Amianto

Asbesto
Amianto
Asbesto de tremolita fibrosa em moscovita.
Categoria Silicato mineral
Classificação Strunz 09.ED.15
Cor
  • Verde
  • vermelho
  • amarelo
  • branco
  • cinza
  • azul
Propriedades cristalográficas
Sistema cristalino
  • Ortorrômbico
  • Monoclínico
Hábito cristalino
  • Amorfo
  • granular
  • maciço
Propriedades ópticas
Índice refrativo 1.53–1.72
Birrefringência 0.008
Propriedades ópticas Biaxial
dispersão Relativamente fraco
Fluorescência ultravioleta Não-fluorescente
Propriedades físicas
Peso específico 277.11 g
Dureza 2.5–6.0
Ponto de fusão 400–1 040 °C
Clivagem Superfície prismática
Fratura Fibroso
Brilho Sedoso
Risca Branco

O asbesto (da palavra grega ἀσβεστος, "indestrutível", "imortal", "inextinguível") ou amianto (do grego αμίαντος, "puro", "sem sujidade", "sem mácula")[1] é uma designação comercial genérica para a variedade fibrosa de sais minerais metamórficos de ocorrência natural e utilizados em vários produtos comerciais. Trata-se de um material com grande flexibilidade e resistências química, térmica, eléctrica e à tracção muito elevadas e que além disso pode ser tecido.

O material é constituído por feixes de fibras. Estes feixes, por seu lado, são constituídos por fibras extremamente finas e longas facilmente separáveis umas das outras com tendência a produzir um pó de partículas muito pequenas que flutuam no ar e aderem às roupas. As fibras podem ser facilmente inaladas ou engolidas podendo causar graves problemas de saúde.[2]

A inalação prolongada de fibras de amianto pode provocar doenças graves incluindo câncer de pulmão, mesotelioma e asbestose (um tipo de pneumoconiose).[3][4]

Amplamente utilizado na fabricação de materiais para a construção civil ao longo de décadas, o amianto foi incluído no grupo principal de substâncias cancerígenas pela Organização Mundial da Saúde. Segundo a organização, 125 milhões de pessoas estão expostas à substância em todo o mundo, e pelo menos 107 mil morrem anualmente de doenças associadas a ela. Por esse motivo, o amianto já foi banido em mais de 60 países.[5]

Até a proibição do uso de amianto no país em 2017, Brasil era o terceiro maior produtor e o segundo maior exportador mundial de amianto, notadamente da a variedade crisotila. A maioria da produção brasileira era comercializada internamente e destinava-se principalmente à fabricação de telhas onduladas, chapas de revestimento, tubos e caixas d'água. Na indústria automobilística, o amianto é usado em produtos de fricção (freios, embreagens). Em menor quantidade, é possível encontrar amianto em produtos têxteis, filtros, papel, papelão e isolantes térmicos. Seis estados brasileiros (São Paulo, Mato Grosso, Rio de Janeiro, Rio Grande do Sul, Pernambuco e Santa Catarina)[6] criaram leis específicas proibindo a produção e comercialização de produtos contendo a substância. Em agosto de 2017, em ação direta de inconstitucionalidade, onde se questionava a constitucionalidade da lei proibitiva de São Paulo, o Supremo Tribunal Federal a considerou constitucional e ainda declarou incidentalmente a inconstitucionalidade do Art. 2º da Lei Federal nº 9.055/95 que autorizava o uso do amianto crisotila de forma controlada.[7][8] No dia 29 de novembro de 2017, o STF proibiu a extração, a industrialização e a comercialização do amianto em todo o país.[9]

Em 12 de julho de 2018, um júri do estado americano do Missouri ordenou que a empresa Johnson & Johnson pagasse o valor recorde de 4,69 bilhões de dólares a 22 mulheres que alegavam que os produtos à base de talco da empresa, incluindo o pó de bebê, continham amianto e causavam câncer de ovário.[10]

Minerais asbestiformes

Crisótilo (verde)

