Hipertensão pulmonar

Hipertensão pulmonar
SinónimosHipertensão arterial pulmonar,[1] síndrome de Ayerza[2]
Hipertensão pulmonar
EspecialidadePneumologia, cardiologia
SintomasDor no peito, fadiga[3][2]
Início habitual20 a 60 anos de idade[4]
DuraçãoCrónica[1]
CausasDesconhecidas[1]
Fatores de riscoAntecedentes familiares, embolia pulmonar, VIH/SIDA, anemia falciforme, consumo de cocaína, doença pulmonar obstrutiva crónica, apneia do sono, viver em altitudes elevadas[5][4]
Método de diagnósticoApós excluir outras potenciais causas[1]
TratamentoCuidados de apoio, medicação, transplante de pulmão[1][6]
MedicaçãoEpoprostenol, treprostinil, iloprosta, bosentan, ambrisentan, macitentan, sildenafil[1]
Frequência1000 novos casos por ano (EUA)[2]
Classificação e recursos externos
CID-11BB01
CID-10I27.20, I27.2
DiseasesDB10998
MedlinePlus000112
eMedicine361242, 303098
MeSHD006976
A Wikipédia não é um consultório médico. Leia o aviso médico 

Hipertensão pulmonar é uma condição caracterizada por elevada pressão arterial nas artérias pulmonares.[3] Os sintomas mais comuns são falta de ar, síncope, cansaço, dor no peito, inchaço das pernas e aumento da frequência cardíaca.[3][2] A condição pode dificultar a prática de exercício físico.[3] Os sintomas geralmente manifestam-se de forma gradual.[7]

Na maior parte dos casos a causa é desconhecida.[1] Entre os fatores de risco estão antecedentes familiares da doença, antecedentes de embolia pulmonar, VIH/SIDA, anemia falciforme, consumo de cocaína, doença pulmonar obstrutiva crónica, apneia do sono, viver em altitudes elevadas e problemas na válvula mitral.[5][4] O mecanismo subjacente geralmente envolve a inflamação das artérias pulmonares.[5] O diagnóstico requer a exclusão de outras potenciais causas.[1]

Não existe cura.[3] O tratamento depende do tipo da doença.[6] Podem ser usadas várias medidas de apoio, como oxigenoterapia, diuréticos e anticoagulantes.[1] Entre os medicamentos usados especificamente para o tratamento de hipertensão pulmonar estão o epoprostenol, treprostinil, iloprosta, bosentan, ambrisentan, macitentan e sildenafil.[1] Em alguns casos pode ser considerado um transplante de pulmão.[6]

Trata-se de uma doença rara. Embora não se tenha ainda determinado a frequência exata da doença, estudos realizados na França e na Escócia, estimaram uma incidência de 2,5 a 7,1 casos por milhão por ano e uma prevalência de 5 a 52 por milhão na população adulta.[8] Estima-se também que nos Estados Unidos ocorram 1000 novos casos por ano.[4][2] Mulheres são mais suscetíveis que homens.[2] A doença tem geralmente início entre os 20 e os 60 anos de idade.[4] Foi identificada pela primeira vez por Ernst von Romberg em 1891.[9][1]

Tipos

A hipertensão pulmonar é classificada em cinco grupos, dependendo da causa.[10]

Grupo 1 - Hipertensão arterial pulmonar
Grupo 2 - Hipertensão pulmonar causada por doença cardíaca esquerda
Grupo 3 - Hipertensão pulmonar por doença pulmonar e/ou hipoxia
Grupo 4 - Hipertensão pulmonar crônica causada por coágulos sanguíneos
Grupo 5 - Hipertensão pulmonar com mecanismos multifatoriais pouco esclarecidos

