Mesotelioma
| Mesotelioma | |
|---|---|
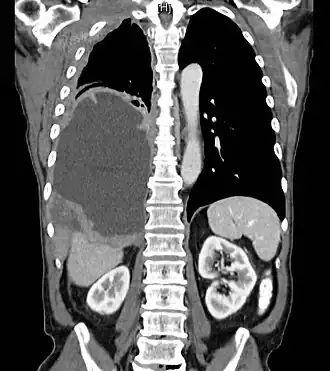
| Grande mesotelioma ao redor do pulmão direito (lado esquerdo da imagem) | |
| Especialidade | oncologia, pneumologia |
| Classificação e recursos externos | |
| CID-11 | XH0XV0 |
| CID-10 | C45 |
| CID-9 | 163 |
| CID-CID-O | 9050-9055 |
| OMIM | 156240 |
| DiseasesDB | 8074 |
| MedlinePlus | 000115 |
| eMedicine | med/1457 |
| MeSH | D008654 |
Mesotelioma é um tipo de neoplasia que se desenvolve a partir das células do mesotélio - tecido de origem mesodérmica que forma o epitélio que reveste externamente as vísceras. A área mais comumente afetada é a pleura, mas também pode ocorrer com menor frequência no peritônio e, mais raramente, no pericárdio e na túnica vaginal.[1][2] Os sinais e sintomas do mesotelioma podem incluir dispneia, ascite, dor torácica, tosse, fadiga e perda de peso.[2] Esses sintomas são progressivos, mas podem ser tardios devido ao curso geralmente lento da doença.[3][4]
Mais de 80% dos casos de mesotelioma são causados pela exposição ao amianto. Quanto maior a exposição, maior o risco.[1][5] Estima-se que cerca de 125 milhões de pessoas foram expostas ao amianto em todo o mundo e que o mesotelioma afete 1 a 2 milhões de pessoas por ano.[1][6] A alta incidência da doença ocorre entre trabalhadores de minas de amianto, de empresas que utilizam essa fibra mineral como matéria prima ou que comercializam produtos fabricados com ela. Alguns autores afirmam que até mesmo lavar rotineiramente as roupas de quem trabalha com amianto constitui um fator de risco para o mesotelioma,[6] que, muitas vezes, pode levar até 40 anos para se manifestar.[5] Outros fatores predisponentes incluem herança genética e infecção pelo vírus SV40.[7] Casos sugestivos, verificados em achados radiográficos ou tomográficos, podem ser confirmados por exames citológicos e histológicos.[4]
O tratamento geralmente inclui cirurgia, radioterapia e quimioterapia. Um procedimento conhecido como pleurodese utiliza estímulos mecânicos ou químicos - com substâncias como o talco -, para promover o colabamento dos folhetos pleurais e impedir o acúmulo de líquido nesse espaço.[2][8] No tratamento quimioterápico, os agentes mais comumente utilizados são a cisplatina e o pemetrexede.[4] No Brasil, cerca de 95% dos pacientes evoluem para óbito nos primeiros 2 anos após o diagnóstico da doença.[1] Nos Estados Unidos, a taxa de sobrevida após 5 anos de diagnóstico é de cerca de 8%.[9]
Em 2013, cerca de 50.000 pessoas tiveram mesotelioma e 34.000 morreram da doença.[10][11] As taxas de incidência variam de acordo com a região, sendo mais elevadas na Austrália e na Grã-Bretanha e mais baixas no Japão.[5] Ocorre com maior frequência após os 50 anos de idade e acomete mais homens do que mulheres.[1]
Causas
Quase sempre é causado devido a exposição a asbesto, principalmente pelo trabalho em minas. Outras causas envolvem radiação e aspirar silicatos fibrosos. Asbestos podem facilitar a infecção por vírus símio 40, um oncovírus que suprime os genes que combatem o câncer, mas essa teoria foi confirmada apenas em estudo com animais. [12]
A maioria das pessoas que desenvolvem mesotelioma trabalharam em empregos nos quais foram expostas e inalaram partículas de asbesto, ou elas foram expostas a poeira de asbesto e fibras de outras maneiras. O ato de lavar as roupas de um membro da família que trabalhou com asbestos também pode colocar uma pessoa em risco de desenvolver mesotelioma.[13] Ao contrário do câncer de pulmão, não há associação entre o mesotelioma e o tabagismo, mas o tabagismo aumenta muito o risco de outros cânceres induzidos pelo asbesto.[14]
Para confirmar o diagnóstico de mesotelioma, um médico deve ter uma biópsia de tecido do revestimento do pulmão ou do abdômen e examiná-la sob um microscópio para células cancerosas.[15]
Sinais e sintomas
Os sintomas do mesotelioma pleural incluem falta de ar e dor torácica devido a derrame pleural (fluido entre o pulmão e a parede torácica) ou dor na parede torácica e sintomas gerais como perda de peso, fadiga e tosse seca.
Diagnóstico
O diagnóstico pode ser suspeitado com um raio-x de tórax e uma tomografia computadorizada, sendo confirmado através de uma biópsia (amostra de tecido) e exame microscópica. Pesquisas sobre exames de rastreamento para detecção precoce do mesotelioma estão em andamento.
