bebidas alcoólicas no tratamento ou no desenvolvimento dela agrava o caso em cerca de 40% de aumento das secreções retidas na face.[carece de fontes?]

A sinusite e a obstrução nasal têm cura. O importante é destacar que o tratamento correto e a adesão do paciente são de fundamental importância para que a doença seja vencida.

As lavagens nasais com soro fisiológico morno são parte importante do tratamento.

Segundo alergologistas, é altamente recomendado que o paciente não fique em contato com luz solar pois ela aumenta a produção de muco causando a corisa em estágios mais abundantes. Também é recomendado que o paciente não fique em ambientes fechados, pois a tosse apresentada no período de sinusite pode afetar os indivíduos presentes neste tipo de ambiente.

Lavar o nariz bem com uma solução salina pode aliviar parcialmente os sintomas, analgésicos (como dipirona sódica ou paracetamol) podem aliviar a dor de cabeça e mesmo sem tratamento os sintomas geralmente desaparecem em uma ou duas semanas. Outra opção para a limpeza das cavidades são os descongestionantes nasais. Descongestionantes devem ser usados com moderação, pois seu uso excessivo causam ainda mais danos às mucosas nasais.

Em casos crônicos é necessário intervenção cirúrgica, para corrigir um desvio de septo, desobstruir as vias respiratórias, corrigir complicações orbitárias ou outras complicações possíveis que não possam ser solucionadas por meio da drenagem ou com uso de antialérgicos, anti-inflamatórios ou antibióticos.

A sinusite fúngica, parece ser, particularmente, preocupante. A formação habitual é a ocupação dos seios da face, geralmente maxilar, formando uma estrutura conhecida como bola fúngica. O tratamento da bola fúngica é, sempre, cirúrgico. O atraso no diagnóstico e na conduta cirúrgica da bola fúngica, pode resultar em deformidades dos ossos da face, problemas oculares, trombose dos vasos intracranianos e, invasão, por contiguidade, do Sistema Nervoso Central, evoluindo para meningite fúngica, potencialmente fatal.

Complicações

Complicações podem ocorrer por causa da patogenicidade exacerbada do agente infeccioso, vulnerabilidade do sistema de defesa, alteração da estrutura da cavidade paranasal ou por agravantes ambientais (como re-contaminações de poluentes e fatores desencadeantes de alergias).[17]

A infecção pode se espalhar para as regiões próximas contaminando a garganta, boca, dentes e órbitas oculares. De forma semelhante também pode infectar os ossos faciais causando osteomielite. As complicações são cada vez mais raras desde o desenvolvimento dos antibióticos e antifúngicos modernos.

Referências

  1. 1 2 3 4 5 6 7 8 9 10 11 12 13 14 15 16 17 18 19 20 Rosenfeld, RM; Piccirillo, JF; Chandrasekhar, SS; Brook, I; Ashok Kumar, K; Kramper, M; Orlandi, RR; Palmer, JN; Patel, ZM; Peters, A; Walsh, SA; Corrigan, MD (abril de 2015). «Clinical practice guideline (update): adult sinusitis executive summary.». Otolaryngology—head and neck surgery : official journal of American Academy of Otolaryngology-Head and Neck Surgery. 152 (4): 598–609. PMID 25833927. doi:10.1177/0194599815574247
  2. 1 2 3 4 5 6 7 «Sinus Infection (Sinusitis)». cdc.gov. 30 de setembro de 2013. Consultado em 6 de abril de 2015. Cópia arquivada em 7 de abril de 2015
  3. 1 2 3 4 «What Are the Symptoms of Sinusitis?». 3 de abril de 2012. Consultado em 6 de abril de 2015. Cópia arquivada em 5 de abril de 2015
  4. «Migraines vs. Sinus Headaches». American Migraine Foundation. Consultado em 23 de outubro de 2017
  5. 1 2 King, D; Mitchell, B; Williams, CP; Spurling, GK (20 de abril de 2015). «Saline nasal irrigation for acute upper respiratory tract infections.». The Cochrane database of systematic reviews. 4: CD006821. PMID 25892369. doi:10.1002/14651858.CD006821.pub3
  6. 1 2 Adkinson, N. Franklin (2014). Middleton's allergy : principles and practice. Eight ed. Philadelphia: Elsevier Saunders. p. 687. ISBN 9780323085939. Cópia arquivada em 3 de junho de 2016
  7. «How Is Sinusitis Treated?». 3 de abril de 2012. Consultado em 6 de abril de 2015. Cópia arquivada em 5 de abril de 2015
  8. «Sinusitis». U.S. National Institute of Allergy and Infectious Diseases. 3 de abril de 2012. Consultado em 6 de abril de 2015. Cópia arquivada em 4 de abril de 2015
  9. Hamilos DL (outubro de 2011). «Chronic rhinosinusitis: epidemiology and medical management». The Journal of Allergy and Clinical Immunology. 128 (4): 693–707; quiz 708–9. PMID 21890184. doi:10.1016/j.jaci.2011.08.004
  10. Dowelll SF, Schwartz B, Phillips WR. Appropriate use of antibiotics for URIs in children: Part I. Otitis media and acute sinusitis. The Pediatric URI Consensus Team. Am Pham Phys 1998;58:1313-8.
  11. http://www.jped.com.br/conteudo/99-75-06-419/port_print.htm
  12. http://www.lecourrierdudentiste.com/dossiers-du-mois/les-sinusites-maxillaires.html
  13. Herrod HG. Immunologic considerations in the child with recurrent or persistent sinusitis. Allergy Asthma Proc 1997;18:145-8.
  14. Tammemagi CM, Davis RM, S Benninger M, Holm AL, Krajenta R (April 2010). "Secondhand smoke as a potential cause of chronic rhinosinusitis: a case-control study". Arch. Otolaryngol. Head Neck Surg. 136 (4): 327–34.
  15. http://www.clevelandclinicmeded.com/medicalpubs/diseasemanagement/allergy/rhino-sinusitis/
  16. http://www.scielo.br/pdf/jbpneu/v32n4/15.pdf
  17. Gwaltney JM. Rhinovirus. In: Mandel GL, Douglas R, Bennet JE,ed. Principles and practice of infectious diseases. 4ª ed. New York: Churchill Linvingstone; 1995. p.1656-62.