Os minerais asbestiformes, dos quais fibras de amianto podem ser extraídas, podem ser classificados em dois grupos:

GrupoNome do mineralComposicão químicaNome-comumObservações
SerpentinaCrisótilo(Mg,Fe,Ni)3Si2O5(OH)4Amianto brancoEsse é o tipo mais usado na indústria
AnfíbolaAmositeFe7Si8O22(OH)2Amianto castanhoAmosite é um termo comercial, sinônimo de grunerite.
CrocidoliteNa2Fe2+3Fe3+2Si8O22(OH)2Amianto azul
TremoliteCa2Mg5Si8O22(OH)2
ActinoliteCa2(Mg, Fe)5Si8O22(OH)2
Antofilite(Mg, Fe)7Si8O22(OH)2

As fibras de crisótilo são enroladas enquanto que as fibras de amianto de anfíbolas são cilíndricas. Os vários minerais do grupo das anfíbolas diferem uns dos outros nos teores de cálcio, magnésio, sódio e ferro neles contidos. Tanto os minerais do grupo da serpentina como os do grupo das anfíbolas ocorrem em variedades fibrosas e não fibrosas, sendo as variedades fibrosas designadas amianto. Têm sido identificadas variedades asbestiformes de várias outras anfíbolas.

Produção e consumo mundiais de amianto

Em 2007 a produção mundial de amianto foi algo em torno de 2 285 000 toneladas, distribuídas de acordo com o gráfico:

Produção de Amianto em 2007 (em 1000 t)[11]
1030
350
350
230
185
140
Rússia China Cazaquistão Brasil Canadá Outros

Já o consumo, em 2006, foi de aproximadamente 2 214 000 toneladas, sendo os maiores consumidores os países do BRIC e o Cazaquistão, distribuídos de acordo com o seguinte gráfico:

Consumo de Amianto em 2006 (em 1000 t)[11]
531
374
293
143
143
730
China Índia Rússia Brasil Cazaquistão Outros

Propriedades

O amianto é resistente ao calor até 1000 °C (Celsius) e contra ácidos moderados e tem uma resistência à tração ainda maior que fios de aço com igual perfil. Em temperaturas acima dos 1200 °C (Celsius), o amianto transforma-se em Olivina e suas variedades.

Usos e aplicações

Usos na antiguidade

Usado na antiguidade em mechas de lanternas, a resistência do amianto ao fogo é desde há muito aproveitada para uma variedade de propósitos. Foi utilizado em tecidos mortuários no antigo Egito bem como para fazer uma toalha de mesa para Carlos Magno, que de acordo com a lenda este atirou ao fogo para a limpar.

Usos modernos

O amianto foi utilizado em mais de 3000 produtos, havendo aplicações específicas para os diferentes tipos.

Grupo da serpentina

O crisótilo é o mineral mais utilizado na produção de amianto. As suas aplicações são inúmeras incluindo:

  • telhas de fibrocimento (cerca de 85% do consumo mundial)
  • revestimentos de travões e embreagens de automóveis
  • revestimentos e coberturas de edifícios
  • gessos e estuques
  • revestimentos à prova de fogo
  • vestimentas de proteção à prova de fogo

Grupo das anfíbolas

  • tubagens e coberturas de edifícios (misturado com cimento, fibrocimento)
  • isolamentos térmicos e acústicos
  • revestimentos de teto

Patologias causadas por amianto

Foto microscópica de fibras de antofilite

Já em 1898 o inspetor-chefe de fábricas no Reino Unido relatava ao parlamento no seu relatório anual os efeitos malignos do pó de amianto. Nele afirmava que a natureza aguçada como vidro das partículas quando presentes no ar em qualquer quantidade é nociva, como se deveria esperar. Em 1906 uma comissão do parlamento britânico confirmou os primeiros casos de morte causada por amianto e recomendou que fosse melhorada a ventilação nos locais de trabalho, entre outras medidas. Em 1918 uma companhia de seguros dos Estados Unidos efetuou um estudo que demonstrava a ocorrência de mortes prematuras na indústria do amianto e em 1926 a comissão de acidentes industriais de Massachusetts concedeu pela primeira vez a um trabalhador doente da indústria o direito à primeira compensação por doença causada por amianto. Muitos dos afetados pela exposição ao amianto nos Estados Unidos trabalhavam na construção naval durante a Segunda Guerra Mundial.