Tratamento
Uma toracoscopia (a inserção de um tubo com uma câmera no tórax) pode ser usada para retirar biópsias e permite a introdução de substâncias como talco para obliterar o espaço pleural (procedimento conhecido como pleurodese), o que previne que mais fluido se acumule pressionando o pulmão. Apesar do tratamento com quimioterapia, radioterapia e cirurgia, a doença possui um prognóstico ruim, com sobrevivência média de 10-12 meses.[16]
Histórico
O termo foi cunhado em 1908, por Adami, embora a literatura médica registrasse casos de endoteliomas, papilomatoses e carcinossarcomas que se igualavam a este tumor.[17]
Seu reconhecimento clínico deu-se a partir da década de 1950, sendo mais comuns na pleura.[17]
Os casos de mesotelioma estão associados ao uso do amianto (asbestos) nas construções.
Casos famosos
- O ator norte-americano Steve McQueen foi uma vítima famosa desse tipo de câncer.[18][19]
- O antropólogo Stephen Jay Gould morreu devido a este tumor.
- O produtor musical e co-fundador dos Sex Pistols morreu dia 08/04/2010 também devido a esse tipo muito raro de câncer.
- O maestro Billy Vaughn arranjador e compositor norte-americano também morreu devido a este tipo de câncer.
- A apresentadora brasileira Hebe Camargo faleceu com câncer no peritônio, um subtipo de mesotelioma.
Referências
- 1 2 3 4 5 «Mesotelioma - Você conhece esta doença?» (PDF). Informativo do Instituto Nacional do Câncer - INCA. Ministério da Saúde do Brasil. 2009. Consultado em 12 de Agosto de 2016
- 1 2 3 «Malignant Mesothelioma - Patient Version». National Cancer Institute (em inglês). U.S. Department of Health and Human Services - National Institutes of Health. Consultado em 12 de Agosto de 2016
- ↑ Choma et al 1989, p. 171-174.
- 1 2 3 Kindola et al 2016, p. 275-288.
- 1 2 3 Robinson 2012, p. 491-496.
- 1 2 Gulati, Redlich 2015, p. 196-200.
- ↑ Weinberg, p. 67.
- ↑ Vaz et al 2006, p. 347-356.
- ↑ «Age-Adjusted SEER Incidence and U.S. Death Rates and 5-Year Relative Survival (Percent) by Primary Cancer Site, Sex and Time Period» (PDF). Cancer Statistics. National Cancer Institute. Consultado em 15 de Agosto de 2016
- ↑ «Global, regional, and national age-sex specific all-cause and cause-specific mortality for 240 causes of death, 1990-2013: a systematic analysis for the Global Burden of Disease Study 2013». The Lancet. 385 (9963): 117-171. ISSN 1474-547X. Consultado em 15 de agosto de 2016
- ↑ «Global, regional, and national incidence, prevalence, and YLDs for 301 acute and chronic diseases and injuries for 188 countries, 1990-2013: a systematic analysis for the Global Burden of Disease Study 2013» (PDF). The Lancet. 386 (9995): 743-800. ISSN 1474-547X. Consultado em 15 de agosto de 2016
- ↑ Broaddus VC, Robinson BWS (2010). "Chapter 75". Murray & Nadel's Textbook of Respiratory Medicine (5th ed.). Saunders Elsevier. ISBN 978-1-4160-4710-0
- ↑ Eastbourne Today. «Woman's death from asbestos». Consultado em 28 de outubro de 2008
- ↑ Muscat JE, Wynder EL (1991). «Cigarette smoking, asbestos exposure, and malignant mesothelioma». Cancer Res. 51 (9): 2263–7. PMID 2015590
- ↑ advogada do mesotelioma
- ↑ Sardar, Muhammad Rizwan; Kuntz, Catherine; Patel, Toralben; Saeed, Wajeeha; Gnall, Eric; Imaizumi, Shotaro; Lande, Leah (2012-01-01). "Primary Pericardial Mesothelioma Unique Case and Literature Review". Texas Heart Institute Journal 39 (2): 261–264. ISSN 0730-2347. PMC 3384041. PMID 22740748.
- 1 2 Mesotelioma Pleural Maligno, RIBEIRO, Carlos Alberto et allii. (acessado em novembro de 2008)
- ↑ Notícia, acessado em novembro de 2008.
- ↑ «McQueen's Legacy of Laetrile». New York Times. 15 de novembro de 2005
Bibliografia
- Choma, L.; Gapak, D.; Pelanda, L.G.; Ioshii, S.O.; Moreira Filho, Osni (setembro de 1989). «Mesotelioma maligno de pleura». Jornal Brasileiro de Pneumologia. 15 (3): 171-174. ISSN 0102-3586. Consultado em 15 de agosto de 2016
- Gulati, M.; Redlich, C.A. (março de 2015). «Asbestosis and environmental causes of usual interstitial pneumonia». Current Opinion in Pulmonary Medicine. 21 (2): 491-496. ISSN 1531-697 Verifique
|issn=(ajuda). Consultado em 15 de agosto de 2016 - Kondola, S.; Manners, D.; Nowak, A.K. (junho de 2016). «Malignant pleural mesothelioma: an update on diagnosis and treatment options». Therapeutic Advances in Respiratory Disease. 10 (3): 275-288. doi:10.1177/1753465816628800. Consultado em 15 de agosto de 2016
- Robinson, B.M. (novembro de 2012). «Malignant pleural mesothelioma: an epidemiological perspective». Annals of Cardiothoracic Surgery. 1 (4): 491-496. ISSN 2304-1021. Consultado em 15 de agosto de 2016
- Vaz, M.C.; Marchi, E.; Vargas, F.S. (2006). «Pleurodese: técnica e indicações». Jornal Brasileiro de Pneumologia. 32 (4): 347-356. ISSN 1806-3756. Consultado em 15 de agosto de 2016