Pneumoconiose
| Pneumoconiose | |
|---|---|
![]() | |
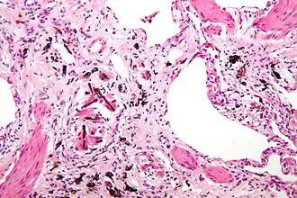
| Micrografia de de asbestose (com corpos ferruginosos), um tipo de pneumoconiose. H&E stain. | |
| Especialidade | pneumologia |
| Classificação e recursos externos | |
| CID-11 | CA60 |
| CID-10 | J60-J65 |
| CID-9 | 500-505 |
| DiseasesDB | 31746 |
| MeSH | D011009 |
Pneumoconiose é uma doença pulmonar ocupacional com padrão restritivo causada pela inalação de poeiras inorgânicas, geralmente associada a trabalho em metalúrgicas, construtoras, mecânicas ou minas.
Tipos
Dependendo do tipo de poeira, existem varias variantes da doença.
As variantes incluem:
- Antracose ou "pulmão negro" - poeira de carvão
- Asbestose - poeira de asbesto
- Silicose ou "doença do esmeril" - poeira de sílica
- Fibrose de bauxita - poeira de bauxita
- Beriliose - poeira de berílio
- Siderose ou "pulmão de soldador" - poeira de ferro
- Bissinose - poeira de algodão
- Siderossilicose - misto de poeira contendo sílica e ferro
- Outras
Pulmão do Labrador, encontrado originalmente em mineiros do Labrador, Canadá, causado por uma mistura de poeira contendo ferro, sílica e antofilite, um tipo de amianto.
Especula-se que astronautas sujeitos a uma exposição prolongada à poeira lunar podem ser susceptível a um tipo de pneumoconiose. De momento não houve casos, mas nas futuras missões lunares serão tomadas precauções contra a exposição.
Pneumoconiose em combinação com múltiplas pulmonares nódulos reumatóides em artrite reumatóide nos doentes é conhecido como síndrome de Caplan.[1]
Doença dos pipoqueiros: emissões de poeiras de condimentos utilizados na produção de manteiga de pipocas de microondas.
Sinais e sintomas
Nos estágios iniciais pode não ter sintomas e apenas aumentar o risco de câncer de pulmão e outras neoplasias do sistema respiratório. Indicações positivas sobre a avaliação do paciente:[2]
- Tosse seca;
- Dificuldade para respirar;
- Ponta dos dedos agrandados.
Diagnóstico
Radiografia do tórax pode mostrar uma característica desigual, subpleurais, bibasilar infiltrados intersticiais ou pequenas radiolucencies cística chamada faveolamento.
Referências
- ↑ Andreoli, Thomas, ed. Cecil Essentials of Medicine. Saunders: New York, 2004. p. 737
- ↑ http://aje.oxfordjournals.org/content/133/3/220.abstract
Ver também
Ligações externas
- «NIOSH Safety and Health Topic: Pneumoconioses» (em inglês)
- «Pulmão negro» (em inglês)
- «Pulmão negro 2» (em inglês)
- «Pulmão negro 3» (em inglês)
- «Pulmão negro 4» (em inglês)
- «Pulmão negro 5» (em inglês)