Os problemas com o amianto surgem quando as fibras se dispersam no ar e são inaladas. Devido ao tamanho das fibras, os pulmões não conseguem expeli-las [Casarrett & Doull's Toxicology (2001), pp 520–522].

Entre as doenças causadas pelo amianto incluem-se :

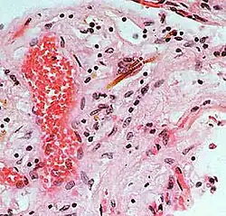
Detalhe de um pulmão com asbestose
  • Asbestose - Inicialmente diagnosticada entre trabalhadores da indústria naval dos Estados Unidos, a asbestose consiste de lesões do tecido pulmonar causadas por um ácido produzido pelo organismo na tentativa de dissolver as fibras. As lesões podem tornar-se extensas ao ponto de não permitirem o funcionamento dos pulmões. O tempo de latência (período que a doença leva a manifestar-se) é geralmente 10 a 20 anos.
  • Mesotelioma - Um câncer do revestimento mesotelial (pleura) do pulmão. A única causa conhecida é a exposição ao amianto. O período de latência do mesotelioma pode ser de 20 a 50 anos. A maior parte dos doentes morre em menos de 12 meses após o diagnóstico. Foi exatamente o mesotelioma do amianto que vitimou o famoso ator americano Steve McQueen(1930-1980).
  • Câncer - Câncer de pulmão, do trato gastrointestinal do rim e laringe foram associados ao amianto. O período de latência é muitas vezes 15 a 30 anos.
  • verrugas de amianto - produzidas quando fibras aguçadas se alojam na pele sendo recobertas por esta causando crescimentos benignos semelhantes a calos.
  • placas pleurais - espessamento de parte da pleura visível por meio de radiografias em indivíduos expostos ao amianto.
  • espessamento pleural difuso - semelhante à anterior. Geralmente assintomática, pode causar perda de capacidade respiratória se a sua extensão for grande.

Riscos da exposição ao amianto

Quase todas as pessoas são expostas ao amianto em algum momento das suas vidas. No entanto, a maioria das pessoas não adoece em consequência dessa exposição. As pessoas que adoecem devido à exposição ao amianto são geralmente aquelas expostas de forma regular, a maior parte das vezes no seu posto de trabalho em que contatam diretamente com o material ou através de contato ambiental substancial.

Vários estudos sugerem que os efeitos nocivos do amianto são muito maiores no grupo das Anfíbolas. Experiências com ratos de laboratório já provocaram a indução do processo cancerígeno causado por amianto crisotila, porém em doses muito altas que não são encontradas fora do ambiente de laboratório.

Hoje o uso do amianto anfibólio é proibido em todo o mundo. O amianto crisotila já é proibido em algumas regiões do planeta porém ainda é amplamente comercializado em vários países, apesar de muitos defenderem a sua proibição total.

Proibição

  • No Brasil, alguns estados (Rio Grande do Sul, Pernambuco, Rio de Janeiro e São Paulo) e municípios brasileiros proibiram a industrialização e a comercialização de todos os tipos de amianto, inclusive o crisotila. Por outro lado, a Lei Federal nº 9055, de 1º de julho de 1995 dispõe sobre a mineração, industrialização, transporte e comercialização do amianto e dos produtos que o contém. O Decreto nº 2350 de 1997 regulamenta a Lei nº 9.055. Em agosto de 2017, o STF considerou, de forma incidental, inconstitucional o art. 2º da Lei 9.055, na prática tornando ilegal o amianto no Brasil. A extração, a industrialização e a comercialização foram proibidas pelo STF em 29 de novembro de 2017.[9]
  • A União Europeia proíbe toda e qualquer utilização do amianto no seu território desde 1 de Janeiro de 2005, estando a sua extração igualmente proibida.[12] Os trabalhadores que tenham que lidar com atividades de remoção do amianto estão sujeitos a especiais condições de trabalho.[13]
  • O Canadá proíbe o uso do amianto no próprio país e é um dos maiores exportadores mundiais do produto, juntamente com a Rússia; seus maiores clientes são países em desenvolvimento.[14]
  • Na América do Sul o uso do amianto é proibido na Argentina, no Chile, no Uruguai, na Colômbia (desde 2011) e no Brasil.[15]

