Ascite

Ascite
SinónimosLíquido na cavidade abdominal, hidroperitoneu, hidropesia peritoneal[1] barriga de água[2]
Abdómen de pessoa com cirrose com ascite massiva e proeminência das veias superficiais
EspecialidadeGastroenterologia
SintomasAumento de volume abdominal, aumento de peso, desconforto abdominal, falta de ar[3]
ComplicaçõesPeritonite bacteriana espontânea, síndrome hepatorrenal, baixos níveis de sódio no sangue[3][4]
CausasCirrose hepática, cancro, insuficiência cardíaca, tuberculose, pancreatite, obstrução da veia hepática[4]
Método de diagnósticoExame físico, ecografia, TAC[3]
TratamentoDieta pobre em sal, medicação, drenagem do líquido[3]
MedicaçãoEspironolactona, furosemida[3]
Frequência>50% das pessoas com cirrose[4]
Classificação e recursos externos
CID-11ME04
CID-10R18
CID-9789.5
DiseasesDB943
MedlinePlus000286
eMedicineped/2927 med/173
MeSHD001201
A Wikipédia não é um consultório médico. Leia o aviso médico 

Ascite é a acumulação anormal de líquido no abdómen.[5] Em termos técnicos, define-se como a acumulação de mais de 25 mL de líquido na cavidade peritoneal.[4] Os sintomas mais comuns são aumento de volume do abdómen, aumento de peso, desconforto abdominal e falta de ar.[3] Entre as possíveis complicações estão a peritonite bacteriana espontânea,[3] síndrome hepatorrenal e baixos níveis de sódio no sangue.[4]

Em países desenvolvidos, a causa mais comum de ascite é a cirrose hepática.[4] Entre outras possíveis causas estão um cancro, insuficiência cardíaca, tuberculose, pancreatite e obstrução da veia hepática.[4] Nos casos resultantes de cirrose, o mecanismo subjacente envolve hipertensão no sistema portal e disfunção dos vasos sanguíneos.[4] O diagnóstico geralmente baseia-se num exame físico auxiliado por ecografia ou tomografia computorizada (TAC).[3] A análise do líquido pode ajudar a determinar a causa subjacente.[3]

O tratamento geralmente consiste numa dieta pobre em sal, em medicamentos diuréticos e drenagem do líquido.[3] Os medicamentos diuréticos mais comuns são a espironolactona e a furosemida.[3] Em alguns casos pode ser considerada uma derivação portossistémica intra hepática transjugular (TIPS), embora esteja associada a complicações.[3] Podem ainda ser consideradas medidas para tratar a causa subjacente, como um transplante de fígado.[4]

Mais de metade das pessoas com cirrose desenvolve ascite nos dez anos posteriores ao diagnóstico.[4] Destas, mais de metade morre nos três anos seguintes.[4] O termo tem origem no grego askítes, que significa semelhante a um saco.[6]

Sinais e sintomas

A ascite leve dificilmente é percebida, mas se severa leva a distensão abdominal. Pacientes com ascite geralmente queixam-se de sensação de peso e pressão progressivos no abdomen, além de dificuldade respiratória pelo impedimento mecânico da contração (e descida) do diafragma.

Além da ascite, outros sinais e sintomas podem estar presentes devido à sua etiologia. Por exemplo, na ascite por hipertensão portal (por cirrose hepática, síndrome de Budd-Chiari e esquistossomose, entre outras causas), os pacientes ainda podem apresentar edema de membros inferiores, equimoses, ginecomastia, hematêmese ou alterações mentais devido a encefalopatia hepática. Pacientes com ascite por câncer (carcinomatose peritoneal) podem apresentar fadiga crônica ou perda de peso. Ascites causadas por insuficiência cardíaca geralmente estão acompanhadas por insuficiência respiratória que piora ao esforço ou em posição supina e edema de membros inferiores.

Classificação

A ascite ocorre em três graus diferentes:[7]

  • Grau 1: leve, visível apenas ao ultra-som com volume menor de 1,5L
  • Grau 2: detectável pelo "abaulamento dos flancos" e "submacicez móvel" ao exame físico
  • Grau 3: claramente visível, confirmada pelo "sinal do piparote/sinal de onda líquida" ao exame físico e com mais de 5L de líquido

Causas

Causas de acúmulo de líquido pobre em proteínas (transudato) são:[8][9]

Causas de acúmulo de líquido orgânico com conteúdo inflamatório (exsudato) são:

Causas incomuns:

Fisiopatologia

O líquido ascítico pode acumular como transudato ou exsudato. Quantidades de até 25 litros já foram registadas.