Fisiopatologia

O processo subjacente da hipertensão pulmonar varia e, com frequência, múltiplos fatores são responsáveis. Normalmente, o leito vascular pulmonar pode receber o volume sanguíneo liberado pelo ventrículo direito. Ele apresenta uma baixa resistência ao fluxo sanguíneo aumentado por meio da dilatação dos vasos na circulação pulmonar. Entretanto, se o leito vascular pulmonar está destruído ou obstruído, como na hipertensão pulmonar, a capacidade de receber qualquer fluxo ou volume do sangue fica prejudicada, e, então, o fluxo sanguíneo aumentado eleva a pressão da artéria pulmonar. À medida que a pressão da arterial pulmonar aumenta, também aumenta a resistência vascular pulmonar. A constrição da artéria pulmonar (como na hipoxemia ou hipercapnia) e a redução no leito vascular pulmonar (que ocorre com a embolia pulmonar) resultam em um aumento na resistência e pressão vasculares pulmonares. Essa carga de trabalho aumentada afeta a função ventricular direita. Por fim, o miocárdio não consegue satisfazer as demandas crescentes impostas a ele, levando à hipertrofia (aumento e dilatação) e insuficiência ventricular direita.

Sinais e sintomas

A dispneia é o principal sintoma da hipertensão pulmonar, ocorrendo, a principio, com esforço e, mais adiante, em repouso. A dor torácica subesternal também é comum, afetando 25 a 50% dos pacientes. Os outros sinais e sintomas incluem[11]:

  • Dificuldade cada vez maior de fazer exercícios.
  • Dor ou desconforto torácico.
  • Fadiga.
  • Inchaço nas pernas.
  • Tosse persistente.
  • Palpitações (sensação do batimento forte ou anormal do coração).
  • Cianose (tom azulado da pele, principalmente nas mãos, pés e face).
  • Tontura
  • Desmaio (síncope)

Raramente, pacientes com hipertensão pulmonar podem ter apresentação clínica semelhante a uma convulsão que dificultam seu diagnóstico.[12]

Diagnóstico

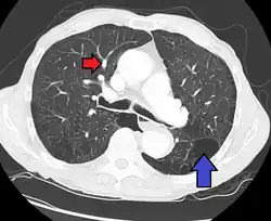
Hipertensão pulmonar visível por vasos excessivamente dilatados (seta vermelha) associado a enfisema pulmonar (seta azul)

Uma avaliação diagnostica completa inclui uma historia, exame físico, radiografia de tórax, provas de função pulmonar, eletrocardiograma (ECG), ecocardiograma, imageamento de ventilação perfusão e cateterismo cardíaco. Em alguns casos, pode ser necessária uma biopsia pulmonar, realizada por toracoscopia, visando elaborar um diagnóstico definitivo. O cateterismo cardíaco do lado direito do coração revela a pressão arterial pulmonar elevada. Um ecocardiograma pode avaliar a progressão da doença e excluir outras condições com sinais e sintomas similares.

O ECG revela hipertrofia ventricular direita, desvio do eixo para a direita e ondas T altas, em pico, nas derivações inferiores, ondas R anteriores altas e depressão do segmento ST e /ou inversão da onda T anteriormente. A Pa O2 também está deprimida (hipoxemia).

Uma cintilografia da ventilação-perfusão ou angiografia pulmonar. As provas de função pulmonar podem estar normais ou mostrar discreta diminuição na capacidade vital (CV) e na complacência pulmonar, com uma leve diminuição na capacidade de difusão.

Tratamento

Medicamentos, como bloqueadores dos canais de cálcio, antagonistas do receptor de endotelina, inibidores da fosfodiesterase 5 (sildenafila), diuréticos e prostaciclinas podem ser utilizados para a melhora dos sintomas e prolongamento da vida, mas não curam a doença.[13]

Após a realização do transplante, o uso de medicações para prevenir a rejeição é obrigatório por toda a vida, o que pode ocasionar diversos efeitos colaterais.

Para o alívio dos sintomas, o oxigênio suplementar é a medida mais importante e quase sempre faz parte do arsenal do tratamento.

A única cura para a hipertensão pulmonar primária é o transplante pulmonar para ambos os pulmões, sendo, às vezes, também necessário o transplante de coração. Porém além de ser difícil encontrar um doador, existem muitos riscos associados a qualquer transplante, como sangramento, infecções e reações alérgicas. Além disso, o fenômeno de rejeição ao órgão transplantado é elevado, com a sobrevivência média de apenas 5 anos após o transplante.[14]

Além disso, os vasodilatadores - medicações que dilatam os vasos para facilitar a passagem do sangue - podem, em um terço dos casos, auxiliar no tratamento. Várias medicações estão em fase de teste para ver se podem ajudar no tratamento e há outras já em uso na hipertensão pulmonar.

Os anticoagulantes (medicações que combatem a coagulação do sangue) também têm sido empregados no tratamento, visto que eles parecem prolongar a vida dos pacientes. Além disso, eles evitam os casos de trombose nestes vasos pulmonares alterados.

Tratamento de enfermagem

A principal meta da enfermagem consiste em identificar os pacientes em alto risco para a hipertensão pulmonar, como aqueles com DPOC, embolia pulmonar, cardiopatia congênita e doença valvular mitral. A enfermagem também deve ficar alerta para sinais e sintomas, administrar adequadamente a terapia de oxigênio e instruir os pacientes e família sobre a utilização domiciliar de suplementação de oxigênio.

Ver também

Referências

  1. 1 2 3 4 5 6 7 8 9 10 11 «Pulmonary Arterial Hypertension – NORD (National Organization for Rare Disorders)». NORD. 2015. Consultado em 30 de julho de 2017. Cópia arquivada em 29 de agosto de 2017
  2. 1 2 3 4 5 6 «Pulmonary arterial hypertension». Genetics Home Reference (em inglês). Janeiro de 2016. Consultado em 30 de julho de 2017. Cópia arquivada em 28 de julho de 2017
  3. 1 2 3 4 5 «What Is Pulmonary Hypertension? – NHLBI, NIH». NHLBI (em inglês). 2 de agosto de 2011. Consultado em 30 de julho de 2017. Cópia arquivada em 28 de julho de 2017
  4. 1 2 3 4 5 «Who Is at Risk for Pulmonary Hypertension? – NHLBI, NIH». NHLBI (em inglês). 2 de agosto de 2011. Consultado em 30 de julho de 2017. Cópia arquivada em 31 de julho de 2017
  5. 1 2 3 «What Causes Pulmonary Hypertension? – NHLBI, NIH». NHLBI (em inglês). 2 de agosto de 2011. Consultado em 30 de julho de 2017. Cópia arquivada em 31 de julho de 2017
  6. 1 2 3 «How Is Pulmonary Hypertension Treated? – NHLBI, NIH». NHLBI (em inglês). 2 de agosto de 2011. Consultado em 30 de julho de 2017. Cópia arquivada em 28 de julho de 2017
  7. «How Is Pulmonary Hypertension Diagnosed? – NHLBI, NIH». NHLBI (em inglês). 2 de agosto de 2011. Consultado em 30 de julho de 2017. Cópia arquivada em 28 de julho de 2017
  8. Prins, Kurt W.; Thenappan, Thenappan (agosto de 2016). «WHO Group I Pulmonary Hypertension: Epidemiology and Pathophysiology». Cardiology clinics (3): 363–374. ISSN 0733-8651. PMC 4959804Acessível livremente. PMID 27443134. doi:10.1016/j.ccl.2016.04.001. Consultado em 18 de abril de 2022
  9. von Romberg, Ernst (1891–1892). «Über Sklerose der Lungenarterie». Dtsch Arch Klin Med (em alemão). 48: 197–206
  10. Simonneau G, Robbins I, Beghetti M, et al. (30 June 2009). "Updated Clinical classification of pulmonary hypertension". J. Am. Coll. Cardiol. 54 (1 Suppl S): S43–S54. doi:10.1016/j.jacc.2009.04.012. PMID 19555858.
  11. Pulmonary hypertension symptoms and causes. http://www.mayoclinic.org/diseases-conditions/pulmonary-hypertension/symptoms-causes/dxc-20197481
  12. Rissardo, Jamir Pitton; Caprara, Ana Letícia Fornari (outubro de 2018). «Seizures in Idiopathic Pulmonary Arterial Hypertension». International Journal of Epilepsy (em inglês) (02): 107–109. ISSN 2213-6320. doi:10.1055/s-0039-1688528. Consultado em 20 de outubro de 2021
  13. "How Is Pulmonary Hypertension Treated? - NHLBI, NIH". www.nhlbi.nih.gov. https://www.nhlbi.nih.gov/health/health-topics/topics/pah/treatment
  14. "2006 OPTN/SRTR Annual Report". US Scientific Registry of Transplant Recipients. 2006-05-01. Retrieved 2007-03-28.

Ligações externas