Substitutos do amianto

Como consequência da proibição quase generalizada de utilização de amianto têm surgido numerosos materiais como seus possíveis substitutos. No entanto, nenhum deles se mostrou tão versátil como o amianto. Alguns dos materiais substitutos são: silicato de cálcio, fibra de carbono, fibra de celulose, fibra cerâmica, fibra de vidro, fibra de aço, wollastonite, aramida, polietileno, polipropileno, politetrafluoretileno. Em aplicações que não requerem as propriedades de reforço das fibras perlite, serpentina, sílica e talco.

Na fabricação de telhas de fibrocimento, que responde por 97% do consumo de amianto crisotila no Brasil, o amianto pode ser substituído por uma mistura de fibras sintéticas (PVA ou PP) e celulose. Devido ao custo desses insumos (importados da China, Japão, Rússia, Chile e Austrália), assim como ao maior consumo de energia elétrica (o dobro), o custo das telhas de fibrocimento sem amianto é aproximadamente 50% maior que o das telhas contendo amianto, o que tem sido responsável pela baixa aceitação do produto, porém, no caso de proibição da extração e comercialização do amianto não restariam alternativas aos consumidores[carece de fontes?].

Ver também

  • Asbesto-cimento
  • Minaçu: Maior mina de amianto do Brasil

Referências

  1. Houaiss, Antônio. Dicionário Houaiss da Língua Portuguesa, Lisboa: Circulo dos Leitores, 2002. Tomo I ISBN 972-42-2809-6
  2. Proibido em países ricos, amianto ameaça população de nações em desenvolvimento
  3. STF mantém processo que pode multar a Eternit em R$ 1 bi. Revista Exame, 3 de setembro de 2014
  4. Position Statement on Asbestos from the Joint Policy Committee of the Societies of Epidemiology (JPC-SE), approved June 4, 2012
  5. Entenda os motivos da proibição do amianto no Brasil. Instituto Humanitas - Unisinos, 25 de fevereiro de 2014
  6. Catarinense, Diário. «Alesc aprova projeto de lei que proíbe comercialização de amianto em Santa Catarina». Diário Catarinense
  7. «Acompanhamento Processual :: STF - Supremo Tribunal Federal». www.stf.jus.br. Consultado em 17 de setembro de 2017
  8. «Informativo STF :: STF - Supremo Tribunal Federal». www.stf.jus.br. Consultado em 17 de setembro de 2017
  9. 1 2 «Supremo proíbe uso do amianto em todo o país». Agência Brasil - Últimas notícias do Brasil e do mundo
  10. Lisa Girion (14 de dezembro de 2018). «Johnson & Johnson knew for decades that asbestos lurked in its Baby Powder». Reuters. Consultado em 27 de dezembro de 2020
  11. 1 2 «UMWELT - Koalition der Unwilligen» (PDF) (em alemão). Der Spiegel 50/2008. 2008. Consultado em 21 de fevereiro de 2012
  12. Directivas europeias sobre o amianto
  13. União Europeia-protecção dos trabalhadores face aos edifícios com amianto
  14. Stop Canada's Export of Asbestos
  15. STF proíbe em todo o país produção, venda e uso de materiais com amianto «STF proíbe em todo país produção, comercialização e uso de Amianto» Verifique valor |url= (ajuda)

Ligações externas