Linfangioleiomiomatose
| Linfangioleiomiomatose | |
|---|---|
![]() | |
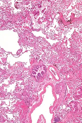
| Micrografia de uma linfangioleiomiomatose. H&E stain. | |
| Especialidade | pneumologia |
| Classificação e recursos externos | |
| CID-11 | CB07 |
| CID-10 | D48.7, J84.81 |
| CID-9 | 518.89 |
| CID-CID-O | 9174/1 |
| OMIM | 606690 |
| DiseasesDB | 30755 |
| eMedicine | 299545, 358917 |
| MeSH | D018192 |
A linfangioleimiomatose (LAM) é uma rara doença intersticial pulmonar idiopática que afeta exclusivamente mulheres, tipicamente durante seus anos reprodutivos, caracterizada pela proliferação anormal de células de músculo liso nos pulmões e nos linfáticos retroperitoneais e torácicos. [1]
Referências
- ↑ Caderno Dois[ligação inativa]