Simplificadamente, transudatos são o resultado do aumento de pressão no sistema porta (>8mmHg), por exemplo, devido à cirrose, enquanto que os exsudatos são líquidos activamente secretados devido a inflamação ou neoplasias. Como resultado, exsudatos possuem um conteúdo elevado de proteínas, elevada DHL, pH baixo, baixo nível de glicose e mais leucócitos. Transudatos têm poucas proteínas (<3g/L), baixo DHL, pH elevado, glicose normal e menos que 1 leucócito por 1000mm³. Clinicamente, a medida mais útil é a medição da diferença na concentração de albumina entre o soro e a ascite. Diferença inferior a 1g/dL implica um exsudato.[8]

A hipertensão portal tem importante papel na produção de ascite ao elevar a pressão capilar hidrostática no leito esplênico.

Independentemente da causa, o sequestro de líquido na cavidade abdominal leva à retenção adicional de fluidos pelos rins, devido ao efeito estimulatório de hormonas pressoras, principalmente aldosterona. O Sistema nervoso simpático é também ativado e a produção de renina é aumentada por conta da diminuição da perfusão renal. Alterações extremas da microcirculação renal podem levar à temida síndrome hepatorrenal. Outras complicações da ascite incluem a peritonite bacteriana espontânea (PBE), devida à diminuição de factores antibacterianos no líquido ascítico, como o complemento.

Diagnóstico

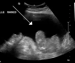
Imagem de ultrassom que mostra ascite em uma pessoa com câncer de abdômem

O exame físico inicia-se com a palpação da região abdominal. O médico posiciona uma das mãos de um lado da barriga e, com a outra, faz pequenas pressões (piparotes, petelecos) do lado contrário. Caso o líquido acumulado seja mais de 1,5L, as ondas se propagam e podem ser sentidas com a outra mão do profissional previamente posicionada. Em alguns casos, para que o movimento não seja transmitido pela pele, é recomendando que o examinador coloque um "obstáculo" no eixo central do ventre do paciente. Muitas vezes, é solicitado que o examinado coloque uma das mãos (com a face lateral - do dedo mínimo - voltada para baixo e todos os dedos esticados) próxima ao umbigo para que a interferência cutânea não ocorra.

Além do hemograma completo, dosagem de eletrólitos, enzimas hepáticas e provas de coagulação, deve ser realizada paracentese diagnóstica, com retirada por punção de 50 a 100 mL de líquido ascítico. A amostra é analisada em relação à aparência, quantidade de proteínas (especialmente albumina) e quantificação de células (leucócitos e hemácias). Testes adicionais, como coloração de Gram, citologia oncótica e cultura.[8]

O Gradiente de Albumina Soro-Ascite é provavelmente um melhor discriminante que medidas anteriores (transudato vs exsudato) para determinar a causa da ascite.[10] Um alto gradiente (> 1.1 g/dL) indica que a ascite é devida a hpertensão portal. Um gradiente baixo (< 1.1 g/dL) indica uma etiologia não relacionada com a hipertensão portal.

A Ecografia é usualmente utilizada na investigação do quadro previamente a medidas para remover o fluido da cavidade abdominal. Esta pode revelar as dimensões e forma dos órgãos intra-abdominais e estudos Doppler mostram a direcção do fluxo na veia Porta bem como detectar a Síndrome de Budd-Chiari ou a trombose da veia porta. Adicionalmente, o ecografista pode ectuar uma estimativa da quantidade de líquido ascítico e ascites de difícil drenagem podem-no ser sob controlo ecográfico. A Tomografia computadorizada Abdominal é um método mais sensível para revelar a estrutura e morfologia dos órgãos abdominais.

Tratamento

A ascite é usualmente tratada simultaneamente com o processo de diagnosticar uma patologia subjacente de forma a prever complicações, aliviar a sintomatologia e prevenir posterior evolução da doença. Em doentes com ascite ligeira, o tratamento é efectuado geralmente em ambulatório. Se coexistirem ascite e edemas periféricos, o objectivo é perder não mais do que 1,0Kg/dia de líquido ascítico e não mais do que 0,5Kg/dia para aqueles apenas com ascite. Quando ocorre ascite severa, a hospitalização é muitas vezes necessária.

Gradiente elevado

Na ascite cirrótica/transudativa, a restrição salina é geralmente o passo básico no tratamento, o que permite a diurese (produção de urina) dado que o doente agora tem mais fluido que sal. Dado que a restrição de sal é o princípio básico do tratamento e a aldosterona é uma das hormonas que age para aumentar a retenção de sal, medicação que se oponha à acção da aldosterona é usada. A espironolactona (ou outro diurético do túbulo-distal como triamtereno ou amilorida) é o fármaco de escolha dado que ele bloqueia o receptor da aldosterona no túbulo colector. Usualmente, inicia-se com uma dose de 100 mg/dia, até um máximo de 400 mg/dia. Um diurético de alça pode também ser adicionado ao esquema terapêutico de forma a aumentar a diurese e, normalmente, a furosemida é adicionada numa dose inicial de 40 mg/dia até um máximo de 160 mg/dia. Os níveis séricos de potássio e a função renal devem ser cuidadosamente monitorizados enquanto durar o esquema terapêutico, devido às alterações que estes fármacos podem implicar.[11]

Nos doentes com ascite severa, a paracentese terapêutica pode ser necessária adicionalmente ao tratamento médico mencionado atrás. Embora controverso, usualmente adiciona-se albumina ao doente após a paracentese (aprox. 7g/L de líquido ascítico drenado).

Ascite refractária ao tratamento médico é considerada uma indicação clássica para transplante hepático.

Numa minoria dos doentes com cirrose avançada e que têm ascite recurrente, shunts podem ser utilizados. Os shunts típicos em uso são o shunt porto-cava, peritoneo-venoso e o shunt transjugular intrahepático portosistémico (TIPS). Contudo, nenhum destes demonstrou aumentar a esperança de vida destes doentes, sendo apenas considerados como passos intermédios no caminho para a transplantação.

Gradiente baixo

A ascite exsudativa usualmente não responde à manipulação do balanço de sal ou terapêutica diurética. Paracenteses repetidas e tratamento da causa subjacente são a base do tratamento.

Ver também

Referências

  1. «Hidroperitoneu». Dicionário de Termos Médicos da Porto Editora. Consultado em 11 de junho de 2019
  2. «Ascite (barriga d'água)». MDSaúde. Consultado em 11 de junho de 2019
  3. 1 2 3 4 5 6 7 8 9 10 11 12 «Ascites - Hepatic and Biliary Disorders». Merck Manuals Professional Edition (em inglês). Maio de 2016. Consultado em 14 de dezembro de 2017
  4. 1 2 3 4 5 6 7 8 9 10 11 Pedersen, JS; Bendtsen, F; Møller, S (maio de 2015). «Management of cirrhotic ascites.». Therapeutic advances in chronic disease. 6 (3): 124–37. PMC 4416972Acessível livremente. PMID 25954497. doi:10.1177/2040622315580069
  5. «Ascites». National Library of Medicine. Consultado em 14 de dezembro de 2017
  6. Staff writer (2010). «Ascites». Dictionary.com: An Ask.com Service. Oakland, CA: IAC. Consultado em 14 de dezembro de 2017
  7. Moore KP, Wong F, Gines P, Bernardi M, Ochs A, Salerno F, Angeli P, Porayko M, Moreau R, Garcia-Tsao G, Jimenez W, Planas R, Arroyo V. The management of ascites in cirrhosis: report on the consensus conference of the International Ascites Club. Hepatology 2003;38:258-66. PMID 12830009.
  8. 1 2 3 Warrell DA, Cox TN, Firth JD, Benz ED. Oxford textbook of medicine. Oxford: Oxford University Press, 2003. ISBN 0-19-262922-0.
  9. WebMD. The Basics of Ascites. https://www.webmd.com/digestive-disorders/ascites-medref
  10. Runyon BA, Montano AA, Akriviadis EA, Antillon MR, Irving MA, McHutchison JG. The serum-ascites albumin gradient is superior to the exudate-transudate concept in the differential diagnosis of ascites. Ann Intern Med 1992;117:215-20. PMID 1616215.
  11. Gines P, Cardenas A, Arroyo V, Rodes J. Management of cirrhosis and ascites. N Engl J Med 2004;350:1646-54. PMID 15084697.

Ligações